What are the main conditions that are differentials for cough
Cough differentials=fill in table


Pneumonia
Definition
Types
Risk factors-general
Aetiology and risk factors= Causative organisms for different types of pneumonia + associated features/risk factors
Symptoms and signs- atypical and typical
Investigations- atypical and typical
Imaging results
Management
Complications
Pneumonia
Definition
Infection of the alveoli- lower respiratory tract infections
Types
General risk factors
Causative organisms for different types of pneumonia + associated features/risk factors
CAP
HAP
Atypical pneumonia
Aspiration pneumonia
Symptoms
Typical pneumonia
Cough- productive- green/yellow sputum
Fever
SOB
Pleuritic chest pain
Confusion
Atypical pneumonia
Dry cough
Headache
Myalgia
Diarrhoea
Hepatitis
Signs
Tachycardia
Increased resp rate
Central/peripheral cyanosis
Low oxygen sats
Resp distress
If sepsis: low BP
Palpation: reduced chest expansion
Percussion: dull
Auscultation: Coarse crackles- bilateral
Bronchial breathing
Increased vocal fremitus
Investigations
Basic obs
Bloods:
FBC- high WCC
U and E- urea
CRP- high
ABG- type one or two resp failure
Blood cultures
Sputum MCS
Pleural fluid MCS- by thoracentesis/chest drain
Urinary antigens
CXR
For atypical pneumonia- SULB
Serology
Urine antigen [Legionella, strep pneumoniae]
Blood film- mycoplasma- cold agglutinin
LFTs- elevated/deranged in legionella
Imaging- CXR results
Consolidation- patchy + heterogenous
Air bronchograms
Types of consolidation:
-Lobar= lobar localised distribution
or - Bronchopneumonia- patchy in random places
Scoring system
CURB 65
High CURB score= hospitalisation
If score 1= outpatient
2= consider admission to hospital, short stay
3+= inpatient treatment, consider ITU
Management
CAP- Amoxicillin [if severe- co amoxiclav]
HAP:
Atypical or if suspect atypical: Clarithromycin
Aspiration= Metronidazole
Acute - inpatient
Oxygen
Sit patient up
CPAP if needed
IV fluids
If abscess/empyema- surgical drainage
Complications
PESAP
Pleural effusion
Empyema
Sepsis
Abscess- lung [staph aureus] - persistent pneunomia, foul smelling sputum, swinging fevers
Pneumothorax
What physiological feature is associated with legionella pneumophila?
Hyponatreamia
What feature of disease is associated with mycoplasma pneumonia?
Transverse myelitis
Which two types/causative organisms of pneumonia are associated with cavitating lesions?
Klebsiella
Staphylococcus aureus
A 35 year old man presents to his GP with shortness of breath and a dry cough. Upon further questioning, he admits to generalised muscle aches and a fever. He suffers from eczema and takes potent steroid medications. The patient lives at home with his dog and pet parrots.
What is the most likely causative organism?
A Streptococcus pneumoniae
B Chlamydia psittaci
C Mycobacterium tuberculosis
D Haemophilus influenzae
E Legionella pneumophila
B Chlamydia psittaci
Causes of acute dry cough?
Asthma
Upper resp tract infection- laryngitis, pharyngitis
ACE inhibitors
Heart failure
Atypical pneumonia
Causes of chronic dry cough?
Asthma
GORD
Lung cancer
Mesothelioma
Causes of acute productive cough?
Pneumonia [lower resp tract infection]
TB
Causes of chronic productive cough?
COPD
Bronchiestasis
Lung Cancer
TB
Definition
Types
Aetiology
Risk factors
Epidemiology
Symptoms and signs
Investigations
Management [not on SOFIA]
TB
Definition
Infection caused by mycobacterium tuberculosis bacteria, which causes multi-system disease. Has caseating granulomas.
