2025.2 Flashcards

(117 cards)

1
Q
  1. Which nerve innervates this region (pointing to the blue section)

a. Superficial peroneal
b. Sural
c. Medial calcaneal
d. Deep peroneal
e. Saphenous

A

a. Superficial peroneal

How well did you know this?
1
Not at all
2
3
4
5
Perfectly
2
Q
  1. A test for a condition which has a prevalence of 1 in 1,000 has a sensitivity of 100% and a specificity of 90%. The probability of a patient who receives a positive result actually having the condition is
    a. 1%
    b. 10%
    c. 90%
    d. 100%
A

1%

How well did you know this?
1
Not at all
2
3
4
5
Perfectly
3
Q
  1. In the absence of a pressure manometer, what is the maximum amount of air you can put in the cuff of a size 4 classic LMA
    a. 20mL
    b. 25mL
    c. 30mL
    d. 35mL
    e. 40mL
A

c. 30mL

How well did you know this?
1
Not at all
2
3
4
5
Perfectly
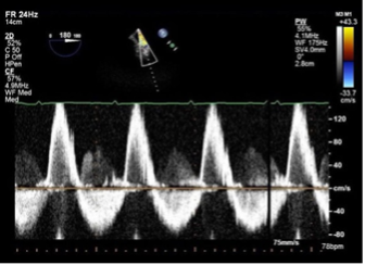
4
Q
  1. 23.1 This Doppler trace obtained by transoesophageal echocardiography of the descending aorta suggests:
    a. Aortic dissection
    b. AR
    c. AS
    d. MR
    e. MS
    f. Increased cardiac output state?
A

AR

How well did you know this?
1
Not at all
2
3
4
5
Perfectly
5
Q
  1. Which murmur would you expect in a patient with HOCM. (Words not on image, but systole/diastole indicated
A

B - same as AS

How well did you know this?
1
Not at all
2
3
4
5
Perfectly
6
Q
  1. Of the following, the drug which is most effective in the management of severe hyperthermia in serotonergic syndrome is
    a. Paracetamol
    b. Dantrolene
    c. Rocuronium
    d. Fentanyl
A

c. Rocuronium

Hyperthermia in SS is mostly mediated by muscle hyperactivity, which renders paracetamol ineffective as a treatment. Mild hyperthermia can be treated with topical cooling and benzodiazepine sedation to decrease muscle activity. Severe uncontrolled hyperthermia (temperature >41.1°C) can lead to severe complications, such as rhabdomyolysis, metabolic acidosis, and disseminated intravascular coagulation. Aggressive treatment with sedation, ventilation, and neuromuscular block with non-depolarising agents is necessary to reduce muscle activity and control body temperature. Depolarising NMBAs, such as suxamethonium, should be avoided, as they can result in life-threatening hyperkalaemia brought about by rhabdomyolysis and metabolic acidosis.

How well did you know this?
1
Not at all
2
3
4
5
Perfectly
7
Q
  1. Diagram of the lumbar plexus pointing at the

a. Obturator
b. Accesory obturator

A

Obturator

How well did you know this?
1
Not at all
2
3
4
5
Perfectly
8
Q
  1. Diagram of the brachial plexus pointing at

a. Median
b. Radial
c. Ulnar
d. Axillary
e. Musculoskeletal

A

Radial

How well did you know this?
1
Not at all
2
3
4
5
Perfectly
9
Q
  1. A patient has numbness and weakness in her hand postoperatively. You are trying to distinguish between an ulnar nerve lesion and a C8-T1 radiculopathy. You can diagnose a C8-T1 radiculopathy if she has weakness
    a. Thumb abduction
    b. Thumb adduction
    c. Finger abduction
    d. Finger adduction
    e. Something about the pinky finger
A

