Name the 2 diseases that are under the umbrella term “Inflammatory Bowel Disease”
Ulcerative Colitis
Crohn’s
UC: what layers of the GI epithelium are involved?
mucosal layer
Crohn’s: what layers of the GI epithelium are involved?
Transmural involvement: mucosal, submucosa, muscaris, serosa
UC: what parts of the GI are involved?
limited to colon (rectum –> cecum)
Crohn’s: what parts of the GI are involved?
can be anywhere from mouth to anus. most common: small bowel alone, colon only, or both large and small simultaneously
UC: what is the distribution (diffuse or patchy)?
Diffuse/continuous
Crohn’s: distribution is diffuse or patchy?
Patchy/intermittent, may be skip lesions
UC: starts where?
starts in rectum, extends continuously through large bowel.
Crohn’s: complications?
UC: can surgery help?
surgery may be curative
What’s this? Notable features?

Severe ulcerative colitis.
Note erythema, easy friability (would bleed easily), ulceration, exudates, circumferential involvement
note the “fingerprinting” of the mucosa - evidence of submucosal edema.
What is this? features?

normal colon
No villi, crypts are uniform and parallel to each other, perpendicular to the surface.
Top surface is flat.
WTF is the COLON? Jen, it’s the LARGE INTESTINE. Duh.
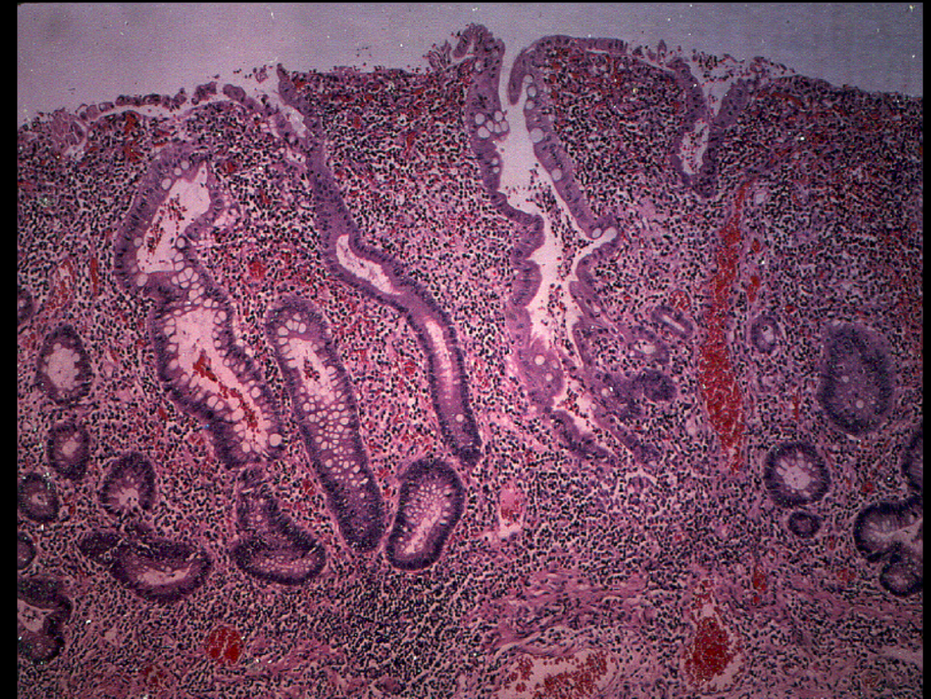
What is this? features?

Active Ulcerative Colitis.
***remember this slide per Benson***
Diffuse inflammation, complete ulceration of surface epithelium, distortion/destruction of glands.
Crypt lumens are filled with inflammation, necrotic debris.
Bottom line: architectural distortion and diffuse inflammation –> chronic UC
IBD: geographical prevalance?
Highest in N America, Europe.
Highest prev in industrialized nations, more northern areas.
IBD: typical age of onset?
***Know this***
IBD can occur at any age!
however, peak incidence is in late adolescence and early adulthood.
Generally M=F.
IBD: genetic susceptability?
Crohn’s: monozygotic twin concordance =50%
UC: monozyg twin concordance = 5-14%
Genetic susceptability + environmental triggers
Impact of smoking on UC? Crohns?
Smoking is protective for UC (interesting: pts who present with late onset UC sometimes have quit smoking several months ago)
Increases disease activity, risk of Crohn’s
Impact of appendectomy on UC? Crohn’s?
What about high sanitation level, high intake of refined carbs?
Appendectomy: protective for UC, no impact on Crohn’s
High sanitation level: no effect on UC, increases Crohn’s
High intake of refined carbs: no effect on UC, increases Crohn’s
Crohn’s: possible etiology?
Possible that Crohn’s is due to exposure to a virus: measles, or a version of TB that is seen in cows??
Overall picture for IBD etiology: what three elements combine to cause these diseases?
What are the environmental triggers that can cause onset or flare of IBD?
–>these all incr uptake of bacteria, which can initiate inflammatory response
UC: symptoms?
Hematoschezia, Diarrhea (low volume, high freq), abd pain, tenesmus (dry heaves of the rectum), urgency, systemic sx (may be fevers, night sweats), extraintestinal manifestations
UC: categories of severity?
Can be MILD, MODERATE, SEVERE
Mild = < 4stools/day, no Sx symptoms, NL ESR
Moderate: > 4stools/day, some systemic problems
Severe: > 6/day, bloody. Fever, HR >90, anemia
What is this picture of? What else could it be?

Normal appearance of colon.
Could be normal, could also be microscopic colitis (will see histo changes on biopsy)