21.1 Flashcards

(141 cards)

1
Q

21.1 The optimal position, under ultrasound guidance, to place a catheter tip to provide continuous erector
spinae plane block for post-thoracotomy analgesia is

a. Between the fascial plane of erector spinae and rhomboids
b. Posterior to both erector spinae and spinous process
c. Anterior to erector spinae and posterior to transverse process 5th rib
d. Superficial to the infraspinatus fossa
e .Superficial to the lamina

A

c. Anterior to erector spinae and posterior to transverse process 5th rib

Place anterior to transverse process and posterior to erector spine

Midpoint between T5-6
(Usual Incision T4-5, ICC T6)

Source - Blue book 2019

How well did you know this?
1
Not at all
2
3
4
5
Perfectly
2
Q

21.1 A structure that is NOT clamped during a Pringle manoeuvre is the

a. Hepatic artery
b. hepatic vein
c. Portal vein
d. Bile duct
e. Hepato-duodenal ligament

A

b. hepatic vein

Pringle Manoeuvre = clamping hepatoduodenal ligament (clamps hepatic artery, portal vein, CBD)

How well did you know this?
1
Not at all
2
3
4
5
Perfectly
3
Q

21.1 The muscle or muscle group with the greatest sensitivity to the action of non-depolarising neuromuscular blocking agents is/are the

a. Abdominal muscles
b. Adductor pollicis
c. Pharyngeal muscles
d. Diaphragm

A

“c) pharyngeal muscles

onset and offset of block is faster in central muscles with good blood supply (eg. diaphgram and larynx)
slower onset/offset in peripheral muscle groups (adductor pollicis0
airway/pharynx - quick onset but slow recovery (due to ^sensitivity)

Neuromuscular monitoring:
visual/tactile evaulation of degree of block is unreliable
- unable to detect fade when TOF is>0.4
- unable to detect difference in DBS >0.6

https://academic.oup.com/bjaed/article/6/1/7/347026 “

How well did you know this?
1
Not at all
2
3
4
5
Perfectly
4
Q

21.1 The most common cause of mortality in children with diabetic ketoacidosis is

a. Cerebral oedema
b. Septic shock
c. Central pontine myelinolysis

A

“c- Cerebral edema

DKA is leading cause of morbidity and mortality in children with diabetes. Paediatric mortality mainly due to development of cerebral odema (60-90% of deaths)

initially intracellular shrinkage due to high osmolality in plama from hyperglycaemia – after treatment with insulin and fluid –> fluid shift back into cell –> cerebral oedema

https://www.bjaed.org/article/S1743-1816(17)30291-3/pdf

Low to high: fries
High to low: explode

How well did you know this?
1
Not at all
2
3
4
5
Perfectly
5
Q

21.1 The intubating dose of atracurium in a patient with post-polio syndrome should be

a. 10 %
b. 20
c. 50
d. 100
e. 200

A

“c) reduce by 50%

Polio –> widespread neural change - not just destruction of spinal cord anterior horn (motor cells) and changes gets worse as patient ages.
Implications for anaesthesia:
- VERY sensitive to sedatives - emergence can be prolonged (probably due to central neuronal changes at RAS)
- nNMB - greater degree of block for LONGER duration - start with 50% usual dose.
- sux - often causes severe generalised muscle pain post op - AVOID if possible
- post op pain common - wind up from original disease affecting pain pathways - multimodal analgesia
– ANS dysfunctional - IAL
- respiratory muscles affected - spiro pre-op. ^risk of post op ventilation if VC<1L or OSA, may be permanent venitlation post-op
- bulbar sx due to muscle weakness
– many patients have 1 paralysed cord - ENT FNE prior
- positioning, osteopenia, ^risk peripherla nerve damage

https://post-polio.org/education/summary-of-anesthesia-issues/ “

How well did you know this?
1
Not at all
2
3
4
5
Perfectly
6
Q

21.1 In the morbidly obese the induction dose of propofol should be calculated based on

a. Lean body weight
b. Total body weight
c. Ideal body weight
d. Ideal body weight + 70%

A

Lean Body Weight

For infusion: Adjusted body weight
NDMB: Lean Body weight
Sux: Total body weight

Source: SOBA UK

How well did you know this?
1
Not at all
2
3
4
5
Perfectly
7
Q

21.1 All of the following conditions are associated with acromegaly EXCEPT

a. Myocardial fibrosis
b. biventricular enlargement
c. Arrhythmia
d. Left ventricular enlargement
e. AAA

A

“a) AAA

acromegaly - excess GH
Airway - ^difficult of intubation due to macgnathia, macroglossia and expansion of upper airway soft tisssues
Resp - ^OSA, kyphoscoliosis, proximal myopathy
CVS - refractory HTN, LV hypertrophy, IHD, arrythmia, heart block, cardiomyopathy (^deposition of tissue –>fribrosis), bi-ventricular dysfunction
CNS - ^ soft tissue –> ^ nerve entrapment syndromes
Metabolic - *diabetes and other endocrine

https://academic.oup.com/bjaed/article/11/4/133/266875#3195851”e.

How well did you know this?
1
Not at all
2
3
4
5
Perfectly
8
Q

21.1 The composition of blood returned to the patient from intraoperative cell salvage shows

A. No evidence of haemolysis
B. Normal 2,3 DPG
C. Nil evidence of bone cement or some embolism type
D. Normal levels of coagulation factors

A

B. Normal 2,3 DPG

higher Hct-60%
No immunimodulation
require reinfusion within 6hrs
pause with sement, caution metal fragments

How well did you know this?
1
Not at all
2
3
4
5
Perfectly
9
Q

21.1 When performing a brachial plexus block at the level of the axilla, the structure indicated by the arrow
is the (ultrasound image shown)

a. Musculocutaneous nerve
b. Median
c. Radial
d. Ulnar

A

Ultrasound view of right axillary brachial plexus AA = axillary artery AV = axillary vein McN = musculocutaneous nerve RN = radial nerve UN = ulnar nerve MN = median nerve CoBM = coracobrachialis muscle CT = conjoint tendon

How well did you know this?
1
Not at all
2
3
4
5
Perfectly
10
Q

21.1 Severe obstructive sleep apnoea in a 6-year-old child is confirmed if during polysomnography the
apnoea/hypopnea index (AHI) is greater than or equal to

A >5
B >10
C >15
D >20
E >30

A

> 10

How well did you know this?
1
Not at all
2
3
4
5
Perfectly
11
Q

21.1 Predictors of successful awake extubation after volatile anaesthesia in infants include

a. 2mL/kg tidal volume,
b. grimacing
c. coughing
d. RR > 20

A

b. grimacing

8 features found to be associated with successful awake extubation in children:
eye opening, facial grimace, conjugate gaze, purposeful movement, movement other than coughing, end tidal <0.2% for sevo, Vt>5ml/kg, SpO2 >97%, positive laryngeal stimulation test

https://www.bjaed.org/article/S2058-5349(21)00133-5/fulltext#:~:text=Eight%20features%20have%20been%20found,for%20desflurane)%2C%20Spo2 “””

How well did you know this?
1
Not at all
2
3
4
5
Perfectly
12
Q

21.1 Major international guidelines recommend maintaining the core body temperature between 32°C and
36°C in comatose patients after

A. SAH
B. Stroke
C. Cardiac Arrest

A

“c) cardiac arrest

ANZCOR give specific targets for SpO2 (94-98%), Hyperglycaemia (treat>10mmol/L), TTM (32-36oC). They say HD goals are important BUT DO NOT SPECIFY A TARGET.

How well did you know this?
1
Not at all
2
3
4
5
Perfectly
13
Q

21.1 A man presents with a fractured tibia. He has increasing pain in his leg, loss of sensation on the plantar surface of his foot and weakness of toe flexion. This is most consistent with a compartment syndrome of the leg in the

A. Anterior
B. Lateral
C. Superficial Posterior
D. Deep posterior

A

“b) deep posterior compartment

Anterior: - deep fibular nerve - foot dorsiflexion and toe extension, sensation between big and second toe

Lateral: superficial fibular nerve - foot eversion and sensation over lateraland dorsum of lower leg/foot

Deep posterior - tibial nerve - (becomes post.tibial nerve once it passes below the upper level of fibrous arch of soleus muscle) - foot plantar flexion and inversion and toe flexion. Tibial nerve also branches off sural nerve - sensory over lateral foot and malleous

Superficial posterior - no nerves”Deep Posterior Compartment

Source: UpToDate

How well did you know this?
1
Not at all
2
3
4
5
Perfectly
14
Q

21.1 The coagulopathy that can result from intrahepatic cholestasis of pregnancy is due to

a. Platelet dysfunction
b. All clotting factors made by the liver
c. Thrombocytopenia
d. 2/7/9/10
e. Fibrinolysis

A

d. 2/7/9/10

Hypovitaminosis of Vitamin K

(Bile required for absorption)

Source: BMC Article
https://bmcpregnancychildbirth.biomedcentral.com/articles/10.1186/s12884-022-04875-w

How well did you know this?
1
Not at all
2
3
4
5
Perfectly
15
Q

21.1 The best patient position to evaluate the gastric contents with ultrasound is

a. Right lateral
b. Trendelburg
c. Supine
d. Left lateral
e. Reverse trendelenberg

A

Right lateral Decubitus

BJA: ultrasound

How well did you know this?
1
Not at all
2
3
4
5
Perfectly
16
Q

21.1 A 50-year-old man is seen prior to his hip revision surgery. His blood results are (FBE and Iron
Studies shown). The most likely diagnosis is

Hb 110 (130-170 normal range)
Ferritin 31 (30-100 range)
Transferrin saturation 21% (normal 20-80)
CRP 10 (0.1-10 normal)

A

Anaemia of chronic inflamation with iron deficiciency

How well did you know this?
1
Not at all
2
3
4
5
Perfectly
17
Q

21.1 Of the following, allergy based on cross reaction to penicillin sensitivity is most likely with

A) Cephazolin
B) ceftriaxone
C) cefapime
D) cefaclor
E) cefoxatin

A

“a) cefaclor

10% reports penicillin allergy, <1% truly allergic
1-2% of confirmed penicillin allergy is allergic to cephalosporin

cross-reactivity can be due to b-lactam ring, R1 side chain / thiazolidine ring in penicillin or R1/R2 /dihyrothiaxine ring in cepalosporins.
- highest risk is with R1 side chain
- same shared R1 - ampicillin, amoxicillin, cefalexin, cefaclor
- cefazolin - no shared side chains with penicillin or cephalosporins (but if reaction to the rings, may stil happen

https://www.nps.org.au/assets/p192-Devchand-Trubiano.pdf

How well did you know this?
1
Not at all
2
3
4
5
Perfectly
18
Q

21.1 In maternal cardiac arrest the most common arrhythmia is

a) PEA
b) VT
c) VF
d) Asystole
e) SVT

A

“d) PEA

PEA 50.8%
asystole 25.6%
shocable 11.7% (VF 6.5%, pulseless VT5.2%)
unknown 11.9%”a)

How well did you know this?
1
Not at all
2
3
4
5
Perfectly
19
Q

21.1 You are performing a regional block for analgesia following knee surgery. You have an ultrasound
probe scanning the anterior mid-thigh. The muscle indicated by the arrow in the ultrasound image
below is the

A
How well did you know this?
1
Not at all
2
3
4
5
Perfectly
20
Q

21.1 The recommended antibiotic prophylaxis for insertion of an intrauterine device is

a. cephalexin PO
b. cefazolin IV
c. doxycycline PO
d. none

A

d. none

Increase in presence of mycobacterium vaginosis, doxycylcine will kill commensal bacteria

Doxycycline is used for copper IUD in the setting of emergency insertion with PID

How well did you know this?
1
Not at all
2
3
4
5
Perfectly
21
Q

21.1 The independent predictors for severe bone cement implantation syndrome (BCIS) in cemented
hemiarthroplasty for hip fracture do NOT include

a. Male
b. GA
c. severe cardiopulmonary disease
d. Diuretic use
e. Age

A

“b) GA

BCIS incidence ~20%, severe reaction–>CVS collapse 0.5-1.7%
3 features - hypoxia, hypotension/arrythmia, LOC
- time limited phenomena - usually PAP normalises within 24hrs
- thought to be shower of emboli clogging up the pulmonary vasculature

