what are the general clinical feature of CNS tumors
Clinical features: focal neurological deficit (usually due to compression), seizures (usually with cerebral cortex), general neuro sx (HA, AMS), increased ICP
Increased ICP tends to be due to: growth of neoplasms, peritumoral edema, secondary changes to neoplasm (cysts, hemorrhage), or obstruction of CSF pathway àbrain herniation
Primary vs Metastatic
regarding CNS tumors
Adult vs Children
CNS tumors
Adults usually get supratentorial tumors while children get infratentorial tumors
Craniopharyngioma
epidemiology, locations, micro, gross, prognosis, tx
Neurofibroma
epidemiology, locations, micro, gross, prognosis, tx
Schwannoma (malignant tumor of Schwann cells)
epidemiology, locations, micro, gross, prognosis, tx
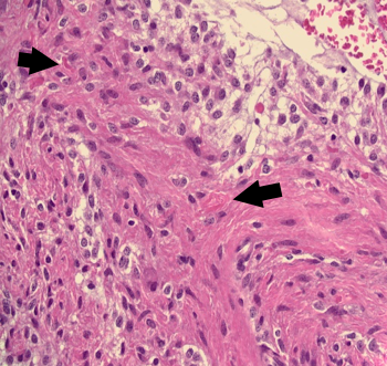
Meningioma
epidemiology, locations, micro, gross, prognosis, tx
Pinealoma
epidemiology, locations, micro, gross, prognosis, tx
Hemangioblastoma
epidemiology, locations, micro, gross, prognosis, tx
Medulloblastoma
epidemiology, locations, micro, gross, prognosis, tx
Ependymoma
epidemiology, locations, micro, gross, prognosis, tx
Oligodendroglioma
epidemiology, locations, micro, gross, prognosis, tx
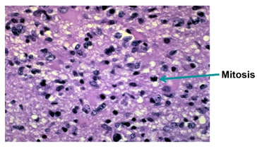
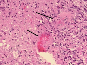
Glioblastoma Astrocytoma (Grade IV)
epidemiology, locations, micro, gross, prognosis, tx
Anaplastic Astrocytoma (Grade III)
epidemiology, locations, micro, gross, prognosis, tx
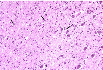
Diffuse Astrocytoma (Grade II)
epidemiology, locations, micro, gross, prognosis, tx
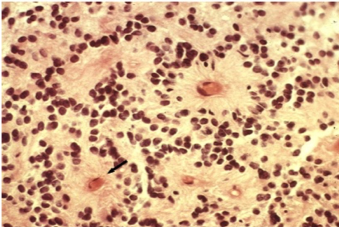
Location: cerebral hemispheres
Micro highly infiltrative astrocytic cells (see pic - small dark cells diffusely), no mitotic activity, no vascular proliferation/necrosis
Gross: ill-defined edges on MRI
Prognosis: usually progress to anaplastic astrocytoma or glioblastoma, 6-8 year survival
Pilocytic Astrocytoma
epidemiology, locations, micro, gross, prognosis, tx

Pilocytic Astrocytoma (Grade I)

Diffuse Astrocytoma (Grade II)

Anaplastic Astrocytoma (Grade III)

Glioblastoma Astrocytoma

Oligodendroglioma

Ependymoma

Medulloblastoma

Meningioma