anatomy Flashcards

(68 cards)

1
Q

supraspinous ligament only exists between approx

A

C7 and L3/4

How well did you know this?
1
Not at all
2
3
4
5
Perfectly
2
Q

label these spinal ligaments

A

A) anterior longditudinal
B zygopophyseal
C supraspinous
D intertransverse
E flavum

How well did you know this?
1
Not at all
2
3
4
5
Perfectly
3
Q

bifid spinous process which vertebrae

A

cervical

How well did you know this?
1
Not at all
2
3
4
5
Perfectly
4
Q

which vertebrae small vertebral foramnia

A

thoracic

How well did you know this?
1
Not at all
2
3
4
5
Perfectly
5
Q

which vertebrae long slender transverse processes

A

lumbar

How well did you know this?
1
Not at all
2
3
4
5
Perfectly
6
Q

where do the vertebral arteries travel

A

transverse foramina

How well did you know this?
1
Not at all
2
3
4
5
Perfectly
7
Q

where are the transverse foramina

A

cervical vertebrae, inside the transverse processes

How well did you know this?
1
Not at all
2
3
4
5
Perfectly
8
Q

what is hangman’s fracture

A

bilateral # pars interarticularis

How well did you know this?
1
Not at all
2
3
4
5
Perfectly
9
Q

what is C7 known as

A

verterbra prominens

How well did you know this?
1
Not at all
2
3
4
5
Perfectly
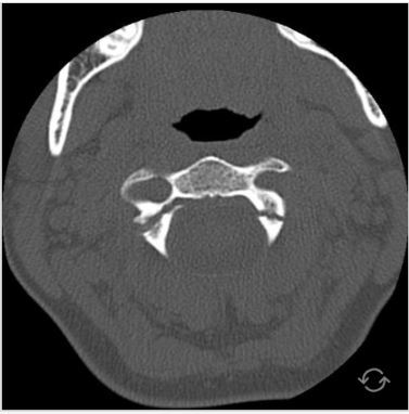
10
Q

what is this and what is it called?

A

burst # of the atlas
Jefferson #

How well did you know this?
1
Not at all
2
3
4
5
Perfectly
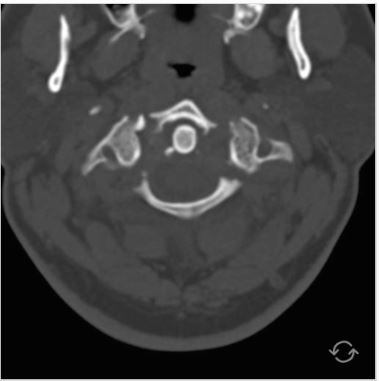
11
Q

what is this and what is it called?

A

bilateral # pars articularis
hangman #

How well did you know this?
1
Not at all
2
3
4
5
Perfectly
12
Q

what is this and what is it called?

A

dens #

How well did you know this?
1
Not at all
2
3
4
5
Perfectly
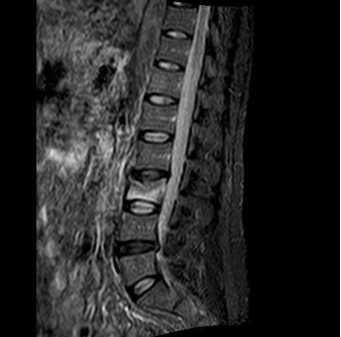
13
Q

what is this and what is it called?
risk factor? why?

