9 - Respiratory 2 Flashcards

(88 cards)

1
Q

What is bronchiectasis and the pathophysiology of this?

A

Permanent dilation of the bronchi/bronchioles secondary to chronic infection/inflammation

Scarring reduces the number of cilia so decreases mucus clearance and predisposes to further infection

How well did you know this?
1
Not at all
2
3
4
5
Perfectly
2
Q

What are the causes of bronchiectasis in children?

A
  • Cystic fibrosis
  • Post-infection: e.g TB, Pertusiss
  • Immunodeficiency: HIV, agammaglobulinaemia, common variable immune deficiency or IgA/IgG deficiency
  • Primary Cilliary Dyskinesia
  • Foreign body aspiration
  • Congenital Syndromes: Young’s, Kartagener, Yellow Nail Syndrome
How well did you know this?
1
Not at all
2
3
4
5
Perfectly
3
Q

What is primary cilliary dyskinesia? (A.K.A Kartagener’s syndrome)

A
  • Autosomal recessive
  • Reduced functioning of bronchial cilia
  • Problems with mucocilliary clearance so increased susceptibility to infections and bronchiectasis
  • Infertility, Sinusitis and Situs Invertus are common symptoms
How well did you know this?
1
Not at all
2
3
4
5
Perfectly
4
Q

How is PCD diagnosed and treated?

A
  • Nasal brushing or Bronchoscopy: examine functioning of cilia
  • Treat with antibiotics, physio, high calorie diet
How well did you know this?
1
Not at all
2
3
4
5
Perfectly
5
Q

What are the following conditions:

  • Young’s Syndrome
  • Kartagner Syndrome
  • Yellow Nail Syndrome
A
  • Young’s syndrome: Bronchiectasis, Reduced fertility and Rhinosinusitis
  • Kartagener: Same as PCD. Bronchiectasis, Situs Invertus, Sinusitis, Infertility
  • Yellow-nail syndrome: pleural effusions, lymphoedema and dystrophic nails. Bronchiectasis occurs in around 40% of patients
How well did you know this?
1
Not at all
2
3
4
5
Perfectly
6
Q

How may a child with bronchiectasis present?

A
  • Chronic productive cough
  • Large amounts of purulent sputum
  • Haemoptysis
  • Chest pain
  • Wheeze
  • Breathlessness on exertion
  • Recurrent or persistent infections of the lower respiratory tract
How well did you know this?
1
Not at all
2
3
4
5
Perfectly
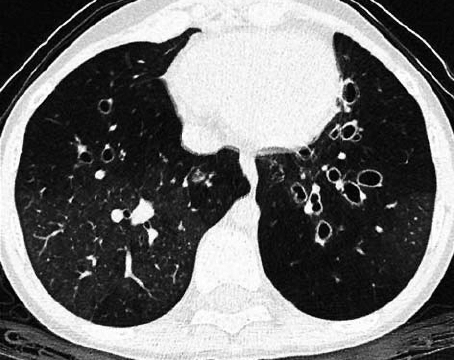
7
Q

What investigations should you do for children with suspected bronchiectasis?

A

Step 1: Confirm Diagnosis

  • CXR: may be normal or may show bronchial wall thickening or airway dilatation
  • HRCT: gold standard

Step 2: Find underlying cause

  • Chloride sweat test: must be done to exclude CF, CFTR gene analysis if results borderline
  • FBC: assess lymphocyte and neutrophil counts
  • Immunoglobulin panel: assess for immunoglobulin deficiency
  • Specific antibody levels to vaccinations e.g. pneumococcal or Hib vaccine
  • If bronchoscopy is performed a ciliary brush biopsy can be taken.
  • HIV test
  • Microbiological assessment
  • Lung Function tests
How well did you know this?
1
Not at all
2
3
4
5
Perfectly
8
Q

What signs are indicative of bronchiectasis on HRCT in children?

A
  • Bronchial wall thickening
  • Diameter of bronchus larger than bronchial artery next to it (Signet Ring)
  • Visible peripheral bronchi

Different patterns different aetiologies

  • Bilateral upper lobe bronchiectasis commoner in CF
  • Unilateral upper lobe bronchiectasis commoner post-TB infection
  • Focal bronchiectasis (lower lobe) after foreign body inhalation
How well did you know this?
1
Not at all
2
3
4
5
Perfectly
9
Q

What may lung function tests show in a child with bronchiectasis?

