24.2 Flashcards

(152 cards)

1
Q

During paediatric gas induction, the gas flow recommended by SPANZA for least environmental impact is:

a) 1L/min
b) 2L/min
c) 3L/min
d) 4L/min
e) 5L/min

A

Ans: 3L/min for 20kg child (0.15L/kg/min)

?question incomplete

How well did you know this?
1
Not at all
2
3
4
5
Perfectly
2
Q

The Mapleson circuit to best achieve normocarbia with mechanical ventilation is:

a) Mapleson A
b) Mapleson B
c) Mapleson C
d) Mapleson D
e) Mapleson E

A

Ans: Mapleson D

A - best for spontaneous ventilation
B, C - both crap
D, E, F - best for mechanical ventilation

How well did you know this?
1
Not at all
2
3
4
5
Perfectly
3
Q

SQUIRE guidelines

a) Provide a framework for reporting new knowledge about healthcare improvement
b) How to conduct a systematic review

A

A: Quality improvement

The SQUIRE guidelines provide a framework for reporting new knowledge about how to improve healthcare.
The SQUIRE guidelines are intended for reports that describe system level work to improve the quality, safety, and value of healthcare, and used methods to establish that observed outcomes were due to the intervention(s).
A range of approaches exists for improving healthcare. SQUIRE may be adapted for reporting any of these.
Authors should consider every SQUIRE item, but it may be inappropriate or unnecessary to include every SQUIRE element in a particular manuscript.

How well did you know this?
1
Not at all
2
3
4
5
Perfectly
4
Q

What is the five number summary on a box and whisker plot?

A

Ans:
- Minimum
- First quartile
- Median
- Third quartile
- Maximum

How well did you know this?
1
Not at all
2
3
4
5
Perfectly
5
Q

Axis of ECG- left axis deviation (aVR was isoelectric, AVF negative, I positive)

a) -45 degrees
b) -75 degrees
c) +15 degrees

A

Ans: -45?

AVF negative - must be between 0 and -180
I positive - must be between 0 and -90
AVR isoelectric - must be 90 degrees to -150 therefore answer is -60

(if the remembered leads are correct)

How well did you know this?
1
Not at all
2
3
4
5
Perfectly
6
Q

What does a green colour on the laryngoscope blade mean

a) Reusable
b) Recyclable
c) Single use
d) Disposable
e) Fibreoptic light source

A

Ans: fibreoptic light source (in handle), lamp in the blade, electrical connection

versus black (?) handle which has light source in the blade not the handle.

How well did you know this?
1
Not at all
2
3
4
5
Perfectly
7
Q

Arndt blocker attachment point for the breathing circuit (just a schematic drawing provided in the exam, with letters indicating possible attachement sites ?

A

Vent connects to perpendicular port.

How well did you know this?
1
Not at all
2
3
4
5
Perfectly
8
Q

Vivasight components (arrow to the red bit in the exam)

a) Flush port
b) Light source
c) Aspiration port

A

Flush port

How well did you know this?
1
Not at all
2
3
4
5
Perfectly
9
Q

Semaglutide half life

a) 3 days
b) 7 days
c)14 days

A

6-7 days

From ANZCA clinical practice recommendation on periprocedural use of GLP-1/GIP receptor agonists

Exenatide 3.3-4 hours
Liraglutide 12.6-14.3 hours
Dulaglutide 4.7-5.5 days
Semaglutide 5.7-6.7 days
Tirzapatide 4.2-6.1 days

How well did you know this?
1
Not at all
2
3
4
5
Perfectly
10
Q

Gastric USS image - what is picture A

a) Empty stomach
b) full stomach (early)
c full stomach (late)
d ) fluids

A

A: empty stomach

How well did you know this?
1
Not at all
2
3
4
5
Perfectly
11
Q

Preoperative intravenous iron to treat anaemic before major abdominal surgery (PREVENTT) trial showed:

a) Reduced allogenic red cell transfusion
b) Reduced mortality
c) Reduced readmission rates within 30 days
d) Reduced infection rates

A

Ans: reduced readmission rates in 30 days

Published in the Lancet October 2020
Found that preoperative intravenous iron was not superior to placebo to reduce need for blood transfusion when administered to patients within anaemia 10-42 days before elective major abdominal surgery.

Readmissions to the hospital following surgery were significantly lower in the intravenous iron group in the first 8 weeks after the index operation.

How well did you know this?
1
Not at all
2
3
4
5
Perfectly
12
Q

Compared to UFH, enoxaparin preferences:

a) Thrombin
b) Xa

A

Xa

How well did you know this?
1
Not at all
2
3
4
5
Perfectly
13
Q

Child on 15mg/kg steroids, when to give hydrocortisone (stress dosing)

a) > 2 weeks
b) > 1 month
c) > 2 months

A

Stress dose if >15mg/m^2 daily for > 1 month

Stress dose is 2mg/kg hydrocortisone.

How well did you know this?
1
Not at all
2
3
4
5
Perfectly
14
Q

DCD - last acceptable organ

a) Lungs
b) Kidney
c) Liver
d) Pancreas
e) Heart

A

Ans: lungs (90 minutes)

Liver and pancreas - 30 minutes from withdrawal of support

Heart - 30 minutes from systolic <90

Kidneys - 60 minutes from systolic <50

Liver - 90 minutes from systolic <50

How well did you know this?
1
Not at all
2
3
4
5
Perfectly
15
Q

DCD criteria, what doesn’t include

a) Immobility
b) Apnoea
c) Absent skin perfusion
d) Absence of circulation (no arterial pulsatility for 2 min)
e ) absence of sedation

A

ANZICS criteria
 abscence spont movement, breathing and circulation
 Apnoea (complete absence of any breathing efforts)
 Absent skin perfusion
 Absence of circulation as evidenced by absent arterial pulse for a minimum of two minutes

How well did you know this?
1
Not at all
2
3
4
5
Perfectly
16
Q

Post herpetic neuralgia, feels like insects crawling across head, what is it?

a) Allodynia
b) Dysaesthesia
c) Formication
d) Pruritis
e) Hyperpathia

A

Ans: Formication

Formication is a tactile hallucination, the feeling of insects crawling on the skin, whereas dysesthesia is a more general term for unpleasant, abnormal sensations like burning, tingling, or stabbing

Dysaesthesia “spontaneous or evoked unpleasant abnormal sensations”

Hyperalgesia “increased response to a normally painful stimulus”

Allodynia “pain due to a stimulus that does not normally evoke pain such as light touch”

