Når skal man ta rtg. thx ved klinikk på ribbensbrudd?
Kun ved mistanke om pneumothorax.
Hva er dette?

Bucklefraktur( torusfraktur). Metafysene hos barn består av mykt ben og tynnere korteks som kan gi etter under kompresjon og forårsake den typiske torusfrakturen. Beskrives som en bulk i en ellers intakt korteks. Stabilt og behandling er generelt smertelindring i noen uker.
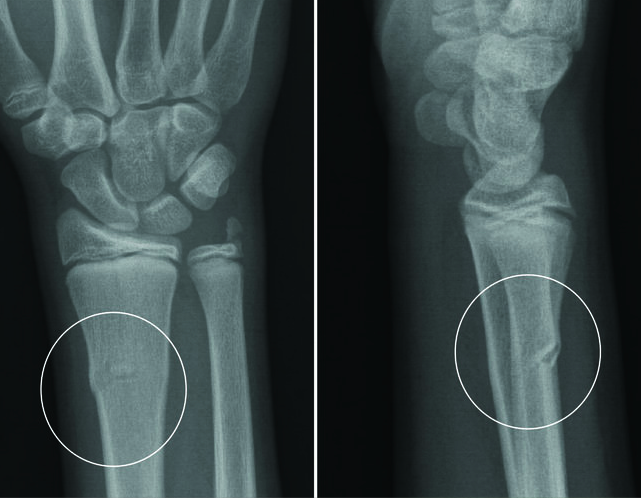
Dette er?

Klassisk greenstick-fraktur. Ofte å se i diafysen i lange rørknokler. Knokkelen gir etter på strekkesiden, der korteks ryker og åpner seg, mens på kompresjonssiden dannes en plastisk deformitet med intakt korteks. Må ofte reponeres ettersom den ulike involveringen av korteks på strekke-og bøyesiden av frakturen skaper en instabilitet som fører til feilstilling.

Hvordan deler man inn brudd i vekstsoner?
Ved Salter-Harris- inndeling.
