compare the pattern of inflammation seen in CD and UC
CD
UC
this endoscopy image show UC or CD? why?

UC: loss of definition, continuous superficial ulceration
this endoscopy image shows UC or CD? why?

CD: cobblestone appearance, skip lesions
this image shows UC or CD? why?

CD: strictures
this image shows UC or CD? why?

UC: featureless lead pipe colon
compare the effects of UC and CD on gut wall structure
CD
UC
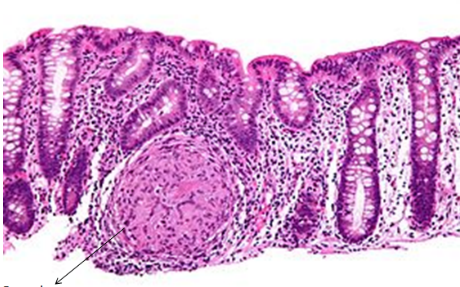
this image shows UC or CD? why?

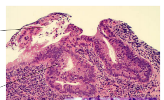
UC
this image shows UC or CD? why?

CD:
compare the symptoms/signs of UC and CD
CD:
UC:
name 3 examples of possible extra-intestinal signs/symptoms of IBD
describe the 3 types of drug used to treat IBD
step-wise approach
describe the surgical management of IBD
which type of IBD more likely results in colon cancer
UC