25.2 Flashcards

(148 cards)

1
Q

Compared to a normothermic patient, a patient with mild intraoperative hypothermia (35.0 oC) will have:
a) pericardial
b) thoracic
c) perisplenic
d) perinephric
e) perihepatic

A

perisplenic

How well did you know this?
1
Not at all
2
3
4
5
Perfectly
2
Q

Performing block of median nerve in cubital fossa. Which US probe to use?a) Curvilinear
b) Linear probe 8-12 Hz
c) Linear probe 5-10 Hz
d) Thinner probe

A

linear probe 8-12Hz

How well did you know this?
1
Not at all
2
3
4
5
Perfectly
3
Q

Phaeochromocytoma - which drug to avoid? a) metoclopramide
b) phentolamine
c) prazosin?
d) propofol
e) rocuronium

A

metoclopramide

Metoclopramide is a dopamine (D₂) antagonist. In patients with phaeochromocytoma, blocking dopamine receptors can remove inhibitory control of catecholamine release, leading to:

Massive catecholamine surge
Severe hypertension
Arrhythmia
Cardiovascular collapse

There are well-described case reports of hypertensive crises precipitated by metoclopramide in undiagnosed phaeochromocytoma.

How well did you know this?
1
Not at all
2
3
4
5
Perfectly
4
Q

Intubate with 1mg/kg rocuronium. Surgery ceases. TOF count 0. PTC 2. What dose sugammadex to give?
a) 1mg/kg
b) 2mg/kg
c) 4mg/kg
d) 8mg/kg
e) 16mg/kg

A

4mg/kg

How well did you know this?
1
Not at all
2
3
4
5
Perfectly
5
Q

Opioid induced ventilatory impairment. Which is NOT a RF?
a) female
b) sleep disordered breathing
c) congestive cardiac failure (or some sort)
d) opioid naiive
e) long acting opioids?

A

A - female

Options:
a) Female ❌ NOT a risk factor

Risk is higher in males, largely due to higher prevalence of OSA and ventilatory control differences.

b) Sleep-disordered breathing ✅
Strong risk factor (especially OSA)
Reduced ventilatory reserve + opioid sensitivity

c) Congestive cardiac failure ✅
Associated with central sleep apnoea
Reduced physiological reserve

d) Opioid naïve ✅
No tolerance → exaggerated respiratory depressant effect

e) Long-acting opioids ✅
Sustained respiratory depression
Accumulation, especially overnight and in renal impairment

OIVI risk factors include:
OSA / sleep-disordered breathing
Opioid naïve
Elderly
Renal failure
Heart failure
Long-acting opioids
Concomitant sedatives (benzodiazepines, gabapentinoids)
PCA with background infusion

How well did you know this?
1
Not at all
2
3
4
5
Perfectly
6
Q

AFE diagnosis made via:
a) clinical diagnosis
b) cardiac monitoring of some sort
c) inflammatory complement system markers
d)Imaging of some sort? Think decreased LV function on echo

A

Clinical diagnosis and diagnosis of exclusion
UKOSS diagnostic criteria in BJA ed article

How well did you know this?
1
Not at all
2
3
4
5
Perfectly
7
Q

Quiescent IBD in pt. Which medication will prompt a flare?
a) paracetamol
b) ibuprofen
c) tramadol
d) celecoxib

A

“It is estimated that NSAIDs may cause clinical relapse in ∼20% of patients with quiescent inflammatory bowel disease (IBD).32 Coxibs do not appear to be associated with relapse of IBD, but caution should still be exercised.”
2023 BJA NSAIDs

How well did you know this?
1
Not at all
2
3
4
5
Perfectly
8
Q

Bronchopleural fistula pt in ICU. Which is the recommended ventilation strategy?
- 5 Options were 2 of 3 of TV/RR/PEEP (combos of high/low)
- Low TV and low rate
- high peep and high rate

A

✅ Low tidal volume and low respiratory rate
(with the lowest possible airway pressures and minimal PEEP)

Why this is the correct strategy:
A bronchopleural fistula represents a path of least resistance from airway → pleural space. Any increase in airway pressure increases gas flow through the fistula, leading to:
Persistent air leak
Failure of lung expansion
Pneumothorax
Impaired oxygenation and ventilation

Therefore, the guiding principle is:
Minimise mean airway pressure and peak airway pressure

Key ventilation principles in BPF
1. Low tidal volume
Reduces peak inspiratory pressure
Limits flow through the fistula

  1. Low respiratory rate
    Reduces minute ventilation requirements
    Limits repetitive pressurisation of the fistula
  2. Minimal PEEP
    PEEP increases mean airway pressure
    Can significantly worsen air leak
    Use zero or very low PEEP unless oxygenation absolutely requires it
How well did you know this?
1
Not at all
2
3
4
5
Perfectly
9
Q

Re: site of CVL, subclavian lines have lowest complication rate of:
a) infection
b) pneumothorax
c) thrombosis
d) arterial puncture
e) infection and thrombosis

A

Infection and Thrombosis. https://www.ncbi.nlm.nih.gov/books/NBK557798/

How well did you know this?
1
Not at all
2
3
4
5
Perfectly
10
Q

What is the ASA status of a pt with a TIA from 2 years ago who has otherwise been well?
a) 1
b) 2
c) 3
d) 4
e) 5

A

3
https://www.asahq.org/standards-and-practice-parameters/statement-on-asa-physical-status-classification-system

How well did you know this?
1
Not at all
2
3
4
5
Perfectly
11
Q

In OT, what does the blue electric socket denote?
a)connected to backup power supply
b) cardiac protected
c) equipotential earthed
d) connected to uninterrupted power supply
e) connected to standard power point/RCD

A

Electrical circuits connected to the UPS are denoted by a dark blue power socket, and are reserved for essential equipment without adequate battery backup.
2015 BJA environmental emergencies

How well did you know this?
1
Not at all
2
3
4
5
Perfectly
12
Q

A 64 year old man presenting for elective surgery is on thyroxine 100 mcg daily. His thyroid function tests are:
- TSH <0.05
- Both T4 and T3 within normal limits

These results are most consistent with:
a) Overtreatment
b) Subclinical hyperthyroidism
c) ?Sick euthyroid
d) Multinodular goitre
e) Previous hypophyseal resection

A

Overtreatment
- as in thyroxine

If not on thyroxine, would be subclinical hyperthyroidism

How well did you know this?
1
Not at all
2
3
4
5
Perfectly
13
Q

What is the concern with EMLA use in preterm babies?
a) methaemoglobinaemia
b)increases sensitivity due to liver or something?

A

Methaemoglobinaemia

EMLA cream (lidocaine + prilocaine) is associated with methaemoglobinaemia, particularly in preterm neonates.

Mechanism:
Prilocaine is metabolised to o-toluidine, which oxidises haemoglobin iron (Fe²⁺ → Fe³⁺) -> methaemoglobin (cannot bind oxygen)

Neonates—especially preterm infants—have:
Low levels of methaemoglobin reductase
Higher fetal haemoglobin
Immature metabolic pathways

➡️ Result: increased risk of clinically significant methaemoglobinaemia

How well did you know this?
1
Not at all
2
3
4
5
Perfectly
14
Q

What volume of air is used for the cuff of classic LMA size 4 if the manometer is unavailable?
a) 20mL
b) 25mL
c) 30mL
d) 40mL
e) 15mL

A

30mL
The manufacturers recommend inflating the laryngeal mask cuff until the intracuff pressure reaches 60 cmH2O or to inflate with the volume of air not exceeding the maximum recommended volume (size 3, 20 ml; size 4, 30 ml) if a manometer is not available
https://pmc.ncbi.nlm.nih.gov/articles/PMC7206679/#:~:text=The%20manufacturers%20recommend%20inflating%20the,available%20%5B7%E2%80%9311%5D.