Thumb abduction

How well did you know this?
1
Not at all
2
3
4
5
Perfectly
10
Q
  1. A 35-year-old patient comes in after a ?high speed trauma. Her airway is secured but minutes after intubation her oxygen saturation falls to 85%. You note decreased air entry on the left side of her chest. Lung ultrasound on the left reveals lung pulse and no lung sliding. The best first action is to:
    a. Check the position of the pulse oximeter
    b. Needle decompression
    c. Chest drain
    d. Finger thoracostomy
    e. Withdraw ETT 1-2 cm
A

e. Withdraw ETT 1-2 cm

How well did you know this?
1
Not at all
2
3
4
5
Perfectly
11
Q
  1. ECG some sort of heart block (will try and find, but looked like a 2:1 block with p-waves buried in T-wave and broad QRS complex, ventricular rate ~ 40)
    a. First degree heart block
    b. Mobitz I
    c. Mobit II
    d. Complete heart block
    e. Sinus tachycardia
A

c. Mobitz II

How well did you know this?
1
Not at all
2
3
4
5
Perfectly
12
Q
  1. Arndt adapter - which port does the blocker go down
A

A

How well did you know this?
1
Not at all
2
3
4
5
Perfectly
13
Q
  1. Consequences of methylene blue in G6PD
    a. Acute hemolytic anemia
    b. Severe hyperkalemia
    c. Serotonin syndrome
    d. Porphyria exacerbation
A

a. Acute hemolytic anemia

How well did you know this?
1
Not at all
2
3
4
5
Perfectly
14
Q
  1. A 30-week gestation infant is due to have a heel lance for blood sampling. EMLA (lidocaine/prilocaine) cream is being considered for analgesia. The main reason we use caution or avoid EMLA in infants <37 weeks gestation is:

a. Increased risk of systemic local anaesthetic toxicity due to immature hepatic metabolism
b. Increased risk of methæmoglobinaemia due to oxidative metabolites of prilocaine
c. Increased risk of skin infection due to impaired skin barrier
d. Increased risk of allergic contact dermatitis
e. Enhanced risk of apnea from systemic absorption of lidocaine

A

b. Increased risk of methæmoglobinaemia due to oxidative metabolites of prilocaine

How well did you know this?
1
Not at all
2
3
4
5
Perfectly
15
Q
  1. According to ANZCA PS54(A), an anaesthetic machine requiring electrical power must, in the event of mains power failure, be able to operate under battery backup power for a minimum of
    a. 30 min
    b. 60 min
    c. 90 min
    d. 120 min
    e. 240 min
A

a. 30 min

How well did you know this?
1
Not at all
2
3
4
5
Perfectly
16
Q
  1. The process of donation after circulatory death is usually terminated if death does not occur within how many minutes after withdrawal of circulatory support
    a. 30
    b. 60
    c. 90
    d. 120
    e. 150
A

c. 90

How well did you know this?
1
Not at all
2
3
4
5
Perfectly
17
Q
  1. Pre-conditions for diagnosis of brain death
    a. Period of observation of at least 2 hours with not meaning response to stimuli (GCS 3)
    b. Apnoea on an apnoea test
    c. Absence of corneal reflex
    d. Absence of occulo-something (cephalic?) reflex
    e. Temp >35
A
How well did you know this?
1
Not at all
2
3
4
5
Perfectly
18
Q
  1. Before formal clinical testing for brain death can be undertaken, certain preconditions must be satisfied. Which of the following is required prior to clinical determination of brain death?

a. A minimum 2-hour observation period with no meaningful response to stimuli (GCS 3)
b. Apnoea on an apnoea test
c. Absence of the corneal reflex
d. Absence of oculo-cephalic/vestibular reflexes
e. Core temperature > 35 °C

A

e. Core temperature > 35 °C

How well did you know this?
1
Not at all
2
3
4
5
Perfectly
19
Q

A man with a history of obesity and obstructive sleep apnoea has just had a transsphenoidal pituitary resection. Soon after extubation he is semi-conscious and is making a respiratory effort but has near complete upper airway obstruction with stridor. His arterial oxygen saturation is 93% and starting to fall. Your first actions should be to

Deepen with propofol and insert LMA

Insert Oropharyngeal airway and provided positive pressure ventilation

Insert Nasopharyngeal airway and provided positive pressure ventilation

Insert Nasopharyngeal airway and provide CPAP

A

Deepen with propofol and insert LMA

How well did you know this?
1
Not at all
2
3
4
5
Perfectly
20
Q

Where is the indicated lead located (pointing the thin lead with the white dots crossing to the left side of the heart)

