all patho Flashcards

(177 cards)

1
Q

quels sont les médiateurs locaux?

A

PréFORMÉ:

histamine, enzyme lysosomiales

synthétisé:

prostaglandine, leucotriène,PAF,NO, cytokines

How well did you know this?
1
Not at all
2
3
4
5
Perfectly
2
Q

caractéristique de l’inflammation fibrineuse + prototype

A

exsudt riche en fibrine en raison d’un stimulant pro-coagulation

prototype = péricardite

How well did you know this?
1
Not at all
2
3
4
5
Perfectly
3
Q

3 caracctéristique pour que cicatrice se produise

(prend 1 des 3 ?)

A
  1. cellule permanente
  2. pas de cellule souche
  3. tissu de soutien lésé
How well did you know this?
1
Not at all
2
3
4
5
Perfectly
4
Q

si la charge de travail est trop élevé, le muscle cardiaque vas’épaissir car le nombre de cardiomyocyte va augmenter par hyperplasie

A

faux

cardiomyocyte incapable d’hyperplasie

par contre, vont s’Atrophier , ce qui va faire grossir muscle

How well did you know this?
1
Not at all
2
3
4
5
Perfectly
5
Q

un organe a une demande diminué ou ses nutriments sont diminué, quel adaptation?

A

atrophie

How well did you know this?
1
Not at all
2
3
4
5
Perfectly
6
Q

quels sont les causes de l’Atrophie?

A
  1. Diminution de la charge de travail
  2. diminution apport sanguin
  3. mauvaise nutrition
  4. perte innervation
  5. atrophie par compression
  6. diminution de la stimulation endocrine

ceniac

How well did you know this?
1
Not at all
2
3
4
5
Perfectly
7
Q

en quoi l’Altération de la membrane est utile dans diagnostique ( dans les mécanismes du dommage cellulaire)

A

parce que ca entraine libération de substances dans le sang qui peuvent ensuite être dosé

How well did you know this?
1
Not at all
2
3
4
5
Perfectly
8
Q

dans le vieillissement , pourquoi la reproduction cellulaire diminue?

A

en partie en raison télomère / télomérase

télomère sont petite protection au bout des chromosome qui diminue de division en division

télomérase regénére télomère mais yen a juste dans germinale et cellules souche

How well did you know this?
1
Not at all
2
3
4
5
Perfectly
9
Q

quels sont les 5 effets systémique de l’inflammation

A
  • fièvre
  • augmentation protéine plasmatique de phase aigue
  • leucocytose
  • tachychardie/somnolence / plein de shit
  • choc septique ( en raison d’Hypotension severe)
How well did you know this?
1
Not at all
2
3
4
5
Perfectly
10
Q
A
How well did you know this?
1
Not at all
2
3
4
5
Perfectly
11
Q

c’est quoi qui diffférencie cause hyperplasie physiologique vs pathologique?

A

pathologie= facteur de croissance ou hormone secrété de facon exagéré ou inapproprié

How well did you know this?
1
Not at all
2
3
4
5
Perfectly
12
Q

4 composantes de la pathologie?

A

étyologie(cause)

pathogenese(mécanisme

changements morphologiques

signes clinique

How well did you know this?
1
Not at all
2
3
4
5
Perfectly
13
Q

v/f la phagocytose des corps apoptotique implique aucune réaction inflammatoire

A

vrai et important

How well did you know this?
1
Not at all
2
3
4
5
Perfectly
14
Q

pour qu’Il y aie regénération ca prend quoi??

A
  1. Retour à la perméabilité normale
  2. resorbation du liquide inflammatoire par vaisseaux lymphatiques
  3. resorbation liquide + protéines par pinocytose
  4. phagocytose des neutrophiles apoptotiques
  5. phagocytose des tissus nécrotiques
  6. macrophages partent
How well did you know this?
1
Not at all
2
3
4
5
Perfectly
15
Q

Donne des complications du processus de cicatrisation,

A
  • chéloides
  • rupture de la plaire
  • contracture/déformation
How well did you know this?
1
Not at all
2
3
4
5
Perfectly
16
Q

caractéristique nécrose caséeuse

A

aspect caséeux ( blanc) causé par mycobactéries

+ réaction granulomateuse nécrosante!!!!

How well did you know this?
1
Not at all
2
3
4
5
Perfectly
17
Q

la sarcoidose entraine une inflammatioN chronique de quel type eet quelle morphologie du granulome?

A

immun

non nécrosant

How well did you know this?
1
Not at all
2
3
4
5
Perfectly
18
Q

DOnne explication des 4 signes cardinaux de l’inflammation clinique

A
How well did you know this?
1
Not at all
2
3
4
5
Perfectly
19
Q

) v/f)après une inflammation aiguee, cela peut enclencher un processus de résolution qui , par la cicatrice/fibrose, permet un retour à la normale

A

FAUXXX

par de cicatrice/fibroe dans la résolution

bien faire la différence entre résolution réparation et regénération

How well did you know this?
1
Not at all
2
3
4
5
Perfectly
20
Q

quel facteurs systémiques peuvent affecter le processus de cicatrisation

A

diabète

nutrition

prise de corticostéroiide

How well did you know this?
1
Not at all
2
3
4
5
Perfectly
21
Q

quel processus de réparation permet de revenir au tissu normal?

A

regénération

How well did you know this?
1
Not at all
2
3
4
5
Perfectly
22
Q

type adaptation cellulaire?

A

hypertrophie

How well did you know this?
1
Not at all
2
3
4
5
Perfectly
23
Q

la goutte est une inflammatioN chronique de quel type eet quelle morphologie du granulome?

A

granulome de type corps étranger

non-nécrosant

How well did you know this?
1
Not at all
2
3
4
5
Perfectly
24
Q

caractéristique de la nécrose de coagulation

A

les cellules maintiennent leur forme longtemps car peu de lysosome

se dégradent plus tard par les cellules inflammatoires!!

