27 - Infectious Diseases 2 Flashcards

(79 cards)

1
Q

How does malaria present in children?

A

ALWAYS CHECK TRAVEL HISTORY

  • Drowsiness
  • Irritability
  • Poor feeding
  • Fever
  • Splenomegaly
  • Jaundiced
  • Seizures
  • Chills, fever, sweating cycling every 2-3 days
How well did you know this?
1
Not at all
2
3
4
5
Perfectly
2
Q

What organism causes malaria and when do children present?

A
  • Plasmodium Falciparum (75%)
  • Plasmodium Vivax

Most present within the first month, if not up to 6 months

How well did you know this?
1
Not at all
2
3
4
5
Perfectly
3
Q

What are some signs of severe malaria?

A
How well did you know this?
1
Not at all
2
3
4
5
Perfectly
4
Q

What investigations are done to diagnose malaria in children?

A
  • Thick and thin films: if initial test negative but suspected, film needs to be repeated up to 3 times (12, 24 and 48 hours)
  • Rapid antigen tests
  • Bloods:
  • FBC
  • Blood glucose rapid test and laboratory sample blood gas
  • U+Es, LFTs, CRP, Clotting screen
  • Blood cultures
  • G6PD if primaquine is required
How well did you know this?
1
Not at all
2
3
4
5
Perfectly
5
Q

How are all children with malaria regardless of cause and severity managed?

A
  • Inform public health
  • Admit to hospital for 24h for observation
How well did you know this?
1
Not at all
2
3
4
5
Perfectly
6
Q

How is complicated malaria in children managed?

A
  • Admit to HDU/PICU
  • IV artesunate for 24 hours
  • Then a full course of oral Artemether- lumefantrine when can tolerate
  • Hourly observations including neuro in first 12 hours as risk of rapid deterioration
How well did you know this?
1
Not at all
2
3
4
5
Perfectly
7
Q

How is uncomplicated falciparum malaria treated in children?

A

Can be outpatient

First line: Artemether-lumifantrine or DHA-PPQ (Dihydroartemisinin-piperaquine).

  • Quinine with doxycycline or Atovaquone-proguanil can also be used
How well did you know this?
1
Not at all
2
3
4
5
Perfectly
8
Q

How is uncomplicated non-falciparum malaria treated?
What do you need to also check and why?

A

Chloroquine or Primaquine

Always check G6PD

How well did you know this?
1
Not at all
2
3
4
5
Perfectly
9
Q

How is a pregnant woman with malaria treated?

A

If neonate infected will present like neonatal sepsis

How well did you know this?
1
Not at all
2
3
4
5
Perfectly
10
Q
A

C, E, B

Always be thinking TB and malignancy

How well did you know this?
1
Not at all
2
3
4
5
Perfectly
11
Q

What are contraindications to vaccination?

A
  • Previous anaphylaxis to a vaccine or vaccine component
  • Primary or acquired immunodeficiency
  • Immunosuppressive therapy. e.g. chemotherapy or radiotherapy, high-dose steroids).

Temporary deferral:

  • Acutely unwell e.g. with fever >38.5°C. Postpone immunisation until well.
  • Immunoglobulin therapy
How well did you know this?
1
Not at all
2
3
4
5
Perfectly
12
Q
A

A and C

C is DiGeorge syndrome so immunosuppressed

How well did you know this?
1
Not at all
2
3
4
5
Perfectly
13
Q

Which vaccines in the routine immunisation schedule are live?

A
  • MMR
  • Rotavirus
  • Nasal flu
How well did you know this?
1
Not at all
2
3
4
5
Perfectly
14
Q

What are the different types of adverse events following immunisation? (AEFI)

A
  • Programme-related e.g. wrong dose, vaccine inappropriately prepared, vaccine stored incorrectly.
  • Vaccine-induced Reactions in individuals to a particular vaccine
  • Coincidental. Not a true AEFI but only linked because of the timing of the occurrence
  • Unknown
How well did you know this?
1
Not at all
2
3
4
5
Perfectly
15
Q

What are some reasons for under vaccination?