Grade 1 (moderate) - SpO2<94%, >/=20% drop in BP, no change in LOC
Grade 2 (sever) - SpO2<88%, >/=40% drop in BP, unexpected LOC
Grade 3 - cardiovascular collapse requiring CPR
– should be treated as RV failure
Pt riskfactors:
- increasing age
- male
- significant cardiopulmonary disease
- diuretics.warfarin
- ASA iii / IV

Surgical risk factors:
- cemented hemiarthroplasty highest risk
- previously un-instrumented femur - more ptential for emoblic material

https://resources.wfsahq.org/wp-content/uploads/351_english.pdf”

How well did you know this?
1
Not at all
2
3
4
5
Perfectly
22
Q

21.1 The 12 lead ECG shown is most consistent with acute total occlusion of the?
(widespread ST depression, seen in leads I, II and V5-6/ ST elevation in V1 and 2)

A. Posterior descending
B. RCA
C. LAD
D. OM

A

LAD

LAD LESIONS (STE):
V1-2 - septal MI
V3-4 anterior MI
V5-6, I, avL - lateral MI

II, III, aVF, I, aVL, V5-6 +/- V4R - inferior lateral MI - LAD+LCx occlusion in left dominant ciruclation

RCA LESIONS (STE)
II, III, aVF - inferior MI (reciprocal STD in avL) - RCA lesion distal to RV (58% of MI)

II, III, aVF, V1 and V4R - inferior and RV MI (RCA lesion proximal to LV) (40% of Inferior MI)

II, III, aVF, V7-9 - inferior posterior MI (STD V1-2) (RCA + LCx occlusion

IF V1-V2 STD - need to do posterior ECG to exclude POSTERIOR MI - V7-9 STE (RCA and LCx occlusioN)

https://litfl.com/wp-content/uploads/2018/10/ECG-Anatomy-LITFL.jpg

How well did you know this?
1
Not at all
2
3
4
5
Perfectly
23
Q
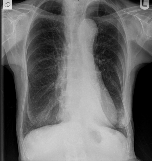
  1. A 45 Year old man has poor oxygenation in the post anaesthesia care unit after a low anterior resection. His chest xray is below. The most likely diagnosis is

a. LLL collapse
b. Pneumothorax
c. L pleural effusion

A

The lungs are hyperinflated with relatively flat diaphragms - a sign of pulmonary emphysema. There is a dense triangular opacity overlying the cardiac shadow with increased lucency of the left upper zone relative to the right upper zone. This is the “sail sign” of left lower lobe collapse with subsequent left upper lobe hyper-expansion.

How well did you know this?
1
Not at all
2
3
4
5
Perfectly
24
Q

According to National Audit Project (NAP) 5, the incidence of awareness during general anaesthesia using a non relaxant technique with a volatile agent is
a. 1:700
b. 1:8000
c. 1:10000
d. 1:19000
e. 1:136,000

A

e. 1:136,000

1/670 E-LSCS
1/8000 with muscle relaxation
1/8600 CTS
Overall 1:19000

How well did you know this?
1
Not at all
2
3
4
5
Perfectly
25
21.1 The drug which has the LEAST impact on somatosensory evoked potentials (SSEPs) monitored in a 15-year-old patient undergoing scoliosis surgery is A) propofol B) fentanyl C) desflurane D) Midazolam E) sevoflurane
"b - fentanyl ^SSEP amplitude - ketamine, low dose etomidate decrease SSEP - volatiles > N2O, barbituates > propofol Minimal change - opioids, low dose benzo, dexmedetomidine, lidocaine No affect - muscle relxant https://www.uptodate.com/contents/neuromonitoring-in-surgery-and-anesthesia#H3106240"""B) fentanyl Drugs which have the least impact on SSEPs 1. Ketamine 2. Opioids 3. Dexmedetomidine Article in Anaesthesiology https://pubs.asahq.org/anesthesiology/article/99/3/716/40407/Pharmacologic-and-Physiologic-Influences-Affecting
26
21.1 Toxicity of methylene blue is likely to be seen after single bolus dose (in mg/kg) greater than a. 1mg/kg b. 2mg/kg c. 5mg/kg d. 0.5mg/kg e. 0.1mg/kg
c. 5mg/kg Methylene blue due to its monoamine oxidase(MAO) inhibiting property may precipitate potentially fatal serotonin toxicity at doses >5mg/kg.
27
21.1 A woman is having a potentially curative primary breast cancer resection. Compared with a sevoflurane and opioid technique, using a regional anaesthesia-analgesia technique with paravertebral block and a propofol infusion will result in a. Decreased cancer recurrence b. Decreased chronic pain and recurrence c. Decreased incision pain at 6 months d. Decreased neuropathic pain at 6 months e. Decreased neuropathic pain at 12 months
e. Decreased neuropathic pain at 12 months ANZCA pain book
28
21.1 A normal 75 kg term parturient may be expected to have a total blood volume of a. 5250 b. 6000 c. 6750 d. 7500
d. 7500 7.5L (Average increase around 48%) pregant = 100ml/kg , neonate 90ml/kg, adult 70ml/kg , paeds 80ml/kg """
29
21.1 A patient undergoing robotic prostatectomy with controlled mandatory volume ventilation has the following measurements: plateau pressure 32 cmH2O, PEEP 8 cmH2O, autoPEEP 4 cmH2O, peak pressure 38 cmH2O, tidal volume 600mL The static compliance is 20 ml/cmH20 23 ml/cmH2O 25 ml/cmH20 30 ml/cm H20
30ml/cm H2O The answer is 30ml/cmH20 because total PEEP is 8+4=12 Static lung compliance (Cstat), mL/cm H2O = TV / (Plateau pressure (Pplat) – PEEP)
30
21.1 A 30-year-old professional athlete who underwent a knee arthroscopy under general anaesthesia becomes tachycardic in the recovery room. His non-invasive systolic blood pressure is 90 mmHg. A 12-lead ECG is obtained. The most appropriate therapy is a. Adenosine 6mg (or 60mg remembered by other cohort) b. valsalva c. 50J d. 200J
d) modified valsalva HD stable: narrow QRS - likely SVT – vagal manouvres, adenosine 6 , 12, 12 Unstable.- HR>150, sBP <90 (in conscious and lower in anaesthetised pt) - synchrnised DCCV 1J/kg and can be increased to 2J/kg "conscious VT or something stupid....
31
21.1 A patient requiring an elective joint replacement has had a recent stroke. The minimum time to wait after the stroke before proceeding with surgery is a. 3 b. 6 c. 9 d. 12 months
"3 mths AHA Guidelines. ""we suggest that elective noncardiac surgery be deferred at least 6 months after a prior stroke, and possibly as long as 9 months to reduce the risk of perioperative stroke in patients undergoing noncardiac surgery. Alternatively, patients who stand to gain significant improvements in quality of life with elective surgery may consider waiting only 6 months after a prior stroke."" https://www.ahajournals.org/doi/10.1161/CIR.0000000000000968 https://www.bjaed.org/article/S2058-5349(20)30123-2/fulltext"
32
21.1 The direct physiological effects of electroconvulsive therapy include a) reduced contractility b) initial htn c) initial bradycardia d) initial tachycardia e) reduced ICP
c) initial bradycardia PSNS during seizure 10-15sec - brady/hypotension followed by SNS (5mins) - tachycardia/ hypertension/ dysrhythmia, ^myocardial oxygen requirement seziure --> ^ICP and ^CMRO2 --> ^CBF Other - hypersalivation, ^gastric pressure, ^IOP, incontinence absolute CI - recent MI or CVA, phaeochromocytoma, intracranial mass lesion, intracranial or aortic aneurysm Oxford handbook pg 273-274"
33
21.1 A man is brought into hospital after a motor vehicle accident 45 minutes ago. His chest x-ray is shown. This is most consistent with a left-sided
?? XR Reviews
34
21.1 A common electrolyte disturbance following the administration of ferric carboxymaltose is a. hypophosphatemia b. hypocalicaemia c. hypokalaemia d. hypercalicaemia e. hypernatraemia
"a) hypophosphataemia - due to renal wasting of phosphate - usually transient and asymptomatic "osphataemia
35
21.1 Globe perforation during eye block is more common in myopic eyes because a) Incidence of staphyloma b) Globe is too short c) Higher rate of increased IOP d) Corneal thickness is less
"a) staphyloma BJA - regional anaesthesia for ophthalmic surgery - Myopic eyes with an axial length of > 26mm are at increased risk of perforation with retrobulbar / peripulbar . This risks is increased in by the associated likelyhood of staphylomas (sclera outputting), which are typically posterior or inferior"
36
21.1 A five-year-old child weighing 25 kg is to be strictly nil by mouth overnight following a laparotomy. The most appropriate fluid prescription is a. 65ml/hr N Saline b. 45ml/hr N saline w 5% dex c. 45ml/hr N Saline w 2.5% dex d. 65ml/hr .45% saline w 2.5% dex e. 65ml/hr .45% saline w 5% dex
b. 45ml/hr N saline w 5% dextrose A guide to paediatric anaesthesia fluid management -421 rule overestimates fluid resus -due to stress response from ADH release -post-op fluid maintenace is 2/3rds calculated -never use hypotonic solution -unlikely to need glucose as not a neonate
37
21.1 A four-year-old boy with a history of waddling gait, larger than normal calves and frequent falls receives a spontaneously breathing volatile-based anaesthetic with sevoflurane. One hour into the case he develops peaked T waves and then the end-tidal CO2 begins to rise. The most appropriate immediate treatment is to a. Temp probe, and go from there b. Cool + dantrolene c. Stop volatile, cool + dantrolene d. Stop volatile, calcium e. Stop volatile
"c.Stop volatile and calcium Duchenne muscular dystrophy -> rhabdomyolysis and hyperkalemia. Calcium for cardiac stabilization The only conditions shown to have a definite linkage with malignant hyperthermia (MH) are King–Denborough syndrome, central core disease, and Evans myopathy.7 Patients with other neuromuscular disorders have shown MH-type symptoms under general anaesthesia, but the link between these symptoms and true MH remains unclear. There is no association between DMD and MH; previously described ‘normothermic MH’ reports were almost certainly rhabdomyolysis https://academic.oup.com/bjaed/article/10/5/143/274799#3357763"
38
21.1 The substance that should be avoided in a patient with history of anaphylaxis to MMR vaccine is a. Protamine b. Gelofusine c. Sulphonamides d. Penicilins
"b) gelofusine (succinylated gelatin) 25% of children suffering anaphylaxis to MMR is due to gelatin gelatin also found in Haemaccel and Gelofusine https://associationofanaesthetists-publications.onlinelibrary.wiley.com/doi/full/10.1111/j.1365-2044.2005.04529.x"
39
21.1 A patient with a history of hereditary angiooedema requires an appendectomy for acute appendicitis. The most effective therapy for the prevention of an acute attack in the perioperative period is a) FFP b) berinert c) Hydrocortisone d) Danazole e) cetirizine
"b) berinert another remembered option had icatibant instead of berinert. ?give FFP in this instance as icatibant wont have time to work Tx of acute flare: – C1 inhibitor concentrate eg Berinert, Cinryze – Recombinant C1 inhbitor (conestat alfa) – bradykinin B2 receptor antagonist (Icatibant – FFP - 2units initially- repeated Q2-4H HAE - causes recurrent episodes of angioedema in the upper respiratory tract , GIT or subcut tissue Due to C1 esterase inhibitor deficiency. Rare autosominal dominat condition 2 types (type1 - reduced, type 2 poorly functional C1 esterase inhibitor) Triggers - infection, stress, menstruation, surgery, dental work, trauma, medicine (COCP and ACEi) or may have no clear trigger Pre-op prevention: 1st line - Danazol 10mg/kg/day for 5-10days before and 2-5days after procedur) (androgen increase C1 esterase inhibitor synthsis) Emergency or high risk procedures - 25u/kg infusion of C1 esterase inhibitor concentrate (Berinert) given 1hr prior to procedure **antihistamines and cortiocsteroids have no role in management of HAE related angiodema. Role of adrenaline not well established https://www.rch.org.au/clinicalguide/guideline_index/C1_Esterase_inhibitor_deficiency/ "
40
21.1 Sensory innervation of the cornea is by the A. ophthalmic division of the Trigeminal nerve B. Nasocilliary Nerve C. Frontal Nerve D. Oculomotor
"a. Nasociliary. It is a branch of the Trigeminal nerve (V1) https://academic.oup.com/bjaed/article/17/7/221/3800526 V1 (Ophtlamic) divides into Fronal, lacrimal, nasocillary Frontal (largest of V1 branches) branches into supraorbita (innervates upper eyelid and contiva and scalPl and supratrochlear (innervavtes upper eyelid, conjunctiva, forehead) Lacrimal (smallest of V1 branches and receive branch from V2 containing parasympathetic fibres) - lacrimal gland, upper eyelid, conjunctiva Nasocillary (4 branches - ant ethmoid, post ethmoid, infratrochlea, long ciliary nerves) - sensatotion to sinuses, nasal cavity, external nose. Long ciliary - sensory innervation to eye (CORNEA, ciliary bodies, iris) sympathetic fibres to dilator pupillae muscle Occulomtor - CN III - innervates all extraoccular muscles EXCEPT - SO4 and LR6 Optic CN II - sight"
41
21.1 Local anaesthetic-induced myotoxicity is most likely to be associated with A. Biers B. Interscalene C. Sciatic D. Adductor Canal
"d - Adductor canal. Opthalmic blocks> Addutor canal. Adductor canal specifically for lower limb blocks Rare complication Myotoxicity after regional anaesthesia defined as: occurance of symptoms related to muscle damage, including muscle paralysis/wekaness, occurence of dipolpia/ptosis/hypertropia and hypotropia after catarcht surgery, enzymatic changes indicateive of muscle damage (such as elevated CK) Myotoxic damage appeared to occur independent of needle size and LA concentration. https://www.bjanaesthesia.org/article/S0007-0912(18)30572-5/pdf"""
42
21.1 The minimum microshock current required to elicit ventricular fibrillation is a) 100microAmp b) 50microAmp c) 100milliAmp d) 50milliAmp
"a) 100microamp Microshock - enters body through internal devices close to heart - 10micramp - unsafe - 100microamp - can induce VF macroshock - current through 2 points of body – 1mA - pain - 10mA - tetany (unsafe) -100mA - VF"
43
21.1 You give a dose of intravenous indocyanine green to facilitate videoangiography during cerebral aneurysm surgery. The displayed pulse oximetry (SpO2) and cerebral oxygen tissue saturation (SctO2) changes you expect to see are a. Increases NIRS , decreases peripheral b. Decreases NIRS, decreases peripheral c. No change NIRS, decreases peripheral d. Increases NIRS and peripheral e. Decreases NIRS, increases peripheral
a. Increases NIRS , decreases peripheral SctO2 up, SpO2 down. Source: Korean Journal Anaesthesia https://www.researchgate.net/publication/274570990_Effects_of_intravenously_administered_indocyanine_green_on_near-infrared_cerebral_oximetry_and_pulse_oximetry_readings
44
21.1 Non-anaesthetist practitioners wishing to provide procedural sedation should have training in sedation and/or anaesthesia for a minimum of 6 weeks 3 months 6 months 12 months
no longer has time frame
45
21.1 Of the following classes of medication for diabetes mellitus, the most likely to cause hypoglycaemia in the fasted patient are the A. Biguanides B. Sulphonylureas C. Acarbose D. SGLT2 inhibitors E. DPP4 inhibitors
"insulin and sulfonylureas (eg. Gliclazide) high risk of hypoglycaemia when fasting (stimulates pancreatic cells to make more insulin) "
46
21.1 A 25-year-old ASA I patient develops ongoing seizures five minutes after receiving a brachial plexus block with ropivacaine. Of the following, the most suitable initial intravenous treatment is a) Midazolam b) Intralipid c) Propofol d) Levetiracetam e) Phenytoin
Control seizures first a) Midazolam if an option or c) propofol or treat seizures 1st followedLAST - ABCD - Intralipid 1.5mL/kg
47
21.1 A 50 year old man has the following pulmonary function test result. The most consistent diagnosis is FEV1 - test result - predicted - % predicted 68% FVC - test result - predicted - % predicted 68% DLCO 46% a) Asthma b) Myasthenia Gravis c) Emphysema d) Sarcoidosis e) Pulmonary Hypertension
"d) DLCO low MG won't affect DLCO Pulmonary HTN won't show restrictive pattern Emphsema/asthma - high DLCO Other causes of ^DLCO: asthma, polycythemia, pulmonary haemorrhage, large lung volumes, high altitude, left to right cardiac shunt, exercise prior to test (^CO) Emphsema, ILD, sarcoid --> decreased DLCO "
48
21.1 The nerve labelled with the arrow in the diagram is the (diagram of a nerve plexus shown)
49
21.1 You have been asked to anaesthetise a patient with a history of severe depression which has been well controlled on moclobemide. The most appropriate medications in combination with propofol are a) sevoflurane, morphine and phenylephrine b) sevoflurane, fentanyl and metaraminol c) sevoflurane, tramadol and phenylephrine d) sevoflurane, oxycodone and ephedrine
"a) sevo, morph, phenyl moclobemide - MAO-Ai - AVOID indirect acting sympathomimetics (ephedrine, metaraminol -->hypertensive crisis) - AVOID serotonin crisis precipitants (including pethidine) MAO-A - involved in breakdown of norad and serotonin MAO-B- involved in breakdown of tyraime and phenyethyamine https://academic.oup.com/bjaed/article/10/6/177/299579 "
50
21.1 Infection control management of patients with carbapenemase-producing Enterobacteriaceae (CPE) infection should include all of the following EXCEPT a) isolation b) contact precautions c) droplet precautions d) screening at risk patients with rectal swab and urine mcs
C) droplet "Standard + contact precuations: Standard - hand hygiene, PPE, effective cleaning of all equipment/enivronment Contact: - single room isolation - PPE - glove + gowns - dedicated equipment to patients – enahnced cleaning + disinfection - x2 / day https://www.safetyandquality.gov.au/sites/default/files/2020-09/cpe_for_clinicians_sept_2020.pdf"
51
21.1 Blocking the sciatic nerve results in loss of function of all of the following EXCEPT "a) Sensation of lateral lower leg b) Sensation of medial lower leg c) Dorsiflexion of ankle d) Plantarflexion of ankle "
b? The sciatic nerve block results in anesthesia of the posterior aspect of the knee, hamstring muscles, and entire lower limb below the knee, both motor and sensory block, with the exception of skin on the medial leg and foot (supplied by the saphenous nerve). The skin of the posterior aspect of the thigh is supplied by the posterior femorocutaneous nerve, which deviates away from in the sciatic nerve proximal to the level of the anterior approach, and is therefore not blocked. NYSORA
52
21.1 21.2 Benztropine ameliorates the side effects of drugs that antagonize a) Dopamine receptor b) Nicotinic Ach receptor c) Muscarinic Ach receptor d) Serotonin e) Noradrenaline
"c) Dopamine 2 antagonist Indicatoins: Parkinson, drug induced EPSE, acute dystonia MOA: antimuscurinic - reduction of relative excess of cholinergic activity that accompanies dopamine deficienc in PD. partially blocks cholinergic activity in basal ganglia and has been shown to increase availability of dopamine by blocking its reuptake and storage in central sites https://www.sciencedirect.com/topics/pharmacology-toxicology-and-pharmaceutical-science/benzatropine#:~:text=Benzatropine%20partially%20blocks%20cholinergic%20activity,of%20Parkinson%27s%20disease%20and%20dystonia."
53
21.1 You are anaesthetising a 35-year-old woman undergoing a laparoscopic appendectomy. She uses a levonorgestrel-releasing intrauterine device (Mirena®) for contraception and you have used sugammadex for reversal of neuromuscular blockade at the end of the procedure. Your postoperative advice to her regarding contraception should state that a. Barrier protection for a week b. Barrier protection until the next period. c. The mirena is sufficient d. OCP for a week e. OCP until next period
a. Barrier protection for a week
54
21.1 You are resuscitating a 60 kg man in cardiac arrest secondary to severe hyperkalaemia. You decide to give intravenous sodium bicarbonate. Australian and New Zealand resuscitation guidelines state the initial dose of 8.4% sodium bicarbonate should be a. 30ml b. 40 ml c. 50 ml d. 60 ml e. 70ml
60 mmol 1mmol/kg 1mmol/kg given over 2-3minutes as guided by ABG 8.4% sodium bicarb 100mmol = 1mmol/ml Routine use not recommended for cardiac arrest Consider if: - hyperkalaemia - tx of documented metabolic acidosis - overdose with TCA - protracted arrest (>15mins) https://www.resus.org.nz/assets/Uploads/ANZCOR-Guideline-11.5-Medications-Aug16.pdf"
55
21.1 Regarding healthcare research, the SQUIRE guidelines describe a) Standards for RCTs b) Standards for meta-analysis c) Standards for observational studies d) Standards for systematic reviews e) Standards of quality improvement
e) Standards of quality improvement Quality Improvement (Standards for QUality Imporvement and Reporting Excellence) Quality improvement - SQUIRE RCT - CONSORT Observational studies - STROBE Systematic review - PRISMA Study protocols - SPIRIT Clinical practice guidelines - AGREE Qualitative research - SRQR Research question - PICO"
56
21.1 A 30-year-old woman is administered an anaesthetic for a laparoscopic cholecystectomy for acute cholecystitis. She is breastfeeding her six-week-old infant. During anaesthesia she receives the following drugs: propofol, fentanyl, sevoflurane, rocuronium, oxycodone, parecoxib, ondansetron, sugammadex and cefuroxime. The best advice regarding breastfeeding after anaesthesia is to a) Discard 12 hours post procedure b) discard 24 hours post procedure c) discard 1st feed d) discard first 2 feeds e) discarding not required
e. Disregard not required "Conitnue to breast feed as per usual. Do not need to express and discard. Monitor infant for signs of respiratory depression and drowsiness especially if multiple doses of opioids/bzd AVOID codeine in breastfeeding https://anaesthetists.org/Home/Resources-publications/Guidelines/Anaesthesia-and-sedation-in-breastfeeding-women-2020"
57
21.1 The most common cause of postoperative visual loss after spinal surgery is a. Central retinal artery occlusion b. Central retinal vein occlusion c. Ischemic optic neuropathy d. Haemorrhage e. corneal abrasion
c. Ischemic optic neuropathy post op ischaemic optic neuropathy - most common cause of POVL after nonocular surgery - ^risk with cardiac, spine, orthopaedic, steep trendelenberg positions - anterior ION - more common with cardiac - posterior ION - more common with prone procedures, steep trendelenberg, cardiac - presents with painless b/l vision loss - risk factors for POVL with spine surgery - male, ^BMI, wilson frame, long duration, ^ blood loss - PION more common however only AION has fundoscopic changes -- AION - fundoscopy - swollen disc - can be uni or bilateral -- AION onset usually immediate after awakening but can also have onset a day or so afterwards - sudden unilateral or bilateral, progressive vision loss Central retinal artery occlusion - most common retinal cause of POVL - usually unilateraly and immediately after awakening from anaesthesia - fundoscopy - ischaemic retina + cherry red spot at macula https://www.uptodate.com/contents/postoperative-visual-loss-after-anesthesia-for-nonocular-surgery#H437018973 """
58
21.1 A baby is brought to the emergency department three days after a term home birth. It has not been feeding well and has had few wet nappies. The child is grey in appearance and femoral pulses are difficult to palpate. You note an enlarged liver and marked tachycardia. Pulse oximetry reveals saturations of 75% despite oxygen being administered. You suspect a duct-dependent circulation. The best initial management is a) 20ml/kg crystalloid b) Prostaglandin E1 (alprostadil) c) Prostacyclin d) NSAID
Prostaglandin RCH say give 10ml/kg bolus rather than 20ml/kg https://www.safercare.vic.gov.au/best-practice-improvement/clinical-guidance/neonatal/cyanosed-neonate-assessment low threshold to give Most frequent side effects include: fever 12 per cent apnoea 12 per cent flushing 10 per cent hypotension tachycardia. Apnoea rarely occurs at 10 ncg/kg/min and is not an indication to decrease the dose if the infant is responding clinically. Ensure adequate respiratory support. The likelihood of apnoea is very high at a dose of 100 ncg/kg/min and most infants on this dose should have ventilatory support.
59
21.1 A patient with a history of restless leg syndrome is experiencing significant agitation in the post-anaesthesia care unit. After excluding other precipitating causes, the best treatment of the agitation in this patient is a. Midazolam b. Olanzepine c. Haloperidol d. Clozapine e. Droperidol
midazolam
60
21.1 During trauma resuscitation in adults, contraindications to blind nasogastric tube insertion include all of the following EXCEPT a) High C-spine injury b) Recent nasal surgery c) Oesophageal fracture d) Base of skull fracture e) oesophageal varices
a) High C-spine injury - at high risk of passive regurgitation and then aspiration due to loss of gag and cough response https://trauma.reach.vic.gov.au/guidelines/spinal-trauma/primary-survey Absolute Contraindications: midface injury, basal skull fracture, recent nasal surgery Relative Contraindications: coagulation abnormality, eosophageal varices or stricture, recent banding of varices, alkaline ingestion https://iem-student.org/nasogastric-tube-placement/"
61
21.1 Cardiovascular effects of hyperthyroidism include a. Decreased PVR b. Increased SVR c. Decreased diastolic relaxation d. Decreased SVR e. Increased diastolic blood pressure
decreased SVR High CO state (+/- failure -- LVEF does not ^ appropriately during exercise suggesting presence of cardiomyopathy) - ^CO state due to ^ peripheral oxygen needs and ^ cardiac contractility - increased HR, contractiliity, sBP (widened pulse pressure), pulmnoary artery pressure, myocardial oxygen https://www.uptodate.com/contents/cardiovascular-effects-of-hyperthyroidism?search=cardiovascular%20effects%20of%20hyperthryod&topicRef=7833&source=see_link in HYPOthryoid - opposite occurs - decreased CO - decreased contractility, HR, diastolic relaxation (so decreased compliance and diastolic filling), peripheral tissue oxygen utilisation - blunted response to catecholamine mediated ^ in inotropy - ^ SVR, ^Qtc"
62
21.1 Effective pharmacotherapy options to support smoking cessation in the perioperative period include all of the following EXCEPT a) bupropion b) clonidine c) nortoptyline d) Varenicicline e) fluoxetine
Fluoxetine All other effective NRT, buproprion, nortriptyline, clonidine, nicotine receptor patial agonists (varenicline -(champix)) Individual counselling, group behaviour therapy, rapid smoking aversive therapy https://www.anzca.edu.au/getattachment/a3591188-1d7d-41cf-807a-b3b2f0226109/PS12BP-Guideline-on-smoking-as-related-to-the-perioperative-period-Background-Paper"
63
21.1 The main advantage of using norepinephrine (noradrenaline) over phenylephrine for the prevention of hypotension as a result of spinal anaesthesia for elective caesarean section is A. Better APGAR B. Better foetal acid/base C. Less nausea/vomiting D. Less maternal bradycardia
less maternal bradycardia b) less maternal bradycardia - nil pt required anticholinergic so clinical significance unclear no difference in N/V norad non inferior to phenyl in terms of acid base profiles and APGAR at 1min and 5mins https://www.bjanaesthesia.org.uk/article/S0007-0912(20)30442-6/fulltext
64
21.1 The atmospheric lifetime of nitrous oxide (in years) is approximately 1yr 10 yr 50 yrs 100years
100 years Desflurane: 10yrs Sevoflurane 1yr
65
21.1 The risk of a perioperative respiratory adverse event in a child is least likely to be increased by a) Experience of anaesthetist b) Intubation c) Asthma d) Passive smoke exposure e) Snoring
A. expereince of anaesthetist assuming they are implying that an experienced anaesthetist is operating (as inexperienced anaesthetists operating increase risk PRAE). APRICOT doesnt mention snoring but BJA does https://www.bjanaesthesia.org/article/S0007-0912(24)00497-5/fulltext
66
21.1 In elderly patients without diabetes mellitus the use of aspirin in primary prevention of disease a. Reduced cardiovascular mortality b. Increased incidence of major bleeding c. Increased cancer related death d. Lower all cause mortality e. Reduced thromboembolic events
increased incidence of major bleeding APREE trial 2018 (NEJM) - low dose aspirin as primary prevention in pts>70 --> ^ risk of major haemorrhage (mostly GI bleed) and DID NOT lower risk of CVS disease compared to placebo. Primary prevention of CVD with aspirin among pts 40-59yo who have a 10% or grater 10yr CVD risk - has a small net benefit. https://jamanetwork.com/journals/jama/fullarticle/2791399"
67
21.1 You are involved in the care of a two-year-old child who has ingested a button battery in the last four hours. You would consider giving a. milk, b. sodium bicarbonate c. Pantoprazole d. sucrulfate
"d) sucralfate or honey - give within 12hrs of ingestion - don't give honey to <12mth old"""sucrulfate or honey
68
21.1 The most likely cause of hip adduction in a patient undergoing transurethral resection of a bladder tumour is a) Neuraxial anaesthesia to T8 b) Inadequate depth of anaesthesia c) Lateral bladder wall resection d) Bladder perforation
c) lateral bladder wall resection obturator nerver - responsible for hip adduction - obturator nerve (L2-4) travels alongside the posterolateral bladdder wall before exiting the pelvis - stimulation of obturator nerve during TURBT --> adductor spasm --> ^risk of bladder perf spinal does not prevent unintended stimulation of obturator nerve - need Neuromuscular blocker or obturator nerve block decreased riks with lower diathermy current https://karger.com/cur/article/12/1/1/103204/Avoiding-the-Obturator-Jerk-during-TURBT"
69
21.1 In critically ill patients undergoing mechanical ventilation, energy dense enteral nutrition (1.5 kcal/mL/kg) compared to routine (1 kcal/mL/kg) enteral feeding provides a) high incidence of VAP b) low AKI c) Lower all cause 90day mortality d) no difference
no difference TARGET trial 2019 energy dense vs routine enteral nutrition in critically ill ventillated Conclusion - no differenc in 90day survival (primary outcome) - ^ GI effects in high caloric group - ^ gastric residual volumes, regugitation, ^use of insulin and prokineitc drugs https://www.thebottomline.org.uk/summaries/target/"
70
21.1 Chronic recreational use of nitrous oxide may lead to a. Anaemia due to decreased EPO b. Anaemia from glutathione deficiency c. Neurological damage due to methionine deficit d. Pulmonary hypertension
neurological damage due to methionine deficit chronic exposure --> deplete B12 stores through oxidation of cobalt --> inactivation of methionine synthase --> decreuased methionine synthesis --> megaloblastic anaemia, peripheral neuropathy, memory loss Potetntially teratogenic (in Rats) Acutely Resp - ^PVR - avoid in pulmonary HTN - expansion of existing air filled spaces - diffusion hypoxia CNS ^CBF --> ^ICP"