How well did you know this?
1
Not at all
2
3
4
5
Perfectly
15
Q

Brachial plexus picture

Thie picture was the standard ones in brain scape flash cardsa) Radial
b) msc
c) axillary

A
How well did you know this?
1
Not at all
2
3
4
5
Perfectly
16
Q

Anterior ischaemic optic neuropathy. What is characteristic?
a) visual inattention
b) resolves fully within 24-48hrs
c) papillary oedema
d) Intact pupil reflex
e) painful

A

Papillary Oedema

How well did you know this?
1
Not at all
2
3
4
5
Perfectly
17
Q

What is a risk factor for failed epidural blood patch for postdural puncture headache?
a) Using loss of resistance to air
b) Original dural puncture >5cm
c) Injection of epidural blood patch <48hrs after accidental dural puncture
d) Sitting up and performing
e) volume 20 mL used

A

Risk factors identified for failure include a history of migraine headache, accidental dural puncture at higher lumbar levels, and injection of epidural blood patch <48 h after accidental dural puncture.
BJA 2022 failed epidural

How well did you know this?
1
Not at all
2
3
4
5
Perfectly
18
Q

Which nerve innervates lower third molar tooth?
a) Mental
b) Inferior alveolar
c) Lingual
d) superior alveolar nerve

A

Inferior Alveolar

How well did you know this?
1
Not at all
2
3
4
5
Perfectly
19
Q

According to Brain Trauma Foundation guidelines, what is the lower limit that adult GCS can be used?
a) 2 y/o
b) 4 y/o
c) 6 y/o
d) 8 y/o
e) 10 y/o

A

2 y/o
-> as per perplexity: referenced the BTF website

How well did you know this?
1
Not at all
2
3
4
5
Perfectly
20
Q

Paeds pt with distended abdomen. What is an indication for urgent transfer to theatre?
a) Pneumoperitoneum on CXR
b) Positive eFAST scan
c) Shocked at scene
d) Unresponsive to 20mL/kg blood during transfer

A

D) unresponsive to 20ml/kg blood

How well did you know this?
1
Not at all
2
3
4
5
Perfectly
21
Q

This type of tracheal tube is best described as a (picture of airway device shown)

(repeat of 20.1)a) Mini tracheostomy tube
b) South facing RAE
c) Laser tube
d) Laryngectomy tube

A

Rusch Larygoflex Reinforced Laryngectomy tube
https://www.teleflexarcatalog.com/anesthesia-respiratory/airway/product/121181080-rusch-laryngoflex-laryngectomy-tube

How well did you know this?
1
Not at all
2
3
4
5
Perfectly
22
Q

G6PD - what is the risk with giving methylene blue for shock?
a) Haemolytic anaemia
b) Serotonin syndrome
c)

A

A) haemolytic anaemia

G6PD - NADPH production impaired, increases oxidative stress, causing haemolysis

How well did you know this?
1
Not at all
2
3
4
5
Perfectly
23
Q

This Doppler trace obtained by transoesophageal echocardiography of the descending aorta (see far right) suggests
a. Aortic dissection
b. Aortic stenosis
c. Aortic regurgitation
d. Normal flow
e. High flow state

23.1 repeata. Aortic dissection
b. Aortic stenosis
c. Aortic regurgitation
d. Normal flow
e. High flow state

A

AR - bidirectional

How well did you know this?
1
Not at all
2
3
4
5
Perfectly
24
Q

ECOG surgery - which affects least?
a) dexmedetomidine
b) ketamine
c) nitrous oxide
d) sevoflurane
e) midazolam

A

b) ketamine
OR
A) dexmed

Wording of question - affects “least” - difficult to interpret without the full question.

If they are asking which is the most useful in ECOG surgery then probably Ketamine. Ketamine will help activate IEAs. this is how they usually localise the epileptogenic focus and guide the resection. If opioids like alfentanil were an option then this is more likely to be the answer (minimal ECOG effect and helps activate IEAs).
dexmed does not activate or suppress IEAs so is not specifically helpful or deleterious in this regard. but BJA article states Benzodiazepines and dexmedetomidine have a similar spectral profile on ECOG (so presumably depression of ECOG).

https://www.bjaed.org/article/S2058-5349(19)30123-4/pdf

The continuous EEG tracing pattern is
referred to as the background ECoG. Interictal epileptiform
activities (IEAs) are the spikes, waves and combination EEG
patterns that are typically seen in epilepsy in the period between clinical seizures. As the intraoperative time is short,
clinical seizures are usually not captured by ECoG, but the
presence and location of IEAs can be used to localise the
epileptogenic focus and guide the resection… If ECoG is required, then benzodiazepines should not be
given on induction because they suppress EEG activity. During
ECoG, pharmacoactivation may be required in order to activate IEAs. Potent short-acting m-agonists can be used to increase IEAs and alfentanil, remifentanil, fentanyl and
sufentanil can be used for this. Alfentanil is the most specific
and consistent activator of IEAs and is administered at doses
of 20e100 mg kg1 for this purpose.25 It is generally accepted
that the depth of anaesthesia should be reduced during ECoG,
and the patient should be advised of the small risk of awareness during this period.26 The variable effects of anaesthetic
agents on both the background ECoG and on IEAs or spikes are
summarised in Table 2.

