Anatomia do ombro Flashcards

(75 cards)

1
Q

Qual a articulação do corpo com maior amplitude de movimento ?

A

Art. do ombro

How well did you know this?
1
Not at all
2
3
4
5
Perfectly
2
Q

Qual o colo umeral mais proximal ?

A

Colo anatômico

How well did you know this?
1
Not at all
2
3
4
5
Perfectly
3
Q

Qual o colo umeral mais distal ?

A

Colo cirúrgico

How well did you know this?
1
Not at all
2
3
4
5
Perfectly
4
Q

Qual o local do úmero mais comum para ocorrer fraturas ?

A

Colo cirúrgico

How well did you know this?
1
Not at all
2
3
4
5
Perfectly
5
Q

Qual o grau de inclinação superior e retroversão da cavidade glenoidal ?

A

5º // 5º

How well did you know this?
1
Not at all
2
3
4
5
Perfectly
6
Q

Quais os limites do intervalo rotador ?

A

Coracoide (base)
Supraespinal (limite superior)
Subescapular (limite inferior)

How well did you know this?
1
Not at all
2
3
4
5
Perfectly
7
Q

Qual local de fratura no úmero é mais relacionado com osteonecrose de cabeça de úmero ?

A

Colo anatômico

How well did you know this?
1
Not at all
2
3
4
5
Perfectly
8
Q

Quais são os ligamentos na articulação esternoclavicular ?

A

Ligamento interclavicular
Ligamento capsular ou cápsula (+estabilidade)
Ligamento costoclavicular ou romboide

How well did you know this?
1
Not at all
2
3
4
5
Perfectly
9
Q

Qual parte da capsula articular esternoclavicular que é mais forte ?

A

Cápsula POSTERIOR

How well did you know this?
1
Not at all
2
3
4
5
Perfectly
10
Q

Quais as partes da capsula acromioclavicular ?

A

Anterior
Posterior
Inferior
Superior (+ forte)

How well did you know this?
1
Not at all
2
3
4
5
Perfectly
11
Q

Qual o local de inserção dos musculos do manguito rotador ?

A

Subescapular (tuberculo menor)
Infra e supraespinhal + redondo menor (tuberculo maior)

How well did you know this?
1
Not at all
2
3
4
5
Perfectly
12
Q

Qual o local de inserção dos seguintes musculos ? Subescapular,
Infra e supraespinhal, redondo menor

A

Subescapular (tuberculo menor)
Infra e supraespinhal + redondo menor (tuberculo maior)

How well did you know this?
1
Not at all
2
3
4
5
Perfectly
13
Q

Onde se inserem as cabeças do musculos biceps braquial ?

A

Cabeça longa: tuberculo supraglenoidal
Cabeça curta: Processo coracoide

How well did you know this?
1
Not at all
2
3
4
5
Perfectly
14
Q

Onde se inserem as cabeças do musculos triceps braquial ?

A

Cabeça longa: tuberculo infraglenoidal
Cabeça medial e cabeça lateral: porção posterior do umero

How well did you know this?
1
Not at all
2
3
4
5
Perfectly
15
Q

Atrofia do musculo trapézio resulta em…

A

escapula lateralmente alada

How well did you know this?
1
Not at all
2
3
4
5
Perfectly
16
Q

Atrofia do musculo serratil anterior resulta em…

A

escápula medialmente alada

How well did you know this?
1
Not at all
2
3
4
5
Perfectly
17
Q

Qual a amplitude em flexão e extensão da articulação do ombro ?

A

Flexão 0 a 170º
Extensão 0 a 60º

How well did you know this?
1
Not at all
2
3
4
5
Perfectly
18
Q

Quais os estabilizadores da articulação do ombro ?

A

Estáticos: cavidade glenoidal, lábio articular, ligamentos glenoumerais e cápsula articular

Dinâmicos: propriocepção, musculos e tendões do manguito rotador, tendão do biceps braquial, musculos periescapulares

How well did you know this?
1
Not at all
2
3
4
5
Perfectly
19
Q

Quais os ligamentos relacionados a articulação do ombro ?

A

Ligamentos glenoumerais (superior, médio e inferior)
Ligamento coracoacromial
Ligamento acromioclavicular
Ligamento coracoclaviular (conoide e trapezoide)
Ligamento coracoumeral
Ligamento tranverso do úmero

How well did you know this?
1
Not at all
2
3
4
5
Perfectly
20
Q

Quais os ligamentos coracoclaviculares ?

