PassMed Learning Points Flashcards

(171 cards)

1
Q

Which indications would cause you to refer immediately for specialist referral suspecting leukaemia, in children up to 25yrs []

A
  • Unexplained petachiae
  • Hepatosplenomegaly
  • Unexplained bleeding / bruising
  • Pallor
  • Unexplained fever
  • Unexplained persistent infections
  • Generalised lymphadenopathy
How well did you know this?
1
Not at all
2
3
4
5
Perfectly
2
Q

Most common causes of massive splenomegaly in UK? [2]

A

Most common causes of massive splenomegaly in UK = CML/myelofibrosis

How well did you know this?
1
Not at all
2
3
4
5
Perfectly
3
Q

Which patient population is at increased risk of acute lymphoid leukaemia? [1]

A

Downs syndrome

How well did you know this?
1
Not at all
2
3
4
5
Perfectly
4
Q

What would you do if a patient has a 2-level Wells score < 1 and suspect DVT / PE? [1]

A

Arrange D-dimer and prescribe anticoagulation if wait for results is greater than 4 hrs

How well did you know this?
1
Not at all
2
3
4
5
Perfectly
5
Q

What are the 4 stages for HL staging for Ann-Arbor staging? [4]

A

Stage I
- Single LN

Stage II
- 2+ LN on same side of diaphragm

Stage III:
- LNs on both sides of diaphragm

Stage IV:
- Spread beyond LN

A: No systemic symptoms other than pruiritis
B: Weight loss (> 10 %); fever >38; night sweats)

How well did you know this?
1
Not at all
2
3
4
5
Perfectly
6
Q

Which B symptom indicates a poor prognosis for HL? [1]

A

night sweats

How well did you know this?
1
Not at all
2
3
4
5
Perfectly
7
Q

What is the MoA of rivaroxaban? [1]

A

Direct factor Xa inhibitor

How well did you know this?
1
Not at all
2
3
4
5
Perfectly
8
Q

What is the empirical antibiotic of choice for neutropenic sepsis? [2]

A

IV Piperacillin with tazobactam

How well did you know this?
1
Not at all
2
3
4
5
Perfectly
9
Q

What is a common complication of cancer therapy (particularly chemo)? [1]

A

Neutropenic sepsis

How well did you know this?
1
Not at all
2
3
4
5
Perfectly
10
Q

What neutrophil levels indicate neutropenic sepsis? [1]
What other signs do you need? [2]

A

< 0.5
AND one of:
- Temp > 38
- Other signs or symptoms of significant sepsis

How well did you know this?
1
Not at all
2
3
4
5
Perfectly
11
Q

How do you reverse minor allergic reactions in blood transfusions? [2]

Urticaria and pruritus without evidence of haemodynamic instability

A

Stop transfusion;
Give an antihistamine

How well did you know this?
1
Not at all
2
3
4
5
Perfectly
12
Q

Which electrolyte changes indicate tumour lysis syndrome? [4]
What else do you need for a diagnosis? [3]

A

Electrolyte changes:
* Uric acid > 475 or 25% increase
* K > 6 or 25% increase
* Phosphate > 1.125 or 25% increase
* Calcium < 1.75 or 25% increase

Positive clinical TLS signs:
- Increased serum creatitine (1.5x upper limit of normal)
- Cardiac arrythmia / sudden death
- Seizure

How well did you know this?
1
Not at all
2
3
4
5
Perfectly
13
Q

What is the diagnositic investigation of choice for suspected NHL? [1]

A

Excisional node biopsy

How well did you know this?
1
Not at all
2
3
4
5
Perfectly
14
Q

How do you remember the most important symptoms / complications of myeloma? [6]

A

CRABBI:
- Calcium raised
- Renal failure
- Anaemia
- Bone pain
- Bleeding
- Infection

How well did you know this?
1
Not at all
2
3
4
5
Perfectly
15
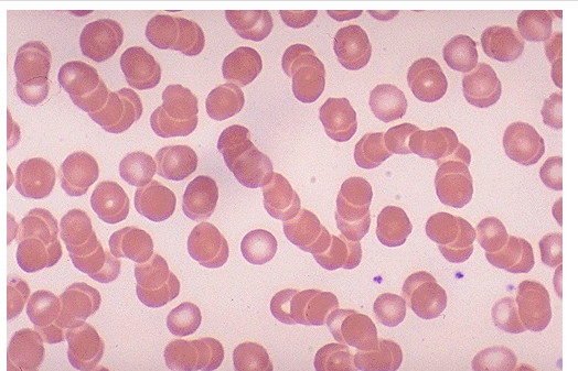
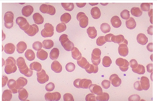
Q

Describe what is meant by a rouleaux formation [1]

A

The RBC’s here have stacked together in long chains.

How well did you know this?
1
Not at all
2
3
4
5
Perfectly
16
Q

Name this haemological abnormalilty [1]

A

rouleaux formation: the RBC’s here have stacked together in long chains.

How well did you know this?
1
Not at all
2
3
4
5
Perfectly
17
Q

Which pathology does a rouleaux formation indicate? [1]

A

Myeloma

How well did you know this?
1
Not at all
2
3
4
5
Perfectly
18
Q

A patient undergoes a biopsy of a mass in their ceceum. It exhbitis a ‘starry sky’ pattern. What is the most likely infection? [1]

A

EBV: causes Burkitt’s lymphoma

How well did you know this?
1
Not at all
2
3
4
5
Perfectly
19
Q

Which lymph nodes does Burkitt’s lymphoma typically present in? [1]

A

Abdomen and mesenteric lymph nodes

How well did you know this?
1
Not at all
2
3
4
5
Perfectly
20
Q

Burkitt’s lymphoma typically causes what complication? [1]

A

Tumour lysis syndrome

How well did you know this?
1
Not at all
2
3
4
5
Perfectly
21
Q

Basophilic stippling of red blood cells indicates which form of anaemia? [1]

A

Sideroblastic anaemia (where RBC fail to form haem: leads to deposits of Fe in the mitochondira that forms a ring around the nucleus called a ring sideroblast)

How well did you know this?
1
Not at all
2
3
4
5
Perfectly
22
Q

DVT investigation: if the scan is negative, but the D-dimer is positive what is the next appropriate steps in patient management? [2]

A

stop anticoagulation and repeat scan in 1 week

How well did you know this?
1
Not at all
2
3
4
5
Perfectly
23
Q

What is the mechanism of action of dabigatran?

Direct thrombin inhibitor
Protein C inhibitor
Direct factor Xa inhibitor
Direct antithrombin III inhibitor
Factor II, VII, IX and X inhibitor

A

What is the mechanism of action of dabigatran?