A

wedge # of L3
osteoporosis - trabecular bone

How well did you know this?
1
Not at all
2
3
4
5
Perfectly
14
Q

acromioclavicular joint is a … joint

A

planar synovial

How well did you know this?
1
Not at all
2
3
4
5
Perfectly
15
Q

axillary nerve roots

A

c5/6

How well did you know this?
1
Not at all
2
3
4
5
Perfectly
16
Q

pec major inserts

A

intertubercular groove

How well did you know this?
1
Not at all
2
3
4
5
Perfectly
17
Q

which is teres major and which is minoe

A

minor is highlighted, major is below

How well did you know this?
1
Not at all
2
3
4
5
Perfectly
18
Q

teres min major actino

A

lateral rotation

How well did you know this?
1
Not at all
2
3
4
5
Perfectly
19
Q

infraspinatus major action

A

lateral rotation

How well did you know this?
1
Not at all
2
3
4
5
Perfectly
20
Q

which is the only cuff muscle which attaches to the lesser tuberosity

A

subscapularis

How well did you know this?
1
Not at all
2
3
4
5
Perfectly
21
Q

clinical appearance radial nerve palsy

A

wrist drop

How well did you know this?
1
Not at all
2
3
4
5
Perfectly
22
Q

name of distal wrist fracture with dorsal angulation

A

Colles #

How well did you know this?
1
Not at all
2
3
4
5
Perfectly
23
Q

distal radius articulates with

A

scaphoid, lunate, ulna

How well did you know this?
1
Not at all
2
3
4
5
Perfectly
24
Q

how do you get Colles #

A

fall onto an outstretched hand

How well did you know this?
1
Not at all
2
3
4
5
Perfectly
25
An anteriorly angulated distal radius fracture is more commonly referred to as a
sMITH #
26
how do you get Smith #
fall onto dorsum of outstretched hand
27
what are the medial and lateral borders of anatomical snuffbox?
The medial border is defined by the extensor pollicis longus tendon. The lateral border is defined by the tendons of extensor pollicis brevis and, just lateral to this but intimately related, abductor pollicis longus.
28
what is the reason behind scaphoid # complications
bloodflow is distal to proximal
29
Following neck of femur fracture, patients commonly present with ...and ... of the affected lower limb
shortening and external rotation
30
Following neck of femur fracture, patients commonly present with shortening and external rotation of the affected lower limb. Which muscle is responsible for this clinical appearance?
iliopsoas
31
Which strong ligament reinforces the hip joint anteriorly, and therefore makes anterior dislocations far less common than posterior dislocations?
iliofemoral
32
tibiofemoral dislocation with anterior tibial displacment of the tibia can put which nuerovascular structures at risk
The popliteal artery, and the tibial and common peroneal nerves
33
what sort of # is this
comminuted
34
Several structures pass posterior to the medial malleolus to reach the plantar aspect of the foot. what are they
tom dick and very naughty harry tendon tibialis posterior flexor digitorum longus tendon posterior tibial artery posterior tibial vein tibial nerve flexor hallucis longus tendon
35
Which ligament supports the ankle on the medial side?
deltoid ligament (WTF not helpful)
36
what are Weber fractures of the lateral malleolus and which are least stable
ABC C is most proximal and is most unstable. It is proximal to the tibiofibular syndesmosis
37
what are the lateral malleolus ligaments of the ankle
(anterior talofibular, posterior talofibular and calcaneofibular)
38
how can yuo tell on xray that hip replacement is cemented
more opacity in middle of femur
39
cemented vs uncemented hip replacement pros and cons
cemented pros - preffered for irradiated bone as this bone can't ingrow anyway, initial and longterm stability cemented cons - limited remodelling potential, narrower stem can break uncemented pros - better remodelling potential, less likely for stem to break because iy's wider uncemented cons
40
in tkr, what are the two bits made of
femoral - metal tibial metal tray and plastic spacer which replaces the menisci
41
what structures can be lost in tkr
menisci and cruciate ligs
42
fractures need to be ... and ... in order for healin to occur
approximated fixated
43
what is this fixation
intra-medullary nail
44
what is this fixation
k wires
45
define: osteogenesis osteoinduction osteoconduction
bone building pathway to induction of osteogenesis provision of a scaffold to help new bone growth
46
47
which ligamenets can be used for ACL reconstruction
patella ligament and semitendinosus tendon and gracilis tendon
48
who does an allograft come from
a donor
49
who does a xenograft come from
another species
50
who does a alloplast come from
an inert object
51
who does an isograft come from
a twin
52
define Arthrodesis
surgical fusion of a joint
53
what is osteotomy
taking out a section of bone
54
what is this procedure, what does it do
kyphoplasty balloon inflated into collapsed vertebrae in kyphosis
55
what is the test for hip dysplasia
Barlow
56
which imagine modaility for hip dysplasia. why
USS, ossification not complete
57
what/where is this
hilgenreiner's line along inferior aspect of triradiate cartilage.
58
acetabular index line
59
what should the angle between hilgenreiner and acetabular index be at what age
0 - 1 year old < 34 1 > 4 year old < 28 > 4 year old < 25
60
in DDH, what angles will correct with splint vs require surgery
An angle of <45 deg will spontaneously correct with splintage, whereas angle of > 60 deg will usually require surgery.
61
management of DDH
Newborn Splintage in abduction (Pavlik harness, Von Rosen splint) 6 - 18 months Closed reduction – Traction, Splintage Open reduction and Splintage
62
what signs fo perthe's can be seen on xray
femoral head or neck deformity asymmetric epiphyseal size femoral head fragmentation subchondral lucency
63
what is this, what can you diagnose if it's off. who gets it
Kleine line SUFE adolescents
64
oresentation of SUFE
limp and pain that sometimes radiates to the knee
65
what is SUFE
femoral head slip
66
what is the proper name of clubfoot
Talipes Equinovarus
67
67