LA

LV

RA

RV

Coronary sinus

A

Coronary sinus

How well did you know this?
1
Not at all
2
3
4
5
Perfectly
21
Q
  1. Which of the following does NOT decrease the risk of persistent postoperative opioid use?

a. Pre-operative opioid weaning
b. Prescription of non-opioid multimodal analgesia perioperatively
c. Avoidance of prolonged opioid prescriptions after discharge
d. Use of enhanced recovery after surgery (ERAS) protocols with opioid-sparing techniques
e. Regional anaesthesia and nerve blocks

A

e. Regional anaesthesia and nerve blocks

How well did you know this?
1
Not at all
2
3
4
5
Perfectly
22
Q

Which of the following improves blood sugar by increasing renal excretion of glucose

Biguanides

Sulphonylureas

GLP1 antagonist

SGLT2 inhibitors

DPP4 inhibitors

A

SGLT2 inhibitors

How well did you know this?
1
Not at all
2
3
4
5
Perfectly
23
Q

Initial dose of adrenaline for a child with grade 2 (moderate) anaphylaxis

0.1 microg/kg

0.5 microg/kg

1 microg/kg

2 microg/kg

4 microg/kg

A

2 microg/kg

How well did you know this?
1
Not at all
2
3
4
5
Perfectly
24
Q

Minimum weight for an iGel LMA

1kg

2kg

3kg

5kg

10kg

A

2kg

How well did you know this?
1
Not at all
2
3
4
5
Perfectly
25
Initial pressure to commence IPPV in neonatal resus 15 cmH2O 20 cmH2O 25 cmH2O 30 cmH2O 35 cmH2O
20 cmH2O
26
Obesity in pregnancy - what is it not a risk factor for Antenatal Depression Pre-eclampsia HTN in pregnancy Cholestasis of pregnancy Thromboembolism
Cholestasis of pregnancy
27
At what age can you use a normal adult GCS score for children (per Brain Trauma Foundation Guidelines) 2 years 4 years 6 years 8 years 10 years
2 years
28
MELD score does not use which of the following Na Albumin INR Bilirubin Creatinine
Albumin
29
Oxycodone PCA 30mg to PO morphine 15mg 30mg 60mg 90mg 120mg
90mg
30
Was there a question about managing SVT in WPW post induction - develops AF, HD stable, what do you give? Adenosine Metoprolol Digoxin Verapamil Cardioversion
If question was about SVT answer is adenosine If it was about AF then the answer is procainamide or cardioversion
31
Pin index number for air 1,5 1,6 2,5 2,6
1,5
32
Non-inferiority study graph what does M indicate (third box down) Inferiority Non-inferiority Non-superiority Superiority Inconclusive
Non-inferiority
33
33. The shoulder joint receives sensory innervation from all of the following nerves EXCEPT the a. Axillary b. Long thoracic c. Lateral pectoral nerve d. Suprascapular e. Subscapular
b. Long thoracic
34
34. Which thoracic block will not cover a sternal fracture a. PECS 1 b. Cannot recall but PECS 2 not an option
PECS 1
35
35. Prophylactic clexane - how long after can you remove an epidural catheter a. 2 hours b. 4 hours c. 6 hours d. 12 hours e. 24 hours
You can remove a catheter after 12 hours post clexane You can give clexane 4 hours post catheter removal
36
A 22-year-old patient is scheduled for resection of a large extra-adrenal paraganglionoma. The tumour is secreting metanephrine. The most likely therapy to be commenced at the preassessment clinic prior to surgery is a. Hydralazine b. Metoprolol c. Phenoxybenzamine d. Phentolamine
c. Phenoxybenzamine
37
37. Was there another question about drugs to avoid in surgery? Or a metanephrine secreting tumour? a. Metoclopramide b. Phenylephrine c. Rocuronium d. Remifentanil e. Can’t recall
a. Metoclopramide
38
38. In the setting of acute cocaine toxicity with cardiovascular symptoms, which of the following drugs should be avoided because it may worsen the condition? a. Metoprolol b. Hydralazine c. Benzodiazepines d. Nitroglycerin e. Calcium channel blockers
Metoprolol
39