How well did you know this?
1
Not at all
2
3
4
5
Perfectly
25
la MEC est constitué de deux matrices matrices interstitielles et matrice basale de quoi sont fait principalement ces matrics?
matrice interstitielle: Protéine structurale ( COLLAGÈNE) glycoprotéine d'adhésion ( fibronectine) ... matrice basale protéine structurale ( collagène) glycoprotéine d'adhésion ( laminine )
26
nécrose?
graisseuse
27
l'ubiquitine fait quoi? dans quelle adaptation?
c'est dans l'Atrophie l'ubiquitine se lie aux protéine sénescente ou dénaturé et agit comme COFACTEUR dans la protéolyse
28
dans l'exsudat inflammatoire, la fibrine sert à quoi?
emprisonner les bactérie et supporter les leucocytes
29
médiateurs locaux sont produit et agissent ou?
* produit ET sgisent localement *
30
le facteur 12 de HAgement déclenche de la coagulation, ca implique quoi?
formation de fibrinogène ( solubles ) et fibrine (insoluble) qui emprisonne les bactérie et sert de matrice à l'adhésion des leucocytes
31
l'accumulation des ROS est causé par une augmentation de la synthèse de ceux-ci uniquement
faux, il a un mécanisme qui les dégrade donc si lui chie peut jouer aussi
32
une plaie a des levres plutot rapproché et il ne semble pas avoir trop de nécrose, quel type de cicatrisation va se produire?
cicatrisation par première intention
33
quels sont les principaux médiateurs systémiques?
protéines plasmatique en gros
34
dans diminution de l'homéostasie protéique dans vieillissement , ca arrive pourquoi?
diminution protéase pour prots qui chie diminution chaperonnes tout ca mene à accumulation de prots--) mène à apoptose
35
Donne deux types d'hyperplasie physiologique + exemples
hyperplasie fonctionnelle--)grossese, embryogénèse, sein pour lactation hyperplasie compensatoire---) hépatectomie
36
la nécrose physiologique survient en cas d'activité immune ouu un tissu est considéré comme du non soi
pas rapport nécrose = toujoursssss pathologique
37
c'est quoi l'Apoptose en gros?
mécanisme de défense programmé dans lequel la cellule active un système enzymatique qui dégrade son ADN et ses protéines nucléaire et cytoplasmique
38
donne étapes de la morphologie de l'apoptose
1. rétrécissement de la cellule 2. condensation des chromatine 3. formation de bulles cytoplasmiques et de corps apoptotiques 4. phagocytose des corps apoptotiques membrane non touché :)
39
causes du dommage cellulaire?
1. Diminution de l'Apport en O2 2. agent physique 3. agent infectieux 4. agent chimique 5. problème nutritionnels 6. réaction immune 7. altération génétique gincipo
40
quelle adaptation cellulaire implique un changement dans la différenciation des cellules?
la métaplasie
41
caract.ristique de la nécrose hémorragique
* aurvient suite à occlusion VEINEUSE ( artérielle pour coagulation) * Hémorragie daans les tissus nécrosé!! * survient souvent suite à torsion * pas d'inflammation!!!
42
la cascade des kinines est déclenché par quoi et implique quoi?
par le facteur 12 de HAgeman implique la formation de Bradykinine et de plasmine par les kinines plasmine= rôle fin=brinolytique ( détruire fibrine) donc de régulation la bradykinine = * vasodilatation * perm vasc * douleur * contraction muscle lisse
43
quelle morphologie du granulome?
granulome non-nécrosant ( juste une cellule géante)
44
inflammation chronique ou aiguee?
aigueee dure a voir mais polynucléaire neutrophile circulation sanguine ) vasodilat and shit?
45
quel type de cicatrisation se produira en cas de bcp de nécrose
cicatrisation par seconde intension
46
type adaptation cellulaire?
hypertrophie
47
entraine une inflammatioN chronique de quel type eet quelle morphologie du granulome?
c'est la goutte granulome type corps étranger non nécrosant
48
nomme les principaux changements morphologiques observé dans le cas de nécrose
hyperéosinéphilie ( devient rose) pycnose ( rétrécissment) karryorrhexie: fragmentation karryolyse ( disparition pyc plus 2 kar sont des CHMTS NUCLÉAIRES
49
la margination et roulement implique quels protéines qui se retrouvent ou?
LES SÉLÉCTINES qui sont habituellement pas très présent mais qui la y'en a plein sur les **_parois endothéliales_**
50
la maladie de chrohn entraine une inflammatioN chronique de quel type eet quelle morphologie du granulome?
immun non nécrosant
51
la voie classique d'activation des macrophage fait quoi?
52
augmentation du Ca2+ chie quoi?
1. augmentation Activité enzymatique----) 2. AUGM PERMÉABILITÉ MITOCHONDRIE 3. augm perméabilité membrane en gros, chie la membrane9 ( PHOSPHOLIPASE/ protéase), chie le noyau( endonucléase), chie l'ATP ( mito + ATPase)