A
  • Vaccine hesitancy/refusal
  • Children in large families
  • Children with lone or single parents
  • Looked after children
  • Children in mobile families
  • Migrant/asylum seeking children
  • Children with disabling or chronic conditions
  • Children in ethnic minority groups
How well did you know this?
1
Not at all
2
3
4
5
Perfectly
16
Q

What is toxic shock syndrome and what is it caused by?

A

Acute, multi-system inflammatory response to an exotoxin-mediated bacterial infection

Life-threatening with rapid progression to septic shock

Common pathogens: Staphylococcus aureus and Group A Streptococcus (GAS; S pyogenes)

How well did you know this?
1
Not at all
2
3
4
5
Perfectly
17
Q

What are some risk factors for toxic shock syndrome in children?

A

Always consider in burns!!!!!

Usually small surface area burn presenting 2 days after burn

How well did you know this?
1
Not at all
2
3
4
5
Perfectly
18
Q

What is the centre for disease control and prevention diagnostic criteria for TSS?

A

Fever, Hypotension, Rash

PLUS

3 or more organ systems involved

How well did you know this?
1
Not at all
2
3
4
5
Perfectly
19
Q

Why are children more susceptible to severe toxic shock syndrome?

A
  • Immature immune systems that cannot produce antitoxin antibodies
  • Infants under 1 are protected by passive immunity at birth and in breast milk
  • Small burns worse as less aggressively treated
How well did you know this?
1
Not at all
2
3
4
5
Perfectly
20
Q

When should you suspect toxic shock syndrome?

A

An unwell child with a burn or other risk factors is TSS until proven otherwise

Similar presentation to sepsis, multi system involvement

How well did you know this?
1
Not at all
2
3
4
5
Perfectly
21
Q

What are some non-specific signs of TSS?

A
  • High fever ≥38.9
  • Tachycardia
  • Tachypnoea
  • Capillary refill >3 seconds
How well did you know this?
1
Not at all
2
3
4
5
Perfectly
22
Q

How is toxic shock syndrome managed acutely?

A

Same as sepsis!!!

  1. High flow oxygen
  2. Obtain IV/IO Access
  3. Obtain bloods
  4. Empirical sepsis antibiotics plus IV clindamycin
  5. Consier fluid resuscitation: fluid bolus: 10-20ml/kg saline over 5-10 mins, beware fluid overload (crepitations, gallop rhythm, hepatomegaly) Consider catheterisation
  6. Observe minimum every 15-30 minutes
  7. Analgesia
  8. Gentle clean and dressing of wound, take wound swabs for MC+S
  9. Refer to Paediatrics, (Plastic Surgery if burns/skin loss), PICU, Microbiology
How well did you know this?
1
Not at all
2
3
4
5
Perfectly
23
Q

What are empirical antibiotics for TSS once microbiology results are back?

A

If not improving give Fresh Frozen Plasma and IVIG

How well did you know this?
1
Not at all
2
3
4
5
Perfectly
24
Q

What is the most common cause of neonatal encephalitis?

A

Herpes Simplex Virus

Can present up to 4 weeks after delivery, give IV aciclovir if mother infected with vulval herpes

That is why shouldn’t kiss newborns

How well did you know this?
1
Not at all
2
3
4
5
Perfectly
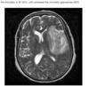
25
What do investigations show with herpes simplex encephalitis?
Temporal changes on CT
26
How does Herpes Simplex tend to present in children?
* Gums * Lips * Eyes * Genitals
27
What is chicken pox caused by and how does it present?
Varicella Zoster Virus * **Prodrome:** Fever is often the first symptom, fatigue and malaise * **Vesicular rash:** starting papular on trunk or face and spreading outwards * **Lesions scab over**
28
What is the management of chicken pox in children?
* Encourage fluids and give paracetamol * Trim nails * Calamine lotion * School exclusion until crusted over * **Immunocompromised patients and Newborns need varicella zoster immunoglobulin (VZIG).** If chickenpox develops then give IV aciclovir
29
What are some rare complications of chicken pox?
* **Bacterial superinfection:** AVOID NSAIDs * **Pneumonia** * **Encephalitis** (cerebellar involvement may be seen) * **Disseminated haemorrhagic chickenpox** * **Arthritis, nephritis and pancreatiti**s
30
What are the five types of nappy rash?
* Irritant/Ammonia dermatitis * Candida * Seborrhoeic dermatitis * Psoriasis * Atopic eczema
31
How does candidal nappy rash present?
**Erythematous rash** which involve the **flexures** and has characteristic **satellite lesions** * Rash extending into skin folds * Larger red macules * Well demarcated scaly border * Circular pattern to the rash spreading outwards, similar to ringworm * Satellite lesions * May have oral thrush, check tongue
32
How is candidal nappy rash managed?
* **Clotrimazole +/- Hydrocortisone** depending on severity * Use highly absorbent disposable nappies not towel * Change nappy as soon as possible * Expose napkin area to air when possible * DO NOT use barrier preparation like sudocrem
33
How should cellulitis in children be managed?
* **Take a swab** if high risk * **Draw around area of redness** * **Antibiotics (see below)** * **Manage any underlying conditio**n that may predispose to cellulitis e.g diabetes, venous insufficiency, eczema, oedema * **Reassess if not improving** in 2-3 days of antibacterial or if spreading/pain out of proportion
34
What children need hospital admission for IV antibiotics for cellulitis?
* Under 1 * Orbital cellulitis * Osteomyelitis * Septic arthritis * Necrotising fasciitis * Sepsis
35
What antibacterial is used for the following conjunctivitis: * Purulent * Chalmydial * Conjunctival
36
What are the different types of conjunctivitis in children?
* Allergic * Viral * Bacterial
37
What is influenza caused by and how does it present?
* **Highly infectious** caused by influenza viruses types (A, B, and C) * Influenza A more virulent and occurs more frequently; Influenza B is milder; and influenza C causes mild or asymptomatic disease, similar to common cold * **Symptoms usually appear suddenly:** chills, fever, headache, extreme fatigue, myalgia, dry cough, sore throat and nasal congestion
38
What is the typical course of influenza and which children are more likely to develop it severely?
Self limiting between 2-7 days * Under 6 months * Pregnant and up to 2 weeks post partum * Severe immunosuppression * Long-term conditions such as respiratory, renal, hepatic, neurological or cardiac disease * Diabetes * Morbid obesity (BMI ≥ 40 )
39
How is influenza managed?
* If simple treat at home supportively * If high risk give **Oseltamivir or Inhaled Zanamivir** within 48 hours of symptom onset
40
When do influenza vaccines take place and which children are eligible for them?
Late September to Late November * Children 6months or over who are high risk * All children aged 2–15 years * Children living in long-stay residential homes * Household contacts of immunocompromised individuals
41
What type of influenza vaccine is given to children?
**Live attenuated nasal spray** Does contain gelatin!!!
42
When are children offered the BCG vaccination?
43
How may TB present in children?
* Persistent cough * Weight loss and night sweats * Fever * Persistent oral candida * Persistent UTIs * Widespread lymphadenopathy * Hepatosplenomegaly * Failure to thrive * Developmental delay
44
How is active TB diagnosed?