A

Mild: Normal

Severe: obstructive or mixed as scarring occurs

How well did you know this?
1
Not at all
2
3
4
5
Perfectly
10
Q

What are the management principles in bronchiectasis in children?

A
  • Preventing progression of lung disease
  • Symptomatic relief
  • Ensure normal growth and development
How well did you know this?
1
Not at all
2
3
4
5
Perfectly
11
Q

How is bronchiectasis managed in children?

A
  • Chest physiotherapy: no evidence but taught how to clear mucus, do daily
  • Antibiotics for flares: test for pseudomonas and erradicate, also give vaccinations for pneumonia and flu
  • Bronchodilators: for wheeze and for before chest physio
  • Regular follow up and monitoring: check growth, encourage parents not to smoke
How well did you know this?
1
Not at all
2
3
4
5
Perfectly
12
Q

What are some complications of bronchiectasis in children?

A
  • Recurrent infection
  • Life-threatening haemoptysis
  • Lung abscess
  • Pneumothorax
  • Poor growth and development
How well did you know this?
1
Not at all
2
3
4
5
Perfectly
13
Q

What is cystic fibrosis and the epidemiology of this?

A

Autosomal recessive multi-system disease with predominantly respiratory symptoms. 1 in 25 are carrier, 1 in 2500 have it

Caused by mutations to CFTR gene on chromosome 7. This encodes a chloride channel.

Most diagnosed at birth due to newborn heel prick screening, others are diagnosed following characteristic presentations (e.g. failure to thrive, recurrent chest infections, steatorrhea)

How well did you know this?
1
Not at all
2
3
4
5
Perfectly
14
Q

What is the pathophysiology of the respiratory symptoms in CF?

A

Dehydration of airway fluid leading to muco-cilliary dysfunction

CFTR channels on the apical surface of epithelial cells. Defects in normal ion transport leads to dehydration and depletion of airway surface liquid so cilia dysfunction

Reduced mucus clearance, airway obstruction and a predisposition to infection. Recurrent infection leads to chronic bronchitis, damage to the bronchi and eventual bronchiectasis

How well did you know this?
1
Not at all
2
3
4
5
Perfectly
15
Q

What are some signs in a newborn of CF before heel prick testing is back?

A
  • Meconium Ileus
  • Steatorrhea
  • Failure to thrive/Slow growth
  • Recurrent chest infections with clubbing
How well did you know this?
1
Not at all
2
3
4
5
Perfectly
16
Q

What are the respiratory symptoms of CF?

A

Productive cough and Recurrent chest infections

In childhood Staphylococcus aureus and Haemophilus influenza are commonly isolated

In older age groups colonisation with Pseudomonas aeruginosa becomes increasingly common

Recurrent infections result in bronchiectasis secondary to damage to the bronchial walls

How well did you know this?
1
Not at all
2
3
4
5
Perfectly
17
Q

What are some other symptoms of CF not involving the respiratory system?

A

Pancreatic Disease: Acute/Chronic pancreatitis, CF related Diabetes

GI Disease: Meconium Ileus, Distal intestinal obstruction syndrome, Liver Cirrhosis,Rectal prolapse

Malignancies: Increase risk of large and small bowel, pancreas and biliary tract, Hepatocellular carcinoma

Infertility

Poor growth/failure to thrive

How well did you know this?
1
Not at all
2
3
4
5
Perfectly
18
Q

What are some signs on examination of CF?

A
  • Low weight or height on growth charts
  • Nasal polyps
  • Finger clubbing
  • Crackles and wheezes on auscultation
  • Abdominal distention
How well did you know this?
1
Not at all
2
3
4
5
Perfectly
19
Q

What are some other causes of clubbing in children?

A
  • Hereditary clubbing
  • Cyanotic heart disease
  • Infective endocarditis
  • Cystic fibrosis
  • Tuberculosis
  • Inflammatory bowel disease
  • Liver cirrhosis
How well did you know this?
1
Not at all
2
3
4
5
Perfectly
20
Q

How is cystic fibrosis diagnosed?

A
  • Newborn blood spot testing: Looks at immune-reactive trypsin test, need to do sweat test if positive
  • Sweat test: Gold standard. Sweat chloride > 60mmol/L is considered positive for CF. 30-59mmol/L is inconclusive (genetic testing indicated) and < 30mmol/L is considered negative
  • Genetic testing for CFTR gene: usually for adults, can be performed by amniocentesis or chorionic villous sampling
How well did you know this?
1
Not at all
2
3
4
5
Perfectly
21
Q

What is the issue when a CF patient becomes colonised with Pseudomonas Aeruginosa?