53
l'adhésion et agrégation est possible grace a quoi?
Les **_INTÉGRINES des leucocytes_** se lient avec VCAM + ICAM
54
effet du facteur activation plaquettaire ( PAF)
1. agrégation+ stimulation plaquettaire ( pas inflammatoire) 2. CHIMIOTAXIE et adhésion leucocyte 3. vasodilat + perm
55
56
donne un exemple de regénération
chapitre 5 cours 3 regénération post hepatectomie ( foie coupé)
57
mettons que tu sais que cellule au milieu sont polynucléaire quel patron morphologique?
purrulente
58
cellule souche embryonnaire donne caractéristiques
* arrive au stade de blastocyte * cellule les moins différencier * peuvent se différencier en tout * capacité renouvellement illimité on les appelle totipotentielles
59
un patient vient vous voir avec des signes clinique d'inflammation qui parasse vrm.. probablement chronique ou aiguee
aiguee
60
l'histoplasmose entraine une inflammatioN chronique de quel type eet quelle morphologie du granulome?
immun nécrosant
61
l'histamine fait quoi?
vasodilatation et perméabilité vasculaire
62
quesqui peut influencer l'activité des mitochondries?
* RAdiation * toxines * diminution apport en 02 affecte ert entraines avec/reste ce qui mène à la nécrose!!!! - anti-apop +pro-apopt ---) apoptose
63
comment que les cellules grossisent dans hypertrophie?
plus grande synthèse de protéine structurale et fonctionnelle ( de métabolite aussi?)
64
un patint arrive avec un infarctus cérébral quel type de nécrose
nécrose de liquéfaction
65
c'est quoi l'Autophagie , on retrouve quand?
autophagie est un mécanisme de l'Atrophie c'est la destructions des organites dans la cellule ce qui diminue la taille de la cellule
66
ATP,Mitochondries,ca2+,ROS,permembrane,ADN chgmts morphologiques ou fonctionnels?
fonctionnels
67
on fait une ponction de liquide et cela donne du liquide avec peu de protéine plasmatique et cellule inflammatoire. Ca veut dire quoi?
on a ponctionner un transsudat ATTENTION peut etre quand meme dans inflammation car transsudat dans inflammation au début en raison de la **_vasodilatation_** qui est augmenté ce qui augmente pression hydrostatique
68
le TGF - *B* influence quoi principalement?
dans la voie d'activation alternative des macrophages, stimule les fibroblaste et la réparation en plus d'inhiber l'inflammation
69
un patient arrive avec une tuberculose pulmonaire, quel type de nécrose?
caséuse tuberculose = inflammation granulomateuse nécrosante
70
la 12-lypoxygénase métabolise l'acide arachidonique en quoi.. plus effet?
en lipoxine (LX) qui inhibe la réaction inflammatoire
71
quel type d'Adaptation cellulaire?
hyperplasie
72
Le NO fait quoi?
* inhibe l'inflammation * agent bactéricide
73
caractéristiques des médiateurs systémiques?
* produit au FOIE * circule dans le sang et agissent localement et systématiquement
74
quel protéine de la mec encourage la prolifération cellulaire et comment?
FIBRoNECTINE en se liant aux intégrines, envoie signal de prolifération
75
un dommage aux mitochondrie entraine quoi
* diminution ATP * Accumulation de radicaux libresà * protéines--) apoptose (avec/reste)
76
quel adaptation?
77
accumulation de ROS bad pk?
* ADN dommage * membrane dommage * protéine chie
78
quelle morphologie du granulome ?
granulome nécrosant
79
quels sont les 4 patrons morphologiques de l'inflammation?
1. inflammation séreuse 2. inflammation fibrineuse 3. inflammation purulentte/suppurative 4. ulcère
80
quel patron morphologique de l'inflammation aigue?
blanc = sérosité c'est une inflammation séreuse ( on voit un plyctène)
81
qu'esqui cause hyperplasie?
facteur de croissance( prolifération cellulaire :) ) ou hormone secrété en réponse à un stimulus
82
( V/F) la force de tension d'une plaieaugmente progressivement mais lentement, cela peut prendre plusieur mois avant qu'elle retrouve la tension initiale
la force de tension d'une plaie plafonne à 70/80 % de la normale
83
quels sont les types morphologiques de nécrose ?
coagulation caséuse liquéfaction hémorragie fibrinoide graisseuse
84
un patient arrive avec gangrène du pied droit, quel type de nécrose?
nécrose de coagulation
85
explique relation macrophage monocyte histiocyte
macrophage = monocyte activé au site inflammatoire genre monocyte= se promène dans le sang histiocyte= macrophage résident ( déjà là)
86
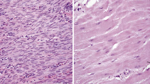
quelle est la majeure différence entre un tissu de granulation et une cicatrice
un tissu de granulation a fullllll vaisseaux ( en raison angiogénèse) et peu de collagène cicatrice a fulllllll collagène et peu de vaisseaux
