patho1 Flashcards

(16 cards)

1
Q

Après la naissance de son premier enfant, une femme de 22 ans l’allaite pour une période d’environ un an. Lequel des mécanismes suivants est survenu au niveau du sein de la patiente durant sa grossesse permettant ainsi l’allaitement

A

hyperplasies des cellules épithélial lobules mammaires

How well did you know this?
1
Not at all
2
3
4
5
Perfectly
2
Q

Identifiez les adaptations cellulaires parmi les items suivants. 1. Apoptose. 2. Hyperplasie. 3. Involution. 4. Autophagie. 5. Nécrose. Les items 1, 2, 3, 4 et 5 sont tous des adaptations cellulaires. Aucun des items 1, 2, 3, 4 ou 5 n’est une adaptation cellulaire. Seuls les items 1 et 3 sont des adaptations cellulaires. Seuls les items 2 et 3 sont des adaptations cellulaires. Seul l’item 2 est une adaptation cellulaire.

A

réponse?

How well did you know this?
1
Not at all
2
3
4
5
Perfectly
3
Q

cult perso un peu

C’est quoi la pathologie?

A

science qui étudie les Modifications

  • structurale
  • biochimique
  • fonctionelle

dans les cellules tissus et organes et qui sous-tendent à la maladie

How well did you know this?
1
Not at all
2
3
4
5
Perfectly
4
Q

énumère les différentes composantes de la patho

A
  • l’étiologie ( CAUSE)
  • pathogénèse (mécanisme)
  • changements morphologique
  • Manifestation clinique ( signe et symptome)
How well did you know this?
1
Not at all
2
3
4
5
Perfectly
5
Q

quel sont les deux grande cause de la patho

A

génétique

acquis( infection,drogue,…

How well did you know this?
1
Not at all
2
3
4
5
Perfectly
6
Q

c’est quoi la pathogénèse

A

en gros,

comment la cause aboutit à la maladie

How well did you know this?
1
Not at all
2
3
4
5
Perfectly
7
Q

différence entre adaptation et homéostasie

A

homéo:

processus de régulation qui permet à la cellule

de maintenir de la stabilité dans leur structure et fonction dans des l_imites physiologiques normale_

adaptation: phénomène réversible

qui consiste en la r_éponse_ des cellules au changement d’environnement

How well did you know this?
1
Not at all
2
3
4
5
Perfectly
8
Q

v/f

lorsque la cellule n’est pas capable de s’adapter (à court terme), la cellule encaisse des dommages irréversible

A

FAUX

How well did you know this?
1
Not at all
2
3
4
5
Perfectly
9
Q

en cas d’irritation (chimique ou physique), quel adaptation cellulaire est le plus probable d’arriver

A

Métaplasie

How well did you know this?
1
Not at all
2
3
4
5
Perfectly
10
Q

v/f

tous les cellules peuvent s’hypertrophié

A

vrai

pas tous les cellules peuvent hyperplasie tho

(neurone…)

How well did you know this?
1
Not at all
2
3
4
5
Perfectly
11
Q

v/f

l’hyperplasie d’un muscle fait augmenter son volume

A

pas se faire piéger

vrai

le muscle va grossir mais c’est le nombre de cellules musculaires qui va augmenter pas la grosseur des cellules

How well did you know this?
1
Not at all
2
3
4
5
Perfectly
12
Q

deux sortes d’hyperplasies + un exemple

( physiologique)

A

hyperplasie hormonale (glande mammaires durant grossesse))))

hyperplasie compensatoire( don de foie )

How well did you know this?
1
Not at all
2
3
4
5
Perfectly
13
Q

dans la pluaprt des cas , comment qu’on arrive à une hyperplasie pathologique

A

majorité= hormone ou facteur de croissance sont soit exagéré en nombre ou inaproprié

How well did you know this?
1
Not at all
2
3
4
5
Perfectly
14
Q

quel sont les deux type de cellules capable d’hyperplasie

décrit type

donne exemples

A

Labile: besoin de constante regénération

(ex: épiderme, tube digestif, arbre respiratoire)

stable :

cellules qui ne sont pas tout le temps en regénération , mais qui peuvent être lorsqu’il y a un besoin

(cellules du foie(hépatocytes))

How well did you know this?
1
Not at all
2
3
4
5
Perfectly
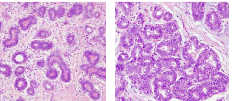
15
Q

quel adaptation de la cellule?

normal=gauche

A

hyperplasie

How well did you know this?
1
Not at all
2
3
4
5
Perfectly
16
Q

c’est quoi hypertrophie

A

cellule augmente nombre d’organites ce qui fait augmenter le volume