Skull Flashcards

(48 cards)

1
Q

Methopic suture, time, synostosis, syndrome

A

3 months (First), Trigonocephaly, 5% craniosynostosis.

Premature fusion prevents transverse growth of the forehead which causes a triangular-shaped forehead that may be associated with orbital hypotelorism (abnormal closeness of the eyes), as well as ethmoid hypoplasia

How well did you know this?
1
Not at all
2
3
4
5
Perfectly
2
Q

Coronal synostosis, syndrome?

A

Brachycephaly.

It can result from craniosynostosis involving the coronal and lambdoid sutures.

Brachycephaly can be associated with numerous syndromes which include:
Apert syndrome
Carpenter syndrome
Cornelia de Lange syndrome
cleidocranial dysostosis
chromosomal anomalies
trisomy 21 3
Larsen syndrome
Roberts syndrome
How well did you know this?
1
Not at all
2
3
4
5
Perfectly
3
Q

Lambdoid synostosis, syndrome?

A

Turricephaly, bilateral is syndromic, unilateral is idiopathic.

Oxycephaly (also known as turricephaly)???? is the most severe of the craniosynostoses and results from the premature closure of all sutures.

Characterized by a tower-like skull which may be associated with:

8th cranial nerve lesion
optic nerve compression
mental deficiency
syndactyly

How well did you know this?
1
Not at all
2
3
4
5
Perfectly
4
Q

Sagital synostosis, syndrome

A

Scaphocephaly (also known as dolichocephaly) is the MOST COMMON FORM of craniosynostosis, where premature closure of the sagittal suture results in an impediment to the lateral growth of the skull while anteroposterior growth continues, producing a classic elongated, yet narrow, skull.

Marfan syndrome (both are tall and skinny)

Normal IQ. No hydrocephalus.

How well did you know this?
1
Not at all
2
3
4
5
Perfectly
5
Q

Plagiocephaly

A

Asymmetric premature closure of the coronal and/or lambdoid sutures. It can either involve single or asymmetric multiple sutures.

Premature coronal suture closure is associated with the Harlequin eye deformity.

How well did you know this?
1
Not at all
2
3
4
5
Perfectly
6
Q

Harlequin eye deformity

A

Elevation of the superolateral corner of the orbit. It may be seen in unilateral (plagiocephaly) or bilateral (brachycephaly) coronal suture synostosis.

How well did you know this?
1
Not at all
2
3
4
5
Perfectly
7
Q

Positional plagiocephaly

A

Also known as deformational plagiocephaly, refers to a calvarial deformation that results from external pressure after birth when an infant is consistently placed in the same position for rest and sleep. It can be marked in very premature infants, whose heads become flattened and scaphocephalic when they are positioned on their side for mechanical ventilation.

How well did you know this?
1
Not at all
2
3
4
5
Perfectly
8
Q

Trigonocephaly

A

Metopic suture
Orbital hypothelorism
Underdevelop ethmoid air cells

Jacobsen syndrome

How well did you know this?
1
Not at all
2
3
4
5
Perfectly
9
Q

Jacobsen syndrome

A

Trigonocephaly

Deletion of 11 q

It results in intellectual disabilities, a distinctive facial appearance and a variety of physical problems including heart defects and bleeding diathesis.

How well did you know this?
1
Not at all
2
3
4
5
Perfectly
10
Q

Apert syndrome

A

Type I acrocephalosyndactyly

CNS anomalies, congenital cardiac anomalies (10%), congenital genitourinary anomalies, symphalangism.

Triad:
1. craniosynostosis: brachycephaly
2. syndactyly
3. maxillary hypoplasia
Other: tower-shaped head and prominent forehead, hypertelorism, intellectual retardation (IQ however can be normal), exophthalmos, dehiscent jugular bulb, enlarged emissary veins of the skull

Defect on the fibroblast growth factor receptor 2 (FGFR2)

How well did you know this?
1
Not at all
2
3
4
5
Perfectly
11
Q

Carpenter syndrome

A

Called acrocephalopolysyndactyly type II (ACPS type II) is an extremely rare autosomal recessive congenital disorder.