Direct thrombin inhibitor
Protein C inhibitor
Direct factor Xa inhibitor
Direct antithrombin III inhibitor
Factor II, VII, IX and X inhibitor

How well did you know this?
1
Not at all
2
3
4
5
Perfectly
24
Q

What blood film results would indicate chronic leukocytic leukaemia (CLL)? [2]

A

Smear cells
small/medium-sized lymphocytes

How well did you know this?
1
Not at all
2
3
4
5
Perfectly
25
What are four complications of CLL? [4]
* **anaemia** * **hypogammaglobulinaemia** leading to **recurrent** **infections** * **warm autoimmune haemolytic anaemia** in 10-15% of patients * transformation to **high-grade lymphoma** (Richter's transformation)
26
Describe what is meant by **Richters transformation** [1]
Ritcher's transformation occurs when **leukaemia cells enter the lymph node** and change into a **high-grade, fast-growing non-Hodgkin's lymphoma**. Patients often become unwell very suddenly.
27
Ritcher's transformation occurs when leukaemia cells enter the lymph node and change into a high-grade, fast-growing non-Hodgkin's lymphoma. Patients often become unwell very suddenly. What are the indications that this is occurring? [6]
Ritcher's transformation is indicated by one of the following symptoms: * lymph node swelling * fever without infection * weight loss * night sweats * nausea * abdominal pain
28
How many weeks either side of an operation should you stop / start the COCP? [2]
**Is it 4 weeks prior** and **2 weeks post** *STOP the COCP (4 letters) 4 Weeks before an OP*
29
A 6-month-old boy is brought to the GP by his father, who is concerned about his growth. He says that his son is very pale, and seems to get tired easily when playing. His son has also always had difficulty feeding and is very 'fussy,' in addition to having very loose stools and regular fevers without cold symptoms. The GP performs an examination and determines that the child has hepatosplenomegaly. Pending further investigations, he makes the provisional diagnosis of beta thalassaemia major. What laboratory finding is most consistent with the provisional diagnosis? Absent HbA2 Macrocytic anaemia Raised HbA Raised HbA2 Reduced HbF
A 6-month-old boy is brought to the GP by his father, who is concerned about his growth. He says that his son is very pale, and seems to get tired easily when playing. His son has also always had difficulty feeding and is very 'fussy,' in addition to having very loose stools and regular fevers without cold symptoms. The GP performs an examination and determines that the child has hepatosplenomegaly. Pending further investigations, he makes the provisional diagnosis of beta thalassaemia major. What laboratory finding is most consistent with the provisional diagnosis? Absent HbA2 Macrocytic anaemia Raised HbA **Raised HbA2** Reduced HbF Major: * **HbA2 & HbF raised** * **HbA absent**
30
In patients with both vitamin B12 and folate deficiencies, the **[]** deficiency must be treated first to avoid subacute combined degeneration of spinal cord
In patients with both vitamin B12 and folate deficiencies, the **vitamin B12 deficiency** must be treated first to avoid subacute combined degeneration of spinal cord
31
How do you differentiate between TRALI and TACO? [2]
TRALI is differentiated from TACO by the presence of **hypotension** in **TRALI** vs **hypertension** in **TACO**
32
This patient is most likely suffering from what? [1]
Lead poisoning
33
IgA deficiency increases the risk of what pathology associated with blood transfusions? [1]
IgA deficiency increases the risk of **anaphylactic blood transfusion reactions**
34
You suspect a deep vein thrombosis (DVT). She is clinically stable and the radiology department informs you it will be at least 5 hours until they can carry out an ultrasound doppler scan. A D-dimer is awaited. What is the most appropriate management for Mrs Smith? Commence her on low-molecular-weight heparin (LMWH) prophylaxis Commence her on a direct oral anti-coagulant (DOAC) Commence her on treatment dose LMWH Discharge her and ask her to return the next day for her scan Wait until the ultrasound doppler can be performed
**Commence her on a direct oral anti-coagulant (DOAC)** If investigating a suspected DVT, and either the D-dimer or scan cannot be done within 4 hours, then start a DOAC
35
[] is the most common inherited clotting disorder
**Von Willebrand's disease** is the most common inherited clotting disorder
36
How does polycythaemia vera typically present? [4]
**Raised haemoglobin, plethoric appearance, pruritus, splenomegaly, hypertension**
37
You also perform a blood film and your consultant notes the presence of bite cells and blister cells. What is the most likely diagnosis? Pyruvate kinase deficiency Hereditary spherocytosis Pyrimidine 5’ nucleotidase deficiency Autoimmune haemolytic anaemia G6PD deficiency
You also perform a blood film and your consultant notes the presence of bite cells and blister cells. **G6PD deficiency** *Have a Bite of Heinz Fava beans.* => *Bite cells. Heinz bodies. Fava beans.*
38
Which infective organism may trigger an aplastic crisis in patients with hereditary spherocytosis? [1]
**Parvovirus infection** may trigger an aplastic crisis in patients with hereditary spherocytosis
39
Coagulase-negative, Gram-positive bacteria such as [] are the most common cause of **neutropenic sepsis**
Coagulase-negative, Gram-positive bacteria such as **Staphylococcus epidermidis** are the most common cause of neutropenic sepsis
40
A patient presents with episodic pruritus over the last 6 months. These symptoms are worse after taking a hot bath. What is the most likely diagnosis? [1]
**polycythaemia vera**
41
How would beta thalassemia trait present from blood tests? [2]
- **Raised HbA2** - **Microcytic anaemia; MCV < 55** *Beta thalassaemia major can also present with disproportionate microcytic anaemia however the anaemia would be marked, and the patient would be transfusion dependent.*
42
He initially presented to his general practitioner with a painless, rapidly enlarging cervical mass. An excisional node biopsy revealed a 'starry sky' pattern. He has commenced chemotherapy with cyclophosphamide, doxorubicin, vincristine, and prednisolone. The specialist wants to co-prescribe a medication that has been demonstrated to improve outcomes in patients with this diagnosis. What should be prescribed? Bezlotoxumab Denosumab Infliximab Interferon-alpha Rituximab
He initially presented to his general practitioner with a painless, rapidly enlarging cervical mass. An excisional node biopsy revealed a 'starry sky' pattern. He has commenced chemotherapy with cyclophosphamide, doxorubicin, vincristine, and prednisolone. The specialist wants to co-prescribe a medication that has been demonstrated to improve outcomes in patients with this diagnosis. What should be prescribed? **Rituximab** Rituximab is used in combination with conventional chemotherapy regimes (e.g. CHOP) for a variety of types of non-Hodgkin's lymphoma
43
What is reversal agent for rivaroxaban and apixaban? [1]
Rivaroxaban and apixaban can be reversed by **andexanet alfa**
44
A patient presenting with a pathological fracture, renal dysfunction and anaemia are very suggestive of **[]**, especially in an elderly patient.
The pathological fracture, renal dysfunction and anaemia are very suggestive of **multiple myeloma**, especially in an elderly patient.
45
*Bence Jones proteins (BJP) are detected in the urine* This is indicative of which pathology? [1]
Multiple myeloma
46
High uric acid + renal impairment following chemotherapy → []?
High uric acid + renal impairment following chemotherapy → **tumour lysis syndrome**
47
A patient with a high chance of suffering from tumour lysis syndrome should be treated prophylactically with what? [2]
They should be treated prophylactically with **IV allopurino**l or **IV rasburicase**
48