**_Screened_** * Mantoux (affected by BCG) * Interferon GRA (not affected by BCG but cannot tell active from latent) **_Diagnosis_** * CXR * 3 x Sputum Smear * Sputum culture (gold standard) * NAAT
45
How is TB in children managed?
Decide whether directly observed or not **Initial Phase (2 months)** * Rifampicin * Isoniazid * Pyrazinamide * Ethambutol **Continuation Phase (4 months, 10 months if CNS involvement)** * Rifampicin * Isoniazid
46
Children with CNS TB need 12 months of eradication therapy, what else do they need?
Oral prednisolone or Dexamethasone slowly withdrawn over 4-8 weeks
47
What children with latent TB are at risk of become active TB so need full eradication therapy?
* HIV positive * Diabetes * Anti-TNFa treatment * Immunosuppressed
48
How is latent TB in children managed?
**Neonates:** If contact, give I[soniazid](https://bnfc.nice.org.uk/drug/isoniazid.html) (with [pyridoxine hydrochloride](https://bnfc.nice.org.uk/drug/pyridoxine-hydrochloride.html)) followed by a Mantoux test after 6 weeks of treatment. If positive continue for 6 months, if negative stop and give BCG **4 weeks to 2 years:** Close contact with a person with tuberculosis which has not been treated for at least two weeks, should start treatment for latent tuberculosis and have a Mantoux test. Either [isoniazid](https://bnfc.nice.org.uk/drug/isoniazid.html) (with [pyridoxine hydrochloride](https://bnfc.nice.org.uk/drug/pyridoxine-hydrochloride.html)) alone for 6 months or [rifampicin](https://bnfc.nice.org.uk/drug/rifampicin.html) and [isoniazid](https://bnfc.nice.org.uk/drug/isoniazid.html) (with [pyridoxine hydrochloride](https://bnfc.nice.org.uk/drug/pyridoxine-hydrochloride.html)) for 3 months **\> 2 years:** Mantoux test, and if positive (and active tuberculosis is not present), then treat as above for children aged 4 weeks to 2 years. If the test is negative, then offer an interferon-gamma release assay after 6 weeks and repeat the Mantoux test
49
What are the side effects of antiTB drugs?
50
When should you suspect gastroenteritis in children?
51
What is the most common cause of acute gastroenteritis in children and what is the biggest risk with this?
**Rotavirus (**also noro and adenovirus) Risk of dehydration Starts with vomiting then diarrhoea
52
What children are at increased risk of dehydration with gastroenteritis?
53
What are some red flag features of vomiting and diarrhoea that point away from simple gastroenteritis?
**_Differentials_** * Systemic infection (UTI, pneumonia, meningitis, sepsis). * Appendicitis, intussusception, bowel obstruction, Hirschsprung’s * HUS
54
What are some important questions to ask a parent when a child presents with gastroenteritis symptoms?
* Onset, frequency and duration of symptoms * Number of times child has urinated in past 24 hours * Any other family/contacts unwell? * Recent foreign travel? * Consumption of possible unsafe foods (takeaway, BBQ)? * Recent medication use (especially antibiotics)
55
How do you assess dehydration in gastroenteritis?
56
What investigations are done for children presenting with gastroenteritis?
* BM * If IV fluids being given check U+Es, VBG and glucose
57
How is acute gastroenteritis managed based on the level of dehydration? (USE IMAGE)
**REHYDRATION** (see picture below) **_No dehydration_** * **Consider giving 5 ml/kg of ORS (Dioralyte)** or Apple juice after each large watery stool if at increased risk of dehydration * **Ondansetron** * Encourage breastfeeding, other milk feeds and fluid intake * Give full strength milk straight away. * Reintroduce child’s usual solid food * Avoid fizzy drinks and fruit juices until diarrhoea has stopped
58
If a child has prolonged diarrhoea what needs to be investigated?
Stool culture for MC and S
59
What are some complications of acute gastroenteritis?
* Dehydration * Hypoglycaemia * Malnutrition * Lactose intolerance
60
What are some causes of chronic gastroenteritis?
* Cows' milk intolerance * Toddler diarrhoea * Coeliac disease * Post-gastroenteritis lactose intolerance
61
How do we prevent vertical HIV transmission from mother to child?