  • craniofacial malformations
  • craniosynostoses
  • kleeblattschädel (cloverleaf skull)
  • obesity
  • congenital cardiac anomalies
  • umbilical herniation
  • hypogenitalism
  • cryptorchidism
  • intellectual disability
  • limb anomalies
  • genu valgum +/- lateral patella displacement
  • coxa valga
  • pes varus
  • syndactyly: typically soft tissue 3
  • polydactyly: typically pre axial 3
    • double ossification center of proximal phalanx of thumb
  • -broad first metatarsal
How well did you know this?
1
Not at all
2
3
4
5
Perfectly
12
Q

Positional plagyocephaly vs lambdoid cranyosynosthosis

A

Positional: Weeks after birth, ipsiltareal ear moves anteriorly, frontal bossing ipsilateral.

Lambdoid craniosynostosis: Birth, ipsilateral ear moves posterior/inferior and frontal bosing contralateral. extremely rare. see example. SURGERY (allow normal development of brain)

How well did you know this?
1
Not at all
2
3
4
5
Perfectly
13
Q

Asterion

A

Junction of parietomastoid/lambdoid/occipitomastoid sutures.

Asterion defecct: NF1

How well did you know this?
1
Not at all
2
3
4
5
Perfectly
14
Q

Neurofibromatosis 1

A

Asterion defect+

Absence/dysplasia of greater wing
Tibial pseudoarthrosis
Scoliosis
Lateral thoracic meningocele

How well did you know this?
1
Not at all
2
3
4
5
Perfectly
15
Q

Clover Leaf Skull

A

Kleblattschadel
Trilobed configuration
Premature synostosis of coronal and lambdoid sutures.
Hydrocephalus
Thanatophoric dysplasia, Apert syndrome and Crouzon syndrome

How well did you know this?
1
Not at all
2
3
4
5
Perfectly
16
Q

Tanatophoric dysplasia

A

Most common lethal skeletal dysplasia followed by osteogenesis imperfecta type II.

Mutation coding for the fibroblast growth receptor 3 (FGFR3)

type I:
marked underdevelopment of skeleton, telephone handle femurs more pronounced

type II
the presence of a cloverleaf skull may be a distinctive feature
limb shortening milder and bowing is not a feature

How well did you know this?
1
Not at all
2
3
4
5
Perfectly
17
Q

Crouzon syndrome

A

Abnormal calvarial shape: in severe case can give a “cloverleaf skull”
shallow orbits with exophthalmos
mid facial hypoplasia
bifid uvula

Associations
Chiari I malformations 3: may be present in ~70% of cases
hydrocephalus
stylohyoid ligament calcification: may be present in ~50% of patients over 4 years old 3
cervical spine abnormalities
cervical spine fusion
elbow malformations 
hand deformities
agenesis of corpus callosum
How well did you know this?
1
Not at all
2
3
4
5
Perfectly
18
Q

Copper beaten skull

A

Primary:
Raised intracranial pressure in children.

Other:
Craniosynostosis
Obstructive hydrocephalus
Hypophosphatasia
Intracranial masses
How well did you know this?
1
Not at all
2
3
4
5
Perfectly
19
Q

Luckenschadel

A

Lacunar skull or craniolacunae, is a dysplasia of the membranous skull vault and is associated with Chiari II malformations (seen in up to 80% of such cases). The inner table is more affected than the outer, with regions of apparent thinning (corresponding to unossified fibrous bone) of the skull vault. If particularly severe, with the individual lacunae coalescing into larger defects the term craniofenestrae is used.

Typically resolves after 6 months of age.

How well did you know this?
1
Not at all
2
3
4
5
Perfectly
20
Q

Langerhans cell histiocytosis

A

Most common skeletal manifestations:
Patients may have one or, less commonly, many lesions. The most common locations are the skull and long bones:

skull: ~50%
pelvis: 23%
femur: 17%
ribs: 8% (most common in adults)
humerus: 7%
mandible: 7%
spine