A
  • Often resistant to multiple antibiotics so difficult to clear
  • Avoid contact with other CF patients
  • Treated with long term nebuliser antibiotics e.g Tobramycin
  • Also can use oral ciprofloxacin
How well did you know this?
1
Not at all
2
3
4
5
Perfectly
22
Q

What monitoring is done for a child with CF in general?

A

Annually:

  • Pulmonary assessment
  • Assessment of nutrition and intestinal absorption
  • Assess for liver disease
  • Test for CF related diabetes form age 10
  • Psychological assessment
  • Assess exercises
How well did you know this?
1
Not at all
2
3
4
5
Perfectly
23
Q

What are some complications of Cystic Fibrosis?

A
  • FAILURE TO GROW
  • Delayed puberty
  • Arthritis
  • Osteoporosis
  • Infertility
  • Liver disease
  • Diabetes
How well did you know this?
1
Not at all
2
3
4
5
Perfectly
24
Q

How is the pulmonary disease in CF managed?

A

Always use MDT approach - two aims of treatment

Clearance of secretions

  • Chest physio twice daily to clear mucus and prevent infection
  • Exercise to clear chest
  • Mucoactive agents

Managing/Preventing Infections

  • PO Flucloxacillin prophylaxis for S.Aureus from diagnosis to age 6
  • Oral/IV eradication antibiotics plus inhaled antibiotic if get P.Aeruginosa or B Cepacia. If can’t eradicate use long term inhaled antibiotic
  • Lung transplant if progressive respiratory failure
How well did you know this?
1
Not at all
2
3
4
5
Perfectly
25
What mucoactive agents are used in CF?
* **rhDNase:** first-line, given via nebuliser it cleaves extracellular deoxyribonucleic acid and helps reduce viscosity and promote sputum clearance * **Hypertonic sodium chloride**: may be used alone or with rhDNase in those with inadequate response. Given via a nebuliser, it has osmotic action that hydrates airway secretions * **Mannitol dry powder for inhalation**: used in patients intolerant, ineligible or not responding to rhDNase *and* have rapidly declining lung function *and* where other osmotic agents are not appropriate. Inhaled via a handheld device
26
What things are checked on a pulmonary assessment for a child with CF?
* **Growth chart:** measure height and weight * **O2 Sats** * **Take sputum sample:** for microbiological investigations. VERY IMPORTANT * **Spirometry:** lung function testing * **CXR** * **Physio assessment** * **Bloods:** FBC, WBC, Aspergillus
27
What antibiotic is used for P.Aeruginosa infections in CF?
Nebulised colistimethate sodium
28
What type of lung transplant is used for CF?
*Bilateral Sequential Lung Transplant* - to avoid leaving a source of infected secretions **Contraindication:** B.Cepacia infection Does not address extra-pulmonary manifestations of CF
29
What microorganisms usually colonise CF patients?
**Younger:** Staph Aureus, H. influenzae, and Strep. pneumoniae **Older:** Pseudomonas aeruginosa, Aspergillosis, Burkholderia cepacia (associated with rapid progression of lung disease)
30
How is malabsorption of CF managed?
* ***Do nutritional assessment*** * ***Faecal elastase test*** * ***High-calorie diet*** * Consider ***enteral feeding*** if not working * Take ***CREON*** to help digest fats if steatorrhea (replace pancreatic insufficiency of lipase) * ***Take Vitamin A,D, E supplements*** as these are fat soluble
31
What test can you do to test for malabsorption in CF?
**Faecal Elastase** tests for exocrine insufficiency
32
How is liver disease in CF managed?
* **Annual LFTs** and examination * **Liver US** if abnormality * **Urseodeoxycholic Acid** if abnormal LFTs to improve biliary flow * **Transplantation** if cirrhosis. May be done alone or liver-lung, liver-pancreas * Remember abnormal LFTs could be medication side effect
33
How is CF related diabetes managed?
Screened for annually from the age of 10 **_Diagnosis_** * **Continuous glucose monitoring** (CGM) * **Serial glucose testing** over several days * **Oral glucose tolerance testing** (OGTT) – if OGTT is abnormal perform CGM or serial glucose testing over several days to confirm the diagnosi*s* When diagnosed patients need ***appropriate education***. Treatment is with ***insulin***.
34
How does DIOS (distal intestinal obstruction syndrome) present?