**_Avoid breastfeeding_** **_At birth_** **Mode of delivery**: * ***Normal vaginal delivery if*** viral load \< 50 copies / ml * ***C section if*** \> 50 copies copies / ml and in all women with \> 400 * ***IV zidovudine*** during caesarean if viral load unknown or \> 10000 **Prophylaxis treatment to baby:** * **Low risk babies (mums viral load is \< 50):** zidovudine for 4 weeks * **High risk babies (mums viral load is \> 50 copies):** zidovudine, lamivudine and nevirapine for 4 weeks
62
When and how do we test babies born from HIV positive mothers to see if they have caught it?
**HIV PCR/Viral Load:** birth, 3 months, 6 months **HIV Antibodies:** done at 18-24 months as before mother's antibodies still present If both negative and mum is not breastfeeding then baby is HIV -ve
63
When should we test for HIV in children and what do we need to do before testing?
GAIN INFORMED CONSENT * PUO * Lymphadenopathy * Hepatosplenomegaly * Persistent diarrhoea * Parotid enlargement * Shingles * Recurrent slow-to-clear infections * Failure to thrive * TB; pneumocystosis; toxoplasmosis; cryptococcosis; histoplasmosis;
64
How is paediatric HIV managed?
**_MDT Approach_** * ***Antiretroviral therapy*** (***ART***): aim for normal CD4 and undetectable viral load * ***Normal childhood vaccines***, avoiding or delaying live vaccines * ***Prophylactic*** ***co-trimoxazole*** (***Septrin***) for children with low CD4 counts, to protect against pneumocystis jirovecii pneumonia (PCP) * ***Treatment of opportunistic infections*** * ***Safe sex talk***
65
Children can get Hep B via vertical transmission. What is the typical prognosis with this?
* **Majority clear within 2 months** * **Chronic Hep B:** 5% will develop cirrhosis and 0.05% will develop hepatocellular carcinoma before adulthood
66
What do the following mean on Hep B testing: HBsAg HBeAg HBcAb HbSAb (watch Z2F's youtube)
* ***Surface antigen*** (***HBsAg***) – active infection * ***E antigen*** (***HBeAg***) – implies high infectivity * ***Core antibodies*** (***HBcAb***) – past or current infection * ***Surface antibody*** (***HBsAb***) – vaccination, past or current infection * ***Hepatitis B virus DNA*** (***HBV DNA***) – direct count of the viral load
67
When screening for Hep B infection what are you screening for and which children need Hep B screening? (watch Z2F YouTube video)
* HBcAb (past infection if IgG, current it IgM) * HBsAg (current infection) If above are positive then test for HBeAg and HBDNA
68
How are children born to Hep B positive mothers managed?
**Given both of the following in first 24 hours of life:** * Hepatitis B vaccine * Hepatitis B immunoglobulin infusion * **Additional hep B vaccine at 1 and 12 months of age**, in addition to normal 2, 3, 4 months 6 in 1 * **Tested for HBsAg at 1 year**
69
Can Hep B positive mothers breast feed?
Yes if baby had all vaccinations
70
When are babies vaccinated for Hep B?
Injection of HBsAg at 8, 12, 16 weeks as part of 6 in 1
71
How are Hep B positive children managed?
Regular specialist follow up to assess monitor **serum ALT, HbeAg, HBV DNA, physical examination** and **Liver US**
72
How common is vertical transmission of Hep C to babies?
* 5 – 15% of the time * Hep C antivirals and precautions not recommended in pregnancy * Very unlikely that children will pass on hep C to others as they do not engage in sexual activity or IV drug use
73
Can mothers with Hep C breastfeed?
Yes as long as nipples are not cracked and bleeding
74
How are children tested for HepC?
Hep C antibody test at 18 months
75
Most children can clear Hep C. How are children with chronic hep C managed?
* Regular specialist follow up to monitor LFTs and hepatitis C viral load * Treatment is typically ***delayed until adulthood*** unless child is significantly affected, because children are usually asymptomatic * ***Pegylated interferon*** and ***ribavirin if aged over 3 and symptomatic***
76
What is PIMS?
Associated with COVID Mimics Kawasaki and Toxic shock syndrome. **KAWASHOCKI**
77
What is the main complication with PIMS-TS that differs from Kawasaki?
Do echocardiogram * **Myocarditis**: raised troponin and pro-BNP Coronary artery aneurysms in Kawasaki
78
Why is clindamycin in toxic shock syndrome and PIMS-TS?
To cover Group A strep
79
How is PIMS-TS managed?
* IV methylprednisolone * Aspirin for thrombosis prevention * IV immunoglobulins * Clindamycin cover ALWAYS BE DOING ECHOCARDIOGRAMS