Skull

  • solitary or multiple punched out lytic lesions without sclerotic rim
  • double contour or beveled edge appearance may be seen due to asymmetrical involvement of the inner and outer tables (hole within a hole) sign 7
  • button sequestrum representing residual bone
  • geographic skull
21
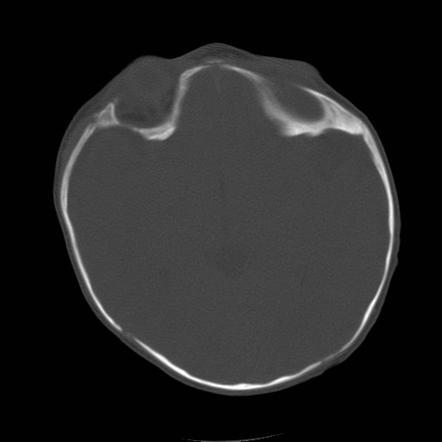
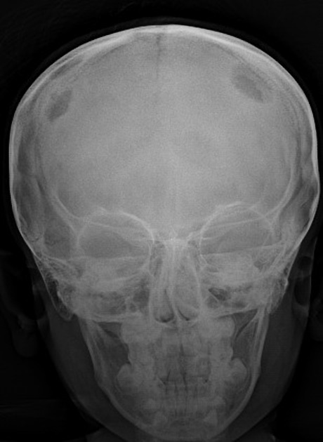
Q

Giant parietal foramina

A

Increased incidence of venous and cortical anomalies. Bilateral parietal foramina are associated with Potocki-Shaffer syndrome.

22
Q

Wormian bones >10

A
  1. Osteogenesis imperfecta
  2. Cleidocranyaldysostosis (if abscent clavicles)
P: pyknodysostosis
O: osteogenesis imperfecta
R: rickets
K: kinky hair syndrome
C: cleidocranial dysostosis
H: hypothyroidism/hypophosphatasia
O: otopalatodigital syndrome
P: primary acroosteolysis (Hajdu-Cheney)/pachydermoperiostosis/progeria
S: syndrome of Downs
23
Q

Pyknodysostosis/Toulouse-Lautrec syndrome

A

Autosomal recessive bone dysplasia: Osteosclerosis and short stature.
Lysosomal disorder due to genetic deficiency in cathepsin K (essential for normal osteoclast function.)
Osteosclerosis with narrowed medullary cavities is the main generalized imaging finding. Long bone fractures are common.

24
Q

Osteogenesis imperfecta

A

non-sex-linked, genetic disorders of collagen type I production,

  1. osteoporosis with abnormal bone fragility
  2. blue sclera
  3. dentinogenesis imperfecta
  4. hearing impairment
head, neck and spine
basilar invagination
wormian bones
kyphoscoliosis
vertebral compression fractures
codfish vertebrae
platyspondyly

chest
pectus excavatum or carinatum
accordion ribs

pelvis
protrusio acetabuli
coxa vara

general
severe osteoporosis
deformed, gracile (overtubulated) bones
cortical thinning
hyperplastic callus formation
popcorn calcification: the metaphyses and epiphyses exhibit numerous scalloped radiolucent areas with sclerotic margins 1
zebra stripe sign: cyclic bisphosphonate treatment produces sclerotic growth recovery lines in the long bones
formation of pseudarthrosis at sites of healing fractures