A patient has excessive bleeding that is suspected to be related to their dabigatran use. What is the reversal agent? [1]
Dabigatran reversal: **Idarucizumab**
49
What is the first line treatment for CML? [1]
A tyrosine kinase inhibitor such as **Imatinib**
50
What is a pneumonic for figuring out the pathology for when a patient has too much clotting? [4]
**Too much clotting: CLOT** **C**- C/S deficiency **L** - Leiden (factor V) **O** - Odd (mutated) prO-thrombin **T** - anTi-thrombin III deficiency
51
What is a pneumonic for figuring out the pathology for when a patient has too much bleeding? [5]
**Too much bleeding: I BLED** **I** - ITP, ATP, TTP **B** - B/A Haemophilias **L** - Low vitamin K, clotting factors **E** - Eponym: vWD **D** - DIC & Drugs
52
A combination of thromboembolism and bleeding in a young woman should raise the possibility of **[?]**
A combination of thromboembolism and bleeding in a young woman should raise the possibility of **antiphospholipid syndrome**
53
State how VWD, Haemophilia and Vitamin K deficiency change PT, APTT and Bleeding time [9]
54
Describe the haematological abnormalities that occur with lead poisoning [2]
Haematological abnormalities include a microcytic anaemia and basophilic stippling as demonstrated in this case
55
Describe the clinical features that occur with lead poisoning [4]
classically presents with: * abdominal pain * constipation * peripheral neuropathy (mainly motor) * neuropsychiatric features.
56
A patient presents with schistocytes and thrombocytopenia on a blood film and a history of fever, anaemia, dehydration and a feeling different mentally What is the most likely diagnosis? [1]
**Thrombocytic thrombocytopenic purpura (TTP)** Presents as FAT RN: Fever Anaemia Thrombocytopenia Renal problems Neuro problems
57
G6PD causes what abnormality on a blood film? [1]
Heinz bodies
58
59
Beta thalassemia intermediate presents with what blood film change? [1]
**Tear drops**
60
Howell Jowell bodies indicate which pathology? [1]
SCA
61
Tear drops (dracocytes) on a blood film can be attributed to which pathologies? [4]
myelofibrosis beta thalassemia megaloblastic anemia Cancer in the bone marrow (Severe iron deficiency)
62
SCA presents with what changes to a blood film? [2]
**target cells** **Howell-Jolly bodies** ## Footnote Arrow: HJB
63
What is a Howell-Jolly body? [1] How do these differentiate between Pappenheimer bodies? [1]
**Howell-Jolly Bodies:** - small round purple inclusions in RBCs about 1 μm in diameter - Howell-Jolly bodies are larger in size, have smooth outlines, typically one per RBC, and are comprised of DNA. **Pappenheimer bodies**: - Blue-purple granules, < 1 um diameter, at cell periphery; may form doublets, iron stain positive, DNA stain negative
64
What is the Hb transfusion threshold for normal people? [1] & Those with ACS? [1]
Normal: **Hb < 70** With ACS: **Hb < 80**
65
Describe the difference between VWD and Haemophilia in terms of tissue type affected [2]
**VWD**: - Mucocutaneous bleeds (e.g. epistaxis; menorrhagia; easy bruising) **Haemophilia**: - Deep tissue (hemarthrosis)
66
What impact does factor VIII deficiency have on APTT? [1]
**Factor VIII deficiency** (seen in Haem. A) causes **increase in APTT**
67
Spontaneous bleeding is more likely associated with Haem or VWD? [1] Prolonged bleeding is more likely associated with Haem or VWD? [1]
**Spontaneous bleeding** is more likely associated with **VWD** Prolonged bleeding is more likely associated with **Haemophilia**
68
In which clinical scenario with SCA would you perform an exchange transfusion and not a blood transfusion? [1]
If the Hb is still relatively high (~90); otherwise risk of being too concentrated and causing clots
69
Where would you find Bence Jones proteins? [1] Which pathology do they indicate
**In urine** Free light chains; indicate **myeloma**
70
How would you differentiate between WCC in leukaemia and lymphoma? [1]
WCC raised in bloodstream in leukaemia; in lymphoma raised in solid organs / tumours
71
How do you differentiate between acute and chronic leukamia based off cell types? [1] How does this impact symptoms? [2]
**Acute**: more blasts / **pre-cursor** cells present: - causes **anaemia**; **bleeding**; **infection** as the bone marrow becomes clogged **Chronic**: more **mature** cells present - can be asymptomatic - symptoms from high cell burden; **gout organomegaly**
72
Auer rods occur from which type of blood disease? [1]
**AML**
73
Smudge cells arise from which type of blood diseasE? [1]
CLL
74
Which clotting factors are involved in the intrinsic pathway? [4]
XII, XI, IX, and VIII Twelv**e**; **e**leve**n**; **n**in**e**; **e**ight
75
What is meant by myelodysplastic syndromes? [1]
**Myelodysplastic syndromes** are a group of cancers in which immature blood cells in the bone marrow do not mature or become healthy blood cells.
76
A patient has investigations that reveal raised fibrin degeneration products; low platelet count; raised PT and APTT. What is the likely diagnosis? [1]
DIC
77
An 18-year-old male presents with several months of fevers, night sweats and 20 lb weight loss. A computerised tomography scan reveals mediastinal lymphadenopathy and a biopsy is performed. Genetic analysis of the biopsied lesion reveals a translocation between chromosomes 14 and 18. Which protein is likely to be overexpressed as a result of this translocation? c-Myc bcr-abl bcl-2 Ewsr1-fli1 bcl-6
**bcl-2**
78
A 70-year-old female has been diagnosed as being vitamin B12-deficient with a B12 level of < 50 pmol/l (160–900 pmol/l) and a haemoglobin (Hb) level of 80 (115–155 g/l). It is not diet-related. Which is the most appropriate management plan? * Hydroxocobalamin 1 mg on alternate days indefinitely * Hydroxocobalamin 1 mg intravenously (IV) three times a week for two weeks and then monthly * Hydroxocobalamin 1 mg im three times a week for two weeks and then 1 mg im three-monthly * Hydroxocobalamin 1 mg im three times a week for two weeks and then oral 1 mg hydroxocobalamin * Hydroxocobalamin 1 mg subcutaneously three times a week for two weeks, monthly for three months and then three-monthly
A 70-year-old female has been diagnosed as being vitamin B12-deficient with a B12 level of < 50 pmol/l (160–900 pmol/l) and a haemoglobin (Hb) level of 80 (115–155 g/l). It is not diet-related. Which is the most appropriate management plan? * Hydroxocobalamin 1 mg on alternate days indefinitely * Hydroxocobalamin 1 mg intravenously (IV) three times a week for two weeks and then monthly * **Hydroxocobalamin 1 mg im three times a week for two weeks and then 1 mg im three-monthly** * Hydroxocobalamin 1 mg im three times a week for two weeks and then oral 1 mg hydroxocobalamin * Hydroxocobalamin 1 mg subcutaneously three times a week for two weeks, monthly for three months and then three-monthly
79
With regard to blood clotting, which one of the following statements is correct? The conversion of fibrinogen to fibrin is catalysed by prothrombin Fibrin clots are degraded by plasmin Liver failure results in a prothrombotic state The haemostatic response is comprised of two key events The first event in response to bleeding is platelet aggregation
With regard to blood clotting, which one of the following statements is correct? **Fibrin clots are degraded by plasmin** *Plasmin regulates clotting by breaking down fibrin and fibrinogen, inhibiting thrombin activity. Fibrinolytic agents are used in clinical practice, including treating ischaemic stroke, to dissolve blood clots and restore blood flow.*
80
