AML Flashcards

(46 cards)

1
Q

Describe what is meant by the pathology leukaemia [3]

A

Leukaemia is cancer of a particular line of stem cells in the bone marrow, causing unregulated production of a specific type of blood cell.

A genetic mutation in one of the precursor cells in the bone marrow leads to excessive production of a single type of abnormal white blood cell.

This can result in pancytopenia, which is a combination of low red blood cells (anaemia), white blood cells (leukopenia) and platelets (thrombocytopenia).

How well did you know this?
1
Not at all
2
3
4
5
Perfectly
2
Q

State the 4 classifications of leukaemia [4]

A

Acute myeloid leukaemia (rapidly progressing cancer of the myeloid cell line)
Acute lymphoblastic leukaemia (rapidly progressing cancer of the lymphoid cell line)
Chronic myeloid leukaemia (slowly progressing cancer of the myeloid cell line)
Chronic lymphocytic leukaemia (slowly progressing cancer of the lymphoid cell line)

How well did you know this?
1
Not at all
2
3
4
5
Perfectly
3
Q

Which of the following is most associated with smudge cells

Acute myeloid leukaemia
Acute lymphoblastic leukaemia
Chronic myeloid leukaemia
Chronic lymphocytic leukaemia

A

Chronic lymphocytic leukaemia

How well did you know this?
1
Not at all
2
3
4
5
Perfectly
4
Q

Which of the following is most associated with warm haemolytic anaemia

Acute myeloid leukaemia
Acute lymphoblastic leukaemia
Chronic myeloid leukaemia
Chronic lymphocytic leukaemia

A

Which of the following is most associated with warm haemolytic anaemia

Chronic lymphocytic leukaemia

Warm hemolytic anemia is a type of autoimmune hemolytic anemia (AIHA), which is a condition where the body’s immune system attacks and destroys its own red blood cells123. Warm hemolytic anemia is caused by IgG antibodies that bind red blood cells at normal body temperature12. The diagnosis is confirmed by the direct antiglobulin (direct Coombs) test1.

How well did you know this?
1
Not at all
2
3
4
5
Perfectly
5
Q

Which of the following is most associated with : exposure to certain toxins (e.g. benzene and organochlorine insecticides)

Acute myeloid leukaemia
Acute lymphoblastic leukaemia
Chronic myeloid leukaemia
Chronic lymphocytic leukaemia

A

Which of the following is most associated with : exposure to certain toxins (e.g. benzene and organochlorine insecticides)

Acute myeloid leukaemia
Acute lymphoblastic leukaemia
Chronic myeloid leukaemia
Chronic lymphocytic leukaemia

How well did you know this?
1
Not at all
2
3
4
5
Perfectly
6
Q

Which of the following is most associated with Downs syndrome

Acute myeloid leukaemia
Acute lymphoblastic leukaemia
Chronic myeloid leukaemia
Chronic lymphocytic leukaemia

A

Which of the following is most associated with Downs syndrome

Acute myeloid leukaemia
Acute lymphoblastic leukaemia
Chronic myeloid leukaemia
Chronic lymphocytic leukaemia

How well did you know this?
1
Not at all
2
3
4
5
Perfectly
7
Q

Which of the following is most associated with : exposure to previous chemotherapy regimens, in particular alkylating agents and topoisomerase-II inhibitors

Acute myeloid leukaemia
Acute lymphoblastic leukaemia
Chronic myeloid leukaemia
Chronic lymphocytic leukaemia

A

Acute myeloid leukaemia

How well did you know this?
1
Not at all
2
3
4
5
Perfectly
8
Q

Which of the following is most associated with Fanconi anaemia

Acute myeloid leukaemia
Acute lymphoblastic leukaemia
Chronic myeloid leukaemia
Chronic lymphocytic leukaemia

A

Acute myeloid leukaemia

How well did you know this?
1
Not at all
2
3
4
5
Perfectly
9
Q

Which of the following is most associated with the Philadelphia chromosome

Acute myeloid leukaemia
Acute lymphoblastic leukaemia
Chronic myeloid leukaemia
Chronic lymphocytic leukaemia

A

Which of the following is most associated with the Philadelphia chromosome

Acute myeloid leukaemia
Acute lymphoblastic leukaemia
Chronic myeloid leukaemia
Chronic lymphocytic leukaemia