25
Rickets
Deficient mineralization of the growth plate in the pediatric population. Osteomalacia refers to deficient mineralization of the bone matrix, which co-occurs with rickets but can also occur even after growth plate closure, in adults. Growing skeleton: Metaphyseal zones of provisional calcification where there is an excess of non-mineralized osteoid resulting in growth plate widening and abnormal configuration of the metaphysis: * fraying: indistinct margins of the metaphysis * splaying: widening of metaphyseal ends * cupping: concavity of metaphysis Bones where growth is greatest: * knee: distal femur, proximal tibia * wrist: especially the ulna * anterior rib ends: rachitic rosary Osteomalacia co-occurs with rickets: * The legs bow outwards with variable deformity of the hips (both coxa vara and coxa valga are seen * Genu valga and vara as well * Protrusio acetabuli * The lower ribs may also be drawn inwards inferiorly by the attachment of the diaphragm (Harrison's sulcus).
26
Menkes disease
trichopoliodystrophy or kinky hair kinky vessel syndrome Hair may be fine, silvery and brittle (kinky hair) and connective tissue disturbances lead to loose skin. progressive neurologic deterioration: seizures usually begin in the first few days or months of life with progressive hypotonia and developmental delay in the first year of life. Musculoskeletal manifestations metaphyseal widening of the femur and ribs tibial and femoral spurs Wormian bones CNS manifestations Brain manifestations of Menkes syndrome are progressive cerebral and cerebellar atrophy, elongated and tortuous intracranial vessels as well as bilateral epidural collections or bleeds.
27
Cleidocranial dysostosis
autosomal dominant
28
Hajdu-Cheney syndrome
AD NOTCH2 4. Associations * congenital heart disease (VSD, ASD, PDA, Mitral regurgitation) * polycystic kidney disease * recurrent respiratory tract infections ``` Radiographic features Hands and feet * acro-osteolysis * transverse band of osteolysis in distal phalanges is characteristic * distal to proximal osteolysis is also seen Skull * bathrocephaly (bulging of squamous occipital bone) * delayed closure of sutures * thickening of the mastoids * aplasia of the frontal sinuses * J-shaped enlarged sella * dolichocephaly * platybasia with or without basilar invagination Spine * kyphoscoliosis * spondylolisthesis * biconcave vertebrae Maxillofacial * hypoplastic maxilla * malalignment of teeth * wide mandibular angle ```
29
Pachydermoperiostosis (primary hypertrophic osteoarthropathy)
ad
30
Dermoid/epidermoid skull
Epidermoid: purely neuroectoder, fluid-like content, T2 complex bright, T1 hypointense, homogenenous/poor enhancement of capsule, and restricted diffusion. 20-40 yearsof age behind ears. Dermoid: Neuroectoderm+glands, lipidic-like content, T2 bright, T1 hyperintense, calcification of capsule, enhancement of capsule. Earlier presentation and midline. Nasal dermoid cysts may be associated with a sinus tract that extends for variable distances in the prenasal space to the foramen cecum. Nasal dermoid and epidermoid cysts are typically surgically resected due to the potential for an intracranial connection and the risk of CNS infection, as well as for cosmetic reasons IMAGE 1 Epidermoid IMAGE 2: Nasal dermoid
31
1. Caput sucedaneum 2. Subgaleal hemorrhage 3. Cephalohematoma
1. Normal 2. Emergency, accumulates a large amount of blood below the galea aponeurotica. May also extend into the neck 3. Subperiosteal hemorrhage, limited by the sutures, higher risk of infection (E. coli) and osteomyelitis. Can calcify (myositis ossoficans-like)
32
1. Diastasis fx 2. Depressed fx 3. Ping Pong fx
1. Considered if >10 mm neonates and >2 mm at 3 and >3 mm at 2. First lambdoid. 2. More than 5-10 mm depression. Compound means scalp laceration. Penetrating if there is dural tear. Surgery if >5mm as there is high risk of dural tear. IF the frontal sinus is involved they repair them because high risk of mucocele. Higher rates of infection (~10%), seizure (~15%), neurological deficits, and death 3. Benign. Birth trauma. Pelvic bones. "green stick". No neuro damage.
33
Leptomeningeal cyst
"Growing skull fracuture" Majority occur in children <3 years. They complicate ~1% of skull fractures Underlying area of encephalomalacia. CSF pulsation herniates leptomeninges and brain preventing healing from skull. It consists of a lytic calvarial lesion with scalloped edges, in which encephalomalacia invaginates. The following features may also be present 4,5: extracranial brain herniation hydrocephalus unilateral ventricular dilatation porencephalic cyst
34
Sinus pericranii
cranial venous anomaly in which there is an abnormal communication between intracranial dural sinuses and extracranial venous structures low flow vascular malformation Associations: blue-rubber-bleb nevus syndrome
35
Blue rubber bleb nevus syndrome
are sporadic syndrome characterized by multifocal venous anomalies. Patients often have multiple soft blue skin lesions (blueberry muffin syndrome) associated with multiple bowel venous malformations, which could lead to lower gastrointestinal bleeding.
36
Retroclival epidural hematoma
MVC Craniocervical junction related symptoms Disruption of tectorial membrane.