How well did you know this?
1
Not at all
2
3
4
5
Perfectly
17
Q

What drug to avoid in congenital long QT

a) Propofol
b) Thiopentone
c) Ketamine

A

Uptodate:
= Droperidol, haloperidol, volatile, ondansetron, amiodarone. methadone

Propofol has least effect. Prop/remi TIVA is safe

“ketamine should be avoided because of its sympathomimetic effects”

Glyco and atropine can prolong QTc and precipitate torsades.
Thiopental can be used in patients with prolonged QT (prolongs the QTc but reduces TDP - transmural dispersion of depolarization)

Long QT syndrome | BJA Education | Oxford Academic (oup.com)

How well did you know this?
1
Not at all
2
3
4
5
Perfectly
18
Q

Recurrent torsades treatment, acceptable

a) Flecainide
b) Lignocaine
c) Procainamide
d) Amiodarone
e) Sotalol

A

Ans: Lignocaine (dose is 1mg/kg bolus - ANZCOR)

- Overdrive pacing
- Lignocaine decreases the QTc 
- Beta blockers
- Isoprenaline 

Uptodate:
- If baseline QTc is normal then less likely to respond to Mg and IV amiodarone may prevent recurrence.

“polymorphic VT” = without QT prolongation
“torsades” = a form of polymorphic VT with QT prolongation

How well did you know this?
1
Not at all
2
3
4
5
Perfectly
19
Q
  1. Acceptable tryptase to diagnose anaphylaxis

a) (1.2 times normal) + 2
b) (1.8 times normal) + 2
c) Normal + 2
d) 10/mL
e) 15/mL

A

Ans: 2+ (1.2 x baseline)

Uptodate

How well did you know this?
1
Not at all
2
3
4
5
Perfectly
20
Q

ANZAAG refractory anaphylaxis
a) Glucagon IV 10min
b) Glucagon IV 5 min
c) Glucagon IM 5 min
d) Glucagon IM 10 min

Other remembered “refractory anaphylaxis in someone on beta blocker”
a) Glucagon 1-2mg every 5 minutes until response
b) Once
c) Every 10 minutes

A

Ans: Glucagon 1-2mg every 5 minutes

How well did you know this?
1
Not at all
2
3
4
5
Perfectly
21
Q
  1. Fem-fem VA ECMO, where is best representative of coronary PaO2?
    • Right radial
    • Either radial
    • Left radial
    • Pre-oxygenator
    • Post oxygenator
A

Right radial

How well did you know this?
1
Not at all
2
3
4
5
Perfectly
22
Q
  1. Post op cognitive decline has an onset within:
    • Immediate post
    • Within one day, lasting one week
    • From ?3 weeks ?10 days post op for a year
      From 1 month to 1 year
A

“Postop neurocognitive disorder” within 1 year of surgery

“Delayed neurocognitive recovery” if present within 30 days of surgery

Delirium = 24-72 hours post op

” changes in cognition earlier than 7 days after surgery cannot be accurately tested and attributed to POCD”

“POCD can be detectable FROM 7 days after surgery”

How well did you know this?
1
Not at all
2
3
4
5
Perfectly
23
Q
  1. Pre-eclampsia at 30 weeks with IUGR
    • Low CO, low SVR
    • Low CO, high SVR
    • High CO, low SVR
      High CO, high SVR
A

Low CO, high SVR

How well did you know this?
1
Not at all
2
3
4
5
Perfectly
24
Q
  1. Burns - expected physiological changes within the first 24 hours
    • High cardiac index
    • Increased PVR
    • Decreased SVR
    • High stroke volume
A

First 48 hours depressed myocardium, hypovolaemia (hypovolaemic shock)
- Increased Hct
- Increased PVR and SVR
- Decreased stroke volume
- Decreased cardiac index
- Decrease venous saturation
- Tachycardia
After 48 hours hypermetabolic state
- Decreased SVR, subclinical myocardial dysfunction