How well did you know this?
1
Not at all
2
3
4
5
Perfectly
10
Q

Which of the following is most associated with three phases

Acute myeloid leukaemia
Acute lymphoblastic leukaemia
Chronic myeloid leukaemia
Chronic lymphocytic leukaemia

A

Which of the following is most associated with three phases

Acute myeloid leukaemia
Acute lymphoblastic leukaemia
Chronic myeloid leukaemia
Chronic lymphocytic leukaemia

How well did you know this?
1
Not at all
2
3
4
5
Perfectly
11
Q

Which of the following is most associated with Auer rods

Acute myeloid leukaemia
Acute lymphoblastic leukaemia
Chronic myeloid leukaemia
Chronic lymphocytic leukaemia

A

Which of the following is most associated with Auer rods

Acute myeloid leukaemia
Acute lymphoblastic leukaemia
Chronic myeloid leukaemia
Chronic lymphocytic leukaemia

How well did you know this?
1
Not at all
2
3
4
5
Perfectly
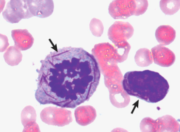
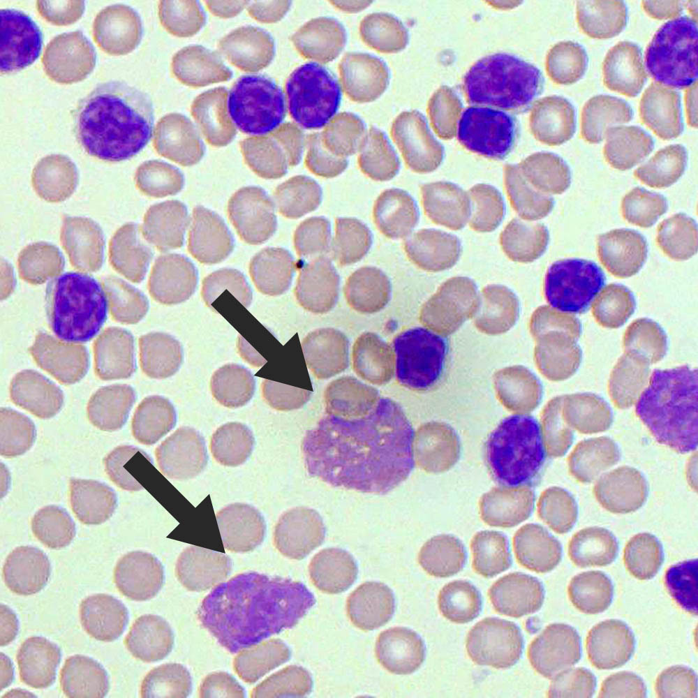
12
Q

Which of the following is most likely this imaging?

Acute myeloid leukaemia
Acute lymphoblastic leukaemia
Chronic myeloid leukaemia
Chronic lymphocytic leukaemia

A

Auer rods

Acute myeloid leukaemia
Acute lymphoblastic leukaemia
Chronic myeloid leukaemia
Chronic lymphocytic leukaemia

How well did you know this?
1
Not at all
2
3
4
5
Perfectly
13
Q

Which of the following is most likely to have a transformatong into a rare type of non-Hodgkin lymphoma, usually diffuse large B cell lymphoma?

Acute myeloid leukaemia
Acute lymphoblastic leukaemia
Chronic myeloid leukaemia
Chronic lymphocytic leukaemia

A

Chronic lymphocytic leukaemia = Richter’s transformation

How well did you know this?
1
Not at all
2
3
4
5
Perfectly
14
Q

Which of the following is most associated with presenting in children

Acute myeloid leukaemia
Acute lymphoblastic leukaemia
Chronic myeloid leukaemia
Chronic lymphocytic leukaemia

A

Which of the following is most associated with presenting in children

Acute myeloid leukaemia
Acute lymphoblastic leukaemia
Chronic myeloid leukaemia
Chronic lymphocytic leukaemia

How well did you know this?
1
Not at all
2
3
4
5
Perfectly
15
Q

Describe the presentation of leukaemia (in general) [+]

A

Fatigue
Fever
Pallor due to anaemia
Petechiae or bruising due to thrombocytopenia:
Abnormal bleeding
Lymphadenopathy
Hepatosplenomegaly
Failure to thrive (children)

How well did you know this?
1
Not at all
2
3
4
5
Perfectly
16
Q

What is a key presenting feature of leukaemia? [1]

Describe this feature [1]