71
21.1 Risk factors for chronic postsurgical pain do NOT include a. Smoking b. Pre-existing pain c. High level of anxiety d. Young age e. High level of education
high level of education Risk factors for CPSP Demographic: young adults, low level of education, seeking compensation, smokers Psychological: fear, anxiety, depression Pain related: pre-existing pain, stronger post-op intensity and duration Clincal: greater prior disability Surgery: longer operative time, increased complication rate Blue Book 2019 pg 176 "
72
21.1 A drug which is likely to slow the heart rate in a patient with a heart transplant is a. Adenosine b. Digoxin c. Metaraminol d. Phenylephrine
adenosine Denervated heart. Only drugs that act directly on the heart will be effective. Loss of predominant parasympathetic outflow - so SA node rate now 90-100. Preload dependent - frank starling mechanism. alpha and beta receptors remain intact but attenuated response to catechoamines. Dopamine/isoprenaline - effective Norad/adrenaline,dobutamine - exagerrated effect - depends on intrinsic stores of catehcolamines and degree of reinnervation metaraminol - effective but no reflex brady Pheynlephrine - effective ephedrine - less effective glyco/atropine - not effective No autonomic innervation of the heart -> lack of reflex bradycardia. Adenosine - exaggerated bradycardia - receptors present on heart b-blocker - effective - but caution with use as CO dependent on catechoamines digoxin - usually ineffective due to parasympathetic dennervation ANZCA blue book 2019 pg 69"
73
21.1 The following is an image from a focussed cardiac ultrasound in a patient with dyspnoea presenting for thoracic surgery. The diagnosis is A. RWMA B. Pericardial effusion C. Dilated aorta D. Aortic regurgitation
74
21.1 Once a unit of fresh packed red blood cells has been removed from controlled refrigeration the transfusion should be completed within
4 hours RBC out of temperature controlled storage for <30mins can be returned to blood bank. Once RBC out of tempeature controlled storage for 30mins, transfusion of the unit must be completed within 4hrs and NO LONGER than 4.5hrs. Blood components must be transfused using a set that has a standard filter to remove clots and small clumps of debris. Recommended filter pore size is 170-200micron. https://anzsbt.org.au/wp-content/uploads/2018/06/ANZSBT_Guidelines_Administration_Blood_Products_3rdEd_Jan_2018.pdf"
75
21.1 The abnormality shown in this image is LEAST likely to be caused by an injury to the (image of a patient’s back shown) Supraclavular nerve = sensory only OR suprascpular nerve = also wont cause winging Dorsal scapular nerve = cause Long thoracic nerve = cause Accessory nerve = cause
supraclavicular or suprascap Intrinsic muscles = rotator cuff muscles - supraspinatus, infraspinatus, subscapularis, teres minor Innervated by suprascapula, subscapular and axillary nerves (Branches off C5/C6/C7) Stabilisation scapula and rotational movements - levator sacpuale, trapezius, rhomboid, serratus anterior Innervation - axillary, spinal accessory (inn trapezius), dorsal scapula (inn rhomboid and levator scap), long thoracic (inn. serratus) Damge = winged scapula "
76
21.1 When commencing treatment of proximal deep vein thrombosis or pulmonary embolus, factor Xa inhibitors (apixaban, rivaroxaban) are preferred to dabigatran or warfarin because they do not require a. No need to dose reduce in pregnancy b. No need to dose reduce in renal failure (yes needed) c. No need to bridge (all of them don’t bridge except consider warfarin) d. No need for monitoring e. once daily dosing
c Rivaroxaban or apixaban are generally favoured over dabigatran or warfarin as they do not require a period of parenteral anticoagulation or routine laboratory monitoring. EXCEPT - if active cancer or pregnancy - LMWH - CKD 4 or 5, extreme body weight (/=120) or antiphospholipid syndrome - LMWH followed by warfarin Initial dose rivaroxaban 15mg BD for 21 days. Maintenaince 20mg OD for up to 6mths Apixaban 10mg BD for 7 days. Maintenaince 5mg BD for up to 6mths Rivaroxaban contraindicated if CrCl <30ml/min and Apixaban CI if CrCl<25ml/min Dabigatran - not on PBS. Also needs parenteral anticoagulant (eg clexane) for the first 5 days before starting dabigatran. Surgically provoked or distal DVT: (low risk recurrence at 12mths) Proximal DVT or PE - at least 3mths anticoag Distal DVT (ie. distal to popliteal vein) - 6weeks to 3mths. If high risk bleeding - surveillance uss x 2 over 2 weeks to monitor extension. If extension - anticoagulate Non surgically provoked (ie travel or COCP) or unprovoked - intermediate risk for recurrence - onggoing low dose apixaban (2.5mg BD) or rivaroxaban (10mg OD) commonly used https://australianprescriber.tg.org.au/articles/venous-thromboembolism-current-management.html"
77
21.1 A neonate born by emergency caesarean section is limp, pale, has a weak grimace and weak cry, and a heart rate of 60 beats per minute. The Apgar Score is A. 3 B. 4 C. 5 D. 6 E. 7
3 Appearance - pink > peripherial cyanosis > cyanotic Pulse - 100-140 > (<100) > 0 Grimace - cry > grimace > no response Activity - well flexed > some flexion > limp Respiration - strong cry > irregular breathing > apnoea "
78
21.1 Of the following, the LEAST likely cause of high anion gap metabolic acidosis is a) lactic acidosis b) renal failure c) tuberculosis on isoniazid d) renal tubular acidosis e) salicylate overdose
renal tubular acidosis-> NAGMA
79
21.1 A patient presents with a serum sodium of 110 mmol/L. A feature NOT consistent with a diagnosis of syndrome of inappropriate antiduretic hormone (SIADH) is a. Urine osmolality <100 b. Euvolemia c. Increased cortisol d. urinary sodium >40
"a. Urine osmol <100 High ADH -> Highly concentrated urine. Cortisol Suppressed ADH release - likely to be low but not necessarily BJA education: Criteria for diagnosing SIADH include: clinical euvolaemia, serum osmolality <275 mOsm/kg urine osmolality >100 mOsm/kg urinary Na >30 mmol/litre normal thyroid/adrenal function, no use of diuretics within a week of testing"
80
21.1 A patient with C6 tetraplegia is undergoing removal of bladder stones under general anaesthesia. The blood pressure rises to 166/88 mmHg. The appropriate response is to a. Clonidine b. Hydralazine c. Decompress the bladder d. Fentanyl e. Deepen your anaesthetic
"a) empty bladder - suspect autonomic dysreflexia Treatment 1. Declare emergency and make surgical team aware of issues * Sit patient up if possible to reduce pressure to the head 2. Remove stimulus * Stop surgical insult * Check catheter is draining unblocked * May be able to check for constipation but less likely to be possible while on operating table mid surgery * Remove tight clothing 3. Drugs * Vasodilators ○ GTN bolus and subsequent infusion ○ Hydralazine ○ Mg, phentolamine, clonidine * Be careful with betablockers as may cause heart failure due to very high SVR and addition of betablocker may cause loss of contractility * Analgesia (opioids etc.) to reduce afferent nociceptive stimulation * Treat any arrythmias that may occur 4. Prevention of this by spinal anaesthesia * This can be done pre-op and prevents transmission of afferents which cannot then go on to cause ↑SNS outflow Not a treatment as such, more preventative in patients who are high risk"
81
21.1 A 26-year-old man is brought into the Emergency Department four hours after an accidental chemical exposure during crop spraying. His clinical signs include bradycardia, vomiting, diarrhoea, coughing, miosis and weakness. A drug which is NOT recommended during his resuscitation and treatment is a. Pralidoxime b. Glycopyrrolate c. Benzodiazepine d. Suxamethonium e. Rocuronium
"c. Sux - degraded by plasma cholineserase -- may result in prolonged paralysis Likely organophosphate poisoning. Covalent bonding with inactvation of acetylcholinesterase - cholinergic crisis - Long duration of effect + worsening side effects SLUDGE BBB - salivation, lacrimation, urination, diarrhoea, gastric emesis, bronchorroea, bronchospasm, bradycardia Nicotinic effects --> muscle fasiculations, weakness, parlysis --? similar to depolarising effects of sux Tx - atropine (20mcg/kg boluses) + pralidoxime (30mg IV than 8mg/kg/hr) (treats nicotinic effects) BZD for seizures activated charcoal if within 2hrs https://litfl.com/organophosphate-poisoning/"
82
21.1 A 30-year-old previously healthy woman is four days post-caesarean section. You are asked to see her to manage her abdominal pain. Over the last two days she has had increasing abdominal pain, increasing abdominal distension, tachycardia and nausea. An abdominal x-ray shows a caecal diameter of 9 cm. After excluding mechanical obstruction, an appropriate management option is a) neostigmine infusion b) morphine PCA c) Naloxone d) Lactulose
"c) neostigmine or fluid Ogilvie syndrome - colonic pseudo-obstruction '3 , 6, 9 ' rule 10% related to O&G cases small bowel >/=3cm, large bowel >/=6cm, caecum >/=9cm caecum >/= 9cm -- ^ risk of perforation tx - first line (if <12cm) - correction of serum electrlytes, fluid resuscitation, avoid/minimize narcotics, avoid anticholinergic, trat infection if present, ambulation, bowel rest, alternating position to promote GI motility, decompression with NG or rectal tube. Avoid osmotic or stimulant laxatives -- can worsen dilation IF not resolved with above - neostigmine is indcated https://www.uptodate.com/contents/approach-to-acute-abdominal-pelvic-pain-in-pregnant-and-postpartum-patients?search=ogilvie&source=search_result&selectedTitle=2~50&usage_type=default&display_rank=2#H39 https://fascrs.org/getattachment/Healthcare-Providers/Education/Clinical-Practice-Guidelines/2021-Colonic-Volvulus-CPG.pdf?lang=en-US"
83
21.1 The following ECG is consistent with
84
21.1 A 40-year-old man suffers a hydrofluoric acid burn to 60% of his total body surface area in an industrial accident. An expected electrolyte disturbance is: a. Hypocalcemia b. Hyponatremia c. Hypophosphatemia d. Hypomagnesemia
"hypocalcaemia hypocalcaemia --> tetany hypomagnaesaemia --> QT prolongation HYPERkalaemia acidosis ALL can lead to life threatening arrythmia HF - F- bind directly with calcium and magnesium and disrupts potassium channels --> cell dysfunction and death Tx - ALS. I+V. Cacium Chloride 10% 20mL repeat every 5mins until calcium >1mmol/L Sodium bicarb 100mmol Mag 10mmol https://litfl.com/hydrofluric-acid/ "
85
21.1 The lung ultrasound finding most consistent with atelectasis is three or more A. B lines B. A lines C. Comet tails D. Z lines E. Lung Pulse
B lines (AKA comet tails) - a lines and z lines both normal - pulse is movement of pleura with cardiac pulsation - also normal A-lines - horizontal lines below the pleura with the same spacing as the distance between the probe and the pleura - indicates air - so it is seen in NORMAL lung and PTX B-lines - (aka comet tails) - artifacts generated by juxtaposition of alveolar air and septal thickening (from fluid or fibrosis) – up to 2 between ribs is normal – 3+ pathological - any disease affecting interstitium - pulmonary oedema (cardiac or ARDS) – B lines occur with interstitial oedema (before alveolar oedema) Atelectasis and consolidation difficult to differentiate on USS – see bronchograms - air bronchograms are white and fluid brochograms are black - atelectasis - no or static air borchograms - large consolidation - appears like liver Z-lines - artifact - looks like b lines but are ill-defined https://www.pocus101.com/lung-ultrasound-made-easy-step-by-step-guide/#Consolidations https://academic.oup.com/bjaed/article/16/2/39/2897763 "
86
21.1 If group A RhD negative fresh frozen plasma is not available for use in an A RhD positive patient, of the following your next best choice should be a. A + b. B+ c. B-. d. O+ e. O-
"a) A group (or AB) - has no plasma antibodies Plasma compatibility - should be combatible with ABO group of recipient to prevent haemolytic reaction. ANY RhD subtype can be given Pt group: A --> compatible with A, AB plasma B --> compatible with B, AB plasma AB --> compatible with AB plasma O --> compatible with all "
87
21.1 Perioperative overheating is most likely to cause worsening of symptoms of a) Duchenne Muscular dystrophy b) Myasthenia gravis c) Multiple sclerosis d) Myotonica dystrophia e) Eaton Lambert syndrome
"c) multiple sclerosis - temperature monitoring important. Pyrexia to be avoided and treated aggressively. - demyelinated axons more sensitvie to heat - hypothermia may dlay recovery from anaesthesia OXFORD handbook pg 248"s NB overheating can precipitate myasthenic crisis also
88
21.1 A transhiatal oesophagectomy is performed via a a) laparotomy + right thoracotomy b) laparotomy + left neck incision c) laparotomy + left neck incision + Right thoractomy d) Laparotomy + left thoractomy
"c) Transhiatal - laparotomy + neck (L) incision Ivor lewis – laparotomy + R thoracotomy McKeown/ tri-incision - laparotomy + R thoracotomy + L cervica Transdiaphgramatic - thoracolaparotomy - incision from thoracotomy site to umbilicus https://academic.oup.com/bjaed/article/17/2/68/2907833l"
89
21.1 A 69-year-old woman has a recent onset of dyspnoea and undergoes a right heart catheterisation, with results displayed below. Her pulmonary capillary wedge pressure is 10 mmHg. The most likely 21.1 diagnosis is a. Mitral stenosis b. Mitral regurg c. Emphysema d. Pulmonary embolus e. Aortic stenosis
"normal PCWP 4-12mmHg. need other values. Likely either COPD or PE acute suggests PE "
90
21.1 The modified Aldrete scoring system uses all of the following EXCEPT a) BP b) Pain score c) Resp rate d) sedation level
"e) pain Aldreate scoring system used for PACU discharge criteria - activity, respiration, circulation, consciousness, colour (O2 sat) (Score >= 9 for discharge A- SpO2 > 92% on RA (2pts) B - deep breath/cough (2pts) C - BP within 20% baseline (2pts) D - conscious and fully alert (2pts) move 4 limbs (2pts) "
