Yrsel Flashcards

(43 cards)

1
Q

Hur skulle du beskriva att yrsel framkallas?

A
  • Formatio reticularis tar emot impulser från synen, ögonmuskler, balansnerven i innerörat, liksom perifera receptorer i muskler och senor. Vartefter det bearbetas på högre nivå i storhjärnan
How well did you know this?
1
Not at all
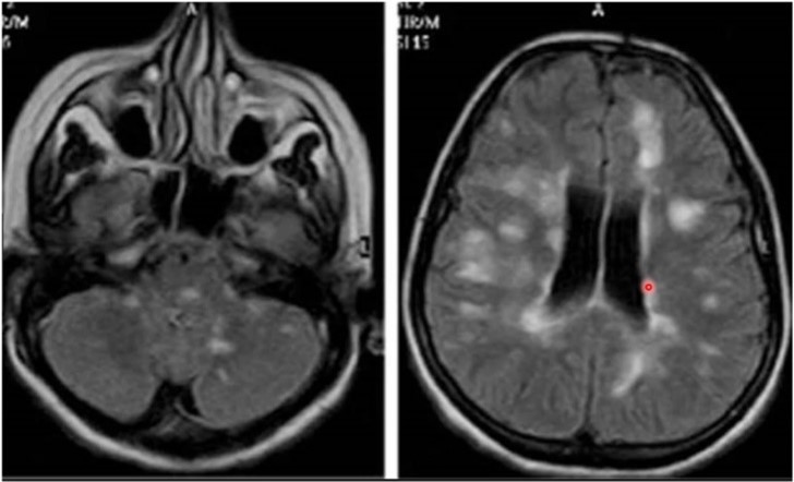
2
3
4
5
Perfectly
2
Q

Ge ett par exempel på olika typer av yrsel

A
  • Karusellyrsel (rotatorisk)
  • Ostadighetsyrsel
  • Svimningskänsla (presynkope)
  • Ospecifik yrsel
How well did you know this?
1
Not at all
2
3
4
5
Perfectly
3
Q

Ett isolerat akut vestibulärt syndrom kan ha CENTRAL eller PERIFER orsak, vad innebär syndromet?

A
  • Snabbt debuterande konstant rotatorisk yrsel med nystagmus, illamående/kräkning, intolerans för huvudrörelser och ostadighet som varat över ett dygn
  • FRÅNVARO av andra neurologiska bortfall
How well did you know this?
1
Not at all
2
3
4
5
Perfectly
4
Q

Yrsel är vanligt på akuten, är det ofta som det beror på stroke?

A

Nej

  • Icke neuro / icke-ÖNH diagnos 36 %
  • Cerebrovaskulär diagnos (stroke) 4,9 %
  • Symptomdiagnos 28 %
How well did you know this?
1
Not at all
2
3
4
5
Perfectly
5
Q
  • Cerebrovaskulär sjukdom
    • TIA, blödning/infarkt i lillhjärna/hjärnstam
  • Tumör i bakre skallgropen
  • Multipel skleros
  • Degenerativa sjukdomar – Parkinson, demens
  • Migrän (både i aura och huvudvärkfas)
  • Polyneuropati (ostadighetskänsla pga dålig djup sensibilitet)
  • Spännings-/cervikal yrsel
  • Farmakologisk orsakad yrsel (epilepsi-LM)

Vad räknas upp här?

A

Neurologiska orsaker till yrsel

How well did you know this?
1
Not at all
2
3
4
5
Perfectly
6
Q

Vilka skillnader kan vi i regel se mellan perifer yrsel och central yrsel?

A
How well did you know this?
1
Not at all
2
3
4
5
Perfectly
7
Q
  • Ofta akut insjuknande med huvudvärk och neurologiska bortfall
  • Nystagmus
    • Är ofta vertikal
    • Riktningsväxlande
    • Grova fasen mot skadesidan
    • Ej uttröttbar och dämpas inte av blickfixation

Vad beskrivs?

A

Central yrsel

How well did you know this?
1
Not at all
2
3
4
5
Perfectly
8
Q
  • Sidoväxlande ensidig eller dubbelsidig förlamning eller känselnedsättning (ev korsande symptom)
  • Central eller perifer ansiktsförlamning
  • Lillhjärnssymptom; yrsel, balansstörning
  • Kranialnervspåverkan; sväljning, tungpares, heshet, dysartri
  • Ögonsymptom; heminaopsi, dubbelsidig blindhet
  • Medvetandepåverkan
  • Påverkan av andning och cirkulation

Vanliga symptom vid?