A

One key presenting feature of leukaemia is bleeding under the skin due to thrombocytopenia. Bleeding under the skin causes non-blanching lesions. These lesions are called different things based on the size of the lesions:

  • Petechiae
  • Purpura
  • Eccyhmosis
How well did you know this?
1
Not at all
2
3
4
5
Perfectly
17
Q

One key presenting feature of leukaemia is []

Bleeding under the skin causes non-blanching lesions. These lesions are called different things based on the size of the lesions:

Describe the difference between the following: [3]
- Petechiae
- Purpura
- Eccyhmosis

A

Petechiae are less than 3 and caused by burst capillaries
Purpura are 3 – 10mm
Ecchymosis is larger than 1cm

How well did you know this?
1
Not at all
2
3
4
5
Perfectly
18
Q

The NICE guidelines on suspected cancer (2021) recommend a full blood count within 48 hours for patients with suspected leukaemia.

They recommend children or young people with [] or [] are sent for immediate specialist assessment.

A

The NICE guidelines on suspected cancer (2021) recommend a full blood count within 48 hours for patients with suspected leukaemia.

They recommend children or young people with petechiae or hepatosplenomegaly are sent for immediate specialist assessment.

How well did you know this?
1
Not at all
2
3
4
5
Perfectly
19
Q

Which of the following is used for the definitive diagnosis of leukaemia?

Full blood count
Blood film
Bone marrow biopsy
CT or PET scans
Lymph node biopsy

A

Bone marrow biopsy - used to analyse the cells in the bone marrow to establish a definitive diagnosis of leukaemia.

20
Q

Which part of the body is a bone marrow biopsy typically taken from for leukaemia diagnosis? [1]

What are the two methods? [2]

A

Iliac crest

Bone marrow aspiration
- involves taking a liquid sample of cells from within the bone marrow.

Bone marrow trephine
- involves taking a solid core sample of the bone marrow and provides a better assessment of the cells and structure.

21
Q

Describe 5 risk factors that increase the risk of AML [4]

A

Congenital disorders:
- Congenital neutropenia
- Fanconi anaemia

Radiation exposure

Myeloproliferative disorders:
- polycythaemia ruby vera
- myelofibrosis

Previous chemotherapy:
- Alkylating agents
- topoisomerase-II inhibitors

Toxins
- Insecticides

22
Q

Desribe the typical presentation of a patient with AML [8]

A

Features are largely related to bone marrow failure:

  • anaemia (fatigue; pallor; angina)
  • fever (due to infections)
  • splenomegaly & hepatomegaly
  • recurrent infections (neutropenia)
  • thrombocytopenia (petechiae; nose bleeds; bruising; ecchymosis; gingivial bleeding)
  • bone pain (sternal discomfort; aching in extremities)
  • leukaemia cutis (nodular, violaceous lesions on the skin)
  • gingivial hypertrophy
  • CNS involvement: headaches; visual changes; nerve palsies
23
Q

State potential features of AML if it has spread and caused tissue involvemment [4]

A
  • Lymphadenopathy
  • Hepatosplenomegaly
  • Bone pain
  • Gum hypertrophy
  • Violaceous skin deposits
  • Testicular enlargement
24
Q

What investigation mode is required for the diagnosis of AML [1]

What finding would indicate a positive result? [1]