A

Conoide e trapezoide

How well did you know this?
1
Not at all
2
3
4
5
Perfectly
21
Q

O que o conoide estabiliza ?

A

Articulação AC (estabiliza anterior)

How well did you know this?
1
Not at all
2
3
4
5
Perfectly
22
Q

O que o trapezoide estabiliza ?

A

Articulação AC (estabiliza para posterior)

How well did you know this?
1
Not at all
2
3
4
5
Perfectly
23
Q

Músculo trapézio (origem, inserção, nervo, ação e comentário e qual numero)

A

NUMERO 1

Origem: processos espinhosos C VII a T XII
Inserção: clavícula, acromio, espinha da escápula
Nervo: XI (acessório)
Ação: elevação e rotação da escápula
Comentário: Fraqueza resulta em escápula alada

How well did you know this?
1
Not at all
2
3
4
5
Perfectly
24
Q

Musculo levantador da escapula (origem, inserção, nervo, ação e comentário)

A

NUMERO 7
Origem: processos tranversos de C1 a C4
Inserção: parte medial superior da escápula
Nervo: Nervo dorsal da escápula
Ação: elevação da escápula

How well did you know this?
1
Not at all
2
3
4
5
Perfectly
25
Romboide menor (origem, inserção, nervo, ação e comentário)
NUMERO 8 Origem: processos espinhosos Inserção: parte medial da escapula Nervo: dorsal da esc´pula Ação: adução da escápula
26
Romboide maior (origem, inserção, nervo, ação e comentário)
NUMERO 9 Origem: processos espinhosos Inserção: parte medial da escapula Nervo: dorsal da escápula Ação: adução da escápula
27
Deltoide (origem, inserção, nervo, ação e comentário)
NUMERO 3 Origem: clavicula, acromio, espinha da escapula Inserção: tuberosidade para o m deltoide no umero Nervo: axilar Ação: Abdução do braço Comentário: atrofia se lesão do nervo axilar
28
Peitoral maior (origem, inserção, nervo, ação e comentário)
NUMEROS 16,17,18 Origem: clavicula e esterno Inserção: úmero Nervo: peitoral lateral e peitoral medial Ação: adução do braço, RM do úmero Comentário: pode se romper durante o levantamento de peso
29
Peitoral menor (origem, inserção, nervo, ação e comentário)
Origem: costelas Inserção: processo coracoide Nervo: peitoral medial Ação: estabilização da escapula Comentário: Divide a arteria axilar em 3 partes
30
Serrátil anterior (origem, inserção, nervo, ação e comentário)
NUMERO 10 Origem: costelas Inserção: escapula margem anteromedial Nervo: toracico longo Ação: mantem a escapula junto a parede torácica Comentário: paralisia resulta em escápula alada
31
Quais os musculos do manguito rotador e suas inserções ?
Subescapular (tuberculo menor) Infra e supraespinhal + redondo menor (tuberculo maior)
32
Musculo supraespinal (origem, inserção, nervo, ação e comentário)
NUMERO 2 Origem: fossa supraespinal Inserção: tuberculo maior Nervo: supraescapular Ação: abdução do braço a partir de 90º Comentário: tendão mais frequentemente rompido do manguito rotador
33
Musculo infraespinal (origem, inserção, nervo, ação e comentário)
NUMERO 4 Origem: fossa infraespinal Inserção: tuberculo maior Nervo: supraespacular Ação: RL do braço
34
Redondo menor (origem, inserção, nervo, ação e comentário)
NUMERO 13 Origem: parte lateral da escapula Inserção: tuberculo maior Nervo: axilar Ação: RL do braço Comentário: Tendão raramente rompido
35
Subescapular (origem, inserção, nervo, ação e comentário)
Origem: fossa subescapular Inserção: tuberculo menor Nervo: subescapular inferior e superior Ação: RM, adução do braço Comentário: em risco ao acesso inferior
36