How well did you know this?
1
Not at all
2
3
4
5
Perfectly
25
What is the lowest figure at which pulse pressure variation suggests fluid responsiveness? a) 8% b) 13% c) 5% d) 20%
0.13
26
Which heart murmur sound is HOCM? https://en.wikipedia.org/wiki/Heart_murmur#/media/File:Phonocardiograms_from_normal_and_abnormal_heart_sounds.svg
HOCM murmur same as aortic stenosis at rest: dynamic manouvers required to distinguish HOCM murmur gets louder when LV volume falls; AS murmur gets louder when preload rises. Quieter when AL rises. Core dynamic manoeuvres 1.⁠ ⁠Valsalva manoeuvre (strain phase) HOCM: ↑ louder AS: ↓ softer Why: *⁠ ⁠Valsalva ↓ venous return → ↓ LV preload *⁠ ⁠HOCM: smaller LV cavity → ↑ LVOT obstruction → louder murmur *⁠ ⁠AS: reduced stroke volume across fixed valve → quieter murmur This is the single most important manoeuvre. Standing from squatting HOCM ↑ louder AS ↓ softer Why: *⁠ ⁠Sudden standing ↓ preload and afterload *⁠ ⁠HOCM: worsened dynamic obstruction *⁠ ⁠AS: reduced flow across stenotic valve (loss of preload) Squatting HOCM ↓ softer AS. ↑ louder Why: *⁠ ⁠Squatting ↑ preload and ↑ afterload *⁠ ⁠HOCM: larger LV cavity → ↓ LVOT obstruction *⁠ ⁠AS: ↑ stroke volume → ↑ flow murmur Handgrip (↑ afterload) HOCM ↓ softer AS: ↓ or unchanged Why *⁠ ⁠Increased afterload reduces LVOT gradient in HOCM *⁠ ⁠AS murmur often unchanged or slightly reduced (less forward flow) *⁠ ⁠Handgrip is more useful for MR/AR, less discriminating here
27
What is the mechanism of action of octreotide in Upper GI bleeding? a) reduced splanchnic blood flow b) vasoconstriction c) increases platelet aggregation
MOA: splanchnic vasoconstriction
28
In neonatal resuscitation, what inspiratory pressure in H2O is recommended for positive pressure ventilation? a) 20 b) 25 c) 30 d) 15
Start at peak inspiratory pressure (PIP) of 30 cm H2O for a term neonate (20-25 cm H2O preterm neonate) and positive end expiratory pressure (PEEP) of 5 cm H2O at 40-60 breaths/minute https://www.seslhd.health.nsw.gov.au/sites/default/files/documents/Neoresusdelivery20.pdf
29
A patient has numbness and weakness in her hand postoperatively. You are trying to distinguish between an ulnar nerve lesion and a C8-T1 radiculopathy. You can diagnose a C8-T1 radiculopathy if she has weakness a) Thumb adduction b) Thumb abduction c) Fingers adduction d) Fingers Abduction e) Little finger flexion
21.1 repeat - b) Thumb abduction To differentiate root-level (C8–T1) pathology from a peripheral ulnar nerve lesion, you look for weakness in muscles supplied by C8–T1 that are not innervated by the ulnar nerve. Thumb abduction: Performed by abductor pollicis brevis Innervation: Median nerve Roots: C8–T1 Why the other options point to ulnar nerve (not radiculopathy) a) Thumb adduction ❌ Adductor pollicis Ulnar nerve → affected in ulnar neuropathy c) Finger adduction ❌ Palmar interossei Ulnar nerve d) Finger abduction ❌ Dorsal interossei Ulnar nerve e) Little finger flexion ❌ Flexor digitorum profundus (ulnar half) Ulnar nerve
30
What is an absolute contraindication to cardiopulmonary exercise testing? a) Unstable angina b) Pulmonary hypertension c) HOCM d) left main disease (untreated,BUT it didnt state "critical"
Unstable angina Cardiopulmonary exercise testing (CPET) deliberately provokes myocardial stress. Unstable angina represents active myocardial ischaemia at rest or with minimal exertion, so exercise testing carries an unacceptable risk of infarction, arrhythmia, or death. ➡️ Therefore it is an absolute contraindication in all guidelines. Why the other options are not absolute contraindications: b) Pulmonary hypertension ❌ Usually a relative contraindication Depends on severity, RV function, symptoms, and setting CPET may be performed in specialist centres c) HOCM ❌ Also a relative contraindication Risk relates to severity of LVOT obstruction and symptoms Carefully selected patients may undergo CPET with expert supervision d) Left main disease (untreated) ❌ Only an absolute contraindication if critical (e.g. ≥50% with symptoms or instability) Since the question does not specify “critical”, it is not automatically absolute Absolute contraindications to CPET include: Unstable angina Recent MI (usually <3–5 days, depending on guideline) Uncontrolled arrhythmias with haemodynamic compromise Symptomatic severe aortic stenosis Acute pulmonary embolism Acute myocarditis or pericarditis Acute aortic dissection
31
The Glasgow Blatchford score is used to risk stratify: Repeat a) Pulmonary haemorrhage b) Traumatic intraperitoneal haemorrhage c) PPH d) SAH e) UGI bleed
Upper GI bleed The Glasgow Blatchford Score (GBS) is specifically designed to risk-stratify patients with suspected or confirmed upper gastrointestinal bleeding to predict: Need for clinical intervention (transfusion, endoscopy, surgery) Risk of adverse outcomes Suitability for outpatient management It is calculated using clinical and laboratory variables (e.g. urea, haemoglobin, systolic BP, pulse, melaena, syncope)
32
The manufacturer’s instructions for use of the i-gel supraglottic airway device recommend a minimum patient weight in kg of a) 1 b) 2 c) 3 d) 5 e) 10
2Kgs
33
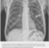
Pt with history of syncope. CXR with rectangular device near left nipple a) Implantable loop recorder b) Leadless PPM c) DBS
A) Implantable loop recorder
34
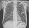
CXR with what seemed like CRT-D (3 leads). Where is the lead? a) RV b) LV c) RA d) Coronary sinus
Answer: Coronary Sinus
35
ANOVA is: a) comparison between two or more means b) bunch of other options that didnt make sense repeat from memory
Comparison between 2 or more means
36
What are the components of the MIST handover in trauma represents: Mechanism, Injury, Signs, Treatment - investigations/symptoms in there as decoys
Mechanism, Injury, Signs, Treatment - investigations/symptoms in there as decoys
37
Which is NOT a risk factor for emergence agitation in paeds? a) Nitrous oxide b) Male c) Autism spectrum disorder d) Volatile use e) Ages 2-5
a) N20
38
Post femoral block, how long should noninvasive monitoring occur for? a) 10 mins b) 15 mins c) 30 mins d) 60 mins
30mins
39
Vitamin C in acute pain. Which is true? a) IV does not work b) PO does not work c) dose dependent relationship d) reduced morphine requirements
Reduced morphine requirements. https://josr-online.biomedcentral.com/articles/10.1186/s13018-024-05193-x d) Reduced morphine requirements Explanation (exam-focused) There is evidence that vitamin C (ascorbic acid), given perioperatively or in acute pain states, is associated with: Reduced postoperative pain scores Reduced opioid (including morphine) requirements This has been shown in multiple RCTs and meta-analyses across: Orthopaedic surgery Postoperative pain Complex regional pain syndrome (CRPS prevention)
40
Lateral calf innervation (calf had nerve distributions). Had to identify which nerve to the right was the EXACT picture except the colors were different. Picture only had the right (posterior) image and wanted the blue section (SPN)a) superficial peroneal b) sural c) lateral plantar d) saphenous nerve e) lateral cutaenous nerve
41
25 male with tibial shaft fracture who has pain,weakness dorsiflexion, some other symptoms. Which leg compartment affected by compartment syndrome? a) anterior b) medial c) lateral d) superifical posterior e) deep posterior
Anterior A tibial shaft fracture with pain and weakness of dorsiflexion points to involvement of the anterior compartment of the leg, which is the most commonly affected compartment in acute compartment syndrome after tibial fractures. Key anatomy Anterior compartment contents Muscles: Tibialis anterior Extensor hallucis longus Extensor digitorum longus → Function: ankle dorsiflexion and toe extension Nerve: Deep peroneal (fibular) nerve → Weak dorsiflexion, possible sensory loss in first web space Artery: Anterior tibial artery Why not the others? b) Medial ❌ No true “medial compartment” in the leg c) Lateral ❌ Eversion weakness (superficial peroneal nerve), not dorsiflexion d) Superficial posterior ❌ Plantarflexion (gastrocnemius/soleus) e) Deep posterior ❌ Plantarflexion, toe flexion, tibial nerve involvement