39. A man presents with SOB and does spirometry. Blue is normal, what does the flow trace in purple indicate a. Variable intra-thoracic obstruction b. Variable extra-thoracic obstruction c. Lower airway obstruction d. Fixed upper Airway obstruction e. Mixed pattern
b. Variable extra-thoracic obstruction
40
40. Best NNT for neuropathic pain a. Amitriptylline b. Tramadol c. Pregab/gabapentin
a. Amitriptylline
41
40. In the management of trigeminal neuralgia, which of the following drugs has the best (lowest) number needed to treat (NNT) for achieving significant pain relief? a. Amitriptyline b. Carbamazepine c. Pregabalin/gabapentin d. Duloxetine e. Baclofen
b. Carbamazepine
42
42. All patients over 70 years of age having received either spinal or general anaesthesia at Hospital X are reviewed 3 years later to assess cognitive function. The aim of the study is to determine whether exposure to general anaesthesia or spinal anaesthesia impacts cognitive function. This trial design is best described as a a. RCT b. cohort study c. case-control study d. case series e. cross-sectional study
b. cohort study
43
43. Which factor is not in Beriplex a. VII b. VIII c. IX d. X e. Protein C
b. VIII
44
44. 80 yo patient with severe TBI, what SBP would you aim for a. > 90 b. > 100 c. > 110 d. > 120 e. > 130
c. > 110
45
45. Which is not a risk factor for ?postop delirium in paeds a. Age 2-6 b. Nitrous c. Volatile d. Male e. Autism spectrum disorder
b. Nitrous
46
46. Best initial treatment for infiltrated noradrenaline through a peripheral cannula a. Cold pack b. Flush IV with saline c. Remove IVC d. Subcut hyalase? e. Subcut phentolamine
e. Subcut phentolamine
47
47. What type of Mapleson is this? a. A b. B c. C d. D e. F
c. C
48
NAP7 - most common cause of periop mortality Massive hemorrhage Bradyarrhythmia Cardiac ischaemia Anaphylaxis
Massive hemorrhage
49
NAP5 - incidence of awareness in non-paralysed patients: 1:136 1:1 360 1:13 600 1:136 000 1:1 360 000
1:1 360 000
50
Which medication might trigger a flare of quiescent inflammatory bowel disease? Celecoxib Ibuprofen Tramadol Codeine
Ibuprofen
51
What is the atrial rate of the ECG? (complete heart block, 17 atrial beats on 10s strip) 40 70 90 100 120
100
52
Compared to an arterial blood gas, the pH on a venous gas would be expected to be? 0.3 lower 0.03 lower 0.3 higher 0.03 higher
0.03 lower
53
Interpret TFTs: T3 normal, T4 normal, TSH <0.03 Sick euthyroid Subclinical hyperthyroidism Too much thyroxine Previous hypophysectomy
Subclinical hyperthyroidism
54
What is this device? (Reinforced tube not an option) ​​ South facing RAE Laryngectomy tube Mini-tracheostomy
Laryngectomy tube
55
What is in the lower left corner?
Air leak monitor
56
56. Which of these is best removed by dialysis? a. Apixaban b. Rivaroxaban c. Clopidogrel d. Dabigatran e. Warfarin
d. Dabigatran
57
57. What are the spinal levels involved in perception of pain in the first stage of labour? a. T4-? b. T10-L1 c. T12-? d. S1-3
b. T10-L1
58
58. Patient has a well, term 4-mo baby, and presents for a hysteroscopy and placement of intrauterine device. What to advise about breastfeeding? a. Express and dump (with various time options) b. Continue breastfeeding
b. Continue breastfeeding
59
59. Which lobe of the lung has apical, anterior and posterior segments? a. Lingula b. Left upper lobe c. Right upper lobe
c. Right upper lobe
60
60. Peribulbar block for high myopia - what is the safest approach to minimise risk of globe perforation a. Medial canthus b. Lateral canthus c. Inferotemporal d. Inferonasal e. Superior…
a. Medial canthus
61
61. The Glasgow-Blatchford score (GBS) is a clinical scoring tool used in patients presenting with: a. Upper gastrointestinal (UGI) bleeding b. Lower gastrointestinal bleeding c. Evaluation of liver cirrhosis severity d. Prediction of pancreatitis severity e. Assessment of inflammatory bowel disease flare