Ans: increased PVR

How well did you know this?
1
Not at all
2
3
4
5
Perfectly
25
25. Which increases the risk of blood product related graft vs. host disease - Genetic variability between donor and recipient - Irradiated - Leukodepleted - Immunodeficiency Transfusion of non-cellular product
Immunodeficiency A: Incorrect – Genetic similarity, not variability, increases risk. If donor lymphocytes are not recognized as foreign (e.g., HLA similarity), they can proliferate and attack host tissues. B: Incorrect – Irradiation prevents GVHD by inactivating donor lymphocytes. C: Incorrect – Leukodepletion reduces febrile reactions and CMV transmission but does not eliminate T lymphocytes that cause GVHD. D: Correct – Immunodeficiency impairs the host’s ability to eliminate transfused donor lymphocytes, increasing the risk of GVHD. E: Incorrect – Non-cellular products (e.g., plasma, cryoprecipitate) don’t contain viable lymphocytes, so they don’t cause GVHD
26
26. When reconstituted, fibrinogen concentrate should be transfused within: - 30 min - 4h ?
Stable for 6 hours after reconstitution if kept between 20-25 degrees ^^ Australian PI is different to American PI. Australian PI states 6 hours.
27
27. A man has this device put in because he isn't suitable for anticoagulation with AF. What is a WATCHMAN device / where is it? - Left atrial appendage - SVC - IVC - Right atrium Ascending aorta
LAA Left atrial appendage - Most likely site for clot formation in AF Blocks off the LAA so no clot can form there
28
28. Aortic mechanical On-X valve has an inguinal hernia repair in 48 hours and INR is 1.5, what should you do? - Bridge with enoxaparin - Bridge with heparin - Cease warfarin Cease aspirin
Ans : withhold warfarin On-X valve is mechanical bileaflet valve with approval for low INR target 1.5-2.0/
29
The transthoracic echo demonstrates:
Tricuspid regurgitation
30
30. TTE echo parasternal long axis which chamber? - RV RA
31
Non-inferiority trial (repeat, line crossed 0 and non-inferior line) a. non-inferior and superior b. inferior and not non-inferior c. Non inferior and inferior d. Inconclusive e. non-inferior and not superior
D. Inconclusive
32
32. APRV ventilation - Spont breathing - Restrictive lung disease - Short bursts of high pressure to aid recruitment Long expiratory for clearance of CO2
Answer : spont breathing Airway Pressure Release Ventilation (APRV) is a pressure-controlled mode of mechanical ventilation that delivers an almost continuous positive pressure with intermittent, time-cycled, short releases to a lower pressure, encouraging spontaneous breathing and aiming for "open-lung" ventilation
33
33. Best TOE view for detecting myocardial ischaemia - Mid-oesophageal 4-chamber - Long axis - 2 chamber - Transgastric 2 chamber papillary
transgastric mid-papillary short-axis view
34
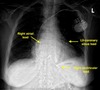
34. CXR with 3 lead pacemaker arrow pointing to: - LV - RV Coronary sinus
35
35. Avulsed tooth, what fluid to place it in - Chlorhexidine - Saline - Balanced salt solution - Fresh bovine milk Water
Milk
36
36. Pregnant MS lady, cat 1 CS within 30 minutes, what method - Spinal - CSE - Epidural - GA Methylpred then GA
GA ^top end article (if this means mitral stenosis) - Cat 2 CSE intrathecal morphine in spinal and slowly titrated epidural - Cat 1 then GA If this means multiple sclerosis then just do a spinal if there is time Avoid hyperthermia
37
37. Classic LMA cuff recommended maximum pressure - 30 - 40 - 50 60
60 cmH2O for both classic LMA as well as a Supreme
38
38. Narrow complex tachycardia ECG in young person post op PACU SBP 90 what treatment - Modified valsalva - Adenosine
Modified Valsalva
39
39. Prilocaine Bier's block, which condition it shouldn't be used in - G6PD Porphyria
G6PD deficiency - risk of methaemoglobinemia Correct answer: A. G6PD deficiency Explanation: Prilocaine is metabolised to o-toluidine, which can cause methaemoglobinaemia. Patients with G6PD deficiency are at increased risk of oxidative haemolysis and methaemoglobinaemia, so prilocaine is contraindicated in this population. Porphyria: Prilocaine is considered safe in porphyria and does not trigger acute attacks, making it an acceptable agent in these patients.
40
40. Anaphylactic to MMR vaccine. What is contraindicated? - Gelofusine Sulphonamides
Gelofusine and gelatin is associated with anaphylaxis to MMR
41
65yo M presented with confusion and hypoxia. CXR left chest whiteout and tracheal deviation - Left pleural effusion - Left pneumonia - Unilateral pulmonary oedema Pneumonectomy
probably L pneumonia if towards as leads to collapse of lung
42
42. Post heart transplant recipient, expected sensitivity to: - Adenosine - Ephedrine - Atropine Glycopyrrolate
Adenosine - use 1.5 mg or 3 mg - Altered pharmacology: - **effective** (dopamine, isoprenaline, met/phenyl - but no reflex brady, lignocaine, b-blockers, CCB), - **exaggerated** effect (norad, ad, dobutamine, adenosine), - **no effect** (ephedrine, atropine, glycopylorate)
43
43. What nerve does not innervate the breast/for breast surgery? - Long thoracic - Anterior intercostal - Posterior intercostal Supraclavicular
Posterior intercostal
44
44. Post prem baby, having surgery. The minimum time before considered for day surgery is. - Postmenstrual age 54 weeks - 60 weeks
54 weeks postmenstrual
45
45. Fontan woman, pregnant, what drug to avoid in labour? - Ergometrine N2O
Ergometrine or carboprost - both increase PVRs If giving oxytocin - give it slowly
46
46. Dental surgery to bottom molar (38) with weird chin sensation post op. Which nerve damaged? - Lingual - Mental - Inferior alveolar Infratrochlear
Correct answer: B. Mental Explanation: The mental nerve is a branch of the inferior alveolar nerve and exits the mandible via the mental foramen, providing sensation to the chin and lower lip. Damage to this nerve during or after lower molar (38) surgery can cause altered sensation (“numb chin”). Lingual nerve → Sensation to anterior 2/3 of tongue and floor of mouth – not chin. Inferior alveolar nerve → Supplies lower teeth, but chin sensation is via its mental branch. Infratrochlear and infraorbital nerves → Supply the upper face – not involved in mandibular surgery.
47
47. Child with status epilepticus, weight 20kg which is NOT a recommended treatment? - Midaz IM 3mg - Intranasal 6mg - Intraosseous 3mg - Buccal 6mg IV 1.5mg
Starship : IV/IO 0.15mg/kg IM 0.2 mg/kg Buccal/intranasal 0.5mg/kg (other references 0.3mg/kg)
48
48. Highest rate of mortality is BMI in category of: - <18.5 - 18.5-24.9 - 25-29.9 - 30-34.9 35-39.9
Mortality higher in <18.5 Above BMI 40 is almost the same as <18.5, then BMI 50-60 is higher than in 18.5 group.