* **Abdominal pain:** recurrent bouts of colicky abdominal pain * **Palpable caecal mass** * **Abdominal distention and flatulence** * **Vomiting** Clinical findings may mimic those of [appendicitis](https://radiopaedia.org/articles/acute-appendicitis?lang=gb) or partial intestinal obstruction
35
How is DIOS diagnosed?
* **AXR:** faecal loading * **CT abdomen:** signs of small bowel obstruction
36
How is DIOS managed?
Treat in specialist CF centre * **IV fluids** * **Water-soluble (e.g. Gastrografin) orally or enterally:** First line, causes osmotic influx of water into bowel. * **Macrogol:** second line * **Surgery:** colonoscopy last line * **Prevention:** encourage fluids, regular stool softeners, optimising pancreatic enzyme replacement
37
What two microorganisms in CF mean children need to be seen in separate CF clinics?
* P.aeruginosa * B.cepacia
38
If a CF child is having regular pulmonary exacerbations, what should they be given?
Regular Azithromycin
39
What is a dangerous respiratory complication of CF?
**Pneumothorax** Can also have haemoptysis
40
What counselling needs to be given to CF children?
* **Psychological counselling:** often depressed and anxious * **Genetic counselling** * **Fertility counselling**
41
What are some new novel therapies for CF?
* **CFTR modulator**s e.g tezacaftor, ivacaftor and elexacaftor * **Gene therapy**
42
What is the prognosis with CF?
Death often from pneumonia or cor pulmonale Average life expectancy of 50
43
What are some URTI's in children?
* Epiglottitis * Croup * Whooping cough * Diphtheria * Tonsillitis
44
What are some signs and symptoms of URTIs in children?
* Stridor * Sore throat * Coryza * Cough * Sneezing
45
What is the aetiology and epidemiology of Croup?
**_Aetiology_** * **Parainfluenza Virus** * Influenza * Adenovirus * Respiratory Syncytial Virus (RSV) * Diphtheria (leads to epiglottis) Can have bacterial superinfection **_Epidemiology_** * Peak incidence at 2 years * Age 6 months to 6 years most common * M\>F
46
What is seen on history and examination of a child with croup?
* **Low grade fever and coryza** a few days before * “**Barking”** cough, occurring in clusters of coughing episodes * **Stridor** * **Respiratory distress** Croup starts is nasopharynx then moves to larynx that is why there is a prodrome!
47
What are some differentials for croup?
Really important to consider epiglottis and foreign body!
48
How can you tell the difference between croup and epiglotitis?
49
How is the severity of Croup classified and what are some red flags?
**Westley Score** (determines treatment) * ***Mild Croup** =* occasional barking cough, no audible stridor at rest, no suprasternal or intercostal recession, child is happy and will drink, eat & play * ***Moderate Croup*** = frequent barking cough, **audible stridor at rest**, suprasternal and sternal wall retraction at rest, child is not distressed or agitated and will still show interest in its surroundings * ***Severe Croup** =* frequent barking cough, prominent inspiratory stridor at rest, marked sternal wall retractions, child will appear distressed/agitated or lethargic or restless **Red Flags:** Drowsiness, Signs of respiratory failure, tachycardia
50
What investigations are done for Croup and what do they show?
CLINICAL DIAGNOSIS * **Basic Observations:** O2 Sats * **CXR:** if think foreign body, STEEPLE SIGN
51
How is Croup managed?
**Dexamethasone, Oxygen, Nebulised Adrenaline** * **_All children_**_:_ single dose ***IM or IV dexamethasone***, ***anti-pyretics, oral fluids,*** regularly checking child, parent education * **_Mild (≤2)_**_:_ outpatient management * **_Moderate (3-7)_**: consider outpatient management, if no improvement or ongoing respiratory distress, consider admission and ***nebulised adrenaline.*** * **_Severe (8-11)_**_:_ ***nebulised adrenaline***, inpatient admission for observation. * **_Impending respiratory failure (≥12)_**_:_ nebulised adrenaline, urgent senior support including clinician with paediatric airway skills (e.g. Paediatric anaesthetist). PICU referral.
52
What warrants inpatient admission for croup?
* Moderate or severe croup * Respiratory failure * Previous history of severe airway obstruction * \< 6 months of age * Immunocompromised * Have had inadequate fluid intake * Have had a poor response to initial treatment * The diagnosis is uncertain * There is significant parental anxiety
53
What is a concerning feature in croup?
QUIETENING STRIDOR Indicated respiratory distress