87
le facteur d'Activation plaquettaire est produit par qui principalement?
mastocyte principalement basophile aussi
88
quels cellules libère l'histamine et comment ?
SURTOUT mastocytes, basophiles plaquettes libéré par dégranulation (en raison dommage physique, complément, anticorps)
89
quelles cellules peuvent s'hyperplasier + hypertrophier
labile et stable permanente= juste hypertrophie
90
quels sont les 3 événements qui surviennent dans l'inflammation chronique
1: inflammation active 2: destruction tissulaire 3 : tentative de réparation
91
nécrose?
graisseuse
92
lors de la cicatrisation, comment la plaie se contracte?
en raison des myofibroblastes qui se contract4e **pendant formation du tissu de granulation**
93
un patient se présente avec une torsion testiculaire quel type de nécrose?
hémorragique
94
nécrose?
liquéfaction ( bcp digestion enzymatique)
95
quel patron morphologique de l'inflammation?
fibrineuse ( on voit prototype = péricardite)
96
involution ou atrophie?
atrophie
97
donne prototype de nécrose de coagulation
infarctus du myocarde
98
les PG sont métabolisé par quoi etc'est quoi leur effet?
par les COX 1 et 2 effet vasculaire: perm + vaso effet systémiue : fièvre+ douleur ( thas why antiinflammatoire non stéroidien))
99
les mécanismes biochimiques du dommage cellulaire
u know the acronyme AMCRPA 1. ATP descend 2. Mitochondrie dommage 3. Ca2+ s'Accumule 4. radicaux libres 5. Perméabilité des membrane 6. Adn dommage et synthèse protéique
100
caractéristiques de la nécrose graisseuse
* nécrose causé par digestion des lipases * aspect crayeux * parfois dépots de calcium ( saponification)
101
les facteurs de croissance servent à quoi?
SURTOUT **prolifération cellulaire** mais aussi * locomotion des cellules * angiogénèse * contractilité * différenciation des cellules
102
nécrose?
fibrinoide accumu dans vaisseau))((
103
IL-13 et IL-4 influence quoi pour les macrophages
ils activent la voie d'Activation alternative des macrophages . cela permet d'encourager la réparation et d'inhiber l'inflammation
104
3 caractéristiques nécessaire pour que regénération soit possible
1. soit cellule labile ou stable 2. présence de cellule souche 3. tissu de soutien pas trop maganer
105
nécrose vs apoptose taille cellulaire noyau membrane cytoplasmique inflammation adjacente Rôle
106
les dommages cellulaires se manifestent par quel changements? grandes lignes laaa
au début----) chgmt fonctionnels then---) changement morphologiques
107
situations pathologiques dans lesquels l'apoptose survient?
RAPID * Atrophie post-obstruction * protéine mal replié qui s'Accumule * infections virales * Rejet cellulaire du greffon * DOmmage irréversible à l'ADN ( on le sait dans mécanisme)
108
pour quelle raison ( comment) la perméabilité vasculaire peut changer
1. par rétraction des cellules endothéliale ex: avec de l'histamine 2. en raison dommage cellulaire
109
des cellules sont sous l'effet d'un irritant chronique, quel adaptation?
hyperplasie
110
la nécrose de liquéfaction caractéristique ?
aspect liquéfié en raison de grosse digestion enzymatique ( bcp lysosomes)
111
Prototype de cicatrisation?
infarctus myocarde ( cardiomyocyte se regen pas)
112
explique asymétrie vs symétrie dans division cellulaire
symétrie = 1 cellule se divise et donne 2 cellule pareil que la première ( permet embryogenese ou lors chimiothérapie) asymétrie= 1 cellule mère divisé donne 1 cellule pareil que mère et une cellule différencié
113
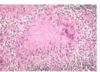
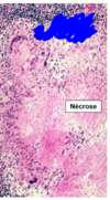
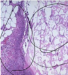
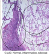
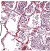
cette série de photo montre inflammation aigue qui a évolué commment
inflammation aigue---) abces---) cicatrice/fibrose
114
quel adaptation cellulaire?
métaplasie probablement en raison d'agressions chroniques
115
v/f chez un fumeur, les cellules épithélials bronchique en contact avec la fumeur se transforme en cellule équivalente avec le derme ( métaplasie)
mal posé mais faux les cellules en contact avec l'Agresseur ne change pas PAR CONTRE, différenciation des cellules souches change
116
quesqui agit sur le vieillissement des cellules
* dommage à l'Adn * diminution de la reporduction cellulaire * homéostasie protéique chie augmente vieillissement dérangement de la sensibilité aux nutriments = diminue vieillissement!
117
quel est le mécanisme de l'Involution?
l'Apoptose
118
les neuropeptides ont quels effets?
* douleur * tonus vasculaire * perméabilité vasculaire
119