91
21.1 A woman with preeclampsia presents with a blood pressure of 150/100 mmHg. An appropriate first line treatment to reduce the blood pressure is a. Labetalol b. Nifedipine c. Magnesium
"1st line - labetolol 2nd line - nifedipine 3rd line - methyldopa NICE guideline if severe sBP>160 - than nifedipine QLD guideline says follow local prefernce/protocol https://www.health.qld.gov.au/__data/assets/pdf_file/0034/139948/g-hdp.pdf?back=%2Fsearch%3Fkeywords%3Dpre%2Beclampsia%2C%2C%2Fcondition%2Fhypertensive-emergency%3Fsearch%3Dpre%2Beclampsia%23view%2F728%2F1410"
92
21.1 The ANZCA Choosing Wisely recommendations advise avoiding all of the following EXCEPT a) Doing an epidural on a patient who is labouring normally with a normal pregnancy and no comorbidities b) Not giving blood transfusion on a healthy 20yo male with Hb > 70g/L, except when severe and symptomatic c) Not giving an anaesthetic to a high risk patient with severe comorbidities without risk stratifying them and taking an anaesthetic history and assessment d) Avoid routinely performing preoperative blood investigations, chest X-ray or spirometry prior to surgery, but instead order in response to patient factors, symptoms and signs, disease, or planned surgery. e) Avoid ordering cardiac stress testing for asymptomatic patients prior to undergoing low to intermediate risk non-cardiac surgery.
doing an epidural on a patient who is labouring with normal pregnancy and no comorbidities 1. Avoid routinely performing preoperative blood investigations, chest X-ray or spirometry prior to surgery, but instead order in response to patient factors, symptoms and signs, disease, or planned surgery. 2. Avoid ordering cardiac stress testing for asymptomatic patients prior to undergoing low to intermediate risk non-cardiac surgery. 3. Avoid administering packed red blood cells (blood transfusion) to a young healthy patient with a haemoglobin of ≥70g/L who does not have on-going blood loss, unless the patient is symptomatic or hemodynamically unstable. 4. Avoid initiating anaesthesia for patients with limited life expectancy, at high risk of death or severely impaired functional recovery, without discussing expected outcomes and goals of care. 5. Avoid initiating anaesthesia for patients with significant co-morbidities without adequate, timely preoperative assessment and postoperative facilities to meet their needs. 6. Avoid routine prescription of SR opioids for acute pain unless demonstrated need, close follow up & cessation plan. https://www.choosingwisely.org.au/recommendations/anzca
93
21.1 A 55-year-old man with no past history of ischaemic heart disease is three days post-total hip replacement surgery. He has an episode of chest pain characteristic of angina which began at rest and lasted thirty minutes before resolving fully. There are no ECG changes. Six hours later there is a troponin rise above the 99th percentile upper reference limit. The diagnosis is a. No diagnosis made b. Unstable angina c. STEMI d. NSTEMI e. MINS
NSTEMI MINS includes myocardial infarction and ischemic myocardial injury that do not fulfill the Universal Definition of Myocardial Infarction (myocardial injury with a rise or fall of cTn above the 99th percentile of the upper reference limit and at least 1 of the following: ischemic symptoms, new ischemic electrocardiographic changes, development of new pathological Q waves on ECG, imaging evidence of myocardial ischemia, or angiographic or autopsy evidence of coronary thrombus). https://www.ahajournals.org/doi/10.1161/CIR.0000000000001024 This history meets the diagnosis of type 1 MI and given there are no ST changes is a NSTEMI. https://www.ahajournals.org/doi/10.1161/CIR.0000000000000617 If the patient had a supply/demand mismatch it would be a type 2 MI and be a type 2 NSTEMI
94
21.1 Consideration for same-day discharge in an ex-premature infant after orchidopexy for undescended testis would be suitable at a minimum postmenstrual age of
"d) 54weeks PMA well children ASA 1 or 2 Term infants >46weeks PMA (so 6 weeks old) Ex Preterm infants >54weeks PMA (they are more at risk of post-op apnoea) When discharged should travel home by car with 2 adults (1 to drive and 1 to watch the child) https://www.anzca.edu.au/getattachment/568bad2d-7517-4eea-9c5d-cb7aa1c60c01/PG29(A)-Guideline-for-the-provision-of-anaesthesia-care-to-children-(PS29)"
95
21.1 The implemention of comprehensive multidisciplinary geriatric assessments in the peri-operative period has been shown to "a) Reduce mortality b) Reduce AKI c) Reduce periop risk of MACE d) Reduce length of stay e) Increase cancellation for surgery "
who bloody knows recent Meta analysis shows that delerium may be reduced https://journals.plos.org/plosone/article?id=10.1371%2Fjournal.pone.0306308#abstract0 recent systematic review with cochrane 2022: no effect on mortality or LOS, might stop unplanned hospital readmission https://www.cochranelibrary.com/cdsr/doi/10.1002/14651858.CD012705.pub2/full from 2021: probably reduces LOS and mortality https://www.bjaed.org/article/S2058-5349(21)00034-2/fulltext cochrane review from 2018: no evidence of mortality benefit, might influence LOS https://www.cochrane.org/evidence/CD006211_comprehensive-geriatric-assessment-older-adults-admitted-hospital
96
21.1 The advantage of the Mapleson E circuit in paediatric anaesthesia is due to its A. Can use low gas flows B. Feel compliance C. Assess tidal volume D. Can rapidly change levels of CPAP E. Low resistance
"Maple E Pros: low resistance, valveless, low dead space, light weight, compact, easy to transport/clean/sterilise Cons: require 2-3MV to prevent rebreathe, no bag – no tactile feedback or ability to ventilate or provide CPAP, difficult to scavenge, inefficient"
97
21.1 A 30-year-old woman, gravida 2, parity 1, undergoes an elective lower segment caesarean section for breech presentation. The international consensus statement on the use of uterotonic agents recommends that the first line uterotonic management is a) 1unit b) 1 unit followed by infusion 2.5-7.5 Units/hr c) 3 units d) 3 units followed by infusion
Bolus 1 IU oxytocin; start oxytocin infusion at 2.5–7.5IU.h1(0.04–0.125 IU.min1) EmLSCS; 3 IU oxytocinover≥30 s; start oxytocininfusion at 7.5–15 IU.h1(0.125–0.25 IU.min1).
98
21.1 An 84-year-old woman with dementia presents for surgery for a breast lump. She lives in a care facility and is accompanied by the nurse manager from the facility and her son. Neither have a written legal authority to act on her behalf. Regarding consent for her surgery "a) Nurse manager can consent on her behalf b) Son can consent on her behalf c) Nurse manager and son must be in agreeance to consent on her behalf d) If two doctors are in agreeance, they can consent on her behalf. e) Proceed to surgery as it is in the patient's best interests, if the doctor believes that it would have been the patient’s choice had they been competent to do so. "
"a) son The medical treatment decision maker is the first person in the list below who is reasonably available, and willing and able to make the decision: 1) a medical treatment decision maker appointed by the patient 2) a guardian appointed by VCAT to make decisions about medical treatment 3)the first person in the list below who is in a close and continuing relationship with the patient: - the patient's spouse or domestic partner - the patient's primary carer (not a paid service provider) - an adult child of the patient - a parent of the patient - an adult sibling. If there are two or more relatives who are first on this list, it is the eldest person. https://www.publicadvocate.vic.gov.au/your-rights/your-healthcare/appointing-a-medical-treatment-decision-maker "
99
21.1 The apical four–chamber view of a transthoracic echocardiogram below shows
100
21.1 A man who had successful treatment of a germ cell tumour 10 years ago presents for laparoscopic appendectomy. Your intraoperative management should consider "a) ETCO2 45 b) RR 20 c) MAP 90 d) SpO2 88–92%"
"Bleomycin - oxygen toxicity -lifelone risk of bleomycin induced lung injury from oxygen - aim O2sats 88-92% if hypoxic - pulmonary fibrosis in lower lobes "
101
21.1 A 100 kg 32-year-old male presents two hours after suffering a 30% total body surface area electrical burn. He has had no resuscitation fluids. The infusion rate of isotonic crystalloid resuscitation fluid required for this man for the next six hours is a. 500 ml/hr b. 750 ml/hr c. 1000 ml/hr d. 1200 ml/hr
NSW course - give 4ml/kg for electrical burns "Parkland = 4 x TBSA% x weight = 400 x 30 = 12 000mL 50% in first 8hrs so 6L in 6hrs so 1000mL /hr " https://www.vicburns.org.au/severe-burns/early-management-of-severe-burns/fluid-resuscitation/
102
21.1 Intraoperative lung protective ventilation strategies include all of the following EXCEPT A. Vt 6-8ml/kg B. Patient titrated PEEP C. Recruitment manourve D. I:E ratio 1:3
"d - IE ratios - no evidence Consensus recommendations 2019 : - Vt 6-8ml/kg IBW - PEEP at least 5cmH20 and individualised - 30deg headup if possible - FiO2 lowest possible (aim SpO2 >94%) - alveolar recruitment manouvres beneficial - machine better than bag - minimise PEEP lost between transitioning - lowest effective pressure for shortest effective time Hyperoxia - ^ oxidateive stress, peripheral and coronary vascular vasoconstrictuion, decrease CO, ^ resoption atelectasis, ^postop pulmonary complications, masking effect of O2 therapy --> delayed diagnosis of gas-exchange impairment. https://www.bjanaesthesia.org/article/S0007-0912(19)30647-6/fulltext"
103
21.1 An ECG abnormality which is NOT usually associated with severe anorexia nervosa is a) QT prolongation b) TWI c) ST depression d) prolonged PR interval e) tachycardia
"a - resting tachycarida They are usually bradycardic CVS: hypotension, bradycardia, MV prolapse, impaired myocardial contractility, cardiomyopathy, ^ arrythmia (AV block. ST depression, TWI, QT prolongation) Resp: metabolic alkalosis, decreased lung compliance, aspiration pneumonia, PTX, pneumomediastinum Renal: proteinuria, reduced GFR, hypo - all electrolytes and renal stones GI: dental caries, periodontis, mallory-weiss tears, oesophgeal stricture, gastritis, delayed gastric emptying, risk of refeeding, fatty liver, hepatomegaly, cirrhosis, ^amylase, abnormal LFT, enlarged salivary gland Endocrine: delayed onset puberty, ^ cortisol/ GH, decreased glucose/insulin, impaired thermoregulation Immune: leucopenia, thrombocytopenia, haemolytic anaemia, poor wound healing Haem: bone marrow hypoplasia Neuro: decreased cognitive function, coma EEG abnromalities, seizures, neuropathy, ^pain threshold MSK: myalgia, myopathy, rhabdo, osteopenia, stress fracture https://academic.oup.com/bjaed/article/9/2/61/299563"
104
21.1 Of the following, the lifestyle modification that is least effective in reducing essential hypertension is a. Stopping caffeine b. Low sodium diet c. Low potassium diet d. Exercise
"a) low K diet High K diet, etoh reduction, exercise, low Na diet, smoking cessation https://www.nps.org.au/australian-prescriber/articles/lifestyle-management-of-hypertension:"
105
21.1 A 25-year-old man suffers a 30% total body surface area burn. A cardiovascular physiological change expected within the first 24 hours is a. Decreased PVR b. Increased SVR c. Decreased SVR d. Reduced PA pressure e. Increased hepatic blood flow
"b) increased SVR Early CVS changs (max at 24hrs bost burns) - mimics hypovolamic shock - intravascular volume depletion, ^ SVR (by up to 200%), CO halved, ^ciruclationg vasopression - decreased oxygen delivery, ^ PVR - ^ Hct Late CVS changes (hyperdynamic circulation 2-5days post burn) - driven by catecholamine surge - ^ CO proportional to size of burn (part of hypermetabolic response, most commonly seen in patients with>40% burn) - ^HR, decreased SVR http://khcanaesthesia.com/onewebmedia/peri%20operative%20Mx%20BURNS.pdf "
106
21.1 Hepcidin production is inhibited in response to a. Anaemia b. Inflammation c. Acute leukemia d. Infection e. Excess iron stores
"d) anaemia Hepcidin - peptide hormone produced in liver. degrades transport protein for iron. Hepcidin REDUCES oral absorption of iron and INHIBIT iron release from cellular storage. Decreases when anaemic - want to absorb more iron. Increased in infection and inflammation (hepcidin is an acute phase reactant --> ^ hepcidin --> decreased transport of iron out of cells --> decrease in serum iron), anaemia of chronic disease cancer deficiency in hepcidin production --> iron overload (hereditary haemachromatosis) https://www.ncbi.nlm.nih.gov/books/NBK538257/#:~:text=Hepcidin%20is%20a%20peptide%20hormone,and%20the%20electron%20transport%20chain. "
107
21.1 The function of the bottle labelled 'D' in the diagram below is to protect against the consequences of (diagram of chest drain bottles) a. Suction failure b. Excess positive pressure c. Drain kinking d. Excess negative pressure
bottle A = fluid trap or collection bottle, can be independently emptied and allows accurate record of drainage amount - first tube connecting drain to drainage bottles must be wide to decreased resistance - volume capacity of this tube should exceed ½ of patient’s maximum inspiratory volume (otherwise H2O may enter chest) bottle B = underwater seal drain, maintained at a predetermined level whilst still allowing for drainage of pleural fluid (if bubbling continuously -> bronchopleural fistula) - volume of H2O in bottle B should exceed ½ patient’s maximum inspiratory volume to prevent indrawing of air during inspiration bottle C = manometer or pressure-regulating bottle allows suction to be attached and should bubble continuously - The maximum negative pressure (in cm H2O) generated by suction equals to the distance (in cm) the vent tube is below the water line (this can be adjusted) -The negative pressure generated by the vent tube is independent of the amount of pleural drainage that is collected in the trap bottle - If suction is turned off then tubing must be unplugged -> so air can escape into atmosphere