A 74-year-old male presents to his General Practitioner with a history of 10-kg weight loss over the past six months and fevers. He has no history of cough or foreign travel. He takes no regular medication except for emollients prescribed recently for itchy skin. He does not smoke and has stopped drinking, as this causes pain in his neck. On examination, he is noted to have normal cardiovascular and respiratory systems and no organomegaly on palpation of the abdomen. He is found to have two golf ball-sized cervical lymph nodes on the right. Given the suspected diagnosis, which of the following is most likely to be used in managing this patient? Azacitidine Radiotherapy Rifampicin Rituximab Stem cell transplant
A 74-year-old male presents to his General Practitioner with a history of 10-kg weight loss over the past six months and fevers. He has no history of cough or foreign travel. He takes no regular medication except for emollients prescribed recently for itchy skin. He does not smoke and has stopped drinking, as this causes pain in his neck. On examination, he is noted to have normal cardiovascular and respiratory systems and no organomegaly on palpation of the abdomen. He is found to have two golf ball-sized cervical lymph nodes on the right. Given the suspected diagnosis, which of the following is most likely to be used in managing this patient? Azacitidine **Radiotherapy** Rifampicin Rituximab Stem cell transplant
81
A 75-year-old male presents to his General Practitioner with increasing back pain and shortness of breath. A lumbar spine radiograph reveals multiple osteolytic lesions and prompts further investigation. The patient is found to have mild anaemia, thrombocytopenia, hypercalcaemia and a raised creatinine. Serum protein electrophoresis reveals a monoclonal band of protein. What is most likely to be seen on blood film? Schistocytes Howell Jolly bodies Spherocytes Blasts Rouleaux formation
A 75-year-old male presents to his General Practitioner with increasing back pain and shortness of breath. A lumbar spine radiograph reveals multiple osteolytic lesions and prompts further investigation. The patient is found to have mild anaemia, thrombocytopenia, hypercalcaemia and a raised creatinine. Serum protein electrophoresis reveals a monoclonal band of protein. What is most likely to be seen on blood film? Schistocytes Howell Jolly bodies Spherocytes Blasts **Rouleaux formation**
82
Primary or essential thrombocytosis is a myeloproliferative disorder associated with overproduction of platelets by the bone marrow. The condition is characterised by which four features? [4]
The condition is characterised by four features: * **a raised platelet count** * **hyperplasia of megakaryocytes in the bone marrow** * **splenomegaly** * **episodes of bleeding or thrombosis**. *Paradoxically present with either. On one hand, the increased number of platelets causes abnormal aggregation and is prothrombotic; on the other hand, the aggregates of platelets cause sequestration of von Willebrand factor, leading to a functional insufficiency of the latter and a bleeding tendency. Patients also present with headaches, dizziness, numbness in the extremities, intermittent visual disturbances and characteristically erythromelalgia – a redness with burning pain in the hands and feet.*
83
A 65-year-old female presented with fever and body aches for six months. Her blood tests revealed a haemoglobin level of 110 g/l and an erythrocyte sedimentation rate (ESR) of 121 mm in the first hour. Serum protein electrophoresis revealed an M band in the gamma globulin region with a total IgG level of 70 g/l. Bone marrow biopsy shows plasma cells in the marrow of 11%. A skeletal survey reveals no abnormalities. Other blood tests revealed: Test Parameter Normal range Calcium 2.60 mmol/l 2.20–2.60 mmol/l Creatinine 119 μmol/l 50–120 μmol/l Phosphate 1.30 mmol/l 0.70–1.40 mmol/l Potassium (K+) 4.6 mmol/l 3.5–5.0 mmol/l Lactate dehydrogenase 399 IU/l 100–190 IU/l Her body weight was 71 kg. What is the most likely diagnosis? Multiple myeloma Smouldering myeloma Monoclonal gammopathy of unknown significance (MGUS) Non-secretory myeloma Plasma cell leukaemia
**Smouldering myeloma**
84
Why does SCA potentially cause an AKI? [1]
**Renal papillary necrosis** is classically associated with sickle-cell anaemia. It occurs when sickled red blood cells **cause infarction and necrosis of renal papillae**. It is also seen in diabetes mellitus, acute pyelonephritis and chronic paracetamol use.
85
A 28-year-old female has a postpartum haemorrhage four hours after delivery of her first child via elective Caesarean section. The patient is resuscitated, and bloods are sent off for urgent analysis. Test results reveal: increased prothrombin time, increased active partial thromboplastin time, low haemoglobin, normal white cell count and low fibrinogen. What is the most likely diagnosis? HELLP syndrome Warfarin overdose Disseminated intravascular coagulation Haemolytic uraemic syndrome Thrombotic thrombocytopaenic purpura
A 28-year-old female has a postpartum haemorrhage four hours after delivery of her first child via elective Caesarean section. The patient is resuscitated, and bloods are sent off for urgent analysis. Test results reveal: increased prothrombin time, increased active partial thromboplastin time, low haemoglobin, normal white cell count and low fibrinogen. What is the most likely diagnosis? HELLP syndrome Warfarin overdose **Disseminated intravascular coagulation** Haemolytic uraemic syndrome Thrombotic thrombocytopaenic purpura
86
Which blood vessel in the spleen is most responsible for monitoring the quality of red blood cells and removing aged ones from circulation? Trabecular veins Trabecular artery Central artery Sheathed capillary Splenic sinusoid
Which blood vessel in the spleen is most responsible for monitoring the quality of red blood cells and removing aged ones from circulation? Trabecular veins Trabecular artery Central artery Sheathed capillary **Splenic sinusoid**
87
A six-year-old female is brought to the Emergency Department in December because she had a high fever (up to 40 °C) for the past three days, vomiting and night sweats. For the last four weeks, she has been lethargic and has sweated through her pyjamas almost every night. She has had several nosebleeds in this period, which her parents attributed to dry air from the heater. She has also been complaining that her back hurts. On examination, her temperature is 39.5 °C, her heart rate 140 bpm, her blood pressure 80/60 mmHg and her respiratory rate 20 breaths/minute. She appears acutely ill, and you notice small petechiae on her abdomen. Which of the following would examination of peripheral lymphocytes most likely show? A clonal population of mature B cells A clonal population of immature cells expressing terminal deoxynucleotidyl transferase (TdT) A clonal population of immature cells with intracytoplasmic dark pink rods Lymphocytes with thin projections of the cytoplasm A chromosomal translocation that leads to a constitutively active tyrosine kinase
A six-year-old female is brought to the Emergency Department in December because she had a high fever (up to 40 °C) for the past three days, vomiting and night sweats. For the last four weeks, she has been lethargic and has sweated through her pyjamas almost every night. She has had several nosebleeds in this period, which her parents attributed to dry air from the heater. She has also been complaining that her back hurts. On examination, her temperature is 39.5 °C, her heart rate 140 bpm, her blood pressure 80/60 mmHg and her respiratory rate 20 breaths/minute. She appears acutely ill, and you notice small petechiae on her abdomen. Which of the following would examination of peripheral lymphocytes most likely show? A clonal population of mature B cells **A clonal population of immature cells expressing terminal deoxynucleotidyl transferase (TdT)** A clonal population of immature cells with intracytoplasmic dark pink rods Lymphocytes with thin projections of the cytoplasm A chromosomal translocation that leads to a constitutively active tyrosine kinase
88
