bones Flashcards

(30 cards)

1
Q

which site is preferred for bone marrow transplantation

A

iliac cret

How well did you know this?
1
Not at all
2
3
4
5
Perfectly
2
Q

where does red bone marrow persist into adulthood

A

spongy bones of vertebrae, ribs, sternum, cranium and epiphyses of long bones

How well did you know this?
1
Not at all
2
3
4
5
Perfectly
3
Q

what is the role of sclerostin

A

inhibits bone growth

How well did you know this?
1
Not at all
2
3
4
5
Perfectly
4
Q

which mab for osteoporosis? what does it do

A

romosozumab - inhibits sclerostin

How well did you know this?
1
Not at all
2
3
4
5
Perfectly
5
Q

osteoclasts dissolve hydroxyapatite by pumping acid onto it. how do they maintain their own intracellular pH

A

also peeing out HCO3- from the “back side”

How well did you know this?
1
Not at all
2
3
4
5
Perfectly
6
Q

what enzymes complete the hydrolysis of matrix proteins during bone resorption

A

Cathepsin K and collagenases

How well did you know this?
1
Not at all
2
3
4
5
Perfectly
7
Q

osteoblasts secrete… what is it

A

osteoid - unmineralised bone cement

How well did you know this?
1
Not at all
2
3
4
5
Perfectly
8
Q

what do osteoblasts become and where do they live

A

osteocytes, in lacunae

How well did you know this?
1
Not at all
2
3
4
5
Perfectly
9
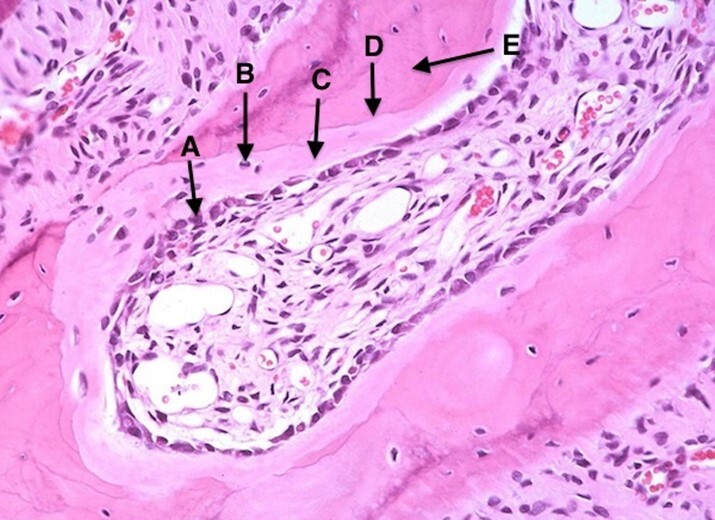
Q
A

A - osteoblast
B - osteocyte
C - unmineralised osteoid
D - cement line
E - mineralized bone

How well did you know this?
1
Not at all
2
3
4
5
Perfectly
10
Q

what regulates elimination of phosphate via the kidneys, which directly impacts on the calcium balance

A

FGF23

How well did you know this?
1
Not at all
2
3
4
5
Perfectly
11
Q

what lowers plasma Ca levels by directly inhibiting oscteoclast activity

A

calcitonin

How well did you know this?
1
Not at all
2
3
4
5
Perfectly
12
Q

what sort of parathyroidism do you get with renal failure

A

secondary hyperparathyroidism

How well did you know this?
1
Not at all
2
3
4
5
Perfectly
13
Q

drug used in treating secondary hyperparathyroidism in patients with chronic renal failure on dialysis. moa

A

cinacalcet
allosterically sensitises CaSR receptor, leading to less parathyroid secretion

How well did you know this?
1
Not at all
2
3
4
5
Perfectly
14
Q

2 brand names for cinacalcet

A

sensipar
mimpara

How well did you know this?
1
Not at all
2
3
4
5
Perfectly
15
Q

where does the last hydroxylation of vit D take place

A

PCT

How well did you know this?
1
Not at all
2
3
4
5
Perfectly
16
Q

what stimulates the last hydroxylation of vit D

17
Q

what inhibits the last hydroxylation of vit D

A

calcitriol, FGF23 and/or phosphate

18
Q

how does vit D induce the precipitation of Ca and phosphate in osteoid

A

raising the concentrations in plasma above the solubility maximum

19
Q

how does calcitriol help stop fractures

A

increases formation of collagen 1 by osteoblasts

20
Q

where is the central target organ of calcitriol. why

A

duodenum, increase absorption of Ca

21
Q

what is the overriding effect of FGF23

A

reduces serum phosphate levels

22
Q

what happens in gain of function FGF23 mutation in a baby

A

hypophosphataemic ricketts

23
Q

what happens if you get paraneoplastic FGF23 GOF mutation

A

tumour-induced osteomalacia

24
Q

what happens if FGF23 doesn’t work

A

hyperphosphatemic familial tumoral calcinosis. extra calcium deposits everywhere. very bad

25
which X-linked gene can cause hypophostphataemia
PHEX
26
which enzyme does the final hydroxylation of vit D
1-alpha-hydroxylase
27
lack of thyroid hormone in children causes
dwarfism
28
hyperthyroidism effect on bones
osteoporosis
29
FSH stimulates which bone cell activity
osteoclast
30