A

Stroke i vertebrobasilarisområdet

How well did you know this?
1
Not at all
2
3
4
5
Perfectly
9
Q
  • Yrsel
  • Nystagmus (ofta grovvågig med snabb fas mot skadesidan)
  • Hemiataxi (ipsilateral)
  • Dysfagi, heshet
  • Dysartri
  • Känsdelnedsättning ipsilateralt i ansikte och motsatt sida på kroppen

När ses dessa symptom och vad kallas det för?

A

Stroke i PICA-artären (även a. vertebralis)

Wallenbergs syndrom

How well did you know this?
1
Not at all
2
3
4
5
Perfectly
10
Q
  • Debutsymptom
    • Svaghet (40 %), miktionssvårigheter (5 %)
    • Optisk neurit (synnervsinflammation) 22 %, diplopi 12 %
    • Parastesi 21 %
    • Vertigo (5 %)
      • Periodvis ostadighet, rotatorisk yrsel, synpåverkan, nedsatt hörsel, svårigheter att gå (motorik/sensorik nedsatt), inkoordinerade ögonrörelser (inflammation i ögonmuskelkärnornas (3, 4, 6) förbindelser, nystagmus
  • MR-bild visar inflammationslesioner periventrikulärt och även på lillhjärna och hjärnstam (typiskt)

När kan detta ses?

A

Multipel skleros

How well did you know this?
1
Not at all
2
3
4
5
Perfectly
11
Q
  • Kardinalsymptom
    • Tremor (vilo-)
    • Rigiditet (tonusökning)
    • Hypokinesi (rörelsearmod)
  • Associerade symptom
    • Störd jämviktskontroll
    • Förlust av posturala reflexer

När kan detta ses?

A

Parkinsons

  • Vid Parkinson risk för fall framåt, Parkinson plus risk för fall bakåt
How well did you know this?
1
Not at all
2
3
4
5
Perfectly
12
Q

Vad innebär polyneuropati?

A

Flernervssjuka

  • Beskrivande term för symmetrisk funktionsnedsättning av nervtrådar i armar och ben med bortfalls- och/eller retningssymptom som följd
How well did you know this?
1
Not at all
2
3
4
5
Perfectly
13
Q

Polyneuropati (flernervssjuka)

  • Beskrivande term för symmetrisk funktionsnedsättning av nervtrådar i armar och ben med bortfalls (känsel)- och/eller retningssymptom (ingen smärta) som följd

Vilka symptom kan ses utöver ovan?

A
  • Symptom (nedsatt känsel/smärta mfl) som ovan och två av följande
    • Svaga eller bortfallna reflexer
    • Nedsatt distal muskelkraft eller atrofi
    • Nedsatt distal känsel
How well did you know this?
1
Not at all
2
3
4
5
Perfectly
14
Q
  • Symptom från känselnerver
    • Nedsatt känsel (domnad ”död” känsla)
    • Som att gå på kuddar vilket ger dålig balans (yrsel), stickningar (som att gå i nässlor, sockerdrickskänsla), brännande eller isande känsla, smärta, åtkramande besvär, ovanlig känslighet för beröring
  • Symptom från motoriska nerver
    • Nattliga vadkramper, svaghet i händer och fötter (svårt att stå på tå eller häl), atrofi
    • Snubblar lätt i ojämn terräning, svårigheter att hålla balansen i mörker (att gå på toa på natten)
  • Symptom från autonoma nerver
    • Nedsatt svettning, ortosatism, nattlig diarré, svårigheter att urinera, förstoppning och impotens

När kan detta ses?

A

Polyneuropati

How well did you know this?
1
Not at all
2
3
4
5
Perfectly
15
Q

Nedsatt eller långsam rörelseförmåga i kroppsmuskulaturen

Kallas för?

A

Hypokinesi

How well did you know this?
1
Not at all
2
3
4
5
Perfectly
16
Q

Övergående yrsel- och svimningskänsla när man reser sig upp

Kallas för?

A

Ortostatism

How well did you know this?
1
Not at all
2
3
4
5
Perfectly
17
Q

Beskriv översiktligt hur balanssystemet fungerar

A
  • Syn, vestibulär info, proprioception och hudens känsel integreras i hjärnstammens vestibulariskärnor och har också hjälp av cerebellum, medvetandet kan påverka genom att vi vill stå stadigare eller slappna av mer
  • Styrsignaler skickas sedan ut till muskler (ögonmuskler, nacken, ryggen, vadmuskler osv) och vi kan motta ny information från synen osv vilket ger nya kommandon
How well did you know this?
1
Not at all
2
3
4
5
Perfectly
18
Q

Vad orsakas yrsel av?

A
  • Störningar i receptororganen
  • Störningar i CNS
  • Kombinationer
  • Funktionell (upplevelse, avvikelse hittas inte)
  • Fysiologisk (plant golv med sneda väggar)
19
Q
A
  • SCC – semi cirkular canal (båggång)
20
Q

Vad ansvara de olika delarna för?

A
  • SCC – semi cirkular canal (båggång)
    • Anterior (rörelser framåt snett)
    • Posterior (rörelser bakåt snett)
    • Lateral (huvud fram och tillbaka horisontalt)
  • Cochlea ger info till n. acusticus
  • Balanssystem består av tre båggångar som ger information till
    • övre vestibularisnerv – anterior scc, lateral scc och utriculus
    • nedre vestibularisnerv – posterior scc och sacculus
  • Ovan tre nerver går ihop till n. vestibulocochlearis och sällskapar sen med n. fascialis
  • Kraftningar, lutningar och accelerationer - huvudets position i förhållande till gravitation
    • Utriculus
    • Sacculus
21
Q

Temporal fraktur kan ge problem med vad med tanke på vilke nerver som löper där?

A

Balans (vestibulär del), hörsel och muskler i ansikte

22
Q

Vad ansvarar för kraftningar, lutningar och accelerationer - huvudets position i förhållande till gravitation

A

Utriculus och Sacculus

23
Q

Vad förmedlar bilden?

A

Otolitsystemet

  • Ovanpå ett gelatinöst lager finns stenar av kalciumkarbonat (dessa kristaller kan lossna), när vi böjer på huvudet kommer dessa stenar dras mot riktningen (enligt bild) varpå hårcellernas stereocilier och kinocilier böjer sig olika mkt beroende på hur de rör sig
    • Det nedre örat kommer signalera mera och övre öra mindre varpå signalerna jämförs och lutningen fastställs
24
Q

Vad detekterar sacculus mer specifikt?

