Hvilket lig. ryker ofte på lateralsiden ved ankelovertråkk?
lig. talofibulare
calcaneofibulare anterior ( bakre kan ryke også, men sjeldent.)
Retinakelet kan også ryke.

Skade på lig.deltoideum kan forårsake problemer for talus - hvorfor?
Mesteparten av blodforsyningen til talus går gjennom der.
Ved supinasjonstraume ryker ofte ligamenter - hvilke?
ATFL ( 50 %)
+ CFL ( 25 %)
+ PTFL ( 1 %)
Ved grad 3 skade av ankelovertråkk - er behandlingen lik som ved grad 1 og 2 ?
Ja. Ingen forskjell.
Ankelfrakturer kan deles inn i hvilke typer?
Weber A, b og C
Hva er typisk ved peronus dislokasjon?
Hevelse lateralt. knepper og smeller ofte i ankel.
Kan se en avulosajonsfraktur ved feste av retinakelet - tenk peroneus dislokasjon.
Misfarging/ekkymoser i planta/fotsålen bør vekke mistanken om …..?
Talusfraktur!
Ottawa-reglene er ?

Syndesmose-tester i akutt setting - har den god spesifisitet og sensitivitet?
Nei, men bør gjøres. MR best.
Talar tilt er en gjennomlysningstest?
Ja.
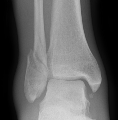
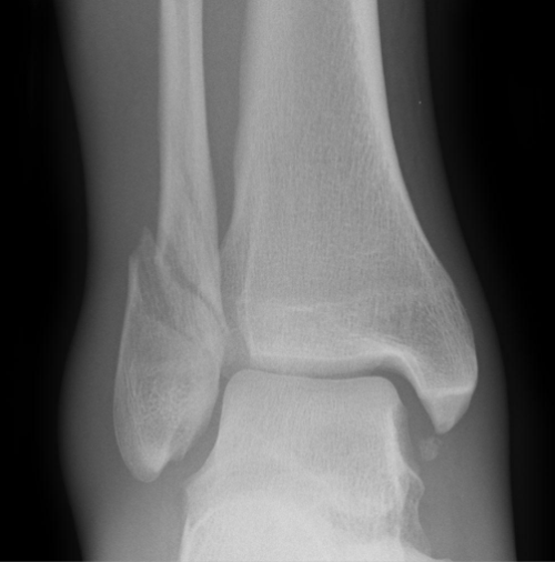
Hva slags fraktur er dette?

Weber B.
distal extent at the level of the talar dome; may extend some distance proximally
usually spiral
tibiofibular syndesmosis usually intact, but widening of the distal tibiofibular joint (especially on stressed views) indicates syndesmotic injury
medial malleolus may be fractured
deltoid ligament may be torn, indicated by widening of the space between the medial malleolus and talar dome
variable stability, dependent on the status of medial structures (malleolus/deltoid ligament) and syndesmosis; may require ORIF
Weber B fractures could be further subclassified as 9
B1: isolated
B2: associated with a medial lesion (malleolus or ligament)
B3: associated with a medial lesion and fracture of posterolateral tibia

Man kan dele opp behandlingen av ankelskader i tre deler. forklar.
Kan bruke tape/elastiske bind.
Trening: 10 min daglig i 10 uker.
Weber A, B og C - kan du forklare de ulike frakturene?

Når kan man starte full aktivitet etter ankelskade?
Kan gå tilbake til risikosporter etter at funksjonen har kommet tilbake, 95 % av styrke.
skal bruke tape eller ortose ca halvt år. Risiko for ny skade høyest første 6 mnd.
Hva er sterkeste del av syndesmosen?
Interossøse ligament mellom tibia og fibula.

Nervus peroneus superficialis innerverer hvor?

Hvordan kan man vurdere fibulas lengde ved rtg.?
Falketannen - skal flykte med tibia.

Hvor mange projeksjoner skal du få ved rtg. av ankel?
3.

Hvordan reponere ankelbrudd?

Trenger ikke så mye smertestillende.
Legg hånden dere har bak calcaneus til å trekke talus fremover og dytte mot medialsiden.
Hold der mens dere gipser. 1 - 2 lag kalk-gips - U-laske rundt. Ta samme kompresjon som tidligere i gipsen.
Når skal man operere en ankelfraktur?
Kirurgi innen 6- 8 timer?
Ellers til avsvelling noen dager - husk grovreponering.
Hvis pasienten kommer inn på natta - ofte bedre å vente.

Kontraindikasjoner mot ankeloperasjon?

Hvordan vurdere om en ankel er klar for operasjon?

Hvordan er prognosen ved ankelfrakturer?

Hva er en stabil ankelfraktur?
Fraktur hvor talus ikke kan få flyttet på seg. ustabile skal opereres