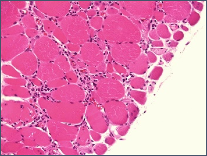
What are the three pathological changes that may occur with neurogenic disorders?
What type of pathological change is this?

Angulated (see pic) atrophic muscle fibers
What type of pathological change is this?

Group atrophy
What type of pathological change is this?

Fiber type grouping (groups of same fiber types)
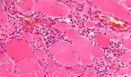
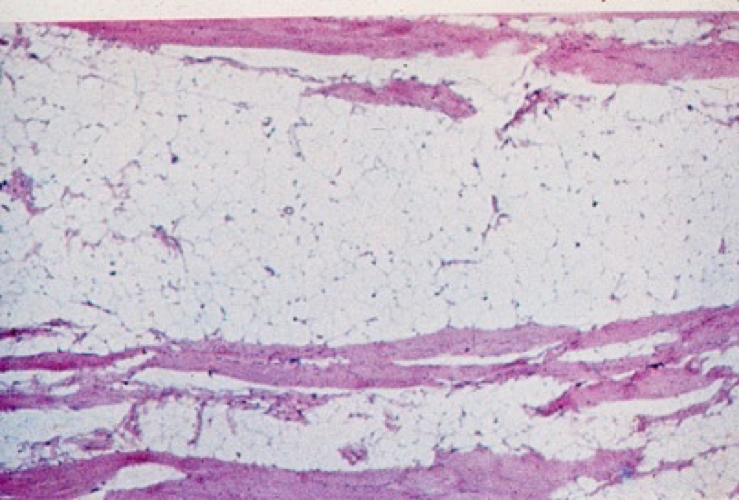
What are the 5 pathological changes with myopathic disorders? Be able to recognize each one and provide characteristics
What myopathic change is this?

What myopathic change is this?

Perifasicular atrophy
What myopathic change is this?

What are the clinical and pathological findings with axonal neuropathy
What are the clinical and pathological findings with demyelinating? neuropathy
What is this characteristic of?

Demyelinating neuropathy -
LIST the components of a mental status exam?
Appearance, behavior/attitude, speech, mood/affect, thought process, thought content, perception, cognition, insight/judgement
What part of the mental status exam is the following:
Appearance
What goes in the behavior/attitude portion of the mental status exam?
What goes in the speech part of a mental status exam?
Define the following
What goes in the mood and affect part of the mental status exam?
Define each of these affects
What words describes thought process?
Define the following
What goes in a thought content exam?
What are these? Define each.
Delusions
What goes in the perception part of the MSE?
Define the following: