11 - ENT Flashcards

(76 cards)

1
Q

What bacteria most commonly cause otitis media and what are some risk factors for developing this?

A

Usually preceded by viral URTI

Bacteria: Haemophilus Influenza, Strep Pneumonia, Moraxhella Catarrhalis

Risks: passive smoking, formula fed, craniofacial abnormalities, attend nursery

How well did you know this?
1
Not at all
2
3
4
5
Perfectly
2
Q

How does acute otitis media present in children?

A

Children will often have history of URTI

  • Infant: fever, vomiting, irritability, lethargy, poor feeding
  • Child: ear pain, reduced hearing, fever, cough, coryza symptoms
How well did you know this?
1
Not at all
2
3
4
5
Perfectly
3
Q

How does AOM present on examination?

A

Always check the ears and throat of unwell children

  • Bulging red TM
  • May be yellow or cloudy
  • Loss of light reflex
How well did you know this?
1
Not at all
2
3
4
5
Perfectly
4
Q

How is uncomplicated AOM managed in children?

A

Most will self-resolve within 3 days

  • Ibuprofen/Paracetamol: For fever and pain relief. Most cases will self-resolve within 3 days without antibiotics
  • Antibiotics: If indicated give Amoxicillin for 5-7 days or Erythromycin. Give delayed until 3 days of symptoms
  • Safety Net: advice to parents on when to seek further medical attention
How well did you know this?
1
Not at all
2
3
4
5
Perfectly
5
Q

What is the criteria for antibiotics in AOM?

A
  • Systemically unwell
  • Immunocompromised
  • Perforated eardrum or discharge
  • <2 years old and bilateral
  • Present for ≥4 days
  • <3 months old
How well did you know this?
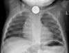
1
Not at all
2
3
4
5
Perfectly
6
Q

Which patients need hospital admission for AOM?

A
  • Severe systemic infection
  • Suspected complications e.g meningitis, mastoiditis, intracranial abscess, sinus thrombosis, or facial nerve paralysis
  • Children younger than 3 months of age with a temperature >38°C
How well did you know this?
1
Not at all
2
3
4
5
Perfectly
7
Q

What are some complications of AOM?

A
  • Hearing loss (usually temporary)
  • Otitis media with effusion
  • Perforated eardrum
  • Recurrent infection
  • Mastoiditis
  • Sinus thrombosis
  • Meningitis
  • Intracranial abscess
How well did you know this?
1
Not at all
2
3
4
5
Perfectly
8
Q

What is Glue ear and some risk factors for this?

A

Otitis Media with Effusion

  • Parental smoking
  • Recurrent AOM
  • Cleft palate
  • Down’s syndrome
  • Cystic fibrosis
  • Allergic rhinitis
  • Reflux
  • Enlarged adenoids

Those with Downs and Cleft should be regularly checked for OME by ENT

How well did you know this?
1
Not at all
2
3
4
5
Perfectly
9
Q

How does Glue ear present and what do you see on otoscopy?

A

Presentation

  • Reduction in conductive hearing
  • Speech and language developmental issues

Examination

  • Dull tympanic membrane
  • Fluid level or air bubbles
  • Retracted TM
How well did you know this?
1
Not at all
2
3
4
5
Perfectly
10
Q

How is OME diagnosed?

A
  • History of hearing loss
  • Otoscopy findings
  • Audiometry
  • Tympanometry
How well did you know this?
1
Not at all
2
3
4
5
Perfectly
11
Q

How is OME managed?

A
  • Active observation for 3 months: often self resolves, if not by this time send for audiometry and ENT review
  • Myringotomy and insertion of grommets: will fall out after a year, faster referral if significant hearing loss
  • Hearing aids
How well did you know this?
1
Not at all
2
3
4
5
Perfectly
12
Q

How is chronic suppurative otitis media managed in children?

A

Perforation - complication of AOM

  • Refer to ENT
  • Antibiotics, topical corticosteroids and intensive aural cleaning
How well did you know this?
1
Not at all
2
3
4
5
Perfectly
13
Q

What bacteria cause OE and how is otitis externa in children managed?

A

Always need to rule out ottorhea from an otitis media causing the otitis externa

  • Clean ear: If cannot visualise TM. Use micro suction, dry swabbing
  • Topical antibacterial: Acetic acid 2% with or without steroid for 1 week
  • Paracetamol/Ibuprofen: for pain
  • Safety net: avoid getting wet, come back if not resolving
How well did you know this?
1
Not at all
2
3
4
5
Perfectly
14
Q

Why are topical antibacterials only used for a short period of time in OE?

A

Can lead to chronic OE caused by a fungal infection

Use clotrimazole

How well did you know this?
1
Not at all
2
3
4
5
Perfectly
15
Q

What are common causes of hearing loss in children?

A

Congenital or Acquired

How well did you know this?
1
Not at all
2
3
4
5
Perfectly
16
Q

Children with deafness often present on the NHSP. Other children may present with speech and language or behaviour difficulties. How is hearing loss in children managed?

A

MDT

  • Speech and language therapy
  • Educational psychology
  • ENT specialist
  • Hearing aids for children who retain some hearing
  • Sign language
How well did you know this?
1
Not at all
2
3
4
5
Perfectly
17
Q

What is the pathophysiology of mastoiditis and some risk factors for this?

A

Complication of AOM

  • Mastoid air cells in temporal bone and communicate with middle ear via small canal
  • Infection can spread from the middle ear into the mastoid air cells causing infection of the bone of the mastoid air cells, causing necrosis and subperiosteal abscess
How well did you know this?
1
Not at all
2
3
4
5
Perfectly
18
Q

How is mastoiditis diagnosed and how does it present?

A

Diagnose with CT WITH CONTRAST

How well did you know this?
1
Not at all
2
3
4
5
Perfectly
19
Q

How is mastoiditis managed?

A
  • IV antibiotics: usually co-amoxiclav or ceftriaxone
  • Surgical intervention: mastoidectomy
How well did you know this?
1
Not at all
2
3
4
5
Perfectly
20
Q

What are the complications of mastoiditis?

A
  • Facial nerve palsy
  • Hearing loss
  • Meningitis
How well did you know this?
1
Not at all
2
3
4
5
Perfectly
21
Q

What is the epidemiology and pathophysiology of periorbital cellulitis?

A

Infection of tissues anterior to orbital septum

  • More common in those under 10 and in winter
  • Commonly from ethmoidal sinus as young children not yet formed their frontal sinuses until age 7 and thin lamina papyracea
  • Other causes: dental infection, endophthalmitis, trauma, foreign bodies, insect bites, skin infections (impetigo), eyelid lesions (chalazia, hordeola)
  • Organisms: Staph aureus, Strep pneumoniae, Haemophilus influenzae, Moraxella catarrhalis, group A streptococcus
How well did you know this?
1
Not at all
2
3
4
5
Perfectly
22
Q

What are some signs and symptoms of pre-septal cellulitis?

A
  • Acute onset
  • Absence of orbital signs (e.g painful eye movements, proptosis)
  • Eyelid oedema
  • Erythema
  • Fever
  • History of URTI or sinusitis
How well did you know this?
1
Not at all
2
3
4
5
Perfectly
23
Q

What are some differentials for pre-septal cellulitis?

A
  • Orbital cellulitis
  • Nephrotic syndrome
  • Allergic reaction
How well did you know this?
1
Not at all
2
3
4
5
Perfectly
24
Q

What are some investigations done for diagnosis of pre-septal cellulitis?

A

Thorough history (previous episodes, recent URTI) and clinical examination

  • Vital signs
  • Dentition
  • Anterior rhinoscopy with swab
  • Comprehensive ophthalmic examination
  • Neurological examination
  • Bloods
  • Contrast CT
  • ABG and lactate if considering sepsis
How well did you know this?
1
Not at all
2
3
4
5
Perfectly
25
How is pre-septal cellulitis managed?
* Refer for assessment * If well give PO antibiotics and treat outpatient
26
How does orbital cellulitis present?
Infection of ocular muscles and fat behind the anterior septum * Redness and swelling around the eye * Severe ocular pain * Visual disturbance * Proptosis * Ophthalmoplegia/pain with eye movements * Eyelid oedema and ptosis
27
How can you tell the difference between pre-septal and orbital cellulitis?
Orbital has: * Reduced visual acuity * Proptosis * Ophthalmoplegia/pain with eye movements
28
What classification is used for peri/orbital cellulitis?
Chandler Classification 1. Pre septal 2. Post septal 3. Subperisoteal abscess 4. Intraorbital abscess 5. Cavernous sinus thrombosis
29
How is orbital cellulitis investigated and managed?
**_Ix_** * **FBC:** WBC elevated, raised inflammatory markers. * **Clinical examination** involving complete ophthalmological assessment * **CT with contrast** * **Blood culture and microbiological swab** to determine the organism **_Management_** * **Admit to hospital** due to risk of intracranial spread and cavernous sinus thrombosis * **Refer to ENT and Ophthalmology** * **IV antibiotics** inc Cef/Met * **Surgical drainage** if not improving * **CT** if red flags of orbital cellulitis
30
What are the complications with orbital cellulitis?
* **Sight threatening** * **Life threatening:** cavernous sinus thrombosis, intracranial abscess, meningitis, sepsis * **Impaired ocular motility**
31
What are the complications of rhinosinusitis in children?
32
How may rhino sinusitis present in children?
Usually caused by viral infection and resolves in 2-3 weeks * Nasal blockage or congestion * Mouth breathing * Discoloured nasal discharge * Cough during the day or night due to post nasal drip
33
How is acute sinusitis managed in children?
**\<10 days:** paracetamol or ibuprofen and may self resolve, safety net **\>10 days:** high dose nasal corticosteroid e.g mometasone **Systemically unwell:** PO phenoxymethylpenicillin, if complications like orbital cellulitis admit to hospital
34
How is allergic rhino sinusitis managed in children?
* **All:** Saline irrigation and allergen avoidance * **Mild:** topical antihistamines * **Severe:** topic corticosteroids, sodium cromoglicate, montelukast
35
When is epistaxis abnormal in children?
Under the age of 2 - refer to ENT
36
What are some risk factors for epistaxis in children?
1. Activities with risk of nasal trauma or straining/raising ICP e.g. rugby, gymnastics 2. Coagulopathies 3. Hayfever or regular URTIs 4. Medication use
37
What do you need to rule out when a child has epistaxis?
* Foreign body * Septal haematoma
38
If a child has recurrent epistaxis from one nostril what do you need to consider?
**Juvenile nasopharyngeal angiofibroma** Especially if male aged 12-20, refer to ENT
39
How is epistaxis in children managed?
**_First aid_** * Lean child **forwards** over a bowl and encourage them to spit any blood out * **Pinch the soft part** of the nose and hold for at least **15 minutes** * Put ice pack on neck **_Primary care/ A&E management_** * If any bleeding points identified, obtain verbal consent from parent for **nasal cautery with silver nitrate.** Do not cauterise both sides of the septum in the same episode. * If bleeding continues, call ENT who will consider placing an **anterior or a posterior nasal pack** * In recurrent cases, a **full blood count and clotting profile** should be checked **DISCHARGE WITH NASEPTIN OINTMENT BD FOR 2 WEEKS**
40
What advice can be given to parents after a child has epistaxis to prevent recurrence?
**_Avoid_** - Strenuous physical activity - Bending forwards e.g. to tie shoelaces - Hot drinks/food/showers - Blowing nose - Picking nose - Spicy food
41
What are the causes of tonsillitis?
* **Most common:** Viral such as ***EBV or Adenovirus*** * ***S.Pyogenes*** * S.Pneumoniae * S.Aureus * Haemophilus influenzae * Morazella catarrhalis
42
How may tonsillitis present in children?