un patient se présente avec polyarthrite noueuse quel type de nécrose?
fibrinoiide (dans les vaisseaux)
120
dans les mécanismes du dommage cellulaire, pourquoi l'Atp pourrait diminuer?
* en raison de dommage aux mitochondries, * de toxines, * hypoxie/anoxie
121
la voie classique des macrophages se fait activer par quoi?
Microbes et IFN -y
122
différencie calcification distrophique vs métastasique
distrophique: accumulation de Ca dans un tissu NÉCROSÉ avec calcémie normale et métabolisme calcium noramle MÉTASTASIQUE: dans tissu normal avec hypercalcémie!!
123
DÉCrit la chaine détape de la phagocytose ( 3 grosse catégories + explications)
peut se diviser en ttrois grosse catégories 1. Reconnaissance et attachement 2. engloutissement 3. mise à mort et dégradation en gros, engloutissement = formation de phagosome---) phagolysosome et NO et ROS tuent
124
c'est quoi le mécanisme de l'Apoptose? ( genre les deux étapes)
ACTIVstion des caspases initiatrices-- par mitochondire ( intrinsèque) ou par récepteurs membranaux( FAS ou TNF) ( extrinsèque) activation des caspases executrices --entraine mort cellulaire en agissant sur noyau et cytosquelette
125
pour quelles raisons les mitochondries entraineraient l'apoptose?
diminution facteur anti-apoptique et augmentation des pro-apoptotique
126
DOnne deux grandes utilités de la MEC
1. séquestre l'eau ce qui fait gonfler les cellules et permet de garder minéraux ( comme calcium pour os) 2. elle a des **_FIBRONECTINES_** qui se lie aux intégrines ce qui donne signal au noyau de faire de la prolifération cellulaire
127
quels sont les raisons de l'Accumulation intracellulaire?
1. métabolisme anormale 2. transport/ structure protéine chie 3. enxyme absente ou non fonctionnelle 4. substance exogène indigestible
128
inflammation suppurative caractéristique + prototype
exsudat riche en neutrophile avec liquéfaction abcès = inflammation purulente localisé prot: pneumonie abcédé
129
on dit que l'accumulation de ROS détruit membrane, pourquoi?
péroxydation des lipides
130
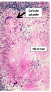
de quelles cellule sont formé les cellules géantes? elle suggère quel sorte d'inflammation?
ce sont des histiocytes cellules géante = inflammation CHRONIQUE de type granulomateuse
131
c'est quoi la réparation?
processus qui permet remplacer les cellules endommager et de restaurer, si possible, la structure et fonction du tissu après inflammation comprend LAREGÉNÉRATION LA CICATRICE
132
quels sont les cellules impliqué dans l'INflammation chronique
cellules mononuclées 1. monocyte/histiocyte/macrophages 2. lymphocyte/plasmocyte 3. éosinophile 4. mastocytes
133
quel famille de peptides influence fortement la prolifération cellulaire et l'angiogénèse? mode de signalisation?
FACTEUR DE CROISSANCE peuvent être autocrine, paracrine, endocrine
134
nécrose?
caséeuse
135
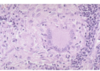
avec ceux vu en classe take a guess sur c'est quoi qui s'est pawssé chronique de quel type eet quelle morphologie du granulome?
tuberculose ou histoplasmose car il y a nécrose!! c'est type immun c'est tuberculose car une histoplasmose ressemblerait à ca
136
Le NO est produit par qui?
* cellules endothéliale * macrophages
137
type adaptation cellulaire?
hypertrophie
138
quesqui cause l'Activation du facteur XII de hageman? sans développer
* Cascade des kinines * coagulation
139
Donne 3 rôles des macrophages
1. phagocyte des tissu nécrotique et microbe ( agent agresseur) 2. activer les autres cellules surtout lympho b 3. initier processus de réparation ( angiogénèse / fibrose) 4. ( que je rajouterais sur diapo) inhiber le processus inflammatoire
140
définition homéostasie just for fun
processus de régulation par lequel les cellules maintiennent de la constance dans leur structure et fonction dans des limites physiologiques
141
un dommage à l'ADN ou/et synthèse de protéine entraine quoi?
APOPTOSE
142
un patient se présente avrec une cytostéatonécrose, quel type de nécrose?
graisseuse
143
donne deux cytokines principales
TNF( facteur de nécrose tumorale) interleukine-1 ( IL-1)
144
quel type de nécrose? on voit quoi?
nécrose de coagulation prototype= infarctus du myocarde
145
les leucotriène sont métabolisé par quoi et leurs effet?
5-lypoxygénase effet vasculaire--) perméabilité vasculaire effet systémique: bronchoconstriction
146
dans le remodelage quels enzymes sont impliqués et servent à quoi?
* les métalloprotéinase matricielles ( MMPs) qui font dégradation de la MEC * inhibiteurs des MMPS ( TIMPs) donc qui régule dégradation c'est dans la cicatrisation