49
49. Major burns patient, pharmacologic effects in relation to non-depolarising NMBDs - Dose expected higher because of up-regulation of acetylcholine receptors - Downregulation of aceytlcholine receptors - low alpha-a acid glycoprotein
Correct answer: A. Dose expected to be higher because of up-regulation of acetylcholine receptors Explanation: Burns (especially >20% TBSA) cause up-regulation of extrajunctional acetylcholine receptors, beginning within days and persisting for weeks to months. This leads to resistance to non-depolarising neuromuscular blockers (NDNMBs), requiring higher doses to achieve effect. B. Downregulation is incorrect – the opposite occurs. C. Alpha-1 acid glycoprotein is increased after burns (an acute-phase reactant), which can bind some drugs, further altering pharmacokinetics.
50
50. Class 2 obesity has an ASA score of: - 1 - 2 - 3 4
Class 1 30-35 Class 2 35-40 Class 3 40+ ASA II for class II (and class I) ASA III for class III
51
53. Obese patient, giving a dose of propofol for INDUCTION, what weight do you use? - LBW - IBW - ABW TBW
LBW - NMBD - lean (non-depol) - Sux - total body weight - Prop induction - lean - Prop infusion - adjusted body weight - Reversal - adjusted body weight - Local anaesthetic - lean body weight - All Abx TBW except gentamicin which is LBW (SOBA)
52
54. Myasthenia gravis patients and NMBD: - resistant to non-depolarising, sensitive to depolarising - Sensitive to non-depolarizing, resistant to depolarising - resistant to both - sensitive to both
Sensitive to non-depol (use a 1/10 - 1/5 dose) Resistant to suxamethonium (2.5 times dose)
53
55. Magnesium 20mmol given intraop is NOT associated with - Reduced pain scores in PACU - Reduced PONV - Reduced MAC requirements - Prolonged neuromuscular blockade Respiratory depression postop
? reduced PONV Statistically significant but small reduction in postop opioid requirements, no reduction in post op pain scores or PONV. (PS41) IV magnesium as an adjunct to morphine analgesia has an opioid-sparing effect and improves pain scores APMSE 2020 ? not a clinically relevant respiratory depression unless associated renal failure
54
56. Severe hypokalaemia and cardiac arrest, ANZCOR recommends: - 5mmol bolus IV - 5mmol bolus IV over 5 mins - 5mmol bolus IV over 10 mins - 10mmol bolus IV over 5 mins 10mmol bolus IV over 10 mins
5mmol bolus IV
55
57. Child and laparotomy, 23kg, what fluid will you give for maintenance? - 45ml/hr of 0.45% N/S and dextrose - 45ml/hr 0.9% NS and dextrose - 65ml/hr of 0.9% saline and dextrose 65ml/hr other solutions
45ml/hr 0.9% N/S + dextrose (2/3 maintenance for any patient that is sick)
56
58. Child with uncorrected TOF, having a tet spell, what will not work? - Prostaglandin - Sedation - Fluid bolus Vasopressor
Ans : prostaglandin TOF: - VSD - Overriding aorta - Pulmonary artery stenosis/atresia - RV hypertrophy In a "tet spell" (hypercyanotic spell) due to Tetralogy of Fallot (TOF), the pathophysiology is increased right-to-left shunting due to infundibular spasm and decreased systemic vascular resistance (SVR). Effective treatments include: Sedation (e.g. morphine): reduces catecholamine surge and infundibular spasm Fluid bolus: increases preload and reduces right-to-left shunting Vasopressors (e.g. phenylephrine): increase SVR to reduce the R→L shunt Knee-chest position: increases SVR and venous return Beta blockers (e.g. propranolol): relieve RVOT obstruction Why prostaglandin doesn't work: Prostaglandin E1 is used to keep the ductus arteriosus open in duct-dependent lesions (e.g. pulmonary atresia, HLHS) In TOF, the ductus is not needed for oxygenation during a tet spell, and prostaglandins have no role in acute management of a tet spell
57
59. Someone is on moclobemide, what drug is most likely to cause serotonin syndrome? - Pethidine - Tapentadol - Methadone Fentanyl
Pethidine --> precipitates serotonergic crisis. Tramadol also bad news
58
52. Young man collapsed, ECG depicting brugada, what is the recommendation: - ICD Flecainide
ICD only therapy mutation cardiac Na channel Unmasked by fever, ischaemia, drugs eg flecanide, hypo/hyper K Type 1 **Coved ST **segment elevation **>2mm in >1 of V1-V3 **followed by a negative T wave. This is the only ECG abnormality that is potentially diagnostic. Must be in association with clinical criteria Documented ventricular fibrillation (VF) or polymorphic ventricular tachycardia (VT). Family history of sudden cardiac death at <45 years old . Coved-type ECGs in family members. Inducibility of VT with programmed electrical stimulation . Syncope. Nocturnal agonal respiration. Type 2 Brugada Type 2 has >2mm of saddleback shaped ST elevation.
59
60. Parkinsons patient on apomorphine infusion, what drug to given for nausea? - Cyclizine - Ondansetron - Droperidol - Metoclopramide Prochlorperazine
Cyclizine Metoclopramide, droperidol are contraindicated in PD due to dopaminergic effects, also prochlorperazine. Apomorphine and ondansetron use contraindicated -> hypotension
60
61. Refractory epilepsy and vagal stimulator, what is most likely to cause it to inadvertently fire? - Hypertension - Tachycardia - Bradycardia - Hypotension - Hypothermia Hyperthermia
For patients who have seizures and experience 'ictal tachycardia' It follows then that it might inadvertently fire when the patient is tachycardic for another reason? Difficult to find a resource… Uptodate "responsive" devices provide stimulation to increases in heart rate.
61
62. What is the most consistent factor for increased PONV rate in children? - Female sex - Age 3 or older - Use of short acting opioids Nitrous oxide
Age >3 Uptodate: - Preop: ○ Age >/= 3 ○ History of PONV/POV ○ Hx motion sickness ○ FHx PONV/POV ○ Post puberty females - Intraop: ○ Surgery: § Strabismus, adenotonsillectomy, otoplasty, surgery >30 min ○ Volatile anaesthetics - Postop: Long acting opioids
62
63. Which muscle does not elevate the larynx? - Sternohyoid - Thyrohyoid - Myelohyoid Geniohyoid
Sternothyroid --> depresses the larynx Sternohyoid, omohyoid --> indirect depressor Thyrohyoid --> elevates the larynx Myelohyoid, stylehyoid, geniohyoid --> indirect elevators of the larynx
63
64. What is not a good indicator for neonate being ready for extubation? - Grimace - RR>16 Conjugate gaze
RR>16 Criteria for awake extubation: - Conjugate gaze - Facial grimace - Eye opening - Purposeful movement - TV>5ml/kg Deep extubation: - No cough /confirm deep anaesthesia (cuff deflation) - Adequate TV Normal ventilatory pattern
64
65. What nerve is not related to the trigeminal? - Auriculotemporal - Supratrochlear - Infratrochlear - Greater auricular - Lingual Infraorbital
Greater auricular