Types
Primary- usually not severe symptoms- first infection by TB bacteria
Latent phase- asymptomatic infection - bacteria remain in body after first infection
Post primary- latent bacteria re colonises- more severe symptoms
Miliary- lymphatohaematogenous spread of bacteria in body
Aetiology
Risk factors
General:
Other systems
Lungs- pleural effusion
Brain- TB meningitis
Pott’s disease- spinal cord compression
Osteomyelitis
Kidneys- renal failure
Adrenal glands- addison’s
Abdominal TB- peritonitis, ascites
Heart- constrictive pericarditis, pericardial effusion, normocytic anaemia,
Skin + nails- erythema nodosum, clubbing
Genitals- epididymoorchitis, infertility
Investigations
Basic obs
Bloods:
Sputum MCS- Ziehl Neelsen stain for acid fast bacilli- gold standard
CXR-> upper lobe scarring + consolidation
Lymph node biopsy- caseating granuloma
Mantoux/tuberculin skin test [doesn’t differentiate between active and latent disease]
IGRA- interferon gamma release assay
SBA TWO

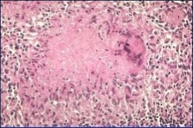
A 42 year old woman presents to her GP with haemoptysis cough and a fever. She has breathlessness when walking up stairs and has lost 2kg in the past 2 weeks. Her enlarged cervical lymph nodes were biopsied, with the image from the histology shown below.
What is the most likely causative organism?
A Streptococcus pneumoniae
B Chlamydia psittaci
C Mycobacterium tuberculosis
D Haemophilus influenzae
E Legionella pneumophila
C Mycobacterium tuberculosis
Image of caseating granuloma
Bronchiectasis
Definition
Aetiology
Risk factors
Epidemiology
Symptoms
Signs
Investigations
Management
Complications
Definition
Chronic condition causing permanent dilated airways and increased mucus production
Aetiology
Congenital:
Acquired:
Epidemiology
Symptoms
Productive cough- green/brown purulent sputum
Haemoptysis- blood streaked in sputum
SOB/Dyspnea
Chest pain
Fever
Weight loss
Signs
Increased resp rate
Fever
Tachycardia
Inspection: Clubbing
Auscultation- fine bibasal crackles
Investigations
Basic obs
FBC- high WCC
CRP- high
ABG- type one or two resp failure
Sputum culture
CXR
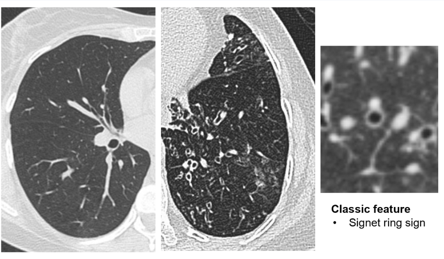
GOLD STANDARD- High resolution CT
=dilated terminal airways
= signet sign
Management
Supportive:
Fluids
Chest physiotherapy, oscillating devices + nebulised hypertonic saline
Diet + exercise
Medical:
Bronchodilators- Salbutamol inhaler
Oral antibiotics- azithromycin
If serious: IV antibiotics [levofloxacin if pseudomonas]
Prevention/vaccines
Inhaled antibiotics= prophylactic
Surgical:
Local resection of airways
Complications
Persistent infections
Cor pulmonale
Resp failure
Lung cancer
Definition
Aetiology
Types
Risk factors
Epidemiology
Symptoms
Signs
Investigations
Lung cancer
Definition
Malignant neoplasm of the lungs
Aetiology
Primary- originated in lung
Secondary- mets
Types
Small cell lung cancer
Non-small cell:
Divided into:
Squamous cell lung cancer- [PTHrp]
Adenocarcinoma- [goblet cells, peripheral lung]
Large cell carcinoma-[epithelial cells]
Risk factors
Smoking
Age
Occupational hazards- Asbestos exposure [squamous cell espially]
Epidemiology
Most common lung cancer in the world
Highest mortality
Symptoms
Haemoptysis
Chronic cough [dry or productive]
SOB
FLAWS [Fever, weight loss, lethargy, anorexia, night sweats]
If local invasion:
Superior vena cava obstruction
Horner’s syndrome - sympathetic trunk
Bovine cough- left recurrent laryngeal nerve
If metastases:
Lymphadenopathy
Liver- hepatomegaly
Bone - bone pain, fractures
Brain - headaches, blurry vision
Signs
IPA
Inspection- Clubbing
Percussion: Dull
Auscultation: Crackles, wheezing, increased vocal fremitus
Investigations
Basic obs
Bloods:
FBC
Calcium- high- bone mets/PTHrp
ALP- mets
LFT- mets
CXR
Sputum- ctyology
Bronchoscopy + biopsy
Staging
CT
PET
MRI
Mesothelioma
Definition
Epidemiology
Risk factors
Symptoms
Signs
Investigations
Mesothelioma
Definition
Malignant neoplasm of the mesothelial cells in the pleura of the lung
Epidemiology
Rare
Common in construction workers handling asbestos
Risk factors
Asbestos exposure
Symptoms
Dry cough
SOB
FLAWS [Fever, lethargy, anorexia, weight loss, night sweats]
Signs
Auscultation: pleural friction rub [like walking on snow]
Investigations
Basic obs
Bloods:
FBC
Calcium
ALP
LFT
Imaging
CXR
CT chest
-> pleural plaques, pleural thickening, pleural effusions
Pleural fluid- cytology- thoracocentesis
Pleural biospy
Staging- CT, MRI, PET
SBA THREE
A consultant tells you that the patient in the side room is a 79 year old man who presented to A&E with respiratory distress. On inspection, he has finger clubbing and you can hear bibasal crackles when you listen with your stethoscope. His CT scan shows dilation of the terminal airways.
What is the most likely diagnosis?
A Pleural effusion
B Pneumonia
C Heart failure
D Pulmonary embolism
E Bronchiectasis
E Bronchiestasis
Pulmonary causes of clubbing?
Abscess
Bronchiectasis [+ cystic fibrosis]
Lung cancer
Empyema
Idiopathic pulmonary fibrosis
TB
Pulmonary causes of bibasal crackles?
Pulmonary oedema
Pneumonia
Bronchiectasis
Idiopathic pulmonary fibrosis
Triad of Karteneger’s syndrome features?
Primary ciliary dyskinesia [leading to bronchiectasis]
Sinusitis
Situs inversus
Triad of Young’s syndrome features?
Bronchiectasis
Sinusitis
Infertility [can’t make any young]
SBA FOUR
A 75 year old woman presents to her GP with progressive shortness of breath and a productive cough. She has been a smoker all her life (20 cigarettes daily). Her blood and urine results are shown below.
Hyponatraemia
High urine Na+ and osmolality
What is the most likely diagnosis?
A Mesothelioma
B Large cell carcinoma
C Squamous cell carcinoma
D Adenocarcinoma
E Small cell lung cancer
Small cell lung cancer
because associated with SiADH
More water reabsorbed, less sodium = hyponatraemia
SBA FIVE
A 59 year old man presented to the GP with a chronic non-productive cough. He has never smoked. Over the past two months, he has been losing weight but the patient attributed this to working longer hours as a construction worker.
What is the most likely diagnosis?
A Mesothelioma
B Large cell carcinoma
C Squamous cell carcinoma
D Adenocarcinoma
E Small cell lung cancer
A Mesothelioma
Asbestos
A 59 year old man presented to the GP with a chronic
non-productive cough. He has never smoked. Over the past
two months, he has been losing weight but the patient
attributed this to working longer hours as a construction
worker.
What is the most likely diagnosis?
A Mesothelioma
B Large cell carcinoma
C Squamous cell carcinoma
D Adenocarcinoma
E Small cell lung cancer
A Mesothelioma