a. Upper gastrointestinal (UGI) bleeding
62
62. Patient has a Grade 2 SAH. Which of the following early treatment options reduces mortality/morbidity? a. Clipping <24 hours b. Clipping >24 hours c. Coiling <24 hours d. Coiling >24 hours e. Early management of vasospasm
c. Coiling <24 hours
63
63. Cerebral oximetry: A patient under GA monitored with cerebral oximetry has a decrease in cerebral oxygen saturation. This is likely to be improved by an increase in all of the following EXCEPT: a. Haematocrit b. Minute volume c. Cardiac output d. MAP e. Depth of anaesthesia
b. Minute volume
64
64. Which of the following will cause SaO2 (measured on an ABG) to be lower than SpO2? a. CarboxyHb b. Foetal Hb c. Hyperbilirubinaemia d. Methylene blue
a. CarboxyHb
65
65. Which medication to avoid in thyroid storm? a. Ibuprofen b. Potassium iodide c. Hydrocortisone
a. Ibuprofen
66
66. What is the role of octreotide in variceal bleeding? a. Reduce splanchnic blood flow b. Decreased systemic vascular resistance
a. Reduce splanchnic blood flow
67
67. Patient with severe bullous COPD is intubated and ventilated, and develops a bronchopleural fistula. What ventilation strategy should you employ? a. Low tidal vol, low RR b. Low tidal vol, high RR c. High PEEP
a. Low tidal vol, low RR
68
68. According to the Surviving Sepsis Campaign guidelines, in which of the following situations should intravenous corticosteroids be commenced in an adult patient with septic shock? a. Following a failed ACTH stimulation test b. Persistent MAP <65 mmHg despite any dose of noradrenaline c. Requirement for noradrenaline >0.1 microg/kg/min for 1 hour d. Requirement for noradrenaline ≥0.25 microg/kg/min for ≥4 hours despite adequate fluid resuscitation e. Requirement for noradrenaline >0.5 microg/kg/min for 2 hours
d. Requirement for noradrenaline ≥0.25 microg/kg/min for ≥4 hours despite adequate fluid resuscitation
69
69. Patient presents for a D&C for a missed miscarriage. INR 1.2, APTT 65. What other test would you do? a. D-dimer b. Clotting time c. Fibrinogen d. Factor 8 assay e. Mixing test
e. Mixing test
70
70. Patient with tibia fracture, develops weakness of ankle dorsifelxion, numbness between first and second toe, which compartment involved? a. Anterior b. Lateral c. Superficial Posterior d. Deep posterior
a. Anterior
71
71. A patient arrests 3 hours after cardiac surgery, they are still intubated what should be your immediate management? a. External cardiac compressions b. Adrenaline 1mg c. Re-open the chest within 30 mins d. Change to bag mask ventilate with 100% O2 e. Immediate cardiac massage
e. Immediate cardiac massage
72
72. Patient is 50 kg, has received 100 mg of lignocaine. Assuming safe maximum dose 4 mg/kg for lignocaine and 2 mg/kg of bupivacaine, how much bupivacaine can you give? a. 25mg b. 50mg c. 75mg d. 100mg
b. 50mg
73
73. What ECG change is not associated with anorexia nervosa? a. Resting sinus tachy b. Long QT
a. Resting sinus tachy
74
74. Patient has sustained severe bilateral LL crush injury. What electrolyte/biochem derangement would you expect? a. Hypocalcaemia b. Hypokaelamia c. Hypophosphataemia d. Metabolic alkalosis
a. Hypocalcaemia
75
75. Which of the following is associated with a high serum anion gap? a. Hyperchloridaemia b. Low albumin c. Lithium d. Salicylates
d. Salicylates
76
76. Analysis of variance (ANOVA) is a statistical test primarily used to: a. Compare the means of two independent groups b. Compare the means across more than two groups c. Assess the association between two categorical variables d. Compare paired data from the same group e. Measure correlation between two continuous variables
b. Compare the means across more than two groups
77
