Kienbock Flashcards

(24 cards)

1
Q

Defina doença de Kienbock

A

Necrose avascular do semilunar

How well did you know this?
1
Not at all
2
3
4
5
Perfectly
2
Q

Qual idade e sexo mais acometido pela doença de kienbock ?

A

15-40a
Homens

How well did you know this?
1
Not at all
2
3
4
5
Perfectly
3
Q

É mais comum acometimento uni ou bilateral ?

A

Unilateral

How well did you know this?
1
Not at all
2
3
4
5
Perfectly
4
Q

É mais comum acometimento de membro dominante ou não dominante ?

A

Dominante

How well did you know this?
1
Not at all
2
3
4
5
Perfectly
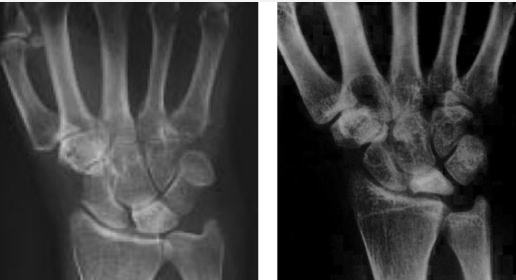
5
Q

Qual as etiologias prováveis para inicio da doença de kienbock ?

A

Trauma prévio
Microtraumas repetitivos
Ulna minus (foto)
Insuficiência arterial
Formato do semilunar triangular

How well did you know this?
1
Not at all
2
3
4
5
Perfectly
6
Q

Porque a ulna minus é fator de risco para o kienbock ?

A

Aumenta pressão sobre o semilunar

How well did you know this?
1
Not at all
2
3
4
5
Perfectly
7
Q

Qual a clínica da doença de Kienbock ?

A

Inicia com dor (progressiva) em região dorsocentral do punho + edema. Evolui com limitação de flexoextensão e desvio ulnar e radial.

How well did you know this?
1
Not at all
2
3
4
5
Perfectly
8
Q

Descreva o estadiamento de Lichtman

A

I: Rx normal, podendo apresentar fratura

II: Aumento da densidade do semilunar sem colapso

IIIA: fragmentação do semilunar com colapso, porém sem instabilidade

IIIB: Fragmentação do semilunar com colapso e desalinhamento (instabilidade) carpal

IIIC: Fratura coronal cronica do semilunar

IV: alterações artrósicas perilunares

How well did you know this?
1
Not at all
2
3
4
5
Perfectly
9
Q

Qual alteração característica do tipo IIIB de Lichtman ?

A

Rotação do escafoide

How well did you know this?
1
Not at all
2
3
4
5
Perfectly
10
Q

Como é feito diagnóstico da doença de kienbock ?

A

Clínica + Rx. Se dúvida, RM ou cintilo

How well did you know this?
1
Not at all
2
3
4
5
Perfectly
11
Q

Porque o estágio I precisa solicitar RM para diagnóstico imagenológico ?

A

Porque não vê no rx as alterações

How well did you know this?
1
Not at all
2
3
4
5
Perfectly
12
Q

Quais são os padrões de vascularização do semilunar ?

A

y
x
I

How well did you know this?
1
Not at all
2
3
4
5
Perfectly
13
Q

Qual o tipo de vascularizaçao que torna o semilunar mais sucetível a necrose ?

A

Tipo I

How well did you know this?
1
Not at all
2
3
4
5
Perfectly
14
Q

Na doença de Kienbock, o padrão mais comum de fratura do osso semilunar acomete o polo ________________ (anterior/posterior/distal/proximal)

A

anterior

How well did you know this?
1
Not at all
2
3
4
5
Perfectly
15
Q

Qual o padrão da doença de Kienbock na RNM ?

A

T1 (hipossinal)
T2 (hiperssinal)

How well did you know this?
1
Not at all
2
3
4
5
Perfectly
16
Q

Qual o tratamento incruento para a doença de Kienbock ?

A

Imobilização gessada ou órtese
AINE ou analgésico
Crioterapia
TENS

17
Q

Qual o tratamento para Kienbock estádio I ?

A

Inicialmente, imobilização por 3 meses. Se permanecer limitação, cirurgia.

Como é doença progressiva, é difícil não ir para cirurgia

18
Q

Qual tratamento para Kienbock estádio II e IIIA com ulna minus ?

A

Osteotomia de encurtamento do rádio ou alongamento da ulna (nivelamento articular)

19
Q

Qual tratamento para Kienbock estádio II e IIIA sem ulna minus ?

A

Enxerto vascularizado + fixação temporária do escafocapitato ou capitato hamato para evitar colapso durante processo de revascularização

20
Q

Qual tratamento para Kienbock estádio IIIB ?

A

Correção de desvios rotacionais
Artrodeses (escafotrapezio trapezoide)
Carpectomia

21
Q

Se presença de artrose (estágio IV), qual possibilidade de cirurgia pode ser feita ?

A

Ressecção da fileira proximal do carpo
Artrodeses segmentares do carpo ou artrodese do punho

22
Q

Se utilização de enxerto para kienbock, de qual arteria é proveniente o enxerto ?

A

Artéria intercompartimental entre 4 e 5º compartimento extensor

23
Q

Em relação ao tratamento cirúrgico da doença de KIENBÖCK em pacientes com ulna minus, a técnica cirúrgica de nivelamento articular consiste no encurtamento do rádio em _________ mm

24
Q

Resumo dos tratamentos por estágio

A

I. conservador. Se não melhorar, trata como II

II e IIIA com ulna minus: Encurtamento radial ou alongamento da ulna ou

II e IIIA sem ulna minus: Enxerto vascularizado ou encurtamento do capitato

IIIB. Carpectomia proximal, triartrodese

IV. Artrodese total do punho, carpectomia proximal, artrodese intercarpal