65
66. Right homonomous hemianopia and right hemisensory loss - affected region - Left posterior cerebral - Left anterior cerebral - Superior cerebellar Left anterior inferior cerebellar
L PCA Symptoms of posterior cerebral artery stroke include contralateral homonymous hemianopia (due to occipital infarction), hemisensory loss (due to thalamic infarction) and hemi-body pain (usually burning in nature and due to thalamic infarction) 3. If bilateral, often there is reduced visual-motor coordination 3. It is generally considered that sensory loss and hemianopia unilaterally without paralysis, is diagnostic of PCA territory stroke 4.
66
67. What is not a features of TURP syndrome? - Hyperglycinaemia - Hyponatraemia - Hypervolaemia - Hypokalaemia - Hypoosmolar?
Hypokalaemia
67
68. Equation for pulse pressure variation
100 x (ppmax-Ppmin)/Ppmean
68
69. Oxygen pulse in CPET is surrogate for - Stroke volume - Anaerobic threshold
SV
69
70. What increases DLCO? - Pulmonary haemorrhage - Pulmonary hypertension COPD
Pulmonary haemorrhage
70
71. What is an acceptable reason to defer #NOF? - K+ 2.7 - HR 110, atrial fibrillation - Hb 86 Na 126
K 2.7 Reasons to defer * Haemoglobin < 80 g.l−1 * Plasma sodium concentration < 120 or > 150 mmol.l−1 and potassium concentration < 2.8 or > 6.0 mmol−1 * Uncontrolled diabetes * Uncontrolled or acute onset left ventricular failure. * Correctable cardiac arrhythmia with a ventricular rate > 120.min−1 * Chest infection with sepsis Reversible coagulopathy
71
72. Image of ROTEM, EXTEM "in this bleeding patient" what to give (shows hyperfibrinolysis) - Plt - Fibrinogen TXA
Wine glass shape --> hyperfibrinolysis, give TXA
72
73. V5 lead position for an ECG? - Mid clavicular line 5th IC space - Mid clavicular line 4th IC space - Anterior axillary line 5th IC space Anterior axillary line 4th IC space
Anterior axillary line 5th IC space
73
74. What is the most sensitive predictor of 30 day mortality and MACE? - DASI score 55 - AT<11 - proBNP >300 6MWT<…
A. DASI score 55: Indicates good functional capacity; higher scores are associated with lower risk. Not the most sensitive predictor. B. AT <11 ml/kg/min: Indicates moderate risk, and while useful, it's less sensitive than biomarkers like BNP. ✅ C. proBNP >300 pg/mL: Strong predictor of both short-term mortality and MACE, supported by multiple studies and guidelines. D. 6MWT <... (incomplete): While useful, it's less standardised and less predictive compared to NT-proBNP.
74
5. VO2 max and DASI questionnaire relationship, score of 40 on DASI equals what? - 20L/min or ml/kg/min - 30 - 40 - 50
VO2 max (mL/kg) = 0.43 × DASI + 9.6 METs = VO2 max/ 3.5 Ans : ~30
75
76. Drug that will not raise pulmonary vascular resistance at low doses? - Dopamine - Vasopressin - Noradrenaline - Milrinone - Dobutamine OR Which is most likely to cause pulmonary hypertension? - Dopamine - Dobutamine - Vasopressin - Milrinone Prostacycline
D : milrinone ? A. Dopamine:  → Dose-dependent effects.  → At higher doses, can increase PVR via α-adrenergic stimulation. B. Vasopressin:  → Can increase PVR, especially in pulmonary hypertension.  → Less effect on systemic circulation at low doses, but not pulmonary-sparing. C. Noradrenaline:  → Primarily a vasoconstrictor via α1 stimulation.  → Increases both SVR and PVR. E. Dobutamine:  → Mostly β1 agonist (inotropy), some β2 (vasodilation), but at higher doses may increase PVR. Second questions : vasopressin Agree we think milrinone probably correct?? - Vasopressin also attenuates pulmonary hypertension Uptodate: Pulmonary vasoconstriction --> phenylephrine, adrenaline, Milrinone and dobutamine inodilators. Milrinone also reduces PVR.
76
77. Sepsis guidelines, which measure is NOT recommended to assess fluid status? - Urine output - Passive leg raise response - PPV - Response to fluid bolus Echocardiogram
6. For adults with sepsis or septic shock, we suggest using dynamic measures to guide fluid resuscitation, over physical examination or static parameters alone Weak recommendation, very low-quality evidence Remarks Dynamic parameters include response to a passive leg raise or a fluid bolus, using stroke volume (SV), stroke volume variation (SVV), pulse pressure variation (PPV), or echocardiography, where available.
77
78. Newborn at 1 minute, sats 75%, grimacing, pulse 120, RR 40, what do you do? - Observe - CPAP - Intubate CPR
Observe
78
79. Patient has arrested day 10 post cardiac surgery, what do you NOT do: - Give adrenaline 1mg - Give amiodarone - 3 sequential shocks - Atropine 3mg 1L fluid bolus
Give adrenaline CALS protocol 10 days is the cutoff Borderline question…
79
80. Diagnosis for TRALI not based on: - Hypoxaemia - Onset within 6 hours of transfusion - PCWP high - Bilateral infiltrates on CXR Raised BNP
?poorly remembered not based on PCWP high or raised BNP CLINICAL FEATURES * dyspnoea * hypoxia * fever * hypotension or hypertension DIAGNOSIS * acute onset ALI(within 6 hours of a transfusion) * hypoxia (PaO2/FiO2 <= 300mmHg regardless of PEEP or SpO2) * bilateral pulmonary infiltrates not cardiogenic in origin (PAWP < 18mmHg)
80
Diagnosis of HITS based on 4Ts score, which are: (which one is not one of the 4Ts - Thrombocytopaenia - Timing of plt drop - History of thrombus - Other cause thrombocytopaenia Plt serotonin release assay
MDCalc: --> diagnostic probability score 4 Ts - Thrombocytopaenia - Timing of platelet count fall - Thrombosis or other sequelae - Other causes for thrombocytopaenia Plt serotonin release assay --> diagnostic of HIT
81
Draw IABP trace, located unassisted diastolic pressure
82
To confirm ETT, need ETCO2 more than how much from baseline?
As per Chrimes paper 7.5mmHg
83
Third heart sound due to: - health person less than 40y - HTN - Mitral prolapse
Due to rapid ventricular filling -> vibration of ventricular walls, occurs beginning of middle third of diastole - normal people <40 - rapid ventricular filling ie MR, VSD - poor LV eg post MI, dilated cardiomyopathy Talley and O'Connor: - 3rd heart sound sounds like "Kentucky' - Diastolic sound heard best with the bell - Normal to hear in states of states of increased cardiac output ○ Pregnancy, thyrotoxicosis, some children Otherwise from poorly compliant ventricle
84
Patient presents for a trans-urethral resection of the prostate (TURP). He had a single drug-eluting coronary stent for angina pectoris inserted six months ago and is taking clopidogrel and aspirin. The most appropriate preoperative management of his medications is to - Cease clopidogrel for 5 days - Cease clopidogrel for 10 days - Continue both Cease clopidogrel for 7 days and aspirin for 20 days
Flow chart from AHA 2024 Cease for 5-7 days