147
si un organe accumule les lipofuschine why?
Car ces cellules s'Atrophient en effet , autophagie entraine l'Accumulation de corps résiduelles ( lipofuschine)
148
dans le dommage cellulaire, cell function decrases....au final , on voit des changements morphologiques apparaitre. quesqui arrive avant les changements morphologiques?
tout les agressions cellulaires se manifestent d'Abord au niveau MOléculaire et biochimique
149
cellule souche tissulaire caractéristiques
* capacité de différenciation limité * présent plus endroits dans **niches** * permette remplacer cellule morte ou lésé
150
qui synthétise les cytokines?
lymphocyte macrophages cellules dendritiques
151
pourquoi que la cicatrice contient peu de capillaires?
le full de capillaire dans tissu de granulation regresse progressivement et les capillaires acquierent des muscles et deviennent artérioles et veinules la plaie se rétracte aussi ( pas rapport ac la question)
152
la tuberculose entraine une inflammatioN chronique de quel type eet quelle morphologie du granulome?
type immun nécrosant
153
quel adaptation
involution
154
dans les mécanismes du dommage cellulaire, c'est quoi les principales raison d'altération de la perméabilité de la membrane
* diminution de l'Atp * ROS * Ca2+
155
dans la margination et roulement qu''esqui permet à la paroi de ralentir les leucocytes?
sélécttine + glycoprotéines
156
la quantité de cellule est déterminé par quoi( 4 trucs)
* prolifération cellulaire * différenciation cellulaire * apoptose * activité des cellules souche
157
les sutures dans la chirurgie entraine une inflammatioN chronique de quel type eet quelle morphologie du granulome?
type corps étranger non-nécrosant
158
nécrose?
caséuse car granulomateuse nécrosante ( cellule géante
159
nécrose?
hemmorragique pas d'inflammation;)
160
Dans le processus de cicatrisation, le remodelage implique quoi? comment qu'Il se produit
le passage d'un tissu de granulation a un tissu fibreux ( cicatrice) il se produit car l'équilibre entre synthèse et dégradation mec est changé
161
quels sont les deux mécanismes de l'atrophie?
* autophagie * complexe ubiquitine-protéase
162
quel patron morphologique et quel est le prototype de ce patron?
ulcère ( cratère formé en raison perte de tissu nécrotique) prot: ulcère duodénal
163
situations physiologiques dans lesquelles l'apoptose survient
FICET * fin de la réponse immune normale * involution hormono-dépendante(cycle menstruel) * controle de la prolifération cellulaire * embryogénése * tolérance immunitaire( élimination lymphocyte auto-réactifs)
164
v/f un retrouve du transsudat au début de l'inflammation car la perméabilité vasculaire est augmentée
faux on en retrouve mais c'est en raison de vasodilation = + flot sanguin= plus Phydrostatique
165
caractéristique de l'inflammation séreuse + prototype
exsudat pauvre en cellules inflammatoires prot: phlyctène cutané du a une brulure( ampoule )
166
dans les mécanismes du dommage cellulaire, ca fait quoi une diminution en atp?
* chie pompe na/k * chie métabolisme énergétique * synthèse de protéine * noyau ( chromatine se condense en raison pH augmente!!) * membrane cellulaire et des organites
167
les complément sont produit ouu?
produit au foie ( comme facteur de hageman)
168
Dans le processus de cicatrisation, quel tissu précède la cicatrice
le tissu de granulation
169
dans les mécanismes de dommage cellulaire, une augmentation de la perméabilité membranaire entraine quoi?
* perte de composantes cellulaire * SURTOUT bad lorsque touche lysosomes------) digestion enzymatiques de composantes cellulaire
170
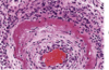
nécrose fibrinoiide caractéristiques
* nécrose de la PAROI DES VAISSEUX * dépot dde protéine--) thrombose---)anoxie/ischémie/nécrose *
171
si la réaction inflammatoire est de faible intensité, quels sont les cellules qui vont s'occuper de la job à eux seul?
neutrophiles
172
quelle famille de protéine permet la diapédèse?
PECAM-1
173
à part l'inflammation aigue, quels sont les principales causes de L'inflammation chronique
1. infection persistante 2. exposition prolongé à des produit toxiques 3. activation excessive ou inapproprié du stystème immunitère
174
un patient présente des taux de lipase et d'amylase élevé, quel typee de nécrose?
nécrose graisseuse
175
pourquoi la quantité de médiateurs chimique est si bien controlé?
durée de vie courte et sont nocif pour la santé donc full utile mais bien lles utiliser
176
quel type de nécrose?
coagulation on voit une progression temps---) bonne chance coagu
177