IBD vs IBS: which has the following features:
ALL of there clinical features are seen in IBD but not IBS.
What is this? notable?

Crypt abscess in acute self-limited colitis
(probably infectious)
inflammatory infiltrate and crypt abscess formation are prominent as in ulcerative colitis, but the crypt architecture remains intact. The crypts are lined up straight, parallel, close to each other like a row of test tubes, and the bases reach the muscularis mucosa.
What is this? notable?

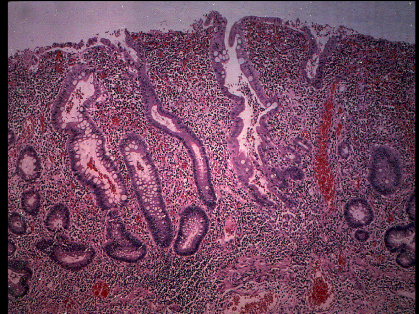
Active ulcerative colitis.
Reminder of normal mucosal histology…

Small int: villi, absorptive surface. have microvilli at the very edge. Could imagine these waving around
Colon/rectum: crypts. Flat surface at the top, these are more like test tubes lined up. They don’t look like they would wave around freely.
Reminder: appearance of chronic inflammation of the colon (aka large intestine)

ok
What is this? what is the arrow pointing to?

Cryptitis. Feature of ulcerative colitis
Arrow is pointing to neutrophils which have infiltrated the epithelium of the crypt.
What is this? What does the arrow point to? the circle?

Crypt abscess. Feature of Ulcerative Colitis
Arrow: neutrophils accumulated in and expanding the gland lumen.
Circle: injured epithelial cells, eosinophilic cytoplasm, loss of mucin, apoptosis.
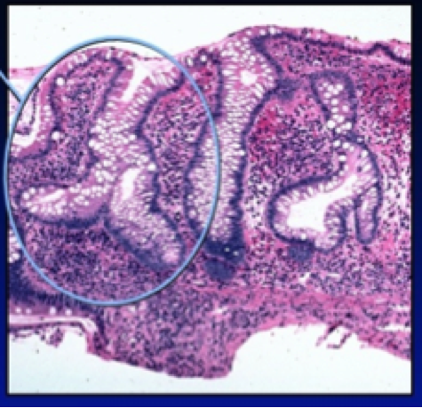
What is this? what process?

Crypt architecture distortion
Ulcerative colitis.
Which disease?

C. Diff. likely due to excessive antibiotic use
What is this?

Colon polyp.
Why won’t a colon polyp site get infected once polyp is removed?
Normal mucosal defenses
usually an intact mucus layer and epithelial tight junctions prevent uptake of luminal antigens, bacteria.
Goblet cells secrete mucus, as well as intestinal trefoil factor (incr viscosity of epithalial mucus, also stimulates epithelial restitution [migration to denuded surfaces]).
Secreted factors [KGF, TGFbeta] also enhance restitution.
Defensins (from epit cells, Paneth cells) lyse bacteria.
Secretory IgA (from plasma cells) prevents uptake of bacteria and antigens.
Protective prostaglandins (PGE2) enhance epit barrier function and stim Cl secretion.

What are the different clinlcal courses of UC? How severe is each one?
UC: what are the possible anatomic presentations?
At least 50% limited to the rectum (proctitis) or rectosigmoid (proctosigmoiditis).
About 10% may present initially involving the entire large bowel (universal or pancolitis).
Intermediate distributions are usually characterized as left-sided (involving the descending colon up to but not beyond the splenic flexure) or extensive (extending proximal to the splenic flexure).
It is estimated that 10-30% of cases that are initially confined to the rectosigmoid or descending colon may ultimately spread further proximally with a worsening clinical course.

UC: complications? (4)
Massive hemorrhage
Toxic megacolon
Perforation
Colon cancer
Risk of colorectal cancer: at what point do we sorry about it during the course of someone’s ulcerative colitis?
Annual risk of 0.5% per year after the first 10 yrs of having UC. Cumulative probability is yellow line below. Note light blue control line.

Case: 23yo male with 2 month history of **diarrhea, weight loss, night sweats. **
PE: mild tenderness in right lower quadrant.
Stool studies negative for ova, parasites, Cx (??), C diff.
Heme positive and WBCs present
PMHx: recurrent perirectal fistula and abscesses.
Labs: Hgb 10.3, MCV 72
what disease?
Crohn’s
what disease?

Crohn’s
Case: Patient with Crohn’s is treated with Mesalamine and Prednisone.
Symptoms improve, Prednisone is tapered.
4 months later, presents with 1 day hx of severe RLQ pain and fever.
CT shows thickened terminal ileum and cecum, with surrounding inflammation. No abscess.
Treated with IV steroids and abx. Sx improve over 48 hrs. What happened?
not sure, Jen is asking Benson.
Transmural inflammation characteristic of what disease? What sequelae result from the transmural involvement?

The key to understanding the course and complications of Crohn’s disease lies in recognizing the nature of the transmural pathology.
While the mucosal ulceration may be patchy, the inflammatory process characteristically extends through all layers of the bowel wall, all the way to the serosa. Inflammatory infiltration, edema, fibrosis, and spasm combine to produce marked narrowing of the lumen, often leading to obstruction, while deeply penetrating sinus tracts may culminate in frank fistulization.
Ulcerative Colitis v. Crohn’s Disease:
involvement of which layers
what part of GI tract
continuous or skip lesions
complications
surgery?
UC:
Mucosal only, colon only, starts in rectum and extends up, continuous, no skip lesions, surgery curative.
Crohn’s:
Transmural inflammation, any part of GI tract, complications are strictures, fistulas, abscesses, perianal disease, may have granulomas.
What disease? What is shown in left panel? right panel?

Crohn’s.
Terminal ileum. Transmural inflammation, lymphoid proliferation yield these pics.
Left: String sign. due to transmural thickening, irritative spasm.
Right: nodularity, ulceration, narrowing and irregularity of the lumen. Separation of normal from involved loops of intestine reflects luminal narrowing, thickening of bowel wall, and mesenteric hypertrophy.
What disease? features?

Crohn’s.
characteristic endoscopic features of nodularity, ulceration, exudate and luminal narrowing
Which disease? features?

Crohn’s.
Aphthous Ulcers.
aphthae are visible grossly as tiny, discrete, punched-out ulcers, often filled with white exudates, and separated by intervening normal-appearing mucosa (circular panel). In a closer-up view (rectangular panel), an erythematous “halo” characteristically surrounds each tiny ulcer.
Crohn’s: the microperforation that may occur mimics what other conditions?
Can mimic appendicitis or diverticulitis.