Redondo maior (origem, inserção, nervo, ação e comentário)
NUMERO 15 Origem: borda inferior da escápula Inserção: diafise do umero Nervo: subescapular Ação: RM do braço
37
Qual movimento o ligamento glenoumeral superior resiste ?
Translação inferior na adução do ombro
38
Qual movimento o ligamento glenoumeral médio resiste ?
Translação anteroposterior em 45º de abdução
39
Qual movimento o ligamento glenoumeral inferior resiste ?
Enrijece a abdução e é o ligamento glenoumeral mais importante
40
A perda do labrum reduz em X % o efeito de estabilizar o manguito rotador.
20%
41
Qual arteria dá origem a arteria axilar ?
Subclávia --> axilar
42
Qual arteria irriga o úmero e o colo do úmero ?
Arteria circunflexa anterior e posterior Arteria arqueada
43
Quais os espaços anatômicos importantes presentes no manguito rotador ?
Espaço quadrangular Espaço triangular Intervalo triangular
44
Quais os limites e o que passa dentro do espaço quadrangular ?
Redondo menor (13), Cabeças longa do triceps (19), rendondo maior (6), diafise do úmero nervo axilar e arterior circunflexa umeral posterior (14)
45
O que é a sindrome do espaço quadrilatero ?
Síndrome que ocasiona dor inespecifica na lateral do ombro, com piora em ABER. Acomete mais 20-30a e atletas overhead. Tto: conservador
46
Quais os limites e o que passa dentro do espaço triangular ?
redondo maior (6), redondo menor (13) e cabeça longa do triceps (19) Arteria circunflexa da escápula (5)
47
Quais os limites e o que passa dentro do intervalo triangular ?
Redondo maior (6), cabeça longa do triceps (19) e cabeça curta do triceps (18) Nervo radial (17) e arteria braquial profunda (16)
48
Qual o local que a arteria subclavia se torna axilar ?
1º costela
49
Quais ligamentos ficam tensos e frouxos durante abdução do ombro ?
LGUI E LGUM TENSOS LGUS FROUXO
50
Quais ligamentos ficam tensos durante a RE do ombro ?
TODOS
51
Quais as subdivisões do plexo braquial ? (fasciculos e nervos originados)
Fascículo lateral: musculocutaneo, mediano (raiz lateral), peitoral lateral Fascículo medial: peitoral medial, cutâneo medial do braço, cutâneo medial do antebraco, mediano (raiz medial) Fascículo posterior: radial, axilar, subescapular superior, subsescapular inferior e toracodorsal
52
Qual o musculo do manguito rotador mais suscetível a rupturas ?
Supraespinhal
53
Qual o ligamento que estabiliza o tendão proximal do biceps ?
Ligamento transverso do úmero
54
Qual o primeiro nervo que sai do tronco superior do plexo braquial ?
Toracico longo
55
De quais troncos o nervo musculocutaneo é originado ? aponte
Superior e intermédio
56
De qual tronco sai o nervo supraescapular ?
Superior
57
De quais fascículos se origina o nervo mediano ?
Lateral e medial
58
Quais os Nervos originados pelo fascículo posterior?
Subescapular superior Toracodorsal Subescapular inferior Axilar Radial
59
Qual os Nervos originados do fascículo medial ?
Cutâneo medial do braço Cutâneo medial do antebraco Ulnar Mediano
60
O LGUS e restritor de qual tipo de luxaçao ?
Translaçao inferior e anteroposterior a 0º de abduçao
61
O LGUI é restritor de que movimento ?
Banda anterior: rotação externa Banda posterior: rotação interna Geral: Translaçao anteroposterior acima de 45º de abduçao
62
Quais são os compartimentos do braço ?
Anterior: Biceps, coracobraquial, braquial* (n. musculocutâneo + radial*) Posterior: Triceps
