thème 5 cours 2 Flashcards

rendu diapo 26 (26 cards)

1
Q

l’inflammation aigue¨¨ peut évoluer en quoi?

A

RÉSOLUTION

CICATRICE / FIBROSE

(peut aussi former abcès then fibrose)

inflammation chronique

How well did you know this?
1
Not at all
2
3
4
5
Perfectly
2
Q

Dans quelle évolution de l’inflammation aiguee, les cellules inflammatoires et médiateurs sont éléminés

A

résolution :)

How well did you know this?
1
Not at all
2
3
4
5
Perfectly
3
Q

dans quelle évolution de l’inflammation aiguee

les polynucléaires neutrophiles font place aux macrophages/ monocyte, lymphocyte et des nouveaux vaisseaux ( angiogénèse)?

A

inflammation chronique (qui persiste)

How well did you know this?
1
Not at all
2
3
4
5
Perfectly
4
Q

La cicatrisation/ fibrose peut faire suite à quoi?

A

inflammation chronique,

inflammation aiguee directement ou indirectement ( par création d’un abcès)

How well did you know this?
1
Not at all
2
3
4
5
Perfectly
5
Q

Dans la résolution , la cicatrice/fibrose permet un retour à la normale ( V/F)

A

faux,

il n’y a pas de cicatrisation/fibrose

How well did you know this?
1
Not at all
2
3
4
5
Perfectly
6
Q

Dans al résolution c’est quoi qui permet la résorbation du surplus de liquide et de protéines?

A
  1. Drainage lymphatique
  2. pinocytose ( cellule boivent ( bof))
How well did you know this?
1
Not at all
2
3
4
5
Perfectly
7
Q

la résolution implique quoi en gros

A
  • résorbation du liquide et protéine en surplus ( par lymphe et pinocytose)
  • Retour à la perméabilité vasculaire normale ( en premier)
  • Phagocytose des neutrophiles apoptotiques et des tissulaire nécrotique par macrophages

puis, disposition macrophages

How well did you know this?
1
Not at all
2
3
4
5
Perfectly
8
Q

Dequel type ( patron morphologique) d’inflammation aiguee est la source de phlyctène?

A

phlyctène = ampoule

c’est une inflammation séreuse

How well did you know this?
1
Not at all
2
3
4
5
Perfectly
9
Q

un patient a un du liquide dans sa cavité abdominale.

que doit tu tester ?

Quel type ( patron morphologique) d’inflammation aigue si test conclu quoi??

A

doit tester si c’est de l’exsudat ou transsudat

si c’est de l’exsudat avec peu de protéine, c’est une inflammation séreuse

How well did you know this?
1
Not at all
2
3
4
5
Perfectly
10
Q

c’est quel type de patron morphologique de l’inflammation aiguee?

A

séreuse

en haute c’était des sérosités

en bas un peu inf aiguee

How well did you know this?
1
Not at all
2
3
4
5
Perfectly
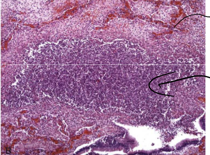
11
Q

quel type d’inflammation aiguee?

caractéristique?

A

inflammation fibrineuse

( on voit une péricardite )

exsudat important avec bcp fibrine ( en raison anticoagulant

sur la photo tapissé d’exsudat granuleux ( fibrine)

How well did you know this?
1
Not at all
2
3
4
5
Perfectly
12
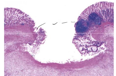
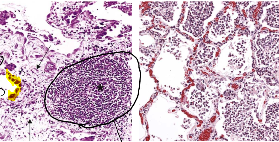
Q

c’est un poumon

quel type d’inflammation aiguee?

caractéristique?

c’est une coupe histologique de quelle patho

A

en haut voit de l’inf aiguee pas trop pire ( vasodilatation mais parernchyme plutot chill)

milieu= inflammation suppurative ou purulente ( on voit un exsudat avec bcppp trop de neutrophiles= abcès)

c’est un poumon abcédée ( proto de suppurative)