85
Painless visual loss, with preserved pupilliary reflex - AION (ant ischaemic optic neuropthy) - PION - Vertebrobasilar (?stroke) - Corneal abrasion Cerebral infarct
Cerebral infarct Won't be preserved reflex in AION or PION
86
Woman complaining of persistent shortness of breath 3 days post prolonged knee operation. v/q scan showing patchy, non segmental areas of equal non ventilation and perfusion. Cause - PE - Pulm infarct - COPD - Atelectasis
✅ Correct answer: D. Atelectasis Explanation: V/Q scan findings:  → PE typically causes segmental mismatched defects (perfusion defect > ventilation defect).  → In this case, matched defects (↓ ventilation & ↓ perfusion) suggest non-vascular pathology. Atelectasis:  → Common post-op, especially with immobility or poor inspiratory effort.  → Causes shunting and matched V/Q defects.  → Often non-segmental, patchy in appearance. Option breakdown: A. Pulmonary embolism ❌  → Causes mismatched, segmental perfusion defects. B. Pulmonary infarct ❌  → Unlikely without a PE; may cause focal opacities, but V/Q changes mimic PE. C. COPD ❌  → Causes global V/Q mismatch, but usually not patchy matched defects. D. Atelectasis ✅  → Most consistent with non-segmental, matched V/Q defects.  → Common post-op, especially after long surgeries like knee replacement.
87
What is the half life of a 100u/kg heparin dose? - 30mins - 1 hour - 2 hours - 3 hours - 4 hours
- 30 min after 25 IU/kg - 60 min after 100 IU/kg 150 min after 400 IU/kg
88
What does not innervate the knee? - Posterior cutaneous - Obturator nerve - Peroneal nerve - Tibial nerve Other options from other remembered document: - Common peroneal - Tibial - Saphenous - Obturator - Posterior cutaneous nerve of the thigh
A. Posterior cutaneous nerve of the thigh ❌✅  → Provides skin sensation to the posterior thigh, not involved in knee joint innervation. B. Obturator nerve ✅  → Supplies medial articular branches to the knee. C. Peroneal nerve ✅  → Articular branches supply lateral part of the knee. D. Tibial nerve ✅  → Posterior articular supply to the knee joint. 🧠 Posterior cutaneous = sensory only, no joint supply. Cutaneous: - Saphenous = anteromedial (from femoral nerve) - Common peroneal = lateral - Posterior femoral cutaneous nerve = posterior Osseous: - Obturator - medial femoral condyle - Sciatic - posterior and lateral side of femoral condyle - Common peroneal - top of fibula + fibular side of tibia - Femoral - patella, anterior knee, some of tibia Muscular: - Quads and sartorius = femoral - Hamstrings = sciatic - Dorsiflexors = common peroneal - Plantarflexors = tibial Answer is unclear.
89
What DOESN’T the sciatic nerve do? - Foot plantar flexion - Toe extension - Knee flexion - Knee extension
knee extension
90
What nerve is not potentially damaged by insertion of supraglottic airway? - Facial - Trigeminal - Glossopharyngeal - Vagus - Lingual
Facial
91
Somatic innervation in the second stage of labour includes the following nerves EXCEPT - Genitofemoral nerve - Posterior cutaneous nerve of the thigh - Inferior gluteal nerve - Pudendal nerve
Correct answer: C. Inferior gluteal nerve ( motor only n. L5-S2 glut max ) Visceral innervation by hypogastric plexus Somatic innervation: **Pudendal** nerve (S2–S4) – major nerve supplying the perineum, lower vagina, vulva, and pelvic floor muscles **Inferior rectal nerve** (branch of pudendal) – anal canal and perianal skin **Posterior femoral cutaneous nerve** (S2–S3) – posterior thigh and parts of perineum **Ilioinguinal** nerve (L1) – mons pubis, upper medial thigh **Genitofemoral** nerve (L1–L2) – anterior perineum, mons pubis (genital branch) Explanation: Somatic pain in the second stage of labour is due to distension of the vagina, pelvic floor, and perineum, and is carried by somatic nerves, especially: Pudendal nerve (S2–S4) → Primary somatic nerve for the perineum and pelvic floor. Genitofemoral nerve (L1–L2) → Sensory to mons pubis and upper anterior labia/scrotum. Posterior cutaneous nerve of the thigh (S1–S3) → Sensory to inferior buttock and posterior perineum. 🔹 These nerves contribute to perineal pain sensation in labour. Why not Inferior gluteal? Inferior gluteal nerve (L5–S2) is a motor nerve to the gluteus maximus, not involved in somatic sensation of the birth canal or perineum. Stage 2 – descent of baby through the birth canal * Somatic pain starts – more well localised, carried by A delta fibres * Vagina, rectum, perineum * Pudendal nerve and perineal branches of posterior cutaneous nerve -> S2-S4 * Ilioinguinal and genitofemoral nerves -> L1-L2 Inferior gluteal
92
Dental extraction, now numbness over lower chin, which nerve has been damaged? - Inferior alveolar - Mental - Infraorbital
Depends where the lesion is, if molar tooth then damage to inferior alveolar. If front tooth then possibly mental nerve.
93
Cryoprecipitate does NOT contain - Factor IX - Factor XIII - Fibronectin - Von Willebrand Factor
Factor IX
94
Tibial fracture, Posterior tibial nerve injury, which compartment - Superficial posterior - Deep posterior - Anterior Other remembered: what compartment? Pain, toe flexion, plantar sensory loss. - Deep posterior - Superficial posterior - Anteral - Lateral Medial
Deep posterior Compartments of the leg recap: Anterior: deep fibular (peroneal) nerve, anterior tibial artery Lateral: superficial fibular (peroneal) nerve Superficial posterior: gastrocnemius, soleus, plantaris; innervation from branches of the tibial nerve (but the tibial nerve itself is not in this compartment) Deep posterior: tibial nerve, posterior tibial vessels, flexor digitorum longus, flexor hallucis longus, tibialis posterio
95
Hyalase increases the following: - Speed of muscle akinesis - Chemosis - Rate of allergic reactions
Speed of muscle akinesis
96
Use of methylene blue rather than patent blue - Reduced rate of anaphylaxis - More expensive - Easier to see sentinel nodes - Reduced O2 saturations
Reduced rate of anaphylaxis Patent blue : Fourth most common cause of anaphylaxis in NAP6 The use of methylene blue in the UK has largely been superseded by Patent Blue because of concerns about the adequacy of lymphatic uptake and fat necrosis at the injection site. - Methylene blue is less expensive - Methylene blue has a lower rate of anaphylaxis Easier to see sentinel nodes with patent blue
97
Best method to reduce post ERCP pancreatitis?
Uptodate: Rectal diclofenac or indomethacin
98
Epipen dose compared to normal 1:1000 IM adrenaline dose in adult anaphylaxis? - Same - Reduced - Increased
Anapen 500mcg in 0.3mL Epipen 300mcg in 0.3mL
99
How to clean laryngoscope handle?