42
What type of variable influences dependent and independent variables? a) confounder b) mediator
a) Confounder Why? A confounder is a variable that influences both: the independent variable (exposure), and the dependent variable (outcome), thereby distorting the observed association between them.
43
What is the minimum battery life of an anaesthetic machine? Repeata) 30min
44
Mapleson without corrogated tubing Repeat question Optiosn had A B C D ect
C
45
What is the pin index system of medical air? a) 1-5 b) 2-5 c) 3-5 d) 1-6
1,5
46
The medication most strongly associated with an acute primary hypotensive reaction following transfusion of blood products is a. Aspirin b. Ibuprofen c. Hydralazine d. Metoprolol e. Perindopril
Made up options, but perindopril definitely in there
47
When is the risk of delayed cerebral ischaemia post subarachnoid haemorrhage highest? a) <24hrs b) 1-3 days c) 4-10 days d) >14 days
4-10 days Delayed cerebral ischaemia (DCI) after aneurysmal subarachnoid haemorrhage (SAH) is most strongly associated with cerebral vasospasm, which: Typically begins around day 3–4 Peaks between days 5–7 Can persist up to day 10–14 Therefore, the highest risk window is days 4–10 post-SAH. Why the other options are wrong a) <24 hours ❌ Early deterioration is usually due to rebleeding, hydrocephalus, or raised ICP—not DCI b) 1–3 days ❌ Vasospasm is uncommon this early d) >14 days ❌ Risk has usually resolved by this stage
48
Which intervention has best mortality benefit for subarachonid haemorrhage? a) Clipping <24hrs b) Clipping >24hrs c) Coiling <24hrs d) Coiling >24hrs e) Vasopasm management
https://www.ahajournals.org/doi/10.1161/strokeaha.110.602888 Coil within 24hrs Why this is best for mortality benefit in SAH Early aneurysm securing is the single most important intervention that improves survival after aneurysmal subarachnoid haemorrhage. Among the options, early endovascular coiling (<24 h) has the strongest evidence for improved mortality and functional outcome, compared with delayed treatment or clipping. Key reasons: Prevents rebleeding (highest risk in first 24 hours) Less invasive than clipping Lower rates of: Procedure-related morbidity Death or dependency This is supported by major trials (notably ISAT) and international guidelines. Why the other options are inferior: a) Clipping <24 hrs ❌ Early clipping is beneficial, but coiling has superior mortality/functional outcomes where anatomically suitable b) Clipping >24 hrs ❌ Delayed securing → ongoing rebleeding risk d) Coiling >24 hrs ❌ worse outcomes than early coiling e) Vasospasm management ❌ Improves neurological outcome but does not provide the same mortality benefit Secondary prevention, not definitive
49
Of the following, the congenital condition LEAST commonly associated with obstructive sleep apnoea in children is a) Prada Willi Syndrome b) Duchenne Muscular dystrophy c) Down Syndrome d) Spina bifida e) Tetralogy of Fallot
A: Tetrology of Fallot Prader Willi: OSA 79-94% Duchenne: 31-92% Down‘s: 50-80% SB: 60-80% Obstructive sleep apnoea (OSA) in children is most commonly associated with conditions that cause: Upper airway obstruction Craniofacial abnormalities Hypotonia Neuromuscular weakness Conditions commonly associated with paediatric OSA a) Prader–Willi syndrome Hypotonia, obesity, craniofacial features → strong association with OSA b) Duchenne muscular dystrophy Progressive respiratory muscle weakness Sleep-disordered breathing common (including OSA and hypoventilation) c) Down syndrome Midface hypoplasia, macroglossia, hypotonia, adenotonsillar hypertrophy → very strong association d) Spina bifida Especially with Chiari II malformation Can cause central and obstructive sleep apnoea Why Tetralogy of Fallot is least associated e) Tetralogy of Fallot A congenital cardiac condition Not primarily associated with airway obstruction, craniofacial abnormalities, or hypotonia
50
The blood product that contains the highest concentration of citrate is a) Plasma b) RBCs c) Platelets d) Cryoprecipitate e) Fibrinogen concentrate f) FFP was an option?
FFP/plasma Looking at lifeblood website re: additives Sodium citrate: Plasma (40g/l) > whole blood (26.3g/l) > plts (22-25g/L) > fib concentrate (1-2g/L per product info as 50-100mg in 50ml when reconstituted) Cryo made from plasma from whole blood and FFP RBC from whole blood and washed and stored in SAGM would suspect these would therefore have a lower concentration of sodium citrate than their parent products
51
How soon will an activated charcoal filter reduce an anaesthetic machine to less than 5 parts per million? a) 3 mins b) 5 mins c) 10 mins
3 mins https://www.dynasthetics.com/Vapor-Clean/ lists <2mins
52
Crush injury - expected abnormality early: a) hypokalaemia b) hypocalcaemia c) hypophosphataemia d) metabolic alkalosis e) Hypouricemia
Hypocalcaemia. Crush injury → rhabdomyolysis → massive muscle cell breakdown. Early biochemical effects include: Release of phosphate from damaged muscle → hyperphosphataemia Phosphate binds calcium → ↓ serum calcium Calcium also deposits in injured muscle ➡️ Result: early hypocalcaemia - worsens coagulopathy and cardiac instability Other expected changes - hyperkalaemia - hyperphosphataemia - hyperuricaemia - metabolic acidosis
53
When will the SaO2 (of ABG) be higher than SpO2 (from pulse oximeter)? 24.1: A patient’s true arterial oxygen saturation will be lower than a pulse oximeter reading in the presence of (same options - different question) a) Sickle cell b) Methylene blue c) CO poisoning
a) Sickle cell disease: Pulse oximetry generally remains accurate Oxygen affinity changes (right-shifted curve), but SpO₂ reflects actual saturation b) Methylene blue Causes falsely low SpO₂ readings due to light absorption The true arterial saturation is higher than the oximeter reading C) CO Poisoning Pulse oximeters cannot distinguish oxyhaemoglobin from carboxyhaemoglobin. They interpret carboxyhaemoglobin as oxyhaemoglobin, so the displayed SpO₂ is falsely high, while the true arterial oxygen saturation is lower.
54
Which nerves does first stage of labour transmit through? a) S2-S4 b) T10-L1 c) L1-L2 d) T12-L3
T10-L1
55
Epidural placed for postop pain. How soon after epidural removal can prophylactic clexane be given? "According to ASRA guidelines was quoted I think" a) 1hr b) 4hr c) 6hr d) 12hr e) 24hr
If question was how soon after removal of catheter can prophylactic cleaned be given A: 4hrs If question was how long to withhold prophylactic clexane prior to removal A: 12hrs (Fred) Think this was actually how long to withhold prophylactic clexane prior to epidural catheter removal - 12 hours as per ASRA (Abe) Table 2 summarizes the current ASRA guidelines on time intervals before and after neuraxial blocks for anticoagulant agents.
56
Dialysis best at removing: a) warfarin b) rivaroxaban c) dabigatran d) apixaban e) clopidogrel
Dabigatran
57
Pt with known WPW. Develops rapid AF. Haemodynamically stable. What's the safest therapy? a) Digoxin b) Verapamil c) Cardioversion d) Metoprolol
https://litfl.com/wolff-parkinson-white-syndrome-ccc/ Likely electricity ✅ c) Cardioversion Why cardioversion is the safest option in AF with WPW In atrial fibrillation with Wolff–Parkinson–White (WPW), impulses can conduct rapidly down the accessory pathway, bypassing the AV node. This can degenerate into ventricular fibrillation. Key rule: 🚫 Avoid AV nodal blocking drugs — they increase conduction down the accessory pathway. Because this patient is in rapid AF with WPW, even if currently haemodynamically stable, synchronised DC cardioversion is the safest definitive therapy among the options provided. Why the other options are dangerous a) Digoxin ❌ AV nodal blocker Increases accessory pathway conduction → VF risk b) Verapamil ❌ AV nodal blocker Contraindicated in AF with WPW d) Metoprolol ❌ AV nodal blocker Same danger → can precipitate VF What would be ideal pharmacological therapy (not listed)? Procainamide or ibutilide (slow conduction in the accessory pathway) But since these are not options, cardioversion is the safest choice.
58
Benzatropine ameliorates the side effects of drugs that antagonise a. Dopamine b) serotonin c) nicotine