How well did you know this?
1
Not at all
2
3
4
5
Perfectly
13
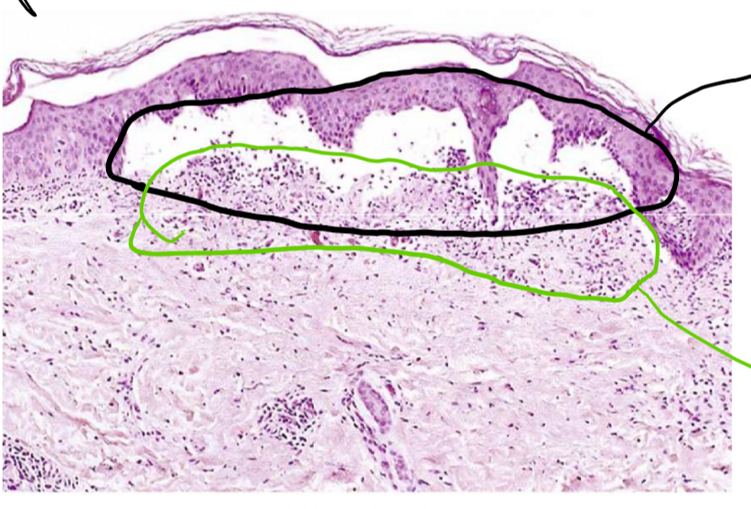
Q

quel patron morphologique de l’Inflammation aiguee?

proto(coupe histo) = quoi?

A

ulcère

car cratère a été crée du a une perte de tissu nécrotique

ulcère duodénale

How well did you know this?
1
Not at all
2
3
4
5
Perfectly
14
Q

DOnne 4 signes clinique de l’inflammation et les processus dans le corps qui mènent à ces signes cliniques

A
How well did you know this?
1
Not at all
2
3
4
5
Perfectly
15
Q

une inflammation chronique qui souvent asymptomatique au début et qui est dure à déceler provient probably de quoi?

A

pas de inflammation aiguee

probably d’emblée chronique ( insidieuse

How well did you know this?
1
Not at all
2
3
4
5
Perfectly
16
Q

SI une inflammation chronique ne provient pas de aiguee , provient de ouU?

A
  1. INfection persistante
  2. exposition prolongé à deon exs agents toxiques
  3. activatition excessive ou inaproprié du sys immu
17
Q

aiguee ou chronique ? pk?

18
Q

c’est quoi des histiocytes?

A

cellule qu’on retrouve dans l’inflammation chronique

ressemble à macrophage , mais sont déjà là ( n’arrive pas de circ sanguine)

ce sont des macrophages résidents

19
Q

les macrophages servent à quoi?

A

3 rôles

  1. phagocytose des agents agresseurs ( si activé pour ca)
  2. Activation d’autre cellules inflammatoires genre lympho T
  3. initier processus de réparation ( angiogénèse et fibrose)
20
Q

les macrophages peuvent être activé de deux façons diff . Qu’est- ce qui régule l’activation?

A

Microbe + IFN - y = classique ( proinflammatoire )

IL-4 + IL-13 = alternative ( profibrose/ antiinflammation)

21
Q

Des marcophages produisent bcp de PGF - B.

cela veut dire qu’Ils vont servir à quoi et font partie de quel voie

A

vont servir pour

  1. fibrose/réparation
  2. inhiber l’inflammation

ils ont été activé par voie alternative

22
Q

des macrophaques activés classiquement vont produire quoi et ce qui produise ou augmente menentn à quoi?

23
Q

c’est quoi des granulomes?

A

regroupement d’histiocytes dont certains sont monocluéés et d’autre sont polynucléés ( cellule géantes)

souvent avec lympho T , plasmocyte, fibrose et/ou nécrose

25
26