PG28 Infection control - Handle clean with soap and water (non-critical) Critical - penetrates mucosa (blade) Semi-critical - contact with intact mucous membranes
100
What additive prolongs block best? - Clonidine - Dexamethasone - Bicarbonate - Adrenaline
Dexamethasone
101
What is not acceptable for ARDS? - Recruitment manoeuvres - Proning - High PEEP - Neuromuscular blockade - Keep dry
We think recruitment manoeuvres is the answer - Improve PaO2 transiently but in long term found to be harmful
102
The recommended skin preparation for a neuraxial:
- 0.5% chlorhex/ 70% alcohol.
103
Expected blood volume in preggers lady - 60 ml/kg - 70 ml/kg - 80 ml/kg - 90 ml/kg - 100 ml/kg
100ml/kg
104
What is the 4th pacemaker letter meaning - chamber sensed - Chamber paced - Rate modulation - Multi chamber pacing
Rate modulation
105
Time for reversal of therapeutic dabigatran after administration of Idarucizumab 5 g is - 5mins - 15mins 30mins
5 mins (maximum)
106
The accompanying image is obtained while doing an ultrasound guided erector spinae plane block at the level of the transverse process of the fourth thoracic vertebra. The muscle marked by the arrow is the - Trapezius - Rhomboid - Deltoid Erector spinae
Rhomboid "TRE"- trap, rhomboid, erector spinae
107
Max dose topicalisation airway in mg/kg - 7 - 9 - 11
9mg/kg Children 5mg/kg
108
BD morphine, bowel obstruction, showing signs of withdrawal. What is this? - opioid dependence - Physical dependence - Tolerance - Opioid use disorder
Physical dependence
109
NAP 5 - cardiac anaesthesia awareness - 1/8000 - 1/700
1/8000 (answer) GA LSCS = 1/670 Overall GA = 1/19,000 GA no muscle relaxant = 1/130,000
110
NAP7 - most common cause perioperative arrest - Major haemorrhage - Anaphylaxis - Airway issues
major haemorrhage (17%) bradyarrhythmia 9% cardiac ischaemia 7%
111
DDAVP not used for: - nocturnal enuresis - Haemophillia B - Von Wil disease 2A - Uraemic bleeding - Central diabetes insipidus
Haemophilia B
112
Noradrenaline has tissued into skin from peripheral cannula, most appropriate first step is: - remove cannula - Flush with saline - Heparin? - Hyalase? - Cold compress - Subcut phentolamine
- Stop infusion - Do not remove IV line - Elevate limb if possible, do not apply pressure - Do not flush the line - Attempt aspiration of remaining drug from IV line with small syringe - Do not use ice/cold compress (causes further vasoconstriction) See below reference, phentolamine and hyaluronidase mentioned. We are going with phentolamine as answer.
113
What is not associated with POTS? - COVID-19 - Hypermobility disorder - Normal resting LV function - ECG changes
ECG changes
114
Pregnancy highest risk
WHO Class IV - pulmonary HTN - EF <30% - mod systemic RV dysfunction - jSevere MS/AS - severe aoitation - Vascular ehlers danlos - Severe recoarctation - Fontan with complication
115
Aortic dissection, which is NOT a bad sign - RWMA - Right dilated ventricle - Dilated aortic root AR
Right dilated ventricle
116
PFT in dude, detect nitric oxide >70ppm number ppm. Meaning - Smoker - COPD Exacerbation of asthma
Fractional exhaled nitric oxide - helps to diagnose asthma Measures amount of nitric oxide exhaled from a breath Produced by cells involved in inflammatory process Cutoff point for test is approximately 40 Answer: Exacerbation of asthma
117
118. Compared to a continuous infusion, PCEA does NOT reduce - Incidence instrumental delivery - Incidence of C-section rates - Clinical workload Motor weakness
- Incidence of C-section rates Blue book article Harriet Wood
118
119. A 70-year-old man undergoes a stress echocardiogram as part of his preoperative preparation before a total hip replacement. If he has clinically significant coronary artery disease, the earliest indicator during his test is most likely to be - ECG changes - RWMA/diastolic dysfunction - Angina Hypotension
- RWMA/diastolic dysfunction Diastolic dysfunction comes first, then RWMA
119
Return to practice - how long should a formal return to pratic program be
4 weeks for every year "the total duration of a formal return to practice program will be determined by the learning needs analysis. The starting point for calculating the total duration is one month per year of absence from anaesthesia practice."
120
CPET Borg’s scale, what is it for?
Subjective effort Rating of perceived exertion 12 on Borg scale corresponds to 60% 'Very hard' = 16 = 80% VO2 max Scale is from 6-20
121
ANZCOR recommendations on minimum time from cardiac arrest to post arrest prognostication? - 24 hours - 48 hours 72 hours
72 hours CT within 48 hours also mentioned by anzcor
122
Spinal, 3ml, patient supine and horizontal, hyperbaric qualities vs normal bupivacaine - Lesser block height, shorted duration of action - Lesser block height, longer DOA - Greater block height, shorter DOA - Greater block height, longer DOA No difference in block height, longer DOA
Greater block height, shorter duration
123
Epilepsy surgery, some sort brain monitoring and which drugs affect it the least - Remifentanil - Ketamine Sevoflurane
Remifentanil
124
Giving indocyanine green - Increased O2 cerebral, decreased peripheral Variations on above
- Increases NIRS but decreased peripheral sats
125
Accuracy of pulse ox, which does NOT affect - Anaemia - AF - Carboxyhaemoglobin Poor peripheral perfusion
- Anaemia MetHb - brings sats towards 85% CarboxyHb - falsely high reading
126
Best post-op analgesia after wisdom tooth removal - Ibuprofen - Celexocib - Tramadol Paracetamol
- Ibuprofen However APMSE scientific evidence says similar efficacy between non-selective NSAIDs and celexocib
127
What is NOT a feature of thyroid storm? - Jaundice - Bronchospasm Seizures
Bronchospasm Disorder of CNS, CVS, GI and temp
128
Expected physiological change in hyperthyroidism - Reduced SVR - increased SVR - decreased CO
Reduced SVR Hyperdynamic circulation
129
Somatic pain in the second stage of labour is NOT transmitted via the - Pudendal - Ilioinguinal - Genitofemoral - Inferior gluteal Posterior cutaneous nerve of the thigh
Inferior gluteal
130
Which drug NOT to give with cocaine toxicity? - Phentolamine - Metoprolol - GTN Propofol bolus
- Metoprolol Giving B blockade may lead to reduced myocardial contractility and HR in the setting of unopposed alpha effects (peripheral vasoconstriction etc.) --> failure
131
SGLT-2i use for diabetes, what do they NOT cause? - Glycosuria - Reduced eGFR - Euglycaemic ketosis Hypoglycaemia