108
21.1 The domains described in the Edmonton Frail Scale do NOT include a. Cognition b. Mental illness c. Weight d. Age e. Functional assessment
age Domains: 1. Cognition 2. General health status 3. Functional independance 4. social support 5. Medication use 6. Nutrition 7. Mood ?interpreted as mental illness in stem? 8. Continence 9. Functional performance Scoring 0-5= Not frail 6-7= Vulnerable 8-9= Mild Frailty 10-11= Moderate Frailty 12-17= Severe Frailty
109
21.1 Unsupported ventilation in a non-anaesthetised patient with long-standing tetraplegia is improved when
"a) supine, trendelenbergy, increased chest wall rgidity all improve ventilation in tetraplegic assume C3-5 injury --> diaphragm and accessory muscles involved --> expiration is difficult --> head down allows passive excursion https://www.bjaed.org/article/S2058-5349(17)30152-X/fulltext"
110
21.1 21.2 The breast does NOT receive sensory innervation from the a. Long thoracic b. Thoracodorsal c. Anterior intercostals d. Posterior intercostals e. Supraclavicular
b. Thoracodorsal Thoracodorsal nerve (C6-C8) is a branch of the posterior cord of the brachial plexus. Its primary function is motor innervation of the latissimus dorsi muscle. Its blockade is relevant in more extensive breast reconstruction procedures. The Pecs I, Pecs II and Serratus Plane blocks are superficial thoracic wall blocks which through blockade of the 1. Pectoral N. 2. Intercostal N. 3. Thoracodorsal N. 3. Long thoracic N. It can be used to provide analgesia for breast surgery and other procedures/surgery involving the anterior chest wall.
111
21.1 A respiratory effect of high flow nasal oxygen therapy is A. Reduced RR B. Reduced MV C. Increased work of breathing
"a) reduce RR HFNP - reduce RR, increase end expiratory lung volume, PEEP up to 7cmH2) with closed mouth, reduced airway surface dehydration, decrease atelectasis, improve secretion clearance, CO2 washout, reduction in anatomical dead space https://www.bjaed.org/article/S2058-5349(17)30029-X/fulltext"
112
21.1 A condition or therapy that is NOT a contraindication to hyperbaric oxygen therapy is A. Bleomycin B. Cisplatin C. Preterm neonate D. Cerebral Abscess
D. Cerebral Abscess HBOT Indications: - air or gas embolism - arterial insufficiencies (central retinal artery occlusion, enhancement of healing in wound problems) - Carbon monoxide poisoning - Clostridium myonecrosis (gas gangrene) - Compromised grafts and flaps - Acute traumatic ischaemia - Decompression sickness - Delayed radiation injuries - Sudden sensorineural hearing loss - Intracranial abscess - Necrotising soft tissue infections - Refractory osteomyelitis - Severe Anaemia - Thermal burns Absolute Contraindications to HBOT: - untreated PTx - Premature Infants - Bleomycin - Disulfiram (antabuse) - Cisplatin Relative contraindications: - Pregnancy - Asthma - Thoracic Surgery - Emphysema with CO2 retention - upper respiratory tract infections - History of middle ear surgery or disorder - History of seizures - Fevers - Congenital spherocytosis - Optic neuritis
113
21.1 In patients without other co-morbidities, bariatric weight loss surgery is indicated when the body mass index (kg/m2) is greater than
" 35 according to new guideline (ANZMOSS 2022) (MBS is recommended for individuals with BMI >35 kg/m2, regardless of presence, absence, or severity of comorbidities and for patients with type 2 diabetes and BMI>30 kg/m2.) https://anzmoss.com.au/ifso-guidelines/ Diabetes Aus guideline 2011 or BMI >35 with co-morbidities secondary to obesity (ie. Poorly controlled diabetes despite lifestyle and optimal medical therapy) BMI 30-35 - can consider bariatric surgery if uncontrolled hyperglycaemia despite optimal medical therapy https://www.diabetesaustralia.com.au/wp-content/uploads/Position-statement-Bariatric-Surgery.pdf "
114
21.1 The image below shows a normal central venous pressure (CVP) trace on the left. The CVP trace shown on the right is most consistent with a. Tricuspid regurg b. Mitral stenosis c. Mitral regurg d. Pericarditis e. Tamponade
a. Tricuspid regurg Regurgitant CV waves: tricuspid regurgitation In tricuspid regurgitation, the backflow of blood out of the right ventricle obliterates the normal x descent. The c wave becomes accentuated and fuses with the v wave, as both are the results of right ventricular contraction (and the v wave peak pressure is often the same as the right ventricular peak systolic pressure). the reality is that they usually fuse completely to produce huge mutant waves, as seen here: -------------------------------------- "cardiac tamponade - sawtooth W or M pattern with all pressures raised (can't pump out blood so all pressures elevated) - pulsus parodoxus (>10mmHg fall in sBP with inspiration) - tachycardia - low QRS voltage trace - electrical alternans (alternating high and low QRS complexes) - associated with large pericardial effusion to the extent that the pericardial effusion is associated with tamponade https://derangedphysiology.com/main/required-reading/cardiac-arrest-and-resuscitation/Chapter%20221/cardiac-tamponade Other abnormal CVP trace: AF - loss of a waves (a wave = atrial contraction) Retrograde conduction of ventricular deplarisation (VT, junctional rhythm, ventricular pacing)/ Asynchronous atrial activity (reversal of atrial and ventricular pacing wires, complete heart block) - cannon a waves (fusion of a and c waves) - due to atrial contraction ocurring at the same time as ventricular contraction (so atrium contracting against closed TV with force of this contraction being reflected off the valve --> cannon a wave) TR - fused c and v waves - c wave due to tricuspid cusp protruding into RA. with regurg - loss of x decent due to backflow of blood Tricuspid stenosis / PS / Pulmonary HTN or reduced RV compliance (pericardial disease) - prominent a wave (contraction) Pericardial constriction - bifid CVP waveform (steep and aburpt x and y descent), raised CVP. -- different from cardiac tamponade because y-descent usually prolonged https://derangedphysiology.com/main/cicm-primary-exam/required-reading/cardiovascular-system/Chapter%20784/abnormal-central-venous-pressure-waveform-patterns "
115
21.1 Of the following, the device that delivers the greatest flow when using 'Level 1® Fast Flow Fluid Warmer' rapid fluid infuser system is a (list of intravascular catheters) a. 6.5 Fr sheath b. 8.5 Fr Multilumen line c. 8.5 Fr Swan Ganz Sheath d. Multilumen something 14G cannula (50mm?) e. Peripheral RICC line, 8.5 Fr
e. Peripheral RICC line, 8.5 Fr RICC > 14g cannula > MLC > Swan sheath > 14G cannula with large volume extension > 16g cannula > 18g cannula > 14g cannula with bung > central line so if want quick infusion, don't use central line and don't put on bung"
116
21.1 The most reliable clinical indicator of opioid-induced ventilatory impairment (OIVI) is decreased a) resp rate b) conscious state c) BP d) heart rate
b) conscious state No mention of BP or HR in ANZCA OIVI monitoring document In many published reports of patient deaths resulting from OIVI, undue reliance has been placed on respiratory rate as a unidimensional measure of OIVI, either without formal assessment of patient sedation, or without recognising the significance of excessive sedation Respiratory rate and oxygen saturation levels are not direct measures of adequacy of ventilation. Sedation scores should be assessed repeatedly at intervals that are appropriate to the route of opioid administration Continuous measurement of a patient’s carbon dioxide concentrations is more likely to identify OIVI than continuous pulse oximetry
117
21.1 A patient had prolonged surgery with a laryngeal mask airway in situ. The following day he reports a problem with his tongue. You examine him and see the following when he protrudes his tongue (tongue pointing to right) : The most likely cause of the abnormality is a. R hypoglossal nerve injury b. L hypoglossal c. R glossopharyngeal d. L glossopharyngeal
"c) right hypoglossal Deviation to side of LMN lesion as that side has decreased power. Tongue Motor: Vagus (CN10) does palatoglossus; Hypoglossal (CN12) dose all other muscle. Tongue Sensory: Glossopharyngeal (CN9) does taste/sensory posterior 1/3; Lingual (CN5) sensory ant. 2/3; Chordaie tympani (CN7) taste anterior 2/3."
118
21.1 A 10-year-old boy (weight 30 kg) has a displaced distal forearm fracture that requires manipulation and application of plaster. The volume of 0.5% lidocaine (lignocaine) that should be used for intravenous regional anaesthesia (Bier block) is a. 12 ml b. 18ml c. 30 ml d. 42 ml
b. 18ml 3mg/kg max dose as per RCH guidelines 3mg x 30kg = 90mg 90mg/5mg/ml = 18ml or 0.6ml/kg of 0.5% Lignocaine 0.6ml x 30kg = 18ml
119
21.1 Local anaesthetic systemic toxicity does NOT manifest as "a) hypoxaemia b) severe agitation c) sinus bradycardia d) VF e) seizures"
a) hypoxaemia After LA administration, any abnormal cardiovascular or neurological symptoms and signs, including isolated cardiac arrest, should raise suspicion of LAST Presenting features of LAST vary widely. Cardiovascular collapse may occur without preceding neurological changes. Clinical features of LAST: CNS - 2 stage process of excitatory phase followed by a depressive phase - early signs: 1. perioral tingling 2. tinnitus 3. slurred speech 4. lightheadedness 5. tremor 6. change in mental state: confusion and agitation - excitatory phase culminates in generalised convulsions -Depressive phase: 1. Coma 2. Respiratory depression CVS - 3 phases: - initial phase: Htn and tachycardia - intermediate phase: myocardial depression and hypotension - terminal phase: peripheral vasodialtion severe hypotension arrhythmias: 1. sinus bradycardia 2. conduction blocks 3. VT 4. Asystole
120
21.1 A patient has bipolar disorder and is on long term lithium therapy. An analgesic which should be avoided is a. Diclofenac b. Tramadol c. Oxycodone d. Methadone
a. Diclofenac LIthium perioperative concerns: - Prolongation of NMB - Reduction in anaesthetic agent requirement - Avoid NSAIDs - No withdrawl symptoms - Discontinue 24hrs before surgery BJA: perioperative advice for psychotropic drugs
121
21.1 According to the ANZCA 'Guideline on infection control in anaesthesia', skin preparation prior to central neuraxial blockade should be performed using a. 10% Povidine iodine b. 0.5% Chlorhexidine/ETOH c. 5% Chlorhexidine d. 3% chlorhexidine
b. 0.5% Chlorhexidine/ETOH For skin preparation, 0.5 per cent chlorhexidine in alcohol, where available, is recommended for neuraxial techniques although it should be noted that very small quantities of neuraxial chlorhexidine have been implicated in cases of severe neurotoxicity
122
21.1 The following muscles of the larynx are all innervated by the recurrent laryngeal nerve, EXCEPT a) Posterior Cricoarytenoid b) Lateral Cricoarytenoid c) Interarytenoid d) Thyroarytenoid e) Vocalis f) Cricothyroid
f)Cricothyroid Nerve supply of larynx: 1. Superior laryngeal nerve: - Cricothyroid muscle - sensory supply to the interior of larynx down to vocal cords 2. internal laryngeal nerve - 3. Recurrent laryngeal nervs - motor supply to the intrinsic muscles of the larynx apart from cricothyroid - sensory supply to laryngeal mucosa inferior to the cords Intrinsic muscles of the larynx a) Posterior Cricoarytenoid - abducts the cords, opens the glottis - only muscle to open glottis b) Lateral Cricoarytenoid - adducts the cords and closes the glottis c) Interarytenoid - only unpaired muscle - closes the glottis - continues upwards to form the aryepiglottic muscle which acts as a weak sphincter d) Thyroarytenoid - relaxes vocal cords e) Vocalis -adjusts tension in the cords f) Cricothyroid - only intrinsic muscle that lies outside the cartilagenous framework - only tensor of the vocal cords actions of intrinsic laryngeal muscles 1. Abductor of the cords: posterior cricoarytenoids 2. Adductors of the cords: lateral cricoarytenoids, interarytenoids 3. Sphincter to the vestibule: aryepiglottics, thyroepiglotics 4. Tension regulators of the cords: Cricothyroids (tensors), Thyroarytenoids (relaxors), Vocales (fine adjustment)
123
21.1 A patient who usually takes oral morphine 50 mg bd develops a bowel obstruction and experiences withdrawal symptoms. They may be described as having "a) Tolerance b) Physical dependence c) Psychological dependence d) Pseudo-addiction e) Addiction"
"b. physical dependance - Presence of withdrawal symptoms. Tolerance - predictable physiological decrease in effect of drug over time (more drug to achieve same effect Abuse - intentional use of opioid for non medical purose, such as euphoria or altering one's state of consciousness Addiction - pattern of continued use with experience of or demonstrated potential for harm. Pain book page 806"
124
21.1 The risk of major bleeding in patients taking direct oral anticoagulants (DOACs) is NOT significantly increased by commencing administration of a) Atorvastatin b) Amiodarone c) Digoxin d) Diltiazem e) Fluconazole
1st a) atorvastatin 2nd c) Digoxin All of the DOACs are avid substrates for the excretory P-gp system of the gastrointestinal epithelial cells, and drugs that inhibit or induce the P-gp system may affect plasma DOAC levels Dabigatran and edoxaban are substrates for P-glycoprotein (P-gp) Apixaban and rivaroxaban are metabolised by cytochrome P450 enzyme CYP3A4 and are substrates for P-gp There is study evidence that among patients taking DOACs for non-valvular atrial fibrillation, concurrent use of amiodarone, fluconazole, rifampicin, and phenytoin compared with the use of DOACs alone, was associated with increased risk of major bleeding It is unlikely that clinically significant interactions occur between dabigatran and other drugs that are merely substrates for P-gp-mediated excretion. When dabigatran was coadministered with digoxin neither digoxin nor dabigatran plasma levels were significantly altered Rivaroxaban and apixaban are metabolised to an extent of 40–50 % in the liver to variable degrees by CYP3A4 and may interact with drugs that inhibit this enzyme. The metabolism of Apixaban and rivaroxaban can be decreased when combined with Atorvastatin which is also metabolised by CYP3A4