A 23-year-old female has been referred to the Haematology Clinic by her General Practitioner (GP). She has been experiencing pallor and fatigue for the last few weeks, with a full blood count showing anaemia (haemoglobin of 86 g/l). She also suffers from painful cyanosis of her fingers and toes, which was why she initially saw her GP. The GP ordered a peripheral blood smear, the results of which came back when the patient was seen in the Haematology Clinic. Her direct antiglobulin test (DAT) is positive, with both immunoglobulin G (IgG) and C3 present. What is most likely to be seen on a peripheral blood smear? Bite cells Howell-Jolly bodies Rouleaux cells Siderocyte Spherocytes
A 23-year-old female has been referred to the Haematology Clinic by her General Practitioner (GP). She has been experiencing pallor and fatigue for the last few weeks, with a full blood count showing anaemia (haemoglobin of 86 g/l). She also suffers from painful cyanosis of her fingers and toes, which was why she initially saw her GP. The GP ordered a peripheral blood smear, the results of which came back when the patient was seen in the Haematology Clinic. Her direct antiglobulin test (DAT) is positive, with both immunoglobulin G (IgG) and C3 present. What is most likely to be seen on a peripheral blood smear? Bite cells Howell-Jolly bodies Rouleaux cells Siderocyte **Spherocytes**
89
A 23-year-old female with sickle-cell disease is seen in Haematology Outpatients. She has had several recent admissions with sickle-cell crisis and abdominal pain and is suspected of having had multiple splenic infarcts. Which of the following blood film abnormalities would be suggestive of hyposplenism? Howell–Jolly bodies Rouleaux formation Schistocytes Tear drop cells Toxic granulation
A 23-year-old female with sickle-cell disease is seen in Haematology Outpatients. She has had several recent admissions with sickle-cell crisis and abdominal pain and is suspected of having had multiple splenic infarcts. Which of the following blood film abnormalities would be suggestive of hyposplenism? **Howell–Jolly bodies** Rouleaux formation Schistocytes Tear drop cells Toxic granulation
90
A 36-year-old gentleman has presented to the emergency department with hypertension, nuchal rigidity and a GCS score of 9/15. A CT head identifies an intraparenchymal, intracerebral bleed. He has no bleeding disorders but his coagulation screen identifies a prolonged bleeding time. His Hb level is currently 120g/L. He has a normal prothrombin time, normal activated partial thromboplastin time and normal levels of fibrinogen and D-dimer. His platelet count is found to be 90x109/L. Which one of the following management plans is appropriate? Immediately transfuse fresh frozen plasma and provide supportive care Provide supportive care and only perform platelet transfusion if platelet level falls below 30x109/L Immediate platelet transfusion and provide supportive care Any transfusion would be inappropriate for this patient Immediate packed red cells transfusion and provide supportive care
A 36-year-old gentleman has presented to the emergency department with hypertension, nuchal rigidity and a GCS score of 9/15. A CT head identifies an intraparenchymal, intracerebral bleed. He has no bleeding disorders but his coagulation screen identifies a prolonged bleeding time. His Hb level is currently 120g/L. He has a normal prothrombin time, normal activated partial thromboplastin time and normal levels of fibrinogen and D-dimer. His platelet count is found to be 90x109/L. Which one of the following management plans is appropriate? **Provide supportive care and only perform platelet transfusion if platelet level falls below 30x109/L** *Platelet thresholds for transfusion are higher (maximum < 100 x 10 9) for patients with severe bleeding, or bleeding at critical sites, such as the CNS*
91
What is the threshold for platelet transfusion in patients with moderate clinically significant bleeding? [1] What is the threshold for platelet transfusion in patients with clinically significant bleeding? [1]
**Moderate**: - A threshold of **10 x 109** **Severe bleed / or bleeding at critical sites (e.g. CNS)** - **maximum < 100 x 10 9**
92
What are the platelet transfusion levels for thrombocytopenia before surgery/ an invasive procedure for: - Most patients [1] - High risk of bleeding [1] - Surgery at critical site [1]
Platelet transfusion for thrombocytopenia before surgery/ an invasive procedure. Aim for plt levels of: * **> 50×109/L** for most patients * **50-75×109/L** if high risk of bleeding * **>100×109/L** if surgery at critical site
93
Men of any age with a Hb below **[]**g/L should be referred for upper and lower GI endoscopy as a 2ww
Men of any age with a Hb below **110g**/L should be referred for upper and lower GI endoscopy as a 2ww
94
Helpful clues about CML presentation? [3]
way of remembering- CML is chronic therefore more time: - **to last months** - to develop **MASSIVE** splenomegaly - to develop extremely **raised WBC counts**
95
Myeloma without metastasis is characterised by what changes to [3]: - Ca - P - ALP
Myeloma without metastasis is characterised by **high calcium, normal/high phosphate and normal alkaline phosphate**
96
**[]** infection is a known cause of haemolytic anaemia, for which this woman was receiving treatment in the hospital.
**Mycoplasma pneumoniae** infection is a known cause of haemolytic anaemia, for which this woman was receiving treatment in the hospital.
97
Burkitt's lymphoma is associated with which one of the following genetic changes: Cyclin D1-IGH gene translocation TEL-JAK2 gene translocation Bcl-2 gene translocation C-myc gene translocation BCR-Abl1 gene translocation
Burkitt's lymphoma is associated with which one of the following genetic changes: Cyclin D1-IGH gene translocation TEL-JAK2 gene translocation Bcl-2 gene translocation **C-myc gene translocation** BCR-Abl1 gene translocation
98
How does ITP presentation differ in children v adults? [2] (with regards to timings)
Children with ITP usually have an acute thrombocytopenia that may follow infection or vaccination. In contrast, adults tend to have a more chronic condition.
99
**[]** (+/- **[]**) are generally used first-line in the management of patients with **warm** **autoimmune haemolytic anaemia**? [2]
**Steroids (+/- rituximab)** are generally used first-line in the management of patients with warm autoimmune haemolytic anaemia
100
A 55-year-old woman presents to the emergency department with new-onset dysuria. She denies any cough, shortness of breath, nausea or vomiting, or changes in bowel habits. She has a medical history of breast cancer currently being treated with doxorubicin and cyclophosphamide. On examination, her temperature is 38.1ºC, her heart rate is 93 bpm, her blood pressure is 120/75 mmHg, and her oxygen saturations are 97% on room air. Cardiovascular and abdominal examinations are unremarkable. There are no skin changes and she does not appear obviously unwell. **What is the differential that you should most be worried about? [1]** **What is the next management step in this patient? [1]**
Worried about **neutropenic sepsis** as she as a fever and has recently **underone chemo** If neutropenic sepsis is suspected (i.e. recent chemo + fever) I**V antibiotics must be started immediately - do not wait for WBC**: - Immediately prescribe **IV piperacillin/tazobactam**
101
A 31-year-old gentleman with known epilepsy, depression and type 1 diabetes presents to his GP with a 1-week history of fatigue. He also says his gums have sometimes bled when he brushes his teeth. The GP requests some blood tests, which show the following: Haemoglobin 92 g/L Mean Cell Volume 92 fL White Cell Count (WCC) 1.9 x 10 9 /L Platelet count 29 x 10 9 /L Which drug is most likely to explain the patient's symptoms and blood test results? Phenytoin Sodium valproate Lamotrigine Sertraline Insulin