- Hypoglycaemia? * Can cause hypoglycaemia if used in combination with insulin or sulfonylurea * As monotherapy do not cause hypoglycaemia They are associated with: ✅ Glycosuria — the primary mechanism of action. ✅ Reduced eGFR — at initiation, there is often a small, transient reduction in eGFR due to changes in glomerular hemodynamics (afferent arteriole constriction) which actually offers long-term kidney protection. ✅ Euglycaemic ketosis — they can increase the risk of euglycaemic diabetic ketoacidosis (DKA). But they are not typically associated with hypoglycaemia unless combined with other glucose-lowering drugs (like insulin or sulfonylureas). On their own, the risk of hypoglycaemia is low. However they definitely DON'T reduce eGFR as they are used to prevent progression of chronic kidney disease? RACGP - Sodium glucose cotransporter 2 inhibitors for chronic kidney disease
132
Buprenorphine patch stopped, when will plasma levels drop by 50% - 12 hours - 24 hours - 48 hours 72 hours
24 hours
133
Autonomic dysreflexia is more likely seen in spinal lesions at the level of: - T5 incomplete injury - T5 complete injury - T10 incomplete injury T10 complete injury
T5 complete injury
134
5 kPa is approximately equivalent to - 37 mmHg 45 mmHg
37 mmHg
135
Baby swallows battery, what to give
Sucralfate (or honey)
136
Risk of AFE is highest in: - Caesarean - Induction of labour Labour augmented by oxytocin infusion
Age>35, multiple pregnancy, induction of labour all associated
137
You have induced a patient (I forget this part) and ten minutes later- reduced air entry left side, sats 85%, hypotensive. Lung USS on the left side shows no sliding and a lung point sign. - Left needle decompression 2nd IC space - Left chest drain insertion - Left finger thoracostomy - Pull the ETT back 2cm Get a CXR
Left needle decompression 2nd IC space
138
Compared with open mechanical aortic valve repair, TAVI has: - Reduced mean gradient - Reduced vascular injury - Reduced arrhythmia Reduced paravalvular leaks
Reduced mean gradiant Lower : - mean valve gradiant - new onset AF - blood transfusion - AKI Higher - paravalvular regurg - vascular complications - PPM needed - Valve degeneration
139
The number of segments in the left lower lobe of the lung is: 3, 4, 2
4
140
Current ANZCA recommendations for a child 7 months old fasting prior to surgery are: - Clear fluids one hour, breast milk 3 hours Clear fluids two hours, breast milk 3 hours
Clear fluids 1 hour, breast milk 3 hours
141
In relation to ECHO, TAPSE refers to: - Right ventricular contraction Tricuspid valve something
- Tricuspid annular plane systolic excursion Used to estimate RV ejection fraction normal - > 16mm
142
143. EPO given perioperatively - Increase in risk of thrombosis - No increase in risk of thrombosis
- No increased thrombosis risk - Reduces perioperative blood transfusion No change in AKI, mortality, reoperation
143
144. Persistent posterior shoulder pain post arthroscopy, which nerve is injured? (Chronic postsurgical pain) - Suprascalpular - Subscapular - Supraclavicular
Supra-scapular the suprascapular nerve is likely responsible for persistent posterior shoulder pain following arthroscopy. This nerve innervates the supraspinatus and infraspinatus muscles, which are located in the posterior region of the shoulder The suprascapular nerve can be injured during shoulder arthroscopy, particularly during procedures involving the posterior labrum, rotator cuff repairs, or glenoid osteotomy
144
The odds ratio is the measure of choice for a: (Odds ratio) Case-control study Cohort study Cross-over study RCT
Case- control study Explanation: Odds Ratio (OR) is the measure of choice for a case-control study, because in case-control designs: You start with outcome status (cases vs controls) and look backwards to determine exposure. You cannot calculate incidence or absolute risk (since the groups are selected based on outcome, not exposure). So, the odds of exposure in cases vs controls is the appropriate comparison — i.e., the odds ratio.
145
146. Despite an interscalene block being performed preoperatively for arthroscopic rotator cuff repair, a patient wakes up with posterior shoulder pain. The most appropriate procedure to consider would be a nerve block of the: (Interscalene brachial plexus block) Supraclavicular Subscapular Suprascapular Lateral pectoral
Suprascapular
146
147. Predictors of poor sedation in gastroscopy include all except? (Sedation for endoscopy) Old age Lack of pre-anaesthetic assessment Male Long procedure ASA
Old age True predictors of poor sedation: ❌ Male sex — studies show males tend to need higher sedation doses. ❌ Lack of pre-anaesthetic assessment — unoptimized patients are harder to sedate safely. ❌ Long procedure duration — more stimulation, more sedation required. ❌ Higher ASA status — comorbidities may complicate sedation depth and safety.
147
148. Contraindication for IABP (balloon pump) include all the following except: (Contraindications to intraaortic balloon pump) Aortic dissection Aortic regurg Severe coagulopathy MR
MR
148
149. A 7.5Fr central venous catheter is accidentally inserted into the carotid artery of a patient in ICU. The vascular team are not available for 4 hours. The best course of management is to (Vascular access and carotid injury) - Heparinize through central line until surgeon available - Heparinise for 24h, then remove - Remove and compress for 20 mins
Heparinize until surgeon available When a large-bore catheter (e.g. 7.5 Fr) is accidentally placed into the carotid artery — especially in the ICU setting — the key principles are: Do NOT remove the catheter blindly — removing it without vascular control can result in: severe bleeding, expanding hematoma, airway compromise, stroke. The best practice is to: Leave the catheter in place as it may be tamponading the arterial puncture. Heparinize the patient (if no contraindications) to reduce the risk of thromboembolic stroke or arterial thrombosis while awaiting surgical (or interventional radiology) repair. Notify the vascular team — they will usually either: remove it under direct surgical control, or proceed to open/repair the artery.
149
150. Rumack-Matthew nomogram is validated for use in a pracetamol overdose with (Paracetamol overdose) - Single ingestion of immediate release only - single or repeated ingestion of immediate release - single or repeated immediate release and slow release - single ingestion of slow release only - chronic supratherapeutic administration
Single ingestion of immediate release only
150
151. In NAP 6, the most common clinical feature of perioperative anaphylaxis was: (NAP6) Urticaria Bronchospasm Hypotension Loss of ETCO2 trace
Hypotension
151
152. In a patient taking dabigatran, which test is best for monitoring from a standard coagulation panel? (Dabigatran and clotting tests) (repeat question: unclear if the qualifier “Standard” was used in past exams or not) TCT PT INR APTT
TCT
152