Usually aged 5 to 10 or 15 to 20 * Fever * Sore throat * Painful swallowing/poor oral intake * Vomiting * Abdominal pain * Headache **_Examination_:** red, inflamed and enlarged tonsils, with or without exudates Always examine the ears to visualise TM and check for lymphadenopathy
43
What is the FeverPAIN score and how do you interpret the results?
Work out likelihood of infection being due to Streptococcus Score of 4 or more warrants antibiotics
44
What is the Centor Score and how do you interpret it?
**Estimate the probability that tonsillitis is due to a** **bacteria** **infection, and will benefit from antibiotics** Score of 3 or more give antibiotics **Tender** lymphadenopathy
45
How is tonsillar size graded?
Based on how much space they take up in oropharynx Enlarged tonsils could be due to recurrent tonsillitis leading to scarring, doesn't mean it is tonsillitis
46
What are some differentials for tonsillitis in children?
* Glandular fever * Epiglottitis
47
How is tonsillitis in children managed?
* **Exclude other serious pathology**, e.g meningitis, epiglottitis and quinsy * **Calculate FeverPAIN and Centor score** * **Educate parents with likely viral tonsillitis,** and give safety net advice to return if the pain has not settled after 3 days or the fever rises above 38.3ºC. May consider delayed prescription * **If Centor ≥ 3 or the FeverPAIN score is ≥ 4. or immunocompromised or history of rheumatic fever** then prescribe antibiotics
48
When do children with tonsillitis need admission to hospital?
* ***Immunocompromised*** * ***Systemically unwell***, ***dehydrated*** * ***Stridor*** * ***Respiratory distress*** * ***Peritonsillar abscess***
49
When do children qualify for a tonsillectomy according to SIGN guidelines?
* 2 episodes of Quinsy * Recurrent febrile convulsions secondary to episodes of tonsillitis * OSA stridor or dysphagia secondary to enlarged tonsils
50
What are some complications of tonsillitis?
* Chronic tonsillitis * Peritonsillar abscess * Otitis media * Scarlet fever * Rheumatic fever * Post-streptococcal glomerulonephritis * Post-streptococcal reactive arthritis
51
How is post tonsillectomy bleeding managed in children? (important)
**Management:** * **Call ENT registrar** * **Get IV access** * **Bloods** inc FBC, clotting screen, G+S and crossmatch * **Keep the child calm** and give adequate analgesia * **Sit them up** and encourage them to spit the blood * **Make child NBM** incase an anaesthetic and operation is required * **IV fluids** for maintenance and resuscitation as required * **Definitive:** hydrogen peroxide gargle, adrenaline soaked swab, back to theatre If there is severe bleeding or airway compromise, call an anaesthetist
52
How does quinsy present in children?
* **Tonsillitis symptoms**: Sore throat, painful swallowing, fever, referred ear pain, swollen tender lymph nodes * **Trismus** * **Change in voice** “hot potato voice” * **Deviated uvula** * **Drooling**
53
What are some differentials for quinsy (peritonsillar abscess)?
* Tonsillitis * Peritonsillar cellulitis * Retropharyngeal abscess * Epiglottitiis
54
How is quinsy managed?
* **Refer to ENT** * **IV fluids** (if dehydrated) * **Broad spectrum IV antibiotic** (Benzylpenicillin plus Metronidazole) * **PO Dexamethasone** * **I+D under GA** * **Tonsillectomy within 6 weeks**
55
What is an important investigation to do with Quinsy?
**Glandular fever screen** Giving amoxicillin with glandular fever can result in permanent skin rash Give benzylpenicillin instead of co-amoxiclav
56
What is epiglottitis caused by and how does it present?
**HiB** and **Strep pneumoniae,** less so HiB since vaccines * Acute onset * High grade fever * Sore throat * Stridor (late sign) * Tripod position * Toxic looking child * No cough
57
What are some differentials for epiglottitiss?
* Laryngotracheobronchitis (Croup) * Inhaled foreign body * Retropharyngeal abscess * Tonsillitis * Peritonsillar Abscess * Diphtheria
58
How is epiglottitis diagnosed and investigated?
ALWAYS SECURE AIRWAY FIRST * Keep calm with parent and i**ntubation equipment** should always be nearby * **Throat Swabs:** Both bacterial and viral swabs taken on intubation * **Blood Tests:** FBC, cultures and CRP (once airway secured) * **Lateral Neck X-Ray** 1) Thumb-Print Sign (swollen epiglottis) (5) 2) Thickened aryepiglottic folds 3) Increased opacity of the larynx and vocal cords X-Rays can help rule out epiglottitis if a normal epiglottis is visualised, but should not waste time in a critical situation
