how can the small bowel be identified on X-ray

how can the large bowel be identified on x ray
which changes are seen on x ray in bowel obstruction
how will Ps with small and large bowel obstruction present differently
Small:
Large:
name 2 situations in which abdominal x rays may be useful
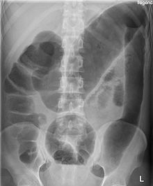
what is this condition

SIGMOID VOLVULUS: ‘coffee bean’ sign, starting in L iliac fossa pointing to RUQ
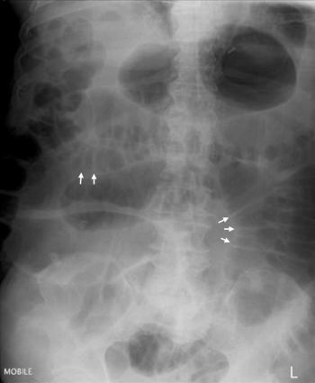
what is this condition

TOXIC MEGACOLON (acute deterioration of UC):
why should an erect chest x ray be performed in Ps with acute abdominal pain
P should be positioned upright for 10-20 min prior
can show air under diaphragm if perforated viscus = PNEUMOPERITONEUM