GU Flashcards

(13 cards)

1
Q

Most common tumor of infancy

Infants

A

Wilms tumor,
Staged 1,2,3,4,5. Stage 5 is bilateral and requires independent classification
Stage 3= Needle track of the fucking resident.

How well did you know this?
1
Not at all
2
3
4
5
Perfectly
2
Q

Wilms tumor

A

If bilateral = NEPHROBLASTOMATOSIS

Average age 3

Overgrowth syndrome:
Beckwith Wiedemann= Omphalocele, macroglosia, hepatoblastoma
Sotos= Retarded, Macrocephaly and ugly

Non Overgrowth syndromes:
WAGR: Wilms, aniridia, genital, growth retarded.
Drash: Wilms, pseudohermafroditism, progressive glomerulonephritis.

WILMS NEVER OCCURS BEFORE 2 MONTHS OF AGE.

How well did you know this?
1
Not at all
2
3
4
5
Perfectly
3
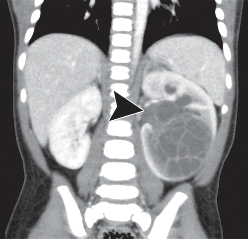
Q

Born with it and associated with bilateral Wilms

A

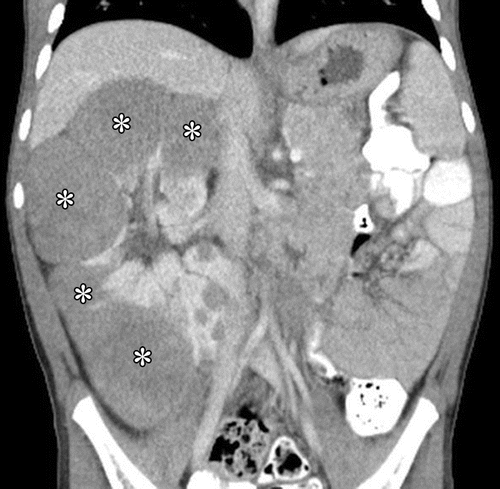
Nephroblastomatosis
Picture of nephroblstomatosis + Wilms
Screening ultrasound every 3 months until patient turn 8

How well did you know this?
1
Not at all
2
3
4
5
Perfectly
4
Q

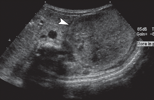
Newborn with a hypoechoic lesion on ultrasound

A

MESOBLASTIC NEPHROMA.

Wilms like tumor, but <1 month old.

Solid renal tumor of infancy. Fetal hamartoma. Most common renal tumor in the first month of life.Involves renal sinus.

How well did you know this?
1
Not at all
2
3
4
5
Perfectly
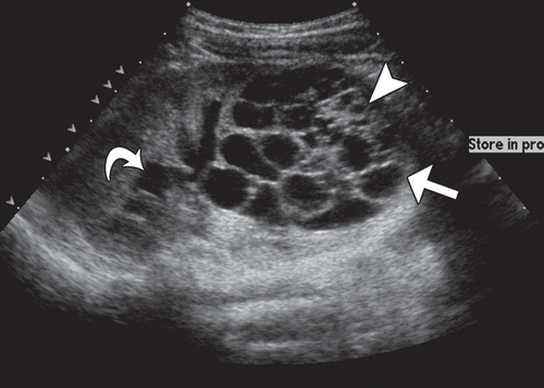
5
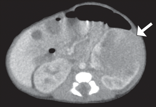
Q

Macroscopic cysts without communication (unable to excrete into collecting system)

A

MULTICYSTIC DYSPLASTIC KIDNEY
0-3
Benig

How well did you know this?
1
Not at all
2
3
4
5
Perfectly
6
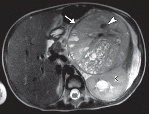
Q

Associate dwith DICER 1 mutation and herniates to renal pelvis

A

MULTILOCULAR CYSTIC NEPHROMA (Dicer 1 MUTATION: pleuropulmonary blastoma)
Herniates to the renal pelvis
No solid component or necrosis.
Michael Jackson tumor (boys and young girls)
4 year old.

How well did you know this?
1
Not at all
2
3
4
5
Perfectly
7
Q

Most common solid tumor of adolescents (>10 )

A

Renal cell carcinoma

How well did you know this?
1
Not at all
2
3
4
5
Perfectly
8
Q

What RCC is associated with translocation

A

AFter exposure to chemothreapy

Most common subtype in adolescents

How well did you know this?
1
Not at all
2
3
4
5
Perfectly
9
Q

Sickle cell TRAIT

A

Medullary subtype RCC

How well did you know this?
1
Not at all
2
3
4
5
Perfectly
10
Q

VHL/Renal cancer

A

Clear cell type RCC

How well did you know this?
1
Not at all
2
3
4
5
Perfectly
11
Q

What is the most common bladder malignancy in kids

A

Rhabdomyosarcoma

  • 20% mets
  • 20% ocurre in the bladder or prostate region
  • Most of the rhabdos are actually in the orbit or nasopharynx.
  • Bimodal 2-4 and 15-17
  • Li Fraumeni cancer and NF1
  • Paratesticular tumors are the only genitourinary tract rhabdomyosarcomas that tend to occur in older children, typically adolescents.
How well did you know this?
1
Not at all
2
3
4
5
Perfectly
12
Q

Most common benign bladder lesion in pediatrics?

A

Papillary urothelial neoplasm of low malignant potential (PUNLMP)

How well did you know this?
1
Not at all
2
3
4
5
Perfectly
13
Q

Paratesticular mass in young adolescent

A

Paratesticular rhabdomyosarcoma

How well did you know this?
1
Not at all
2
3
4
5
Perfectly