A 31-year-old gentleman with known epilepsy, depression and type 1 diabetes presents to his GP with a 1-week history of fatigue. He also says his gums have sometimes bled when he brushes his teeth. The GP requests some blood tests, which show the following: Haemoglobin 92 g/L Mean Cell Volume 92 fL White Cell Count (WCC) 1.9 x 10 9 /L Platelet count 29 x 10 9 /L Which drug is most likely to explain the patient's symptoms and blood test results? **Phenytoin** Phenytoin is a cause of **aplastic anaemia**
102
What blood results indicate someone is suffering from aplastic anaemia? [3] How would you describe bone marrow in someone with aplastic anaemia? [1]
**normocytic anaemia, leukopenia and thrombocytopenia**, which is the definition of aplastic anaemia. **hypoplastic bone marrow**
103
A 72-year-old man presents to the haematology clinic after being referred by his general practitioner with facial plethora and splenomegaly. The doctor decides to perform some blood tests that show the following: Hb 208 g/L Male: (135-180) Platelets 467 * 109/L (150 - 400) WBC 12.1 * 109/L (4.0 - 11.0) Haematocrit 0.71 (0.45 - 0.52) JAK2 mutation positive Given the most likely diagnosis, which one of the following medications should be prescribed? Aspirin Imatinib Infliximab Prednisolone Warfarin
**PCV Management** **aspirin** - reduces the risk of thrombotic events **venesection** - first-line treatment to keep the haemoglobin in the normal range **chemotherapy** - hydroxyurea - slight increased risk of secondary leukaemia - phosphorus-32 therapy
104
Which one of the following is the most common inherited thrombophilia? Protein S deficiency Antithrombin III deficiency Protein C deficiency Activated protein C resistance Von Willebrand's disease
Which one of the following is the most common **inherited thrombophilia?** Protein S deficiency Antithrombin III deficiency Protein C deficiency **Activated protein C resistance** Von Willebrand's disease Von Willebrand's disease is the most common inherited bleeding disorder
105
How can you remember that myelofibrosis causes tear dropped rbcs? [1]
It's tear-drop shaped because the **bone marrow is fibrosed**. So the RBC's are being 'pushed' out through a **solid, unforgiving gap**, and as such **become squeezed like a tear drop**.
106
A 29-year-old woman who has a history of recurrent pulmonary emboli is identified as having factor V Leiden. How does this particular inherited thrombophilia increase her risk of venous thromboembolic events? Decreased levels of factor V Increased levels of factor V Activated factor V is inactivated much more slowly by activated protein C Activated factor V is inactivated much more quickly by activated protein C Decreased antithrombin III levels
A 29-year-old woman who has a history of recurrent pulmonary emboli is identified as having factor V Leiden. How does this particular inherited thrombophilia increase her risk of venous thromboembolic events? **Activated factor V is inactivated much more slowly by activated protein C** Factor V Leiden aka **activated protein C resistance**
107
A 65-year-old woman presents to the emergency department with coffee-ground vomit and pain in the upper abdomen. The patient vomits approximately 100 ml of fresh red blood whilst sitting in the waiting room. She takes **apixaban** for atrial fibrillation, metformin for diabetes mellitus and is a long-term user of ibuprofen over the counter for chronic back pain. On examination, the abdomen is soft, but there is generalised tenderness. There is no rebound tenderness or guarding. What is the most appropriate drug to administer? IV andexanet alfa IV heparin IV idarucizumab IV protamine sulfate IV vitamin K
A 65-year-old woman presents to the emergency department with coffee-ground vomit and pain in the upper abdomen. The patient vomits approximately 100 ml of fresh red blood whilst sitting in the waiting room. She takes apixaban for atrial fibrillation, metformin for diabetes mellitus and is a long-term user of ibuprofen over the counter for chronic back pain. On examination, the abdomen is soft, but there is generalised tenderness. There is no rebound tenderness or guarding. What is the most appropriate drug to administer? **IV andexanet alfa** IV heparin IV idarucizumab IV protamine sulfate IV vitamin K
108
A patient presents with a thyoma. What are the top differentials for patients with thyomas? [5]
* **myasthenia gravis** (30-40% of patients with thymoma; think also about muscle weakness) * **red cell aplasia** * **dermatomyositis** * also : **SLE, SIADH**
109
A 43-year-old attends her general practitioner with recurrent infections, reduced appetite and a fullness in her abdomen. She has a history of coeliac disease. Which of the following would likely be seen on a blood film? Basophilic stippling Heinz bodies Howell-Jolly bodies Tear drop poikilocytes Spherocytes
A 43-year-old attends her general practitioner with recurrent infections, reduced appetite and a fullness in her abdomen. She has a history of coeliac disease. Which of the following would likely be seen on a blood film? Basophilic stippling Heinz bodies **Howell-Jolly bodies** Tear drop poikilocytes Spherocytes
110
A 65-year-old man comes to see his GP complaining of intense itching after getting out the shower. This started about two months ago and has not got any better. His past medical history is unremarkable except for a deep vein thrombosis in his left leg three years ago and an episode of gout in his right hallux six years ago. What part of the history indicate that this patient has polycythaemia vera? [2]
A 65-year-old man comes to see his GP complaining of i**ntense itching after getting out the shower**. This started about two months ago and has not got any better. His past medical history is unremarkable except for a **deep vein thrombosis** in his left leg three years ago and an episode of **gout** in his right hallux six years ago. What part of the history indicate that this patient has polycythaemia vera?
111
A 9-year-old girl from Finland is admitted into the hospital with jaundiced, fatigue, and appears to be very unwell. You take an FBC and get the following results: Hb 50 g/l Platelets 250 * 109/l WBC 6 * 109/l Over the preceding week, she developed bright red macules on her cheeks, which her GP diagnosed as erythema infectiosum. There is a family history of similar problems. Examination revealed splenomegaly. **What is the most likely diagnosis?** [1] **Which parts of the vignette help to ID this?**
A 9-year-old girl from **Finland** is admitted into the hospital with **jaundiced, fatigue, and appears to be very unwell**. You take an FBC and get the following results: Hb 50 g/l Platelets 250 * 109/l WBC 6 * 109/l Over the preceding week, she developed **bright red macules on her cheeks**, which her GP diagnosed as **erythema infectiosum**. There is a family history of similar problems. Examination revealed splenomegaly. **Heridatory spherocytosis** The jaundice, fatigue, and splenomegaly strongly suggest a hemolytic crisis Erythema infectiosum is caused by parvovirus infection, which is a precipitant of a hemolytic crisis in patients with hereditary spherocytosis. .
112
Erythema infectiosum, also known as fifth disease, is a common viral exanthem caused by **[]**
Erythema infectiosum, also known as fifth disease, is a common viral exanthem caused by **parvovirus B19.**
113
Which of the following is the universal donor of fresh frozen plasma? A RhD negative A RhD positive AB RhD negative AB RhD positive O RhD positive
Which of the following is the universal donor of fresh frozen plasma? A RhD negative A RhD positive **AB RhD negative** AB RhD positive O RhD positive **Group O is a universal blood donor and group AB is a universal plasma donor.**
114
