Hvilken bildemodalitet bør man ta ved distal albuefraktur?
CT. Rtg gir ofte dårlig oversikt.
Hvilke strukturer er mest utsatt ved en distal humerusfraktur?
N.radialis og a.brachialis
Skal en distal humerusfraktur opereres?
Ja, de aller fleste. Gipses med U-laske i påvente av operasjon. Kun udisloserte frakturer hos voksne opereres ikke. Da rtg.kontroll 1 uke og 3 uke. Opererte brudd øvelsesstabile etter platefiksasjon og kontrolleres etter 6 uker.
Hvilke strukturer er man redd for ved reponering av en luksert albue?
Fraktur i processus coronoideus, caput/collum radii eller capitellum humeri.

Hvordan reponere en luksert albue?

Skal albueluksasjoner med fraktur opereres?
Ja. Samme ved samtidig instabilitet/kar eller nerveskade.
Hva viser bildet, og hvilke tiltak gjør du?

Olecranon-fraktur.
Skal nesten alltid opereres. Gipses med U-laske og henvises sykehus for kirurgi. Op.m/pinner og cerclage, alt.med platefiksasjon ved uttalt knusing.
Brudd med under 2 mm dislokasjon hos pasienter med lave funksjonskrav kan iblant behandles konservativt men kun etter konf.med ortoped. Stor fare for stivhet i albuen!
hvilken skade mistenker du ved disse kliniske funnene:
Skade på caput eller collum radii. Må mistenke fraktur. Ta rtg. evt. CT for å kartlegge step i leddflaten.
Pasienten har tatt seg for ved fall. Nå hevelse, smerte og feilstilling i underarm. Diagnose?

Antebrakiumfraktur.
Etter operasjon - fritt bevegelig, men ikke belastning de første 8 ukene.
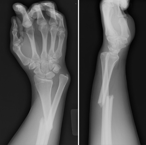
Hva er en såkalt Galeazzifraktur?
Brudd i radiusskaftet( oftest mellom midtre og distale 1/3) og samtidig dislokasjon av distale radioulnarleddet(DRUJ). Skyldes oftest fall eller traume.
Kliniske funn:

Hvordan er behandlingen ved en Galeazzi-fraktur?
Først rtg. håndledd, underarm(front og side).
Tiltak:
Oppfølging:
Brudd i ulnaskaftet(oftest proksimale 1/3) med samtidig dislokasjon av caput radii kalles for ………?
Og hvilken nerve er spesielt utsatt ved en slik skade?

Hvordan behandles en Monteggia-fraktur?
Gipses med laske fra MCP til aksille og opereres på sykehus.
Hvis caput radii på plass; mobilisering uten belastning 8 uker. Enkelte ganger må ligamentum annulare eksploreres og suturers preoperativt.
Diagnose og tiltak?

Ilsert fraktur av ulnaskaftet.
Flesteparten opereres.
Konservativt ved; sikkert direkte traume, mindre enn 1/4 benbreddes dislokasjon og under 10 grader vinkelfeilstilling i sideplan.
Gipses med laske fra MCP til aksille, så ortose som tillater full bevegelse i albuen ute nrotasjon i underarmen. Frakturer i distale 1/3 kan vurderes for lav gips.
Operativ behandling: åpen reponering og platefiksasjon.
KOntroll: Ingen vektbelastning første 8 uker postoperativt.
Ved kons.beh.: rtg.kontroll og bytte av ortose og kontorllere bruddstillingen. Avsluttende kontroll 8 uker etter skaden.
udisloserte brudd i distale 1/3: lav gips, kontorll 7 - 10 dager og total gipsetid 6 uker.
Hva er en Essex-Lopresti-skade?
Gipses med laske MCP–>aksille. Opereres.

Ved hevelse, misfarging og palpasjonsømhet rundt håndleddet, samt feilstilling i dorsal og radial retning - hvilket håndleddsbrudd kan man mistenke?
Distal radiusfraktur.
Hva er normal volar tilt av leddflaten i håndleddet? Hvordan måles den?
11 grader. Måles fra en linje vinkelrett på radius` lengeakse.

Hva er radial høyde, og hvordan måles denne?
mål for forkortning av radius. Måler avstanden fra ulnas leddfalte til spissen av styloideus radii, normalt 12 mm( 8 - 18mm). Evt. sammenlign med friskt håndledd.

Radial inklinasjon er vinklingen av radius`leddflate. HVa er denne vinkelen normalt? Varierer den mye fra pasient til pasient?
Normalt 23 grader, varier fra 13 til 30. Kan sammenligne med frisk side hvis tvil.

Hva er radiocarpal malalignement?
Avstanden i sideplan mellom en linje trukket sentralt i radius lengdeakse og en linje sentralt i håndrotsknoklene(lunatum) videre ut i metakarpene. Skal være under 3 mm.

Hvilke funn ved håndleddsbrudd FØR reponering medfører normalt operativ behandling( altså uavhengig av rtg. etter reponering) ?
OBS - bruddene skal alikevel reponeres akutt –> bedre smertelindring og forebygger senskader.
Hva er operasjonsindikasjon etter reponering hos fysisk unge pasienter?
For pas. over 70 år og/eller demenspasienter, redusert funksjonsnivå eller dårlig compliance aksepteres større feilstillinger.
Beskriv hvordan du ville reponere en distal radiusfraktur.