A
  • Mäter rörelse i höjdled (hiss ner eller hopp)
25
**Sacculustest** Vad händer om man ljudstimulerar sacculus och varför?
* Delar som sagt vätskor med hörselorgan så om man ljudstimulerar höger öra kommer sacculus signalera mera vilket ger avslappning av muskulatur på höger sternocleidomastoideus så huvud vrids snabbt mot ljudet (eller lejonet)
26
* **Utriculus** * Mäter rörelse i sidled – luta huvudet på sidan eller rivstarta bilen * Svårare test – skaka patientens huvud med vibrator kan ge ryckningar i ögonen På vilket lättare sätt kan utriculus testas?
* **Tyska hinken** – om utrikulusorgan fungerar lite olika kommer patienten inte kunna känna av horisontal linje som finns dragen i hinken (ska klara inom 2,5 grad)
27
Orsak?
* **Defekt vänster utriculus och frånvaro av central kompensation över tid (REMEMBER BOB)**
28
Hur fungerar båggångarna?
* En båggång för varje plan i rymden vilket gör att acceleration kan uppfattas oavsett riktning * Kinocilier och stereocilier detektera endolymfan (perilymfa utanför) som rör sig i båggången och trycker på cupulan som böjer sig och detta uppfattas som rotation av skallen * Ena sidan reagerar åt ena hålet och den andra sidan åt andra hållet
29
Förklara VOR VIKTIGT!
* **Stabiliserar blicken när vi rör på skalle** * Accelerering medurs stimulerar horisontell båggång (lateral) på ena sidan (rött) där endolymfa stannar kvar något pga tröghet (vätskan går framåt relativt huvud) och trycka på cupulan som signalerar mer till vestibularisnerv (övre) * På andra sidan går istället vätskan bakåt och cupulan går istället in mot båggång och signalering minskar * Dessa signaler går via vestibulär nuklei i pons (jämförs här) vidare till abducens nuklei varifrån sedan information går för omkoppling i nucleus oculomotorius och sedan till **lateral rectusmuskel** och **medial rectusmuskel** * Effekten blir att när vi börjar röra oss moturs rör sig ögonen åt andra hållet som kompensation för rörelse (utan denna reflex blir vi yra) * Men kom ihåg att vi har rörelser som går i åttor och då engageras i stort sett varenda ögonmuskel – så ovan muskler är mest för att fatta principen
30
* Ex när vi roterar på en stol och ska följa något med blicken. När vi kommer runt på andra sidan hoppar ögat i stället medurs snabbt Kallas för?
Sackad
31
Vilka delar av balansorganen styr vilken rörelse?
* Framåt höger nick aktiverar högre främre båggång och deaktiverar vänstra bakre båggång * Ingen båggång har hand om främre nick, kräver alla fyra båggångarna främre/bakre vänster/höger
32
* Synintryck minskar perifer nystagmus 70 % vid långsam stimuli Så hur bör vi undersöka nystagmus?
* Frenzels glasögon där vi ser patientens ögon under belysning och förstoring
33
Förklara nystagmus
* Dysfunktion på lateral båggång * Sitter i mörker och snurrar på stol går ögat åt hållet man snurrar – fysiologiskt sackad * VOR gör att ögonen går åt motsatt håll så långt de kan varpå sackad följer i rörelsens riktning – nystagmus * Snabba rörelsen är då sackaden * Om man snurrar mkt åt ex vänster så kommer cupulan sakta att fjädra tillbaka och slutar signalera och när väl man sätter ner fötterna efter rörelsen kommer motreaktionen bli nystagmus åt höger (abrupts stopp upplevs som acceleration åt motsatt håll) * Detta bevisar att det är rotationsacceleration som båggångar känner av och inte rotation
34
**Känsel- och hudinformation** Hur fungerar detta?
* Mekanoreceptorer i huden registrerar tryck mot underlaget och därmed kroppens rörelser
35
**Mini anamnes om öronyrsel** Vad frågar du?
* **Aktuella yrselsymptom** * Karaktär (rotatorisk, ostadighet, gungningskänsla, känsla av att försvinna bort, svimningskänsla) * Vad hände första gången? När kommer det nu? Ofta? * Duration (sek – timmar, dagar, kontinuerligt) * Timmar = attackyrsel * Halvminut – **båggångar** * Provocerande fenomen (lägesändringar, huvudrörelse) * Associerade hörselbesvär * Ensidigt konstant nedsatt: bakomliggande växande process? * Akut nedsättning genes? Bakomliggande växande process? * Episodisk nedsättning med tinnitus/fyllnadskänsla: Meniere * Om anamnesen är svår: be patienten beskriva sina symptom utan att använda ordet ”yr”!
36
Hur testar du om VOR fungerar?
* Rycktestet huvud-impuls-test (HIT) * Testa båda riktningar * Abnormal VOR ger sackad åt vridningshållet (positivt test)
37
* **Symptom** * Kontinuerlig rotationsyrsel * Nystagmus slår från sjuka örat – lateral båggång * Slår mot friskt öra * Rörelseintolerans (ligger ner), kräkning * Falltendens mot sjuka örat (horisont mot sjuk sida) – utriculus Symptom på vad?
**Akut perifert vestibulärt bortfall** **(vestibularisneurit)**
38
Vad innebär **Akut perifert vestibulärt bortfall (vestibularisneurit)?**
* **Ett öra har drabbats av sjukdom på båggång** * En grupp av yrselsjukdomar med likartade symptom * Drabbar de organ som innerveras av n. vestibularis superior (oftast) * Anteriora- och laterala båggångar samt utriculus * Då uppstår asymmetri i vila mellan impulser från vänster och höger vestibularisorgan
39
Vad beror **akut perifert vestibulärt bortfall (vestibularisneurit) på?**
* Kan bero på mkt * Inflammatoriskt, infektiöst, cirkulatoriskt trauma, trauma (bilolycka ex)
40
* Symptom * Kraftig rotatorisk yrsel vid nedläggning, uppsittning, framåtböjning, bakåtböjning av huvud 20-30 sek ## Footnote **​Symptom på vad?**
**Lägesyrsel (BPPV) (Kristallsjukan)** | (oftast idiopatiskt)
41
* Godartad lägesyrsel – går över inom 30 sek Vad orsakar lägesyrsel (BPPV)?
* Bakre båggång bråkar pga lossning av kristaller från utriculus som hamnar i ingång bakre båggång, varpå de hamnar längst bak under natten och vid uppstigning hamnar de vid cupulan, lägger sig sedan på natten längst bak igen. Förflyttning sker liksom i båggången vilket drar i cupulan och vi blir snurryra i 20-30 sekunder (orsakas då av att lägga sig ner eller sätta sig upp)
42
Vad innebär Dix-Hallpikes manöver?
* Ger stimulering av bakre båggång och nystagmuseffekt – bevis för sjukdomen, huvud i 45 grader innan skarpt lägger sig ner på rygg
43
Vad kan vi göra för att bota lägesyrsel (BPPV)?
* Epleys manöver * Repositionering av bakre BPPV , börjar som Dix-Hallpike, 30 sek, vrid sedan huvud åt höger långsamt sedan följer patienten med med kroppen på sidan, huvudet ska vvridas så näsan pekar mot golvet (kvar i 30 sek) och sätter sig upp långsamt, försiktigt med huvudrörelser i 48 h