What are the indications for obtaining a KUB?
How is it obtained?
Abdominal pain
supine + upright (if a patient can’t stand upright, then get a lateral decubitus instead)
obtained on an empty stomach (if bowel is filled with fluid, then it won’t show up on the radiograph)

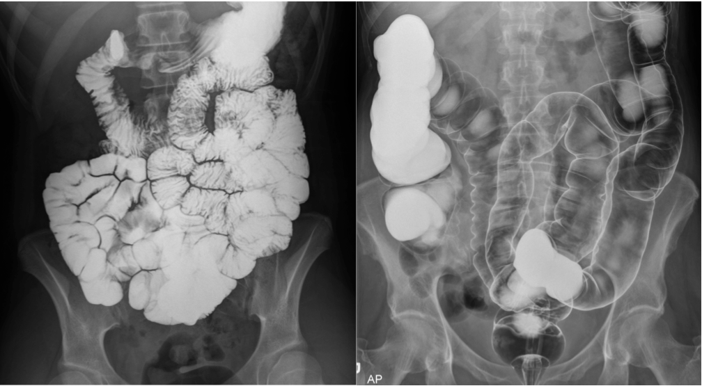
What are the indications for obtaining a fluoroscopy?
What contrasts are employed?
Pain, dysphagia, diarrhea, hernias, colon cancer
Double contrast-air and barium - mucosal detail
Single contrast-barium only - peristalsis, wall, folds, caliber

What are the indications for obtaining a CT?
How is it obtained? What contrasts are employed?
Abdominal pain, Bowel pathology, Tumors, Weight loss, vague symptoms
Positive (high density) oral contrast – differentiate between fluid collections (ie abscess) from bowel.
Negative (low density) oral Contrast (H: evaluate bowel mucosa and wall better
Timing of scan depends on the organ of interest and the pathology (hypervascular vs hypovascular), but involves some sort of scan delay (time from contrast injection to starting the scan).

What are the indications for obtaining a MRI?
What are the indications for obtaining a US?
obstruction of the cystic duct (cholelithiasis, acute cholecystitis)
What are the indications for obtaining a nuclear medicine scan?
bile leaks, cystic duct obstruction
What is Inflammation?
What type of imaging would you use and not use?
How is solid organs, fat, and bowel wall affected with inflammation on a CT scan?
Inflammation: Accumulation of fluid and inflammatory cells as a result of increased vascular permeability (results in swelling) and vascular dilation (allows for hyper-enhancement with IV contrast.
Solid organs – density will decrease with inflammation (organs are denser than fluid); likely also see organomeagly
Fat – density will increase (fluid is denser than fat); will see fat stranding (fine or smudgy strands of hazy density)
Bowel wall – no appreciable change in density with inflammation of the wall (although it may be thicker and effaced), but will see mucosal hyper-enhancement (due to hyperemia)
What is the normal size of bowel wall (small + large) on imaging?
What causes the thickness of the bowel wall to change?
What type of imaging would you use and not use?
What is a unique finding on bowel walls on imaging?
Normal
- Small bowel: 1.5mm thick
- Colon: 3mm thick
thickness changes with inflammation, infection, hemorrhage, neoplasm, infiltration, or ischemia

What are the various types of solid organ masses are observed with imaging?
What type of imaging would you use and not use?
How does imaging change with cysts? tumors?
Benign or malignant masses that can be
Cysts
- fulid filled sacs that can occur on any solid organ, but is most common in the liver, kidney, and pancreas. Low density on CT (water has 0 HU)
Tumors
How does tumor vascularity (hypo-/hyper-) affect image acquisition?
When would you acquire imaging for each one?
Bonus: give an example of each one
Hypervascular masses
What is an obstruction?
What is the normal bowel diameter?
What type of imaging would you use and not use? (what are some features to each)?
What do you see upstream of the obstruction? downstream?
Blockage of flow of fluid or air within a lumen channel (can happen anywhere in the GI, biliary system, pancreatic duct, etc); numerous etiologies (strictures, adhesions, stones)
Normal small bowel diameter: < 2.5cm transverse diameter
Upstream of obstruction - lumen dilates; usually presence of air-fluid levels (may show up as a string of pearls sign (air trapped in plica circularis))
Downstream of obstruction – lumen decompresses as normal flow of fluid/air evacuates the lumen distal to the obstruction

What is an Ileus? What are the common causes of ileus?
What type of imaging would you use and not use? (what are some features to each)?
What do you see on a supine image? upright image?
Absence of normal bowel peristalsis, results in decreased antegrade movement of intestinal contents; caused by:
Use Radiography or CT
Supine - Dilated small & large bowel on supine image
Upright - Air fluid levels in small & large bowels and colon (can only be seen on upright and lateral decubitus (not on supine))