77. Where do you place the US probe for gastric US? a. Sagital left mid-clav(?) line b. Sagittal under xiphoid c. Transverse left mid-clav line d. Transverse under xiphoid e. Transverse right mid-clavicular line
b. Sagittal under xiphoid
78
78. Patient has unilateral ptosis from a stellate ganglion block. What else would you expect? a. Pupil constriction without reaction to light b. Pupil constriction with reaction to light c. Pupil dilation without reaction to light d. Pupil dilation with reaction to light
b. Pupil constriction with reaction to light
79
79. Which of the following are characteristic of AION a. Painful b. Complete resolution within 24-48 hours c. Vision inattention(?) d. Absent reflex e. Papilloedema
e. Papilloedema
80
81. How do you diagnose AFE? a. Aspiration of squamous cells b. Echo c. Clinical signs and symptoms d. Tryptase
c. Clinical signs and symptoms
81
82. How long does it take for a charcoal filter to reduce the concentration <5 ppm a. 3 mins b. 10 mins c. 15 mins d. 30 mins
a. 3 mins
82
83. Which US probe would you use to US the median nerve? a. Linear (8-12 MHz) b. Linear (4-8MHz) - definitely single digits c. Curvilinear…(two MHz options) d. Phased array
a. Linear (8-12 MHz)
83
84. Comparing central venous access, subclavian has the advantage over other approaches because it has less: a. Infection b. Thrombosis c. Infection and thrombosis d. PTX e. Arterial puncture
a. Infection
84
85. Anterior spinal cord syndrome won’t cause loss of? a. Pain b. Proprioception c. Temperature d. Motor function e. Bladder function
b. Proprioception
85
86. Which nerve provides innervation to the mandibular third molar a. Inferior alveolar b. Superior alveolar c. Linguial d. Mental
a. Inferior alveolar
86
87. In biomedical ethics, the principle that relates to fairness, equity, and the just distribution of healthcare resources is known as: a. Beneficence b. Non-maleficence c. Autonomy d. Justice e. Fidelity
d. Justice
87
88. A 20 mm battery in the oesophagus will cause burning and perforation after: a. 1 hour b. 2h c. 4h d. 6h
b. 2h
88
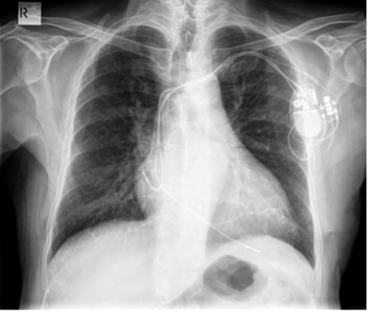
89. Which is associated with decreased rates of PONV? a. Intraop ephedrine b. Periop dexmed c. Periop clonidine
b. Periop dexmed
89
90. These two CXRs - what is depicted? a. Loop recorder b. SubcutaneousICD c. Micra device d. Leadless pacemaker
a. Loop recorder
90
91. What do you not observe following ECT? a. Initial increase in SNS b. Increase in BP 30-40% (20-30%?) c. Decrease in systolic and diastolic function for 4-6 hours d. Increased ICP e. Increase metabolic rate
c. Decrease in systolic and diastolic function for 4-6 hours
91
92. Epilepsy surgery - what does not interfere with Electrocorticograph (ECoG) monitoring? a. Ketamine b. Dexmed c. Propofol d. Volatile e. Nitrous
a. Ketamine
92
93. What is a contraindication to cardiopulmonary stress testing? a. HOCM b. Critical LAD stenosis c. Other CAD? d. Unstable angina
d. Unstable angina
93
94. Which of the following subtypes of von Willebrand disease don’t respond to DDAVP? a. 1 b. 2a c. 2b d. 2m e. 3
e. 3
94
95. Which meds are associated with acute hypotensive transfusion reaction a. Metoprolol (?) b. Perindopril c. Statin? d. Another anti-HTN?
b. Perindopril
95
96. Which of these is not a/w OSA a. Down’s b. Tetralogy of Fallot c. Pierre Robin d. Spina bifida e. Duchenne’s
b. Tetralogy of Fallot
96
97. On de-sufflation of pneumoperitoneum, what would you expect to increase? a. LV work b. SVR c. Cardiac output d. Heart rate
c. Cardiac output
97
98. ROTEM - fibrinolysis is defined as reduction max clot firmness (<15%) after X minutes (?from MCF) a. 10 b. 20 c. 30 d. 40 e. 50
c. 30
98
99. ECG rhythm strip: regular, broad complex tachycardia. Patient is elderly, develops this rhythm, BP 75/something, not responsive to 3x metaraminol, what do you do? a. Cardiovert b. Beta blocker c. Adenosine
