AFL 9 Flashcards

(25 cards)

1
Q

A patient presents with reduced facial expression, slower than normal movements, slower than normal walking, and a resting tremor. This disorder can be directly linked to:

Loss of dopaminergic input to the neostriatum

Degeneration of neurons in the substantia nigra pars reticulata

Degeneration of the subthalamic nucleus

Loss of inhibitory input from the striatum to the globus pallidus

A

Loss of dopaminergic input to the neostriatum

How well did you know this?
1
Not at all
2
3
4
5
Perfectly
2
Q

A patient suffered a vascular accident. Upon scratching the plantar surface of her foot, the physician observed that the great toe dorsiflexed, and the remainder of her toes flared. The previous finding could be an idication of

An UMN lesion

A LMN lesion

A peripheral nerve lesion

An ipsilateral dorsal column lesion

A

An UMN lesion

How well did you know this?
1
Not at all
2
3
4
5
Perfectly
3
Q

All of the following have connections with the basal ganglia except:

Brainstem

Cortex

Spinal cord

Thalamus

A

Spinal cord

How well did you know this?
1
Not at all
2
3
4
5
Perfectly
4
Q

Anatomically, the subthalamic nucleus is part of the _______

diencephalon

mesencephalon

mylencephalon

telencephalon

A

diencephalon

How well did you know this?
1
Not at all
2
3
4
5
Perfectly
5
Q

During the “terminal stance” phase of the gait cycle, the heel starts to lift off the ground. Which two muscles lift the heel from the ground in this phase of the gait cycle?

Extensor digitorum

Gastrocnemius

Soleus

Tibialis anterior

A

NOT gastrocnemius

NOT tibialis anterior

How well did you know this?
1
Not at all
2
3
4
5
Perfectly
6
Q

Functionally, the globus pallidus _______ and the substantia nigra ______ act together.

externus; pars compacta

externus; pars reticulata

internus; pars compacta

internus; pars reticulata

A

Internus; pars reticulata

How well did you know this?
1
Not at all
2
3
4
5
Perfectly
7
Q

Functionally, which of the following structures are part of the basal ganglia? (select all that apply)

Neostriatum

Paleostriatum

Amygdala

Substantia nigra pars reticulata

A

Neostriatum

Paleostriatum

Substantia nigra pars reticulata

How well did you know this?
1
Not at all
2
3
4
5
Perfectly
8
Q

In a horizontal brain section, what is the correct order of structures from medial to lateral?

thalamus - internal capsule - putamen - globus pallidus

putamen - globus pallidus - internal capsule - thalamus

thalamus - internal capsule - globus pallidus - putamen

putamen - internal capsule - head of caudate -thalamus

A

thalamus - internal capsule - globus pallidus - putamen

How well did you know this?
1
Not at all
2
3
4
5
Perfectly
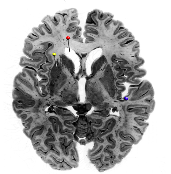
9
Q

In this horizontal brain slice, the yellow pin is in

the thalamus

the caudate nucleus

the putamen

the globus pallidus

A

putamen

How well did you know this?
1
Not at all
2
3
4
5
Perfectly
10
Q

Initiation of the direct pathway causes excitation of the cortex via the:

caudate

globus pallidus

putamen

thalamus

A

thalamus

How well did you know this?
1
Not at all
2
3
4
5
Perfectly
11
Q

Nigrostriatal fibres project to:

The caudate nucleus and globus pallidus

The caudate nucleus and lentiform nucleus

The putamen and caudate nucleus

The putamen and globus pallidus

A

The putamen and caudate nucleus

How well did you know this?
1
Not at all
2
3
4
5
Perfectly
12
Q

The indirect pathway involves an ______ of ______ of the globus pallidus externus from the striatum.

increase; disinhibition

increase; inhibition

decrease; disinhibition

decrease; inhibition

A

increase, inhibition

How well did you know this?
1
Not at all
2
3
4
5
Perfectly
13
Q

The lentiform nucleus is directly supplied via the:

Anterior cerebral

Internal carotid

Middle cerebral

Posterior cerebral

A

middle cerebral

How well did you know this?
1
Not at all
2
3
4
5
Perfectly
14
Q

The main function of the basal ganglia in relation to movement is:

initiation and control

reflex control

synergy

proprioception

A

initiation and control

How well did you know this?
1
Not at all
2
3
4
5
Perfectly
15
Q

The nuclei that form the corpus striatum are derived from the:

diencephalon

mesencephalon

myelencephalon

telencephalon

A

telencephalon

How well did you know this?
1
Not at all
2
3
4
5
Perfectly
16
Q

Which nucleus is not part of the basal ganglia?

Caudate

Globus pallidus

Putamen

Thalamus

17
Q

A person’s gait pattern can be affected by their: (select all that apply)

age

footwear

height

weight

A

age

footwear

height

weight

18
Q

Which of the following is considered a hypokinetic movement disorder?

Huntington’s disease

Parkinsons

Hemiballismus

Chorea

19
Q

Which of the following is true about muscle spindles and golgi tendon organs?

Are osmoreceptors

Transmit proprioceptive information

Transmit vibration information

Are chemoreceptors

A

Transmit proprioceptive information

20
Q

Which of the following is true about the caudate nucleus and the putamen?

Together are classified as the lentiform nucleus

Together are classified as the neostriatum

act as the efferent nuclei of the basal ganglia

neurons projecting from these structures are always excitatory

A

Together are classified as the neostriatum

21
Q

Which of the following is true regarding the golgi tendon organ?

Lies in parallel to the muscle fibres

Give rise to 1b afferent fibres

Detect changes in muscle length

Is a chemoreceptor

A

Give rise to 1b afferent fibres

22
Q

Which of the following is true regarding the inverse myotactic stretch reflex?

there is indirect excitation of the agonist muscle

there is indirect inhibition of the agonist muscle

there is direct inhibition of the agonist muscle

there is direct excitation of the antagonist muscle

A

there is indirect inhibition of the agonist muscle

23
Q

Which of the following is true regarding the myotactic stretch reflex?

there is indirect excitation of the agonist muscle

there is direct inhibition of the antagonist muscle

there is direct inhibition of the agonist muscle

there is indirect inhibition of the antagonist muscle

A

there is indirect inhibition of the antagonist muscle

24
Q

Which one of the following muscle groups limits pelvic drop towards the swing side during walking?

Abductors of the stance side

Abductors of the swing side

Adductors of the stance side

Adductors of the swing side

A

NOT Abductors of the swing side

25
Which of the following signs and symptoms are characteristic of an UMN lesion? (select all that apply) Brisk reflexes Spasticity Inability to perform fine motor tasks Fasciculations