54
What parent education do you need to give with Croup?
* Explain **symptoms usually resolve within 48 hours** but may last for up to a week. * Explaining that croup is a **viral illness and antibiotics are not needed** * **Paracetamol or ibuprofen** can be used to control pain and fever * Ensure that the child has **fluids** * **Seek urgent medical advic**e if symptoms worsen e.g. the development of intermittent stridor at rest or if the child starts to have a high fever and heart rate (this could indicate a different diagnosis such as bacterial tracheitis). * **To call ambulance** if signs of respiratory failure
55
What is Whooping Cough?
URTI by ***Bordetella Pertussis*** (gram negative) **Notifiable Disease** and very contagious **Children are vaccinated** at 2,3,4 months, 12 months and 3years. **Pregnant women are also vaccinated**. Immunity wanes after 5 to 10 years of vaccine
56
What is the epidemiology of Whooping Cough?
Usually under 3 months and then over 14 years Very mild
57
What are the stages of whooping cough?
Three Stages **_Catarrhal phase (lasts 1 to 2 weeks + similar to a viral URTI)_** * Rhinitis * Conjunctivitis * Irritability * Sore throat * Low-grade fever * Dry cough **_Paroxysmal phase (2-8 weeks)_** * Episodes of **severe paroxysms of coughing** followed by an **inspiratory gasp,** producing the classic “whoop” sound * May have **apnea** instead of inspiratory gasp * Often **vomit** after * Occur at **night** usually * Can develop pneumothorax
58
What are some differentials for whooping cough?
* Ashtma * Bronchiolitis * TB * Bacterial pneumonia
59
How is whooping cough diagnosed?
**2 to 3 weeks of the onset of symptoms:** *Nasal swab with PCR* testing **Cough more than 2 weeks:** *anti-pertussis toxin immunoglobulin G.* *Oral fluid* of children aged *5 to 16* and in the *blood serology* of those aged *over 17 or under 5* Pertussis vaccine within the last year can produce a false positive
60
How is whooping cough managed?
* **Inform public health** * **Supportive care** * **Prevent spread** e.g dispose tissues, hand hygiene * **Early stages (\<21 days):** macrolides e.g azithromycin, erythromycin or co-trimoxazole * **Prophylactic antibiotics:** close contacts if they are in a vulnerable group, for example pregnant women, unvaccinated infants
61
When do you need to admit children with whooping cough?
* Vulnerable or acutely unwell patients * Under 6 months * Patients with apnoeas, cyanosis or patients with severe coughing fits
62
What may FBC show in whooping cough?
Absolute very high lymphocytosis
63
How long do children with whooping cough need to stay away from nursery?
* Stay off until had cough for 21 days or had antibiotics for 48 hours * Cough may take up to 3 months to resolve
64
What are some complications of whooping cough?
* Bronchiectasis * 100 day cough * Secondary bacterial pneumonia * Seizures * Otitits media Symptoms and complications rare if vaccinated
65
Bronchiolitis is the most common lower respiratory tract infection in children. If a child had pneumonia how would this present and what would you find on examination?
* **Cough** (typically wet and productive) * **High fever** (\> 38.5ºC) * Poor feeding * Recessions * Tachypnoea * Tachycardia * Increased work of breathing * Lethargy * Delirium
66
If a child had pneumonia, what signs would point towards this developing into sepsis?
* Tachypnoea * Tachycardia * Hypoxia * Hypotension (shock) * Fever * Confusion
67
What are the common bacterial and viral causes of pneumonia in children?
**_Bacterial_** * **Streptococcus pneumonia:** most common * **Group A strep** (e.g. Streptococcus pyogenes) * **Group B strep:** pre-vaccinated infants, often contracted during birth (GBS) * **Staphylococcus aureus**. This causes typical chest xray findings of pneumatocoeles (round air filled cavities) and consolidations in multiple lobes. * **Haemophilus influenza:** affects pre-vaccinated or unvaccinated children. * **Mycoplasma pneumonia:** extra-pulmonary manifestations (e.g. erythema multiforme). **_Viral_** * **Respiratory syncytial virus** (**RSV**): most common * **Parainfluenza virus** * **Influenza virus**
68
When do you need to admit a child with pneumonia?
* O2 Sats \<92% * Signs of respiratory distress
69
What investigations should be done for pneumonia in children?