a. Cardiovert
99
100. A patient who had a TIA 2 years ago and is now asymptomatic is ASA? a. I b. II c. III d. IV
c. III
100
101. Thyroid surgery - surgeon thinks they’ve resected the parathyroid. How long after devascularisation of the parathyroids should you check the Ca? a. 1h b. 6h c. 12h d. 24h
c. 12h
101
103. Sugammadex has a known interaction with which drug? a. OCP b. Sux c. Antiemetic that wasn’t ondansetron
a. OCP
102
104. Which therapy most rapidly reduces serum potassium in hyperkalaemia? a. Insulin dextrose b. Neb salbutamol c. Calcium carbonate d. Resonium
a. Insulin dextrose
103
105. In pacemakers, what does V represent? a. Chamber paced b. Chamber sensed c. Response to sensing d. Multisite pacing e. Rate modulation
d. Multisite pacing
104
106. How long should you w/h naltrexone pre-op? a. 72 hours b. 36 hours c. 24 hours
a. 72 hours
105
107. US guided femoral line in a high BMI patient, the image quality isn’t good because of depth, what do you do to optimise image? a. Increase freq b. Decrease freq c. Change speed of US
b. Decrease freq
106
108. You paralysed a patient with 1mg/kg of rocuronium at the start of the case. At the end of the case TOF = 0, PTC = 2, what dose of sugammadex do you give, mg/kg? a. 2 b. 4 c. 8 d. 16
b. 4
107
A 5-year-old child with an estimated blood volume of 80 mL/kg is bleeding following major trauma. According to paediatric massive transfusion definitions, at which estimated blood loss (or equivalent transfusion requirement) should you consider activating a Massive Transfusion Protocol (MTP)? A. 20 mL/kg B. 40 mL/kg C. 60 mL/kg D. 80 mL/kg
B. 40 mL/kg
108
110. An A− patient requires FFP, A− plasma is unavailable, what is the next safest option to use of the below: a. AB positive b. B positive c. B negative d. O positive e. O negative
a. AB positive
109
111. Lung protective ventilation, what to avoid? (Not ARDS) a. Recruitment manoeuvres b. I:E ratio 1:3 c. 6-8 ml/kg tidal volume d. PEEP adjusted to oxygenation
b. I:E ratio 1:3
110
112. What muscle does not border the adductor canal? a. Adductor magnus b. Adductor longus c. Adductor brevis d. Sartorius e. Vastus medialus
c. Adductor brevis
111
113. In a skewed data set, which of the following is the most appropriate measure of variability (spread)? A. Median B. Standard deviation C. Standard error D. Interquartile range
D. Interquartile range
112
114. Differential hypoxia is a complication specific to: a. VV ECMO b. VA ECMO c. LVAD
b. VA ECMO
113
115. Pulse pressure variation (PPV) is a dynamic parameter used to predict fluid responsiveness. In which of the following circumstances is PPV most likely to be a reliable indicator? A. Spontaneously ventilating patient B. Thoracoscopy (one-lung ventilation) C. Severe sepsis under controlled mechanical ventilation
C. Severe sepsis under controlled mechanical ventilation
114
116. A patient is being resuscitated for a VF arrest according to ANZCOR guidelines. They have received two shocks, a dose of adrenaline, and a third shock. What is the next action? a. Amiodarone 117. A resp effect of HFNP a. Reduce MV b. Reduce RR
a. Amiodarone
115
118. THe blood product with the highest citrate content a. PRBC b. FFP
b. FFP
116
119. A woman complains of spontaneous unpleasant sensations in her arm. Which term best describes this type of abnormal sensory experience? A. Paresthesia B. Dysesthesia C. Hyperesthesia D. Hypoesthesia
B. Dysesthesia
117
121. Which of the following does not reliably prolong the duration of a peripheral nerve block when used as an adjunct? A. Perineural dexmedetomidine B. Perineural dexamethasone C. Intravenous dexmedetomidine D. Perineural epinephrine
C. Intravenous dexmedetomidine