37
Retroclival subdural hematoma
Non accidental trauma + Subdural ehmatomas + REtinal hemorrhages + Thrombosed cortical veins
38
Chronic subdural hematoma vs prominent CSF spaces
The relationship between chronic subdural hematomas and subdural hygromas is complex and incompletely understood 7,8 it is almost certain that a significant number of collections diagnosed as chronic subdural hematomas represent chronic subdural hygromas MRI may be required to differentiate as they can have an identical appearance on CT but it should be noted that subdural hygromas often do not completely follow CSF on FLAIR * MEDIAL DISPLACEMENT OF BRIDIGN VEINS VS CORTICAL VEINS ADJACENT TO INNER TABLE * UNILATERAL/ASYMMETRIC VS SYMMETRIC/BILATERAL
39
1. Benign enlargement of the subarachnmoid space in infancy | 2. Subdural hygromas
1. BESSI: Children. Positive cortical vein sign. MCC macrocephaly. Resolves after 2 years.Isolated spontaneous bleeding. Frontal lobe subarachnoid spaces. Different from enlarged extraaxial spaces in prematurity (ECMO. stress). 2. Hygroma: Older. Negative cortical vein sign. Idiopathic/traumatic.
40
Neonatal hypoxic-ischemic brain injury before 28 weeks
Hydranencephaly and porencephaly, the immature brain is not able to react with gliosis Porencephaly: The cyst is lined by white matter Hydranencephaly is similar but more extensive (associated with Fowler syndrome). It is characterized by destruction of the cerebral hemispheres which are transformed into a membranous sac containing cerebrospinal fluid and the remnants of cortex and white matter
41
Neonatal hypoxic–ischemic brain injury 28-32 weeks
Periventricular-intraventricular hemorrhage (PIVH) origin in the subependymal germinal matrix, which is an extremely cellular area that gives rise to neurons and glia during gestation and involutes before the term. Choroid plexus can not extend beyond the caudothalamic groove. grade IV IVH represents parenchymal hemorrhage secondary to venous infarction caused by compression of deep terminal veins by an expanded ventricle filled with blood. 90% mortality. grade III extension into dilated ventricles ~20% mortality
42
Neonatal hypoxic–ischemic brain injury 32 to 36 weeks (pre or perinatal insult in preterm newborns)
Partial asphyxia results in periventricular leukomalacia (PVL) and subcortical leukomalacia (there is some overlap with PIVH). PVL is most common in premature neonates (less than 34 weeks gestational age with a median gestational age of 30 weeks) and <1500 grams at birth. PVL may manifest as cerebral palsy (>50% in the setting of cystic PVL), intellectual disability or visual disturbance. Bilateral coagulation necrosis with white matter loss, gliosis, and cavitated lesions adjacent to the external angles of lateral ventricles or diffuse white matter injury and hypomyelination. Both periventricular and subcortical leukomalacia are a continuous disease spectrum: vascular border zones shift towards the periphery as the brain further matures; for this reason, white matter lesions move from the periventricular to the subcortical zone. Profound asphyxia results in lesions of thalami, cerebellum, and brainstem. in contrast to term newborns, the basal ganglia and cortex are relatively spared due to later myelination compared with the thalami.
43
Neonatal hypoxic–ischemic brain injury term newborn
Acute profound asphyxia results in lesions in high-oxygen-demand areas, sometimes called the basal ganglia-thalamus pattern: * ventrolateral thalamus * posterior putamen * corticospinal tract from perirolandic cortex to posterior limb of internal capsule (including absent posterior limb sign) Prolonged partial asphyxia results in lesions of white and grey matter in a watershed distribution, sometimes called a peripheral, parasagittal, or borderzone pattern: * parieto-occipital and posterior temporal lobes are more often affected than frontal lobes * can lead to ulegyria, one of the leading causes of posterior cortex epilepsy
44
Screening Head US
< 32 weeks, <1500 g Sick premature By 32 weeks germinal matrix is only present in the caudothalamic groove.
45
Caudothalmic groove
46
Grading PVH
47
Currarino syndrome
congenital anomalies of the sacrum, anorectum and presacral soft tissues. * anorectal malformation or congenital anorectal stenosis * sacrococcygeal osseous defect (always present) - classically, hemisacrum with intact first sacral vertebra ("sickle-shaped sacrum") - mild (hypoplasia) to severe (agenesis) of sacrum and coccyx 6 * presacral mass (various types) - anterior sacral meningocele (most common) - tumor, e.g. mature teratoma (common) - dermoid/epidermoid cyst (rare) Mutation of the MNX1 (previously HLXB9) gene 6,7. The mutation is inherited in an autosomal dominant with reduced penetrance and variable expressivity
48
Goldenhar syndrome
oculo-auriculo-vertebral spectrum (OAVS) The condition is characterized by a number of features which include: ``` ear anomalies: commonest feature 4 pre-auricular appendages/tags otic hypoplasia hemifacial microsomia ocular anomalies unilateral microphthalmia/unilateral anophthalmia epibulbar dermoids transverse facial clefts asymmetry of skull and spinal anomalies 1 (vertebral segmentation errors) ```