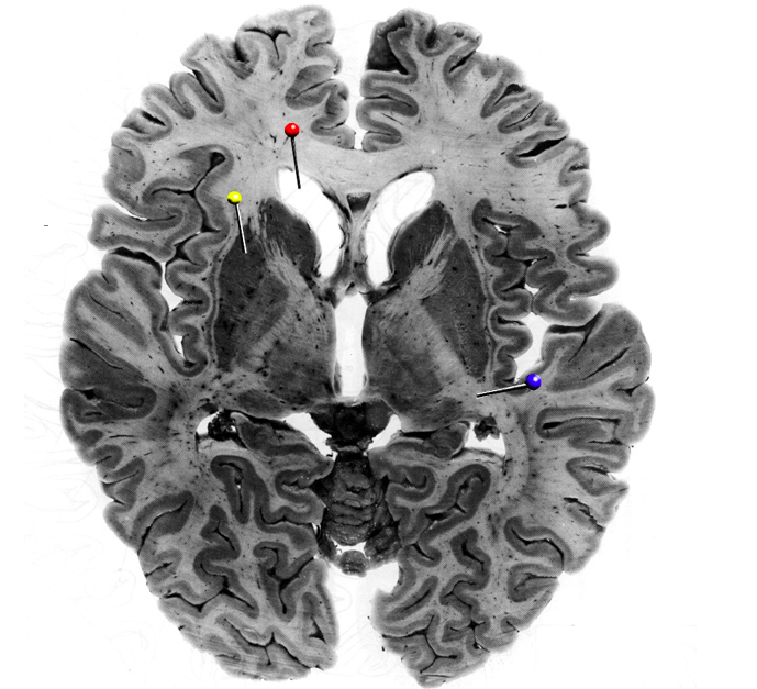
In the horizontal brain slice, the yellow pin is in the…

Putamen
This is a basal nuceleus; initiates voluntary movements and coordinates slow skeletal muscle contractions (e.g., posture and balance)
A patient has poor motor control on their right side and finds it difficult to articulate words. Where is the most likely location of the lesion?
Left pre-central gyrus and frontal lobe
A patient present with severe mood swings and changes in previously predictable behaviour. Which lobe is most likely to be damaged?
Frontal
A patient visits your clinic with what you suspect is a dilated third ventricle. Which deep structure is likely to be compressed?
Thalamus
General association cortex is responsible for:
integrating different types of information
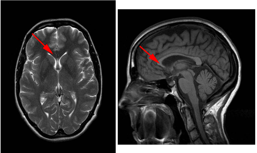
In these MRI (T1 weighted) images, the fibres making up the structure indicated by the red arrow are classified as:

Commissural
The area responsible for the production of words is typically located in the:
Left frontal lobe
The cortex around the calcarine sulcus is supplied with blood by:
Posterior cerebral artery
The frontal eye field is found on the:
a region located in the frontal cortex
The primary olfactory cortex is associated with the:
?
Which class of nerve fibres link regions within the same hemisphere?
Association
Which limb of the internal capsule is located lateral to the thalamus?
Posterior limb
Which structure runs parallel to the corpus callosum?
Cingulate gyrus
Which two pairs of cranial nerves originate outside the brainstem?
I and II
A patient is concerned with their hearing and sometimes fails to recognise familiar tastes. He is also unstable when he gets out of bed. If cranial nerves are responsible for these symptoms, where is the most likely location?
Cerebellopontine angle
The following section of the brainstem is typical of which level?

rostral medulla
The cranial nerve that emerges from the brainstem immediately lateral to the pyramid is
Hypoglossal
The left and right cerebellar hemispheres are separated by the:
Vermis
The main function of the cerebellum in relation to movement is:
Coordination
The picture shows a dissection of the mandibular region. Identify the corner of the mouth to orientate yourself.
The structure indicated by the red pin receives parasympathetic post-synaptic fibres via which nerve?

Parasympathetic innervation to the submandibular glands is provided by the superior salivatory nucleus via the chorda tympani, a branch of the facial nerve, that becomes part of the trigeminal nerve’s lingual nerve prior to synapsing on the submandibular ganglion.
When a patient is asked to protrude their tongue, the doctor notices it deviates to the left. Which cranial nerve is damaged?
Left hypoglossal
The lentiform nucleus is directly supplied via which artery?
Middle cerebral
The primary auditory cortex is associated with the:
Superior temporal gyrus
The superior temporal gyrus is supplied with blood by
the middle cerebral artery