Dopamine
59
Pts on SSRI perioperatively may experience all of these except: a) AFib b) bleeding c) mental status changes d) serotonin syndrome e) ventricular arrhythmias
E) ventricular arrhythmias Why the other options can occur a) Atrial fibrillation ✅ SSRIs can affect autonomic tone and QT interval (agent dependent) AF has been reported perioperatively, especially in susceptible patients b) Bleeding ✅ SSRIs impair platelet aggregation by reducing platelet serotonin uptake ↑ risk of surgical bleeding, especially with NSAIDs/anticoagulants c) Mental status changes ✅ Delirium, agitation, or withdrawal effects if interrupted Interaction with anaesthetic and analgesic drugs d) Serotonin syndrome ✅ Particularly with: Tramadol Meperidine Fentanyl (rare but reported) Linezolid, methylene blue Why ventricular arrhythmias are least likely ❌ Not a characteristic SSRI adverse effect Much more associated with: Tricyclic antidepressants Certain antipsychotics Severe electrolyte abnormalities QT prolongation with some SSRIs (e.g. citalopram) rarely translates into malignant ventricular arrhythmias perioperatively
60
When compared with nerve stimulator guided brachial plexus block, Ultrasound guided brachial plexus block results in a) less neuropraxia b) less risk of systemic toxicity c) reduced time to motor/sensory onset d) less pt satisfcation?
c) Reduced time to motor/sensory onset Compared with nerve stimulator–guided brachial plexus blocks, ultrasound-guided (USG) blocks consistently show: Faster sensory and motor onset More accurate local anaesthetic deposition around the nerve Higher likelihood of a successful block on first attempt This finding is supported by multiple RCTs and meta-analyses and is the most robust difference. Why the other options are not correct / less correct a) Less neuropraxia ❌ Evidence is inconclusive US improves visualisation, but no clear reduction in nerve injury has been consistently demonstrated b) Less risk of systemic toxicity ❌ (tempting, but not best) US allows lower volumes and better vascular avoidance However, large studies have not shown a definitive reduction in LAST rates Therefore not the best-supported answer d) Less patient satisfaction ❌ Opposite is true: patient satisfaction is generally higher with US-guided blocks
61
Pulse pressure variation has reliable utility in which condition: a) thoracotomy b) spontaneously breathing c) pulmonary hypertension d) septic shock e) Increased abdominal pressures
D) Septic shock Pulse pressure variation is a dynamic preload responsiveness index that is reliable only under specific conditions: Required conditions for PPV to be valid Controlled mechanical ventilation Regular heart rhythm Tidal volume ≥ 7–8 mL/kg No spontaneous breathing efforts Normal chest wall and abdominal compliance Normal RV function
62
A 35-year-old patient is undergoing a diagnostic laparoscopy. Three minutes after insufflation of CO2 her oxygen saturation falls to 85%. You note decreased air entry on the left side of her chest. Lung ultrasound on the left reveals lung pulse and no lung sliding. The best first action is to a) Needle decomp mid clav 2nd intercostal b) Finger decomp c) Chest drain insertion d) Withdrraw ETT 1-2cm
Withdraw ETT 1-2cm
63
IO sample correlates well for: a) Hb b) Potassium c) Platelets d) Chloride? e) WCC
A) Hb Potassium higher Platelets/WCC - poor/no correlation from bone marrow contamination Chloride moderate but inferior to Hb
64
Trigeminal neuralgia - 1st line management: a) Tramadol b) Amitriptyline c) Carbamazepine
Carbamazepine
65
ECG: what does it show? BBB a) 1st degree AV block b) Mobitz type 1 c) Mobitz type 2 d) Sinus bradycardia e) Complete heart block
66
Pacemaker code for V in NASPE/BPEG Generic (NBG) Pacemaker Code? a) Rate modulation b) Paced c) Sensed d) Response to sense e) Multi site pacing
Multisite pacing
67
NOF pt under GA. sBP drops to 75, you have given multiiple bouts of metaraminol with no improvement. ECG rhythm displayed (shows rapid AF, rate ~160). Next management: a) amiodarone 300mg IV b) cardioversion 200J c) adrenalin d) metoprolol
Shock
68
ALS in adult patient. VFib -> given 2 shocks, then IV adrenaline, then 1 shock. Next treatment: a) DCCV 200J b) amiodarone 300mg IV c) adrenaline 1mg IV d) lignocaine 100mg IV
Amiodarone
69
Dosing in anaphylaxis for paediatric patient in mcg/kg for moderate (it specified grade 2) anaphylaxis: a) 1 b) 2 c) 4 d) 10
2mcg/kg
70
1hr post open cardiac surgery. Pt arrests - they are ventilated. What's the next management? a) Immediate external cardiac massage b) Adrenaline 1mg c) Defibrillate as per cardial ALS d) Aim resternotomy within 30 minutes e) Switch from ventilator to BMV
E) Switch from ventilator to BMV Reason: ANZCOR endorses the Australasian Australian and New Zealand Society of Cardiac and Thoracic Surgeons (ANZSCTS) and Australian and New Zealand Intensive Care Society (ANZICS) guidelines on cardiothoracic advanced life support (CALS-ANZ).7 These guidelines highlight key differences to standard ALS: Prolonged periods of external chest compressions can cause significant damage to thoracic structures in the early postoperative phase and may be ineffective in an arrest due to tamponade or hypovolemia. Emergency re-sternotomy is an integral part of the CALS protocol and should be completed by a trained team within 5 minutes from the onset of the cardiac arrest. Internal cardiac compression is generally more effective than external cardiac compression. Most reversible causes of cardiac arrests are addressed by an emergency re-sternotomy. Specific options: A) not approopriate due to above rationale. Assess rhythm initially and act according to flow chart B) adrenaline not use in CALS C) Question doesn't specify rhythm - C) only correct if shockable D) aiming for resternotomy within <5mins E) correct, see bottom of flow chart
71
For hyperkalaemic treatments, which has the most rapid onset of action? (or peak) a) IV insulin/dextrose b) IV sodium bicarbonate c) Nebulised salbutamol d) Resonium
IV insulin dextrose has the shortest onset time on the RCH guideline for hyperkalemia IV insulin + dextrose Onset: ~10–15 minutes Peak effect: ~30–60 minutes Mechanism: drives potassium into cells via Na⁺/K⁺-ATPase This is the fastest potassium-lowering therapy in routine practice (apart from IV calcium, which doesn’t lower K⁺) IV sodium bicarbonate Onset: slow and inconsistent Minimal effect unless there is significant metabolic acidosis Not reliable as an acute K⁺-lowering strategy Nebulised salbutamol Onset: ~30 minutes Peak: 60–90 minutes Less predictable; some patients are non-responders Resonium (sodium polystyrene sulfonate) Onset: hours Not appropriate for emergency treatment
72
Pt has had a miscarriage for emergency suction curettage. INR (or PT) 1.2x normal, aPTT 65 seconds. What test to order next? a) Mixing tests b) Fibrinogen d) Factor 8 test
A) Mixing studies Normal INR and increased APTT. Mixing study will determine whether this is due to factor deficiency or inhibitor (e.g lupus anticoagulant). Mixing patients plasma 1:1 with normal will correct APTT if factor deficiency and will remain high if anticoagulant.
73
A 45yo man presents with a hx of SOB and the following flow-volume loop is obtained. This is most consistent with (See far right) a) fixed b) variable intrathoracic c) variable extrathoracic d) early airflow obstruction
Variable intrathoracic - same as 22.1 I thought it showed decreased inspiration so would be extrathoracic variable? agree with this - extrathoracic variable
74
What is not in beriplex (or prothrombinex 4 factor) a) Factor 7 b) Factor 10 c) Factor 8 d) Protein C e) Factor 9
Factor 8
75
Differential hypoxia is a syndrome characterised by lower arterial oxygen saturation in the upper body. It is a complication specific to the use of a) VA ECMO b) VV ECMO c) ECCO2 device d) Haemodialysis e) Peritoneal dialysis
VA ECMO
76
Which von Willebrand Disease type is desmopressin ineffective? a) 1 b) 2a c) 2M d) 2N e) 3
Type 3 always ineffective https://www.rch.org.au/clinicalguide/guideline_index/Von_Willebrand_Disease_vWD/
77
Arndt bronchial blocker- which port does the blocker go down? Repeat style and showed all 4 ports as options.