59
How is epiglottitis managed?
1. **Secure the Airway:** escalate to senior ENT and anaesthetist 2. **Oxygen:** Parent can hold mask near child’s face 3. **Nebulised Adrenaline** 4. **IV Antibiotics** cover for haemophilus influenza (e.g. cefotaxime/ceftriaxone 5. **IV Steroids** 6. **IVI:** NBM until resolved
60
What are some complications with epiglottis?
* **Airway compromise** * **Mediastinitis**: If infection spreads to the retropharyngeal space * **Retropharyngeal or Parapharyngeal cellulitis/abscess** * **Pneumonia**: Especially following intubation * **Meningitis** * [**Sepsis**](https://teachmepaediatrics.com/emergency/emergency-medicine/sepsis/)
61
What is laryngomalacia and the epidemiology of this?
Congenital abnormality of the larynx making it **floppy** Most common cause of **stridor** in infants Usually presents at 4 weeks and resolves by 2 years
62
What are some risk factors for laryngomalacia?
Neuromuscular disease
63
How does laryngomalacia present?
* **High-pitched inspiratory stridor** worse on lying flat or on exertion * Normal cry
64
What are some differentials for laryngomalacia?
* Vocal Cord Paralysis * Subglottic stenosis * Laryngeal Atresia * [Croup](https://teachmepaediatrics.com/respiratory/upper-respiratory-tract/croup/) (Laryngotracheobronchitis) * Supraglottitis / [Epiglottitis](https://teachmepaediatrics.com/ent/throat/epiglottitis/) * Trauma (laryngeal fractures caused by direct trauma or strangulation
65
What investigations are done for laryngomalacia?
**Flexible endoscopy (laryngoscopy)** via the nose or mouth to view the larynx Rigid endoscopy if below level of larynx
66
How is laryngomalacia managed?
99% of cases resolve over time **Mild:** parental reassurance that will resolve by 12-16 months, may worsen at 6 months or during URTI **Severe:** e.g feeding difficulties, faltering growth, respiratory distress and apnoeas. Endoscopic aryepiglottoplasty aka supraglottoplasty **Life-Threatening:** Respiratory distress usually exacerbated by URTI, SEE IMAGE
67
What is glandular fever and the epidemiology of this?
**Infectious mononucleosis (IM)** caused by **Epstein-Barr virus** **_Triad:_** sore throat, fever, lymphadenopathy Usually **age 1-6** or **18-22**
68
How does glandular fever present in history and examination?
**_History_** * Sore throat * Swollen neck * Fever * Headaches * Nausea & vomiting * Generally tired all the time, despite adequate sleep * Generalised aches and pains in the muscles and joints The **odynophagia typically lasts 7-10 days** but generalized malaise, aches and myalgia and cervical lymphadenopathy may well persist for several weeks **_Examination_** * Enlarged inflamed tonsils (kissing tonsils) * Significant cervical lymphadenopathy * Abdominal tenderness & splenomegaly * Hepatomegaly * Palatal petechiae
69
What investigations are done to diagnose glandular fever?
**-FBC:** elevated lymphocytes **-LFTs:** elevated in week 2 or 3 until week five **-Monospot test:** may not show for a few weeks FBC and monospot test in 2nd week for diagnosis
70
What antibiotic should not be given in glandular fever and why?
Ampicillin/Amoxicillin as a maculopapular, pruritic rash develops
71
How is glandular fever managed?
* Rest * Fluids * Avoid alcohol * Avoid kissing * Simple analgesia for any aches or pains * Avoid contact sports for 4 weeks to reduce risk of splenic rupture
72
What are some complications of glandular fever?
* **Post viral fatigue:** may last up to a year * **Malignancy:** Burkitt and Hodkgin's lymphoma, nasopharyngeal cancer * **Splenic rupture** * **Encephalitis**
73
What are red flags for foreign bodies?
74
Where do inhaled foreign bodies tend to go?
Right main bronchus
75
What investigations are done for a ingested/inhaled foreign body?
* **Plain film chest radiograph** (assess for the foreign body, if radio-opaque, the presence of surgical emphysema, any widening of retropharyngeal tissue or loss of cervical lordosis)
76
How are ingested/inhaled foreign bodies removed?
* **If the FB is visualised in the oropharynx:** Magill forceps * **Otherwise, endoscopy under GA**