What are the indications for FFP use? [1]
most suited for '**clinically significant**' but without '**major haemorrhage**' in patients with a **prothrombin time (PT) ratio** or **activated partial thromboplastin time (APTT) ratio** **> 1.5**
115
Describe what the universal donor for FFP is [1]
**AB blood** because it **lacks any anti-A or anti-B antibodies**
116
Cryoprecipitate contains which components (factors?) [5]
- Factor VIII - VWF - Fibrinogen - Factor XIII - Fibronectin
117
Cyroprecipitate contains all of the following components. However, which of the following is most commonly used to replace? - Factor VIII - VWF - Fibrinogen - Factor XIII - Fibronectin
Cyroprecipitate contains all of the following components. However, which of the following is most commonly used to replace? - Factor VIII - VWF - **Fibrinogen** - Factor XIII - Fibronectin
118
What are the indications for cryoprecipitate use? [1] What are the indications for prophylactic use? [1]
most suited for patients for '**clinically** **significant**' but **without** '**major** **haemorrhage**' who have a **fibrinogen concentration < 1.5 g/L** can be used **prophylactically** in patients **undergoing** **invasive** **surgery** where there is a **risk** of **significant** **bleeding** where the **fibrinogen concentration < 1.0 g/L** *example use cases include disseminated intravascular coagulation, liver failure and hypofibrinogenaemia secondary to massive transfusion. It may also be used in an emergency situation for haemophiliacs (when specific factors not available) and in von Willebrand disease*
119
Name an indication for prothrombin complex concentrate? [1]
used for the **emergency** **reversal** of **anticoagulation** in patients with either **severe** **bleeding** or a head injury with **suspected intracerebral haemorrhage**
120
A 30-year-old man is investigated for enlarged, painless cervical lymph nodes. A biopsy is taken and a diagnosis of Hodgkin's lymphoma is made. Which one of the following types of Hodgkin's lymphoma carries the best prognosis? Lymphocyte predominant Mixed cellularity Nodular sclerosing Hairy cell Lymphocyte depleted
A 30-year-old man is investigated for enlarged, painless cervical lymph nodes. A biopsy is taken and a diagnosis of Hodgkin's lymphoma is made. Which one of the following types of Hodgkin's lymphoma carries the best prognosis? **Lymphocyte predominant** Mixed cellularity Nodular sclerosing Hairy cell Lymphocyte depleted
121
CLL is most associated with which of the following? Aplastic crisis Cold autoimmune haemolytic anaemia Myelofibrosis Paroxysmal nocturnal haemoglobinuria Warm autoimmune haemolytic anaemia
CLL is most associated with which of the following? Aplastic crisis Cold autoimmune haemolytic anaemia Myelofibrosis Paroxysmal nocturnal haemoglobinuria **Warm autoimmune haemolytic anaemia**
122
Cold autoimmune haemolytic anaemia is associated with which pathology [1] and certain infections [2]?
Cold autoimmune haemolytic anaemia is associated with **lymphoma** and certain infections, such as **Mycoplasma and Epstein-Barr virus.**
123
Cold autoimmune haemolytic anaemia is associated with which immunoglobulin? [1]
**IgM** = infection + lyMphoMa IgM - Mittens in the cold
124
Warm autoimmune haemolytic anaemia is associated with which immunoglobulin? [1]
**IgG** IgG - sunGlasses in the heat And IgG - G for good, cos warm weather is good
125
A 77-year-old male presents to the haematology clinic after being referred by his general practitioner with general malaise and abnormal blood results. It has been present for the last three months, accompanied by an unplanned weight loss. On examination, the patient looks malnourished, with pale conjunctivae, increased pulse and splenomegaly. The doctor decides to order some blood tests that show the following: Which one of the following is the most appropriate treatment for this patient? Adalimumab Etanercept Imatinib Infliximab Methotrexate
**Imatinib**
126
Which one of the following can be used as part of the treatment for ALL? Adalimumab Etanercept Imatinib Infliximab Methotrexate
Which one of the following can be used as part of the treatment for ALL? Adalimumab Etanercept Imatinib Infliximab **Methotrexate**
127
A 25-year-old lady has developed disseminated intravascular coagulation due to an acute peripartum haemorrhage. After general resuscitation measures, what treatment should be administered first? Vitamin K Platelets Fresh Frozen Plasma (FFP) Recombinant activated FVII Tranexamic acid
**Since cryoprecipitate is not an option, FFP as the first-line therapy is the correct answer.
128
A patient is investigated for leukocytosis. Cytogenetic analysis shows the presence of the following translocation: t(9;22)(q34;q11). Which haematological malignancy is most strongly associated with this translocation? Chronic myeloid leukaemia Acute promyelocytic leukaemia Acute lymphoblastic leukaemia Burkitt's lymphoma
A patient is investigated for leukocytosis. Cytogenetic analysis shows the presence of the following translocation: t(9;22)(q34;q11). Which haematological malignancy is most strongly associated with this translocation? **Chronic myeloid leukaemia** Acute promyelocytic leukaemia Acute lymphoblastic leukaemia Burkitt's lymphoma t(8;14) seen in Burkitt's lymphoma MYC oncogene is translocated to an immunoglobulin gene
129
A 27-year-old woman is admitted to the acute medical unit with worsening shortness of breath, haemoptysis and pleuritic chest pain. A CTPA confirms the presence of a pulmonary embolism (PE) and she is commenced on apixaban. Both her mother and older brother have a history of venous thromboembolism. Which of the following conditions is the most likely underlying cause? Activated protein S resistance Activated protein C resistance Antithrombin III deficiency Deficiency in von Willebrand factor ADAMTS13 mutation
A 27-year-old woman is admitted to the acute medical unit with worsening shortness of breath, haemoptysis and pleuritic chest pain. A CTPA confirms the presence of a pulmonary embolism (PE) and she is commenced on apixaban. Both her mother and older brother have a history of venous thromboembolism. Which of the following conditions is the most likely underlying cause? **Activated protein C resistance** **The most common inherited thrombophilia is factor V Leiden**, which is caused by a mutation in factor V, resulting in resistance to inactivation by protein C. Protein C normally acts to inhibit co-factors FVa and FVIIIa as a negative feedback mechanism in the clotting cascade.
130
A 31-year-old lady presents with a two day history of general malaise and breathlessness. Her past medical history and family history are unremarkable. She does not drink alcohol or smoke. On examination, her sclerae are found to be jaundiced and mild hepatosplenomegaly is noted. Observations show she is tachycardic and tachypneic. Hb 45 g/L Male: (135-180) Female: (115 - 160) Platelets 500 * 109/L (150 - 400) WBC 12.3 * 109/L (4.0 - 11.0) Bilirubin 112 µmol/L (3 - 17) ALP 87 u/L (30 - 100) ALT 33 u/L (3 - 40) γGT 23 u/L (8 - 60) Albumin 37 g/L (35 - 50) Peripheral blood smear mild spherocytosis Which of these tests is most likely to confirm the diagnosis? EMA binding assay Direct Coombs test Indirect Coombs test Serum haptoglobin Hepatitis viral screen
A 31-year-old lady presents with a two day history of general malaise and breathlessness. Her past medical history and family history are unremarkable. She does not drink alcohol or smoke. On examination, her sclerae are found to be jaundiced and mild hepatosplenomegaly is noted. Observations show she is tachycardic and tachypneic. Hb 45 g/L Male: (135-180) Female: (115 - 160) Platelets 500 * 109/L (150 - 400) WBC 12.3 * 109/L (4.0 - 11.0) Bilirubin 112 µmol/L (3 - 17) ALP 87 u/L (30 - 100) ALT 33 u/L (3 - 40) γGT 23 u/L (8 - 60) Albumin 37 g/L (35 - 50) Peripheral blood smear mild spherocytosis Which of these tests is most likely to confirm the diagnosis? **Direct Coombs test** **Spherocytes are found in autoimmune haemolytic anaemia as well as hereditary spherocytosis**
