What are key decision of bowel obstruction?
Is it obstruction of the small or large bowel?
Small bowel obstruction: early vomiting, less distension, pain is higher in the abdomen
Large bowel obstruction: pain is more constant.
REALITY: check AXR
Is there an ileus or mechanical obstruction?
IF Ileus (lower bowel motility - functional obstruction)- absent bowel sounds, less pain
Is the obstructed bowel simple/closed loop/strangulated?
Simple: one obstructing point and no vascular compromise.
Closed loop: two obstruction points (eg sigmoid volvulus), loop of grossly distended bowel at risk of perforation
Strangulated: compromised blood supply- patient iller than expected. (harper, more constant, and localized pain) Peritonism and fever + high WCC
Fill out the table for causes of bowel obstruction
What are the miscellaneus other hernias? and what are their definitions
Fill out the table
Fill out the table
What dies this diagrma show?
What re causes of this?

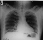
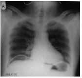
Pneumoperitoneum:
CAUSES
Fill out the table
What does this CT show?
rolling diaphragmatic hernia
What does this diagram show’?
rolling diaphramtic hernia
What does this diagram show’?
sliding diaphramtic hernia
Hernia hiatus
Label this diagram
What does this CT show?
coffee bean volvulus
Label this diagram
Label this diagram
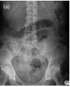
What does this CT show
large bowel obstruction
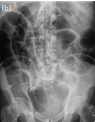
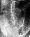
Label this diagram
small bowel obstruction
LOOK at the the valvulae conviventes going all the way through
A 16 year year old college students attends the local A & E with her boyfriend, comlaining of an episode of sudden onset right sided pain in her abdomen.
Physical examination of the patient is unremarkable except from a small scar in her right lower quadrant.
What is the most appropriate first line investigation
A. USS of abdomen
B. ß-hCG test
C. FBC
D. CT of abdomen
E. no investigation, immediate surgery
B. ß-hCG test
A 26 year old proffesional rugby player presents to a& E with abdominal pain in the umbelical region. On inspection he is feverish wiht a temperature of 38°C and BP of 115/90. THe admitting doctors suspect appendicitis and performs abdominal examination.
extension of right hip elicits pain
WHat sing is this?
A. Cope’s , means retrocaecal appendix
B. Psoas sign, means retrocaecal appendix
C. Psoas sign an d appendix located next to obbsturator externus
D. Rovsing’s sign and a retrocaecal appendix
E. Rovsing’s sign and located next to obbsturator externus
A. Cope’s , means retrocaecal appendix
B. Psoas sign, means retrocaecal appendix
C. Psoas sign an d appendix located next to obbsturator externus
D. Rovsing’s sign and a retrocaecal appendix
E. Rovsing’s sign and located next to obbsturator externus
What is the difference between diverticular disease, diverticulosis, and diverticulitis?
Diverticulosis= oresence of diverticular outpouchings of teh colonic mucosa throughout the large bowel
Diverticular disease= the complication from diverticulosis
Diverticulitis= acute inflammation and infection of diverticulae
What surgical procedure would you do on someone with diverticular disease?
Hartmann’s - if acute
Primary anastomosis - if chronic
What is hartmann’s procedure?
removal of the diseased bowel and an end colostomy formation with an anorectal stump
This is used when primary anastomosis is not possible
ACUTE scenario -too much inflammation
a 56 year old feverish woman attends her GP complaining of a sudden appearance of blloody stools. She adds that she has experienced a few episodes of bloody stolls beofre but has not seeked medical attention and apart rfom a fever, she has had no other constituinal symtpoms. the Gp notes that the pateietns diet is particularylow in fibre and on physical examination, tenderness is found on pressure to the LIF. A DRE shows fresh blood upon removal of a gloved finger. WHat is the most likely diagnosis?
A. Angiodysplasia
B. Diverticulosis
C. Diverticulitis
D. Mallory Weiss tear
E. Gastroenteritis
C. Diverticulitis
A feverish 65 year old is brought to A& E departemnt by her daughter . she complains about nausea, LIF pain and vomiting. Attending doctor takes a full histroy and performs an abdominal examination and subsequently makes he diagnosis of actue diverticulitis with some signs of peritonism. A erect AXR taken which shows some air under teh diaphragm. What is the most appropriate surgical procedure
A. Hartmann’s procedure
B. primary anastomosis
C. Colectomy and end -Ileostomy formation
D. delorme procedure
E. Whipple procedure
A. Hartmann’s procedure
What are the borders of Hasselbach’s triangle?
rectus abdominus, inguinal ligament and inferior epogastric artery