63
Complete a imagem Pule números 4. 5, 6 (não tem conexão com ortopedia)
1. Trapézio 2. Deltoide 3. Fáscia e musculo infraespinal 4. Trígono de ausculta 5. Musculo semiespinal 6. Musculo esplênio 7. Musculo levantador da escápula 8. Musculo romboide menor 9. Musculo romboide maior 10. Acrômio 11. Supraespinal 12. Espinha da escápula 13. Musculo infraespinal 14. Redondo menor 15. Redondo maior 16. Latíssimo do dorso 17. Cabeça longa tríceps 18. Cabeça curta tríceps 19. Processo espinhoso
64
Complete a imagem Pular 13,20 e 21
1.Acrômio 2. Intervalo deltopeitoral 3. Deltoide 4. Arteria toracoacromial 5. veia cefalica 6. biceps cabeça longa 7. biceps cabeça curta 8. tríceps cabeça curta 9. Latíssimo do dorso 10. Serrátil anterior 11. Obliquo externo do abdomen 12. Trapézio 13. Musculo omohioideo 14. Musculo esternocleidomastoideo 15. Clavicula 16. Parte clavicular do peitoral maior 17. Parte esternocostal do PM 18. Parte abdominal do PM 19. Esterno
65
Complete a imagem
1. Ligamento transverso superior e incisura da escápula 2. Supraespinal 3. Espinha da escápula 4. Infraespinal 5. Espaço triangular 6. Redondo maior 7. Art. e nervo supraescapular 8. Acromio 9. Incisura espinoglenoidal 10. Tendão do infraespinal 11. capsula do ombro 12. Deltoide rebatido 13. redondo menor 14. Espaço quadrangular 15. Nervo cutaneo lat do antebraço 16. Arteria braquial profunda 17. nervo radial 18. cabeça curta do triceps 19. cabeça longa do triceps
66
COMPLETE A IMAGEM
1. Ligamento esternoclavicular anterior 2. Clavicula e ligamento interclavicular 3. Musculo subclávio 4. Ligamento costoclavicular 5. 1º costela 6. cartilagens costais 7. 2º costela 8. Ligamento esternocostais radiado 9. Disco articular da art. EC 10. NADA KKKK 11. Cavidade articular 12. ligamento costoclavicular 13. Sincondrose da 1º costela 14. Manúbrio do esterno 15. Art esternocostal 16. Sincondrome manubrioesternal
67
Complete a imagem
1. Nervo dorsal da escápula 2. Ramo frênico 3. Nervo para o m subclavio 4. Nervo supraescapular 5. Nervo peitoral lateral 6. nervo musculocutaneo 7. nervo axilar 8. nervo radial 9. nervo mediano 10. nervo ulnar 11. nervo subescapular inferior 12. nervo toracodorsal 13. nervo subesacapular superior 14. nervo peitoral medial 15. nervo cutaneo medial do braço 16. nervo cutaneo medial do antebraço 17. nervo toracico longo
68
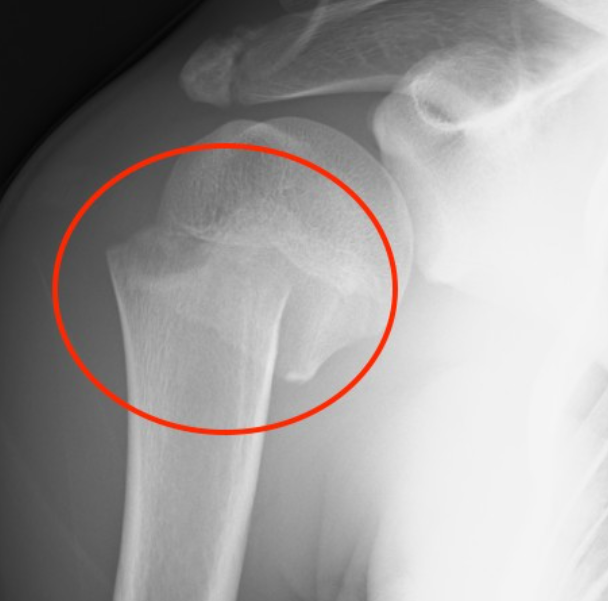
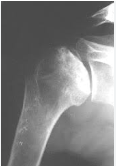
COMPLETE A IMAGEM
1. Corpo da escápula 2. glenoide 3. coracoide 4. colo anatomico do umero 5. tuberosidade maior 6. tuberosidade menor 7. colo cirúrgico
69
COMPLETE A IMAGEM
8. Espinha da escápula 9. clavícula 10. Art. acomioclavicular 11. Acromio 12. Diafise do úmero
70
COMPLETE A IMAGEM
1. Lig coracoclaviculares 2. Lig acromioclavicular 3. Lig coracoacromial 4. Tendão supraespinhal 5. Lig. coracoumeral 6. Tendão subescapular 7. Tendão do CLB
71
Qual origem, inervação e inserção do músculo assinalado?
Origem: clavícula, acrônimo e espinha da escapula Inserção: tuberosidade do deltoide e úmero Inervação: nervo axilar (c5-c6)
72
Qual é essa estrutura e qual o local mais comum de compressão ?
supraescapular e a incisura supraescapular.
73
Qual a estrutura apontada ?
Tendão da cabeça longa do bíceps
74
Qual a estrutura apontada?
Tendão da cabeça longa do bíceps
75
Qual a estrutura apontada?
Tendão da cabeça longa do bíceps