Adrenals Flashcards

(12 cards)

1
Q

Most common extracranial solid childhood malignancy

A

Neuroblastoma

Average diagnosis age 22 months, however can present inutero.

How well did you know this?
1
Not at all
2
3
4
5
Perfectly
2
Q

What is stage 4S

A

Less than 1 year old
Skin, Liver and BONE MARROW (not cortex) Involvement
Excellent prognosis

How well did you know this?
1
Not at all
2
3
4
5
Perfectly
3
Q

What upstage Nueroblastoma

A

Contralateral lymph nodes

Crossing midline

How well did you know this?
1
Not at all
2
3
4
5
Perfectly
4
Q

What are the association of Neuroblastoma

A

NF1, DiGeorge, Beckwidth Wiedeman, Hirschprung

MOST are sporadic

How well did you know this?
1
Not at all
2
3
4
5
Perfectly
5
Q

What is the paraneoplastic syndrome in neuroblastoma

A

Opsoclonusmyoclonus (autoimmune process). If neuroblastoma is found usually small.

How well did you know this?
1
Not at all
2
3
4
5
Perfectly
6
Q

What assess better bone mets in neuroblastoma

A

MIBG

How well did you know this?
1
Not at all
2
3
4
5
Perfectly
7
Q

What can you measur ein the urine of neuroblastoma kids

A

Catecholamines (95% time elevated)

How well did you know this?
1
Not at all
2
3
4
5
Perfectly
8
Q

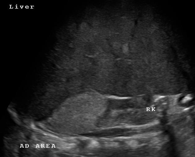
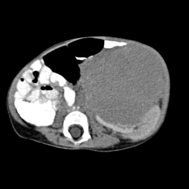
Mets to bones and renal/adrenal mass

A

Most likely neuroblastoma, Wilms usually does not go to bones (Except clear cell subtype).

How well did you know this?
1
Not at all
2
3
4
5
Perfectly
9
Q

What is blueberry muffin syndrome?

A

Extramedullary hematopoiesis within the dermis of neuroblastoma and rubella kids

How well did you know this?
1
Not at all
2
3
4
5
Perfectly
10
Q

What is pepper syndrome?

A

Metastatic neuroblastoma to the liver (4S stage)

How well did you know this?
1
Not at all
2
3
4
5
Perfectly
11
Q

Hutchinsons syndrome?

A

Skeletal mets that are symtpomatic in neuroblastoma

How well did you know this?
1
Not at all
2
3
4
5
Perfectly
12
Q

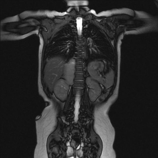
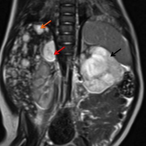
Main differences between Wilms and Neuroblastoma

A

Calcifications and metastasis to bones in neuroblastoma
Invasion of vessels and well defined in Wilms (neuro encases and is irreguar)
4 years in Wilms and 2 years in Neuro

How well did you know this?
1
Not at all
2
3
4
5
Perfectly