125
21.1 The most common cause of cor pulmonale is "a) PE b) COPD c) Idiopathic pulmonary fibrosis d) Congenital heart disease e) Left sided heart failure"
Chronic obstructive pulmonary disease (COPD) is the most common cause of cor pulmonale leads to an increase in RV afterload secondary to changes in pulmonary vascular structure and mechanics, and lung hyperinflation. Patients with COPD who subsequently develop RV dysfunction have an increased risk of admission to hospital and mortality
126
21.1 The management of a patient who has experienced a cardiac arrest within 10 days of cardiac surgery should NOT routinely include "a) lignocaine b) atropine c) adrenaline d) amiodarone e) re-sternotomy"
b) atropine Priority is to correct reversible caues of arrest followed by immediate chest re-opening if these measures fail - stop sedative infusions if on any - VF coomon 25-50% of cases - bleeding and tampoande also common (non shockable rhythm usually) CALS (cardiac ALS) 1) Ax rhythm 2) Start BLS 3) emergency re-sternotomy (should happen within 5mins to facilitate interncal cardiac massage or defib at 20J) - VF/VT - DC shock - 3 attempts 150J --> amiodarone 300mg --> continue CPR with single DC shock every 2mins until resternotomy - asystole or severe brady - PACE if wires available (DDD 80bpm, max stimulation threshold) --> external pacing if no wires --> CPR until resternotomy - PEA - if paced, turn off pacing to identify underlying rhythm ---> if VF follow VF path otherwise contiue CPR until resternotomy * ATROPINE not recommended ** Adrenaline to be given by senior clinician in small doses (apparently this is going to be someone like us eventually) https://www.bjaed.org/action/showPdf?pii=S2058-5349%2817%2930182-8
127
21.1 A third heart sound at the apex may be heard with a) pulmonary stenosis b) pulmonary hypertension c) pericarditis d) pregnancy
d) pregnancy A third heart sound reflects rapid left ventricular distention along with an increased atrioventricular flow Heard in Congestive heart failure Associated with Dilated Cardiomyopathy with dilated ventricles Less commonly valvular regurgitation and left to right shunts May be normal physiological finding in patients less than 40yrs old
128
21.1 A patient presents for endovascular clot retrieval after experiencing a right hemisensory loss and right homonymous hemianopia. The vessel most likely occluded is the left a) MCA b) ACA c) PCA d) AICA e) PICA
"c) PCA left 70% of stroke in anterior circulation (MCA (90%) > ICA, ACA) PCA stroke - occipital lobe - contralateral homonymous hemianopia , cortical blindness (if bilateral lesions) - medial temporal lobe - deficits in memory, behaviour alteration - thalamic infarct - contralateral sensory loss, aphasia (if dominant side involved), executive dysfunction, memory impairment, decreaed LOC ---- PRESERVED MOTOR ACA stroke - contalateral leg weakness (>arm weakness) and executive dysfunction MCA stroke - contralateral hemiparesis (variable involvement of face/UL/LL) and sensory loss in pattern similar to motor deficit - contralateral homonymous hemianopia - dysarthria - aphasia, aflexia, agraphia, aclaculia, apraxia (if dominant side) - neglet if not dominant side IN SUMMARY - if sensory loss and homonymous hemianopia without motor deficit - PCA https://www.strokenetworkseo.ca/sites/default/files/files/stroke_school_brockville_part_3.pdf"
129
21.1 A 45-year-old man has the following results on his blood biochemistry testing (Liver function tests shown). The most likely diagnosis is a. Cholecystitis b. Metastatic liver disease c. Hepatitis C d. Chronic liver disease e. Paracetamol toxicity
a. Cholecystitis Example and explanation taken from RACGP: The raised AlP relative to Alt suggests cholestasis and the high GGt confirms liver origin. The mild hyperbilirubinaemia confirms the clinical impression of jaundice. Biliary disease is highly likely with gallstones the most likely differential diagnosis. however, this clinical picture may also occur in drug reactions or infiltrative conditions. After a careful history, abdominal ultrasound is the most appropriate next investigation. ------------------------------------------------------------- Not acute hep C - not significant rise, Not Alcoholic Liver disease - AST not >ALT. Paracetamol OD should mainly affect ALT and coags ALP > 3 x ALT suggest cholestasis picture ^ALT and ^AST suggest hepatocellular injury - >10x upper limit suggest acute severe insult - hepatitis or hypoxia - mildly elevate suggest infection, alcohol, fatty liver or medication AST high - S = shit faced cholestatic picture = ^ GGT and ^ ALP Elevated AST: ALT = 1 --> associated with ischaemia (CCF, ischaemic necrosis, hepatitis) AST: ALT >2.5 --> alcoholic hepatitis, AST: ALT <1 --> high rise in ALT specific for hepatocellular damage - paracetamol OD with hepatocellular necrosis, viral hipatitis, ischaemic necrosis, toxic hepatitis ^ALP - primarily associated with cholestasis and malignant hepatic inflitration (marker of rapid bone turnover and extensive bone mets) ^GGT - sensitive to alcohol ingetsion, marker of hepatocellular damage but non-specific, sharpest rise associated with biliary and hepatic obstruction https://litfl.com/liver-function-tests/ https://www.racgp.org.au/getattachment/36d1c5e0-9c1d-43fc-a8a0-b323e3ed8fbe/Liver-function-tests.aspx"
130
21.1 In cardiac surgery, volatile-based anaesthesia compared to total intravenous anaesthesia
"a) no difference VA vs TIVA for cardiac surgery NEJM 2019 - multicentre single blinded RCT - specific for elective CABG https://sci-hub.hkvisa.net/10.1056/NEJMoa1816476"
131
21.1 Suxamethonium may be safely given to patients with a) chronic spinal cord injury b) Hypokalaemic periodic paralysis c) muscular dystrophy d) myasthenia gravis e) multiple sclerosis
d) myasthenia gravis In contrast to other neuromuscular disorders, succinylcholine may be used in myasthenia gravis. The required dose may need to be increased by up to two-fold, as those with the disease show a relative resistance to the drug. Sux is not recommended in patients with neuromuscular disease due to: 1. presence of extrajunctional receptors and risk of hyperkalaemia and rhabodmyolysis 2. fasiculations causing temperomandibular muscle spasm preventing intubation MS - if significant decreased mobility --> hyperK Neuromuscular disease (dystrophies) - increased sensitivity to NDMB. ethonium / volatiles or cholinesterase inhibitors can induce mytonia - can induce MH or anaesthsia induced rhabdomyoliysis --> hyperkalaemia --> cardiac arrest GBS - also contraindicated as can cause hyperK HypoPP - sux / anticholinesterases and K causes severe muscle stiffnesss "
132
21.1 A patient has numbness and weakness in her hand postoperatively. You are trying to distinguish between an ulnar nerve lesion and a C8-T1 radiculopathy. You can diagnose a C8-T1 radiculopathy if she has weakness a) Thumb adduction b) Thumb abduction c) Fingers adduction d) Fingers Abduction e) Little finger flexion or A. Paraethesia of the 5th digit B. Paraesthesia over index finger C. Flexor carpi ulnaris function D. Paraesthesia/sensory loss over medial forearm E. Adductor pollicis function
b) Thumb abduction (flexor pollicis brevis) D. Paraesthesia/sensory loss over medial forearm (medial antebrachial cutaneous) Severing Ulnar nerve alone results in numbness of the 4th (ring) and 5th (little) fingers alone C8 and T1 supply the medial antebrachial cutaneous nerve Muscles weak in C8-T1 radiculopathy but intact in ulnar neuropathy 1. flexor pollicis brevis 2. abductor pollicis brevis 3. opponens pollicis 4. lateral lumbricals AbOF the Law may be useful—the abductor (Ab) and flexor (F) pollicis brevis, opponens pollicis (O), and lateral lumbricals (Law) are “above the law” that intrinsic hand muscles are ulnar-innervated
133
21.1 The recommended cleaning protocol for a laryngoscope handle which has been used but which has no visible soiling is "a) Cleaning only b) Sterilisation only c) Disinfection only d) Cleaning and sterilisation e) Cleaning and disinfection"
PG 28 4.2.2.2 Laryngoscopes Reusable laryngoscope blades are considered semi-critical medical devices owing to their contact with the mucous membranes of the oropharynx and require sterilisation or high-level disinfection between uses. Reusable laryngoscope handles are non-critical devices and should be cleaned then undergo low-level disinfection, as a minimum, following use.
134
21.1 Considering emergency front-of-neck airway access, the major blood vessel that is most likely to lie anterior to the trachea above the sternal notch is the a) Brachiocephalic artery b) Brachiocephalic Vein c) Superior thyroid artery d) Inferior thyroid artery e) Carotid artery
a) Brachiocephalic artery Major vessels, most commonly the brachiocephalic artery, traverse the anterior tracheal wall in up to 53% patients at the suprasternal notch
135
21.1 In the treatment of persistent mucosal bleeding in patients with von Willebrand disease type 3,desmopressin (DDAVP) is a) contraindicated due to risk of thrombocytopenia b) indicated if previous response documented c) indicated to improve plt function d) contraindicated as it won’t work
"D Type 1: -Quantitative defect of VWF Type 2: -Qualitative Defect of VWF -Type 2 subclassification depending on plt binding function, F8 binding capcacity, number of high molecular weight VWF multimers Type 3: - complete absence of VWF Treatment: - do not need blood components to control haemorrhage -F8 plasma concentration >100 for major surgery and >50 for minor surgery -DDAVP approved for use in Type 1, no use in type 3, discuss its use with haematology in type 2 due to its variable effect -DDAVP given atleast 90mins before operation -TXA may be useful -VWF/F8 concentrates indicated in severe cases, type 3 and qualitiative defects in VWF -Plt infusions should be considered in persistent bleeding -Cryo has an unpredictable effect, only used if other treatments have failed
136
21.1 Of the following, the incidence of venous air embolism is considered highest for a) LUSCS b) Prostatectomy c) Coronary artery surgery d) Spinal surgery e) Gastric endoscopy
a) LUSCS Rates of VAE by surgical procedure: LUSCS: 10%-97% Neurosurgery: Posterior Fossa: 76% Cervical Laminectomy: 7-25% Lateral/Prone Neurosurgery: 15-25 % Total Hip Replacement: 30% Lap Cholecystectomy: 69%
137
21.1 The equipment shown in the picture is a (airway device shown)
Hunsaker Mon-jet ventilation tube for microlarnygeal surgery Description: -Laser-safe -fluoroplastic -self-centring catheter Uses: -subglottic ventilation during microlaryngeal surgery Components: - proximal end for attaching to jet insufflation system -proximal end allows passage of stylet to aid insertion -Side port at proximal end for monitopring airway pressure and ETCO2 -Outer diameter 4.3mm for maintaining good surgical access -Green basket to keep the centre port at its tip away from tracheal mucosa and avoiding potential damage from jet ventilation
138
21.1 High-risk transthoracic echocardiogram findings associated with aortic dissection include all of the following EXCEPT a) pericardial effusion b) dilated Ao root c) RV dilatation d) RWMA e) AR
EXCEPT C) RV dilation Echo findings in Aortic Dissection: 1. Intimal flap 2. Type A dissection: - Aortic regurgitation -Acute dilation of aortic root -Aortic leaflet prolapse -Dissection flap prolapse -Pre-existing disease -Pericardial Effusion/Tamponade -RWMA 3. Colour flow doppler -identifies true and false lumen -aortic branch occlusion/dissection RWMAs with possible MI, AR due to involvement of the root pericardial effusion/tamponade severe proximal aortic dilatation intimal flap https://academic.oup.com/ehjcimaging/article/10/1/i31/2465433#41562550"
139
21.1 A 48 year old male is day two post-laparoscopic high anterior resection. He has used 42 mg of intravenous morphine in the past 24 hours. You wish to start him on oral tapentadol immediate release. The most appropriate equianalgesic dosage would be a. 100 QID b. 50 QID c. 150 QID d. 200 QID
A. 100mg QID 42mg IV Morphine = 126mg Oral Morphine 126/8= 15.75 15.75 x 25 = 393.75 (*400mg/day Tapentadol) Oral Tapentadol 25mg = 8mg Oral Morphine Oral Oxycodone 5mg = 8mg Oral Morphine Oral Tramadol 25mg = Oral Morphine 5mg Oral Hydromorphone 4mg = Oral Morphine 20mg S/L Buprenorphine 200mcg = 8mg Oral Morphine IV Oxycodone 5mg = Oral Morphine 15mg IV Morphine 5mg = Oral Morphine 15mg IV Hydromorphone 1mg = Oral Morphine 15mg
140
21.1 A patient with a purely metabolic acidosis has a serum bicarbonate of 14 mmol/L and a lactate of 3.8 mmol/L. The expected PaCO2 is a. 24 b. 29 c. 35 d. 40
B. 29 PaCO2= 1.5 x 14 + 8 PaCO2= 21 + 8 PaCO2= 29 Winter’s formula: expected PaCO2 = [1.5 x (serum HCO3)] + [8±2] if PaCO2 lower, there is a concomitant primary respiratory alkalosis if PaCO2 higher, there is a concomitant primary respiratory acidosis
141
21.1 The part of the lung that is typically divided into superior, medial, anterior, lateral and posterior segments is the A. RLL B. Right upper lobe C. L upper lobe D. R middle lobe E. Lingula
RLL 1.Superior (apical bronchus 6) -> most common site for foreign body or secretions to collect if patient laying flat in bed A PA LM Seed Makes Another Little Palm (R Side) ASIA ALPS (L side) "