A

Bone marrow aspirate and biopsy is required for formal diagnosis of AML

≥ 20% myeloblasts in the bone marrow confirm the diagnosis

25
**[]** a non-specific marker of increased cell turnover may be raised in leukaemia.
**LDH** a non-specific marker of increased cell turnover may be raised in leukaemia.
26
How would the following change in AML? [5] - Prothrombin time - activated partial thromboplastin time (APTT) - platelet count - D-dimer concentration - fibrinogen concentration
How would the following change in AML? - Prothrombin time: **raised** - activated partial thromboplastin time (APTT): **raised** - platelet count: **reduced** - D-dimer concentration: **elevated** - fibrinogen concentration: **reduced**
27
What is a typical finding on a peripheral blood film for AML? [1]
Auer rods
28
Describe the coagulation
29
What investigational technqiue should be used if concerned about AML & CNS involvement [1]
Lumbar puncture
30
AML typically causes cell lysis. What electrolyte abnormalities would occur because of this? [4]
**Hyperphosphatemia, hypocalcemia, hyperkalemia, and hyperuricemia**
31
Describe the general management prinicples for AML [2]
Treatment is set up in cycles and organised into **induction** and **consolidation** (and occasionally maintenance) stages. **Induction**: - **7+3 GO** - An induction regime consisting of **cytarabine, daunorubicin and gemtuzumab ozogamicin (GO)** (combination therapy) **Consolidation**: - **IDAC +/- GO** - A consolidation regime consisting of **intermediate-dose cytarabine (IDAC) +/- gemtuzumab ozogamicin.** **allogenic haematopoietic stem cell transplantation** - for patients with unfavourable prognostic factors (unfavourable cytogenetics) or patients who do not achieve remission through chemotherapy
32
What supportive treatment do you give alongside Haematopoietic cell transplantation (HCT)? [5]
**Antibiotic prophylaxis** (broad-spectrum IV antibiotics) for **febrile neutropenia** **Trimethoprim-sulfamethoxazole** for **pneumocystis** **pneumonia** prophylaxis in **neutropenic patients.** **Immunisations** **ondansetron** **Transfusions** for severe anaemia, thrombocytopenia.
33
How would you differentiate between AML & ALL? [2]
**terminal deoxynucleotidyl transferase (TdT) positive** in ALL No Auer rods in ALL
34
How would you differentiate between AML & CML? [2]
CML is found with **Philadelphia chromosome**
35
State and describe one of the main complications of AML [5]
**Leukostasis**: excessive number of leukaemic cells, causes **increased blood viscosity.** The clinical features are: * Chest pain * Headache * Altered mental status * Priapism
36
Disseminated intravascular coagulation: although it may be seen with all subtypes of AML, it is especially associated with which subtype? [1]
Disseminated intravascular coagulation: although it may be seen with all subtypes of AML, it is especially associated with **acute promyelocytic leukaemia.**
37
Describe what is meant by tumour lysis syndrome [1]
The **rapid destruction of tumour cells** leads to a massive release of **intracellular components** - typically **occurs after treatment starts**
38
What are the clinical features of TLS? [5]
Nausea, vomiting, and diarrhoea, Lethargy Hematuria Seizures, arrhythmias Tetany, muscle cramps, paresthesia
39
TLS cause the release of calcium phosphate crystals. What pathologt can this lead to? [1]
**Acute kidney injury**
40
State the electroylte disturbances seen in TLS [4]
hyperkalemia, hyperphosphatemia, hypocalcemia (secondary to phosphate binding), and hyperuricemia
41
In AML patients at high risk for central nervous system (CNS) involvement, what is the recommended prophylactic measure according to NICE? a) Intrathecal chemotherapy b) Cranial radiation therapy c) High-dose cytarabine d) Etoposide
In AML patients at high risk for central nervous system (CNS) involvement, what is the recommended prophylactic measure according to NICE? **a) Intrathecal chemotherapy** b) Cranial radiation therapy c) High-dose cytarabine d) Etoposide
42
NICE recommends regular follow-up monitoring for AML survivors. What is the recommended frequency for bone marrow assessments during the first year post-remission? a) Every 3 months b) Every 6 months c) Annually d) Biennially
NICE recommends regular follow-up monitoring for AML survivors. What is the recommended frequency for bone marrow assessments during the first year post-remission? **a) Every 3 months** b) Every 6 months c) Annually d) Biennially
43
According to NICE, what is the standard induction chemotherapy regimen for adults under 60 years old with AML who are fit for intensive treatment? a) Azacitidine b) Decitabine c) Daunorubicin and Cytarabine d) Midostaurin
According to NICE, what is the standard induction chemotherapy regimen for adults under 60 years old with AML who are fit for intensive treatment? a) Azacitidine b) Decitabine **c) Daunorubicin and Cytarabine** d) Midostaurin
44
According to NICE, what is the recommended duration of thromboprophylaxis in AML patients receiving intensive chemotherapy? a) 7 days b) 14 days c) 21 days d) Until complete remission is achieved
According to NICE, what is the recommended duration of thromboprophylaxis in AML patients receiving intensive chemotherapy? a) 7 days **b) 14 days** c) 21 days d) Until complete remission is achieved
45
Which cytogenetic abnomarlities in AML have a really poor prognsosis (3% to 10yrs)? [1]
**inversion 3**
46
acute promyelocytic leukaemia (AMPL) can have really bad clotting problems. This arises from a translocation of which chromosomes? [1] What medication do we give PML-RARA fusion? [1] | From lecture
**t(15:17)** PML-RARA fusion: **give ATRA**