A) Bronchial blocker goes down diagonal port. Circuit connects to the port at right angle Bronchoscope goes down straight port in continuation with ETT connection
78
An electrocardiogram (ECG) abnormality which is NOT usually associated with severe anorexia nervosa is a. Resting tachycardia b. Wandering pacemaker c. ST depression d. TWI e. Prolonged QT
21B repeat - resting tachycardia
79
Showing a modern chest drain, what do fluctuations in the blue chamber with the numbers 1-5 represent? a) Severity of air leak b) Suction c) Intrapleural pressure d) Collection chamber
Severity of air leak The patient air leak meter existing in some systems indicates the approximate degree of air leak from the chest cavity. The meter is made up of numbered columns. The higher the numbered column through which bubbling occurs, the greater the degree of air leak (Figure 2). By documenting the number, the clinician can monitor air leak increase or decrease
80
Pt with lean body mass 50kg. Given 100mg lignocaine. If assuming max dose lignocaine 4mg/kg and bupivacaine 2mg/kg, how much bupivacaine can safely be given concurrently to this pt? a) 100mg b) 50mg c) 200mg d)
50mg
81
A patient who is day 3 post laparotomy has used 30 mg oxycodone intravenously via patient controlled analgesia in the last 24 hours. The approximate oral morphine equivalent daily dose is
90mg
82
Which antidiabetic med reduces renal glucose absorption? a) GLP1 agonists b) SGLT2 inhibitors c) sulphynlyrea
SGLT2 inhibitor
83
The part of the lung that is typically divided into apical, anterior and posterior segments is the a) RUL b) RML c) RLL d) LUL e) LLL
RUL
84
The shoulder joint receives sensory innervation from all of the following nerves EXCEPT the a) Axillary b) Long thoracic c) Lateral pectoral d) Suprascapular e) Subscapular
23.2 - b) Long thoracic nerve Long thoracic nerve ❌ Purely motor Supplies serratus anterior No articular or cutaneous branches The shoulder (glenohumeral) joint capsule receives sensory (articular) branches from nerves that also supply the muscles acting on the joint. Articular innervation of the shoulder joint: Axillary nerve ✔️ – Major sensory supply to the inferior and anterior joint capsule Suprascapular nerve ✔️ – Supplies ~70% of sensory fibres to the posterosuperior capsule Lateral pectoral nerve ✔️ – Contributes articular branches to the anterior capsule Upper and lower subscapular nerves ✔️ – Minor articular contributions to the anterior/inferior capsule
85
SBP target if 80 year old male with TBI a)SBP 90 b) SBP 100 c) SBP 110
110
86
Obesity in pregnancy does not increase risk of - a. antenatal depression, b. cholestasis, c. pre eclampsia d gestational HTN
B) cholestasis Above is the only thing not listed in the following RANZCOG document: https://ranzcog.edu.au/wp-content/uploads/Management-Obesity-Pregnancy.pdf see table and below text from document: "Pregnant women with obesity are at increased risk of pregnancy-induced hypertension and preeclampsia, gestational diabetes mellitus, thrombosis and wound infection. "
87
A thoracic regional technique that will NOT provide analgesia for sternal fractures is a repeat optionsa. Transversus throacic plane block b. PECS I c. Parasternal intercostal nerve block
PECS 1
88
The MELD (Model for End-Stage Liver Disease) score includes all of the following parameters EXCEPT: a) Bilirubin b) INR c) Albumin d) Creatinine e) Sodium
All options currently included in MELD 3.0 (most recent scoring system) Albumin most recently added... so maybe this? See below
89
A 10-year-old child (weight 30 kg) presents to the emergency department in status epilepticus. They have received one dose of 10 mg midazolam buccally prior to arrival to hospital. According to Advanced Paediatric Life Support Australia guidelines the next drug treatment should be intravenous: a) Phenytoin b) Midazolam c) Propofol d) Levetiracetam
Midazolam
90
For a skewed distribution of data the best measure of dispersion of data is the a) range b) mode c) standard deviation d) variance e) Interquartile Range
Interquartile Range Range: ignores data density Mean: fail in skewed data due to distortion at tails Mode: measures central tendency - not dispersion SD: assumes normal distribution Variance: assumes normal distribution
91
As per 2021 Surviving Sepsis guidelines, when to start IV corticosteroids? a) Wait until synacthen test b) For 1hr if mAP <65 c) norad > 0.1mcg/kg/min for any duration d) norad > 0.25mcg/kg/min for at least 4 hours e) norad > 0.5mcg/kg/min for at least 2 hours
It is suggested that this is commenced at a dose of norepinephrine or epinephrine ≥ 0.25 mcg/kg/min at least 4 hours after initiation. 2021 Sepsis
92
Non-inferior study. Specific study crossed 0 but NOT non-inferior line. What does this result mean? The image to the right was the exact image. It wanted the 3rd from the top (non inferior) a) superior b) non inferior c) nonconclusive d) inferior
Non-inferior
93
First line treatment of extravasated norad is a) Remove cannula b) Flush cannula c) Cold compress d) SC phentolamine e) heparin
S/C phentolamine Stop infusion Leave cannula in situ Aspirate drug Infiltrate phentolamine Mark area, elevate limb, warm compress, surgical review if needed https://www.rch.org.au/clinicalguide/guideline_index/peripheral_extravasation_injuries/ Phentolamine: alpha-adrenergic receptor antagonist Can be used to counter the effects of vasoconstriction and ischaemia in the event of vasopressor extravasation Preparation: 5 mg made up to 10 mL with 0.9% sodium chloride (1 mL = 0.5 mg Phentolamine) Instructions: Inject in 4-5 small aliquots intradermally across the site of injury Dose 0.1-0.2 mg/kg to a maximum dose of 5 mg Ideally injection is administered as soon as possible, but may be used up to 12 hours following injury
94
NAP 7 most common cause of arrest intraop??? a) Anaphylaxis b) Cardiac Ischaemia c) Major haemorrhage
Major haemorrhage
95
Predictors of successful awake extubation after volatile anaesthesia in infants include a. 2mL/kg tidal volume b. grimacing c. coughing d. RR > 20 e. CO2 > 60
Grimacing Predictors: - eye opening - purposeful movements - conjugate gaze - TV >5ml/kg - grimace
96
Which drug to avoid in cocaine toxicity? A) Adenosine B) Diazepam C) Metoprolol D) Glyceryl trinitrate E) Verapamil
Metoprolol Results in unopposed alpha stimulation - unopposed vasoconstriction. Worsen HTN, coronary spasm, ischaemia.
97
You are performing femoral venous cannulation in an obese man under ultrasound guidance. The image quality is suboptimal as the vein is deep. The best way to improve the image quality is to a. Use higher frequency probe b. Use lower frequency probe c. increase the contrast
22B b. Use lower frequency probe
98
Equity, fair access - which ethical principle does this represent? a) autonomy b) beneficence c) justice d) non-malifencence
Justice - as per perplexity “Justice in medical ethics emphasises fair, equitable and appropriate treatment and distribution of healthcare resources, ensuring no unfair disadvantage based on socioeconomic status, location or other factors”
99
When interpreting an arterial blood gas, a high serum anion gap is consistent with: a) Lithium toxicity b) Salicylate toxiticy c) Hypercholeraemia d) Hypoalbuminaemia e) Hypercalcaemia
B Salicylate toxicity
100
A medication that should be avoided in a patient with thyroid storm is: a) Ibuprofen b) Propranolol c) Potassium Iodide d) PTU: Propylthiouracil
A: ibuprofen - displace thyroid hormones from binding proteins - increases free T4/3 levels -> worsens thyrotoxicosis
101
The clinical laser type with the greatest tissue penetration is: a) Argon b) Nd:yag c) Er:yag d) Co2 e) Holmium
B) Nd:YAG - as minimally absorbed by Hb and water
102
Oral naltrexone should be ceased preoperatively for: a) 24 hours b) 48 hours c) 72 hours d) 96 hours
C) 72hrs Oral naltrexone is a long-acting competitive opioid receptor antagonist. Plasma half-life of naltrexone: ~4 hours Active metabolite (6-β-naltrexol) half-life: ~13 hours Clinically significant opioid receptor blockade persists for up to 72 hours Stopping naltrexone at least 72 hours pre-operatively allows: Partial recovery of μ-opioid receptor responsiveness Effective perioperative opioid analgesia Reduced risk of uncontrolled pain or opioid toxicity from dose escalation