131
Platelet transfusion is appropriate for patients with a platelet count < **[]** x 109 and clinically significant bleeding
Platelet transfusion is appropriate for patients with a **platelet count < 30 x 109** and clinically significant bleeding
132
How can you remember which way around to treat folate / B12? [1]
B comes before F in the alphabet - **B12 before Folate** It is important in a patient who is also deficient in both vitamin B12 and folic acid to **treat the B12 deficiency first to avoid precipitating subacute combined degeneration of the cord**. Consideration in this case should also be given to secondary care referral to identify the underlying cause
133
A 44-year-old man undergoes a distal gastrectomy for cancer. He is slightly anaemic and therefore receives a transfusion of 4 units of packed red cells to cover both the existing anaemia and associated perioperative blood loss. He is noted to develop ECG changes that are not consistent with ischaemia. What is the most likely cause? Hyponatraemia Hyperkalaemia Hypercalcaemia Metabolic alkalosis Hypernatraemia
A 44-year-old man undergoes a distal gastrectomy for cancer. He is slightly anaemic and therefore receives a transfusion of 4 units of packed red cells to cover both the existing anaemia and associated perioperative blood loss. He is noted to develop ECG changes that are not consistent with ischaemia. What is the most likely cause? Hyponatraemia **Hyperkalaemia** Hypercalcaemia Metabolic alkalosis Hypernatraemia The transfusion of packed red cells has been shown to increase serum potassium levels. The risk is higher with large volume transfusions and with old blood.
134
A 73-year-old man develops disseminated intravascular coagulation following an abdominal aortic aneurysm repair. He receives an infusion of cryoprecipitate. What is the major constituent of this infusion? Factor VIII Factor IX Protein C Protein S Factor V
A 73-year-old man develops disseminated intravascular coagulation following an abdominal aortic aneurysm repair. He receives an infusion of cryoprecipitate. What is the major constituent of this infusion? **Factor VIII** Factor IX Protein C Protein S Factor V The correct answer is Factor VIII. Cryoprecipitate is a blood product that is rich in **Factor VIII, fibrinogen, von Willebrand factor, and Factor XIII**
135
How can you differentiate between sequestration crisis and parvovirus infection causing aplastic crisis?
**Aplastic** **anaemia** (triggered by parvovirus) = **low reticulocytes** **Haemolysis** and **sequestration** = **high** **reticulocytes**,
136
EMA binding test is the diagnostic test for G6PD deficiency Hereditary spherocytosis SCA B12 deficiency
**Hereditary spherocytosis**
137
Rivaroxaban and apixaban can be reversed by [1]
Rivaroxaban and apixaban can be reversed by **andexanet alfa**
138
Name a common drug class known to cause haemolytic anaemia [1]
NSAIDs
139
R-CHOP is first line treatment for HL CLL NHL AML CML
R-CHOP is first line treatment for HL CLL **NHL** AML CML
140
Imatinib is the first line treatment for HL CLL NHL AML CML
Imatinib is the first line treatment for HL CLL NHL AML **CML**
141
FCR is the first line treatment for HL CLL NHL AML CML
**CLL**
142
What type of pathology does anaemia with reticulocytosis suggest? [2]
**Haemolysis** or **bleeding** is occurring If **increased** **bilirubin** w/ **normal** **LFTS** = **haemoloysis**
143
What is the role of haptoglobins? [3] What do haptoglobins bind to? [1]
Haptoglobin is a protein produced by the liver that the **body uses to clear free hemoglobin** (found outside of red blood cells) **from circulation.** This forms a **haptoglobin-hemoglobin** complex that is rapidly cleared out of circulation by the liver so that it can be **broken down** and the **iron recycled.** Formation of the haptoglobin-hemoglobin complex also **prevents hemoglobin from being filtered** by the **kidneys** and passed into the **urine**, which can be **toxic** to the kidney **Haptoglobin binds to free hemoglobin in the blood.**
144
Explain the change to haptoglobin levels that occurs when haemolysis is occurring? [3]
**Low haptoglobins**: - Haptoglobins are produced in the liver and **bind to free Hb** - Therefore if haemolysis occurs, more haemoglobin is released into blood; **increasing amount of free Hb** - So there is more **free Hb for haptoglobins to bind to; reducing their no.** *Haptoglobin is a protein produced by the liver that the body uses to clear free hemoglobin (found outside of red blood cells) from circulation. This test measures the amount of haptoglobin in the blood.*
145
Describe the effec tof haemolysis on LDH levels [1]
Increased haemolysis increases LDH as LDH increases when have cell turnover
146
Sudden drop in Hb in a SCA patient indicates what pathology? [1]
**Sequestration** **crisis** (normally get hypovolaemic shock picture)
147
How does an aplastic crisis present? [1] What pathology are aplastic crises associated with? [2]
present as an **anaemic picture** Occurs in **SCA** following **parvovirus** **infection** Occues in **haemolytic spherocytosis**
148
Why does a sequestration crisis occur in SCA? [1]
**Pooling of RBC in spleen**: causing a dangerous drop in the circulating blood volume. Presents as **hypovolaemic shock**
149
Anaphylaxis reaction in blood transfusion occurs due to IgG IgM IgD IgE IgA
Anaphylaxis reaction in blood transfusion occurs due to IgG IgM IgD IgE **IgA**
150
How do you determine between ITP & VWD in case vignettes? [1]
VWD is (in type 1/2) autosomal dominant; so FHx should be mentioned
151
# rmine betwen Intravascular haemolysis is indicated by what blood change? [1]
Decrease in **haptoglobins**
152
What is the treatment of choice for chronic myeloid leukaemia? [1]
**Imatinib**
153
**CLL**
154
**Anaemia**
155
**ALL**
156
**CML**
157
CLL
158
**BCR-ABL fusion protein** *The Philadelphia chromosome is present in more than 95% of patients with chronic myeloid leukaemia (CML). It is due to a translocation between the long arm of chromosome 9 and 22 - t(9:22)(q34; q11). This results in part of the ABL proto-oncogene from chromosome 9 being fused with the BCR gene from chromosome 22. The resulting BCR-ABL gene codes for a fusion protein that has tyrosine kinase activity in excess of normal.*
159
**t(9:22)**
160
**Decreased leukocyte alkaline phosphatase**
161
CML
162
inhibitor of the tyrosine kinase associated with the BCR-ABL defect
163
**hypogammaglobulinaemia**
164
What is the first line therapy for patients with CML? Hydroxyurea FCR Imatinib R-CHOP Ibrutinib
What is the first line therapy for patients with CML? Hydroxyurea FCR **Imatinib** R-CHOP Ibrutinib
165
Which of the following is used in NHL? FOLFOX FOLFIRI FOLFIRINOX ABVD R-CHOP
**R-CHOP**
166
Which of the following is used in HL? FOLFOX FOLFIRI FOLFIRINOX ABVD R-CHOP
Which of the following is used in HL? FOLFOX FOLFIRI FOLFIRINOX **ABVD** R-CHOP
167
A 55 yr old is having chemotherapy for her NHL. Days after treatment, she notices blood in her urine. Which treatment is most likely to have caused this? Doxorubicin Vincristine Cyclophosphomide Cisplatin Bleomcyin
A 55 yr old is having chemotherapy for her NHL. Days after treatment, she notices blood in her urine. Which treatment is most likely to have caused this? Doxorubicin Vincristine **Cyclophosphomide** - causes **haemorrhagic cystitis** Cisplatin Bleomcyin
168
A patient is diagnosed with CML What is the first line treatment? - Infliximab - Imatinib - Vincristine - Ritixumab
A patient is diagnosed with CML What is the first line treatment? - Infliximab **- Imatinib** - Vincristine - Ritixumab
169
170
171