* **Chest Xray** if severe * **Sputum culture** for bacterial and viral PCR * If sepsis need **blood cultures** and **blood gas** for lactate
70
How is pneumonia (no sepsis) managed in children?
* PO antibiotics, usually **amoxicillin** * Add in erythromycin/azithromycin for cover against atypical bacteria * **Oxygen**
71
If a child has repeated LRTIs needing antibiotic treatment what do you need to consider?
Investigate for underlying lung pathology or immunodeficiency * ***FBC*** to check levels of various white blood cells. * ***Chest xray*** to screen for any structural abnormality or scarring * ***Serum immunoglobulins*** * ***Immunoglobulin G*** to previous vaccines (i.e. ***pneumococcus*** and ***haemophilus***). Some patients are unable to convert ***IgM*** to ***IgG*** * ***Sweat test*** to check for CF * ***HIV test***
72
What is bronchopulmonary dysplasia?
Issue with premature babies where there is **persistent hypoxia** ± difficult ventilator weaning **at 36 weeks** Mainly from barotrauma and oxygen toxicity
73
How does BPD present early on and then late on what are the complications
**_Early:_** * Low oxygen saturations * Increased work of breathing * Poor feeding and weight gain * Crackles and wheezes on chest auscultation * Increased susceptibility to infection (RSV Bronchiolitis) **_Late_** * Cerebral palsy * Asthma * Exercise limitation
74
How is BPD diagnosed and managed?
**_Diagnosis_** * **Still requiring oxygen at 36 weeks** * **CXR**: hyperinflation, rounded radiolucent areas * **Sleep study** with oxygen levels **_Management_** * **Discharge home with oxygen** via nasal cannula and wean over over year * **Monthly injections of Palivizumab** to protect against RSV bronchiolitis
75
How is BPD prevented in premature babies?
* ***Antenatal and postnatal steroids*** if \<36 weeks gestation * Using ***CPAP*** rather than intubation and ventilation when possible * Using ***caffeine*** to stimulate the respiratory effort * Not over-oxygenating with supplementary oxygen
76
What are some causes of obstructive sleep apnea in children?
* Obesity * Enlarged tonsils or adenoids * Craniofacial abnormalities * Sickle cell * Downs syndrome
77
How may obstructive sleep apnea present in children?
* Snoring * Mouth breathing * Daytime somnolence * Hyperactivity or aggressive which may be misdiagnosed as ADHD * Headache * Poor growth and weight gain * Poor concentration
78
How is OSA in children treated?
* CPAP * Treat any allergies with nasal steroids or montelukast * Tonsillectomy if enlarged * Weight loss if obese child * Jaw surgery
79
What are some complications of OSA in children?
80
What are some reasons that children may need home ventilation?
Tracheostomy
81
When can a child be deemed suitable for home ventilation?
* The medical condition is stable and there is a stable airway with stable oxygen requirements * Nutritional intake adequate to maintain expected growth and development; * Parents understand the long term prognosis and are willing and capable of meeting the special needs of their child in the home setting.
82
What is some non-invasive ventilation that happens in children?
***CPAP** (continuous positive airways pressure):* Pressure is delivered through- out the respiratory cycle, assisting spontaneous ventilation. It prevents airway collapse and loss of lung volume. Complications include pneumothorax, nasal trauma, feed intolerance, and reflux. Uses nasal mask or prongs ***NIPPV** (nasal intermittent positive pressure ventilation)* This combines nasal CPAP with superimposed ventilator breathing at a set pressure—it can be used as a bridge between invasive ventilation and nasal CPAP ***HFNC** (high-flow nasal cannula)* A high flow nasal cannula delivers a distend- ing positive pressure to the airways similar to CPAP
83
What are some complications of mechanical ventilation in neonates?
* Retinopathy of prematurity * Bronchopulmonary dysplasia * Intraventricular haemorrhage
84
What clinical features suggest a bacterial pneumonia over a viral pneumonia?
85
What organisms cause pneumonia in different aged children?
86
How is the severity of CAP decided in children?
87
What is classed as tachypnea in different aged children?
Always record respiratory rate in observations
88
How is pneumonia in children managed based on the severity?