103
Which is not lost in anterior spinal artery syndrome? a) Pain b) Temperature c) Motor d) Proprioception e) Bladder function
Anterior spinal artery (ASA) syndrome affects the anterior two-thirds of the spinal cord. Structures supplied by the ASA: Anterior horns → motor weakness/paralysis Corticospinal tracts → motor loss Spinothalamic tracts → pain and temperature loss Autonomic pathways → bladder and bowel dysfunction Structures spared: Dorsal columns (posterior spinal arteries) Proprioception Vibration Fine touch
104
According to the 5th National Audit Project (NAP5), the incidence of awareness during general anaesthesia using a non-relaxant technique is approximately: a. 1:1360 b. 1:13,600 c. 1:136,000 d. 1:1,136,000
A: 1:136,000
105
A patient for elective general anaesthesia has been noted to be chewing gum in the pre-operative area. The most appropriate course of action is to: a) Delay 1 hour b) Delay 2 hours c) Delay 6 hours d) Discard gum then proceed without delay
D) discard and proceed without delay - as per ANZCA and ASA - negligible increase in gastric volumes
106
Preoperative predictors of chronic postsurgical pain do NOT include: a) Anxiety b) Depression c) Elderly d) Preop opioids e) preexisting chronic pain
C) elderly
107
Which intervention for acute pain does not reduce the risk of persistent postdischarge opioid use? a) Opioid wean preop b) Education/expectation setting preop c) Titrating opioids to pain scores alone d) Avoiding long-acting opioids
https://www.anzca.edu.au/getContentAsset/136f5a83-d1d0-4f34-be72-87b62b721d14/80feb437-d24d-46b8-a858-4a2a28b9b970/PS41(G)-Acute-pain-2023.pdf Titrate to pain scores alone
108
The analgesic drug with the most favourable Number Needed to Treat (NNT) for neuropathic pain is:?? a) Amitriptyline b) Gabapentin c) Tramadol d) Pregabalin e) Carbamazepine
A) amitriptyline = 3.6 Gabapentin = 6-8 Tramadol = 4-5 Pregabalin = 7-8 Carbemazepine = poor (except for trigeminal neuralgia where it’s the best.
109
A 36-year-old woman sustains an injury to her left arm and presents with pain. She informs you that she experiences unpleasant intermittent and spontaneous shooting sensations in her arm. This sensation is a. Dysaesthesia b. Allodynia c. Hyperalgesia d. Hyperaesthesia e. Paraesthesia
A) dysaesthesia
110
The nerve labelled with an arrow in the diagram below (diagram of lumbar plexus shown) is the This exact image was used
Obturator
111
14. Patients with rheumatoid arthritis and the most common form of atlantoaxial instability have a widened atlantodental interval. This is measured between the a) distance from posterior margin of dens to anterior surface of posterior arch of atlas b) distance from anterior margin of dens to anterior surface of posterior arch of atlas c) distance from posterior margin of dens to anterior surface of anterior arch of atlas d) distance from posterior margin of dens to posterior surface of posterior arch of atlas e) distance from anterior margin of dense to posterior surface of anterior arch of atlas
E) anterior margin of dens to to posterior surface of atlas
112
Intravenous dexmedetomidine use does NOT result in a) Hypertension b) Bradycardia c) Decreased urine output d) Decreased opioid consumption e) increased regional nerve block duration
C) decreased urine output - it actually increases GFR + UO
113
A patient under general anaesthesia monitored with transcranial cerebral oximetry has a decrease in their cerebral oxygen saturation. This is likely to be improved by an increase in all of the following EXCEPT A) Increased MAP B) Increased MV C) Increased anaesthetic depth D) Increased Hb
Increased Minute Ventilation
114
Ongoing cerebral seizure activity induced by electroconvulsive therapy should be medically terminated after a. 60 sec b. 90 sec c. 120 sec d. 150 sec
120 secs
115
ECT does NOT result in: a) initial sympathetic stimulation b) increased ICP c) decrease LV function for 4-6 hrs d) Increased SBP 30-40%
A) initial sympathetic stimulation Initial PARASYMPATHETIC stimulation https://www.bjaed.org/article/S1743-1816(17)30338-4/fulltext The cardiovascular response is secondary to activation of the autonomic nervous system. Beginning with the electrical stimulus, there is an initial parasympathetic discharge lasting 10–15 s. This can result in bradycardia, hypotension, or even asystole. A more prominent sympathetic response follows during which time cardiac arrhythmias occasionally occur. Systolic arterial pressure may increase by 30–40% and heart rate may increase by 20% or more, generally peaking at 3–5 min.2 Myocardial oxygen consumption, as determined by the rate–pressure product (RPP), therefore increases. RPP increases are more marked with bilateral ECT, in older patients and during hyperventilation-induced hypocapnia. Simultaneously, seizure activity increases tissue oxygen consumption, potentially reducing myocardial oxygen supply. Myocardial ischaemia and infarction can therefore occur, particularly with pre-existing disease. Left ventricular systolic and diastolic function can remain decreased up to 6 h after ECT. Cardiac rupture has also been described.
116
The Myocardial Injury after Non Cardiac Surgery study showed elevated troponin in the first three post-operative days was strongly associated with a) 30 day mortality b) 30 day MI
A) 30 day mortality MINS study n=15,065 patients. >45 y/o undergoing non cardiac surgery. Had troponins measured for 3 days post op. Elevated trop independently predicted 30 day mortality.
117
A man with a history of obesity and obstructive sleep apnoea has just had a transsphenoidal pituitary resection. Soon after extubation he is semi-conscious and is making a respiratory effort but has near complete upper airway obstruction with stridor. His arterial oxygen saturation is 93% and starting to fall. Your first actions should be to a) Propofol for LMA + PPV b) Oropharyn with PPV +/- deepen with propofol c) Nasopha with PPV d) Naso with CPAP 3) Oropharyngeal CPAP
A) propofol & LMA Chat GPT reckons e)
118
In the thigh, the adductor canal is bordered by all of the following EXCEPT a) Vastus medialis b) Adductor magnus c) Adductor longus d) Adductor brevis e) Sartorius
Adductor brevis
119
Safest approach for peribulbar if short eye length? a) Inferotemporal b) superior temporal c) medial canthal d) lateral canthal e) Other approaches
For a normal eye length my understanding is you would do an inferotemporal and medial canthal I can’t find anything specific for increased risk with short eye length. If LONG eye length, safest approach is medial canthal (see below from nysora re myopic staphyloma) Needle insertion sites: Needle insertion through the superior nasal site should be avoided. At this level, the distance between the orbital roof and the globe is reduced, theoretically increasing the risk of globe perforation. Additionally, the needle may injure the superior oblique muscle. The inferonasal approach or an approach through the medial canthus should be used instead. The needle is introduced at the medial junction of the lids, nasal to the lacrimal caruncle, in a strictly posterior direction to a depth of 15 mm or less. At this level, the space between the orbital wall and the globe is similar in size to that of the inferior and temporal approach and is free of blood vessels. Moreover, myopic staphyloma, an anatomical anomaly that represents a risk factor for perforation, is infrequently encountered on the nasal side of the globe.
120
Assuming a blood volume of 80 ml/kg, a massive transfusion child is defined as a three-hour packed red blood cell (PRBC) transfusion volume of a) 20mk/kg b) 40ml/kg c) 60ml/kg d) 80ml/kg
40mL/kg
121
The antiemetic that interferes with the effectiveness of oral hormonal contraception is a) Aprepitant b) Ondansetron c) Metoclopramide
Aprepitant
122
Extraadrenal tumour with raised metanephrines. What management preop? a) Phentolamine b) Metoprolol c) Phenoxybenzamine d) Prazosin
Phenoxybenzamine
123
ROTEM: when does does fibrinolysis <15% considered normal? a) Lysis 30 b) Lysis 60
