muscle Flashcards

(23 cards)

1
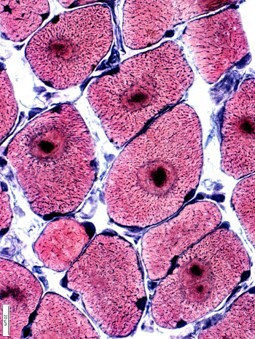
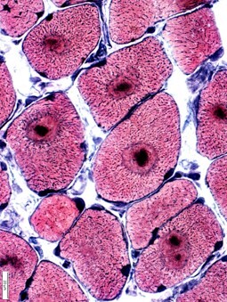
Q

what is happening here and what are these muscle fibres called

A

muscle reinnervation after injury to motor neurone
target fibres

How well did you know this?
1
Not at all
2
3
4
5
Perfectly
2
Q

what do muscle fibres look like when they are de-innervated

A

flat and de-inflated

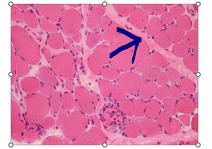
How well did you know this?
1
Not at all
2
3
4
5
Perfectly
3
Q

infantile myopathic hypotonia has two types. Explain the differnece seen in histology

A

classic CFTD: type 1 small, type 2 large

non-classic: large type 2, small type 1

How well did you know this?
1
Not at all
2
3
4
5
Perfectly
4
Q

which stain for muscle fibres in babies

A

ATP-ase

How well did you know this?
1
Not at all
2
3
4
5
Perfectly
5
Q

slow type 1 muscle fibres stain

A

pale

How well did you know this?
1
Not at all
2
3
4
5
Perfectly
6
Q

quick type 2 fibres stain

A

dark

How well did you know this?
1
Not at all
2
3
4
5
Perfectly
7
Q

which muscle fibres are predominatly lost in ageing

A

fast type 2

How well did you know this?
1
Not at all
2
3
4
5
Perfectly
8
Q

signs of dermatomyositis

A

V sign rash on chest
red rash over eyes with oedema
Gottron’s papules on knuckles

How well did you know this?
1
Not at all
2
3
4
5
Perfectly
9
Q

which is the most common ANA in dermatomyositis

A

Anti-Jo1

How well did you know this?
1
Not at all
2
3
4
5
Perfectly
10
Q

sequalea of untreated dermatomyositis

A

calcifications in skin and muslces

How well did you know this?
1
Not at all
2
3
4
5
Perfectly
11
Q

tx dermatomyositis acute

A

1mg/kg prednisolone until creatine kinase normalised and then add 2 weeks to avoid rebound

How well did you know this?
1
Not at all
2
3
4
5
Perfectly
12
Q

maintenance tx dermatomyositis

A

azathioprine
methotrexate
rituximab

How well did you know this?
1
Not at all
2
3
4
5
Perfectly
13
Q

inclusion body myositis which muscles, which demographic

A

elderly men
quadriceps
finger and wrist flexors

How well did you know this?
1
Not at all
2
3
4
5
Perfectly
14
Q

inclusion body myositis, which big problem

A

dysphagia because of skeletal muscle in oesophagus

How well did you know this?
1
Not at all
2
3
4
5
Perfectly
15
Q

histology of inclusion body myositis(4)

A

amyloid plaques, tau bodies, presinilin 1, apolipoprotein E deposits in the muslce

How well did you know this?
1
Not at all
2
3
4
5
Perfectly
16
Q

what is inclusion body myosistis

17
Q

which enzyme affected by Duchenne and Beckers musculodystrophies

18
Q

Duchenne which MOI

A

X linked recessive

19
Q

which groups of muscles affected by Duchenne and Becker

20
Q

what do you see on dystrophin staining in Duchenne vs Becker

A

Becker - decreased ring
Duchenne - absent ring

21
Q

what is this consequesnce of muscular dystrophies

A

endomysial fibrosis

22
Q

which common drug increases risk of statin induced rhabdomyolysis

A

Amiodarone increases risk of statin induced rhabdomyolysis

23
Q

drug induced myopathies

A

Corticosteroids
Fluorinated steroids
Dose dependent
Type 2 fibre atrophy
Statins
Approx 10% of patients
Rhabdomyolysis
Seems to affect type II fibres more
Alcohol
Chronic - slow progressive proximal weakness
Acute - single heavy session
Hydroxychloroquine
Not dose dependent