B: Lysis 60 Lysis 30 is 0-8% BJA article: In TEG, commonly used definitions include a reduction in amplitude of MA >7.5% after 30 min (LY30) or >15% after 60 min (LY60) and is represented by a continuous decrease in the MA with time. In ROTEM, hyperfibrinolysis is defined as a maximum lysis >15%, in which maximum lysis is the reduction of clot firmness in relation to MCF within the complete measurement period.
124
DSA and was pointing to the: basilar artery
125
Desufflation after surgical pneumoperitoneum is NOT associated with an increase in a) Stroke work index b) Cardiac output c) Systemic vascular resistance d) Venous return e) LV stroke work
SVR
126
How to work out arterial pH from venous pH? a) add 0.03 b) add 0.3 c) subtract 0.03 d) subtract 0.3
A) add 0.03
127
Which is not expected with a good workiong intra-aortic balloon pump? a) Decreased renal blood flow b) Decreased Hb c) Decreased cardiac work d) Increased cardiac perfusion e) Increased aortic root diastolic pressure
A) decreased renal blood flow
128
Of the following, the drug which is most effective in the management of severe hyperthermia in serotonergic syndrome is a. Dantrolene b. Diazepam c. Paracetamol d. Rocuronium
D) Rocuronium In serotonin syndrome, severe hyperthermia is driven by: Sustained muscle rigidity and clonus Increased metabolic heat production The most effective way to control life-threatening hyperthermia is to: Paralyse skeletal muscle Intubate and mechanically ventilate Non-depolarising neuromuscular blockers (e.g. rocuronium) stop heat generation at its source. Why the others are less effective a) Dantrolene ❌ – Effective for malignant hyperthermia – Not effective in serotonin syndrome (different pathophysiology) b) Diazepam ❌ – Useful for agitation and mild–moderate cases – Insufficient alone in severe hyperthermia c) Paracetamol ❌ – Ineffective – Hyperthermia is not hypothalamic set-point mediated
129
In order to minimise the risk of cardiac arrhythmia?? surgical diathermy has been designed to operate with a. High frequency b. High voltage c. Low frequency d. Low voltage e. Equipotential earthing
High frequency
130
All patients over 70 years of age having received either spinal or general anaesthesia at Hospital X are reviewed 3 years later to assess cognitive function. The aim of the study is to determine whether exposure to general anaesthesia or spinal anaesthesia impacts cognitive function. This trial design is best described as a a) RCT b) cohort study c) case-control study d) case series e) cross-sectional study
Cohort Study
131
Intraoperative lung protective ventilation strategies include all of the following EXCEPT a. Alveolar recruitment manouevres b. Individualised PEEP c. I:E ratio 1:3 d. TV 6-8ml/kg e. Minimising ventilatory driving pressure
C: I:E ration 1:3
132
A test for a condition which has a prevalence of 1 in 1,000 has a sensitivity of 100% and a specificity of 90%. The probability of a patient who receives a positive result actually having the condition is a. 1% b. 10% c. 90% d. 100%
A: 1% PPV = TP / TP + FP For example For prevalence of 1:1000 the number of TP = 1 False positives = 999 x 10% FP = 99 PPV = 1 / 1+99 PPV = 1%
133
Your patient underwent a stellate ganglion block two hours ago. Prior to discharge you are asked to review the patient in recovery because of a droopy upper eyelid. The patient would also be expected to have ipsilateral a) Pupillary constriction and reaction to light b) Pupillary constriction and no response to light c) Pupillary dilation and response to light d) Pupillary dilation and no response to light
a) Pupillary constriction and reaction to light A stellate ganglion block commonly produces an ipsilateral Horner’s syndrome due to sympathetic blockade. Features of Horner’s syndrome: Ptosis (droopy eyelid) – Müller’s muscle paralysis Miosis (pupillary constriction) – unopposed parasympathetic tone Anhidrosis (may be present) Importantly: The parasympathetic pathway is intact Therefore the pupillary light reflex is preserved
134
Compared to a normothermic patient, a patient with mild intraoperative hypothermia (35.0 oC) will have: a. More bleeding, normal INR and APTT b. More bleeding, normal INR and raised APTT c. More bleeding, raised INR and normal APTT d. Unchanged bleeding, normal INR and APTT e. Unchanged bleeding, elevated INR and APTT
A: more bleeding, normal INT and APTT
135
The first-line drug recommended by both the Australian Resuscitation Council and the New Zealand Resuscitation Council to treat severe cyanide poisoning is a) methylene blue b) hydroxycobalamin c) sodium thiosulphate
Hydroxycobalamin
136
A respiratory effect of high flow nasal oxygen therapy is a. Reduced RR b. Reduced MV c. Increased work of breathing d. Increased Deadspace
A) reduced respiratory rate
137
Gastric US: Position and orientation (sagittal vs transverse) of probe a) Saggital midclavicular b) saggital midaxillary c) transverse subxiphoid d) saggital subxiphoid
Sagittal, subxiphoid
138
If group A RhD negative cryo is not available for use in an A RhD positive patient, of the following your next best choice should be a) Group AB Rh+ rhesus b) Group B Rh+ c) Group B Rh d)Group O Rh+ e) Group O Rh-
A) AB 2nd best option for patient with A blood type (as per lifeblood)
139
Button battery >20mm - timeframe to remove a) within 2hrs b) within 4hrs c) within 24hrs
FB BJA 2hrs if in oesophagus, or symptomatic in stomatch
140
Organ procurement after circulatory death is generally stood down if the time from cessation of cardiorespiratory support to circulatory death extends beyond a) 60min b) 90min c) 120min
B) 90 mins as per donate life
141
Breastfeeding pt: advice re: dumping/expressing a) express (to discard) then feed b) feed straight away c) delay 6hrs
Feed straight away
142
Brain death testing - what is NOT in the criterion? a) corneal reflex b) oculocephalic reflex c) must warm to >35 degrees degrees d) 2hrs GCS 3 + other criterion
d) 2 hrs GCS 3 + other criterion Why Brain death testing (ANZCA / Australian & NZ practice) requires: Prerequisites Established, irreversible cause of coma Deep coma (GCS 3) Normothermia (≥35 °C) ✔️ No confounding factors (sedatives, paralysis, metabolic disturbance) Clinical brainstem testing Absent corneal reflex ✔️ Absent oculocephalic reflex (or oculovestibular/caloric testing) ✔️ Absent pupillary light reflex Absent gag and cough Absent motor response to pain Apnoea test confirming absent respiratory drive Process Two examinations by appropriately qualified clinicians https://anzics.org/wp-content/uploads/2022/04/Table-1.2.pdf: There is a minimum 4-hour observation period prior to neurological determination of death using clinical examination alone. Throughout this observation period, all preconditions are met, the patient has a Glasgow Coma Scale of 3, with pupils nonreactive to light, absent cough/tracheal reflex and apparent apnoea on a ventilator. Following an acute hypoxic-ischaemic encephalopathy or hypothermia (<35°C) of duration greater than 6 hours, there should be a waiting period of 24 hours before determination of death using clinical examination alone.
143
ECG - (may have been complete heart block or 2nd degree AV block type 2; was a regular atrial rate) and asking for the atrial rate a) 60bpm b) 80bpm c) 100bpm d) 120bpm
144
How often do you have to monitor BSL's for a diabetic post-operatively in PACU a) 30 mins b) 1 hourly c) 2 hourly d 4 hourly
b) 1 hourly
145
A patient has a lung ultraosund which shows A lines and lung sliding. Which of the following is most likely a) PTX b) Pleural effusion c) Normal lung d) Pneumonia
D) normal lung
146
What is the observed common associated metabolic abnormality with hypercholermia? a) High-anion gap metabolic acidosis b) Normal-anion gap metabolic alkalosis c) High-anion gap metabolic acidosis d) Normal anion gap metabolic acidosis
d) NAGMA
147
Which of the following is an independent risk factor for increased PPH? a) Platelets 70 b) PT > 1.2 c) fibrinogen <2
Fibrinogen <2g/L
148
During a thyroidectomy, the surgeon is concerned the parathyroid glands have been devascularised. From the time of potenial damage, a serum calcium level should be checked in: a) 6 hours b) 12 hours c) 24 hours d) 36 hours
24hrs