Define aortic dissection.
Separation in aortic wall intima, causing blood flow into a new false channel composed of the inner and outer layers of the media.

How common is aortic dissection?
Usually affects men >50yrs
6 in 100,000 incidence in UK
What are the risk factors for aortic dissection?
Other: old age, GCA, overlap connective tissue disorders (e.g. RA, SLE, sjogren syndrome), surgical/catheter manipulation, cocaine/amphetamine use, heavy lifting, pregnancy, non-diabetic.
Explain the aetiology of aortic dissection.
Aortic dissection may be caused by:
Describe the Law of Laplace and how it related to aortic dissection.
Law of Laplace describes that wall stress is directly proportional to pressure and radius, and inversely proportional to wall thickness.
So factors that weaken the aortic wall (esp lamina media), lead to increased risk of aneurysm formation and dissection, and a cycle of increasing wall stress.

Describe the classification of aortic dissection.
Stanford Classification:
Type A - dissection involves ascending aorta with/without involvement of the arch and descending aorta.
Type B - dissection does not involve the ascending aorta (so only involves the thoracic [distal to left subclavian artery] and/or abdominal)
DeBakey Classification:
Type 1 - tear originates in ascending aorta and involves ascending aorta and arch, and variable amounts of descending thoracic aorta.
Type 2 - dissection confined to the ascending aorta
Type 3 - tear originates distal to left subclavian artery and extends through thoracic aorta or extends below the visceral segment
What are the presenting symptoms of aortic dissection?
Other:
What are the signs of aortic dissection on examination?
20% present with syncope and no pain. Hypotension in cardiac tamponade and/or hypovolaemic shock.
Describe the features of Marfan syndrome.
Typical marfanoid features include:
Describe the features of Ehlers-Danlos syndrome.
Type IV Ehlers-Danlos predisposes to both aneurysms and/or dissections. Features include:
When do you get interscapular and lower pain in aortic dissection?
Whet the disssection is of the descending aorta.
What are the two phases of an aortic dissection?
What investigations would you do if you suspect aortic dissection?
Other:
What are the differentials when diagnosing AD?
What is shown here? How can this relate to AD?

Inferior-lateral MI as a result of dissection involving the RCA
Aortic dissections can involve any branches of aorta which can dissect back to the aortic valve. Must rule out AD in atypical MI cases as if you gave this patient thrombolysis it would drastically worsen the situation.
What kind of murmum might you hear in AD?
Dissection can spread to the aortic valve causing incompetence –> early diastolic murmur.
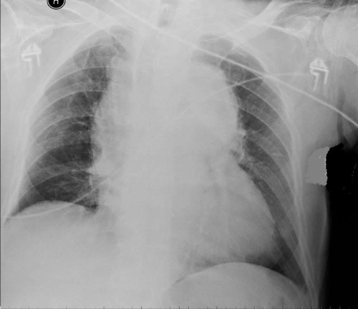
What is shown here? (2)

Borderline cardiomegaly
Widened mediastinum
Due to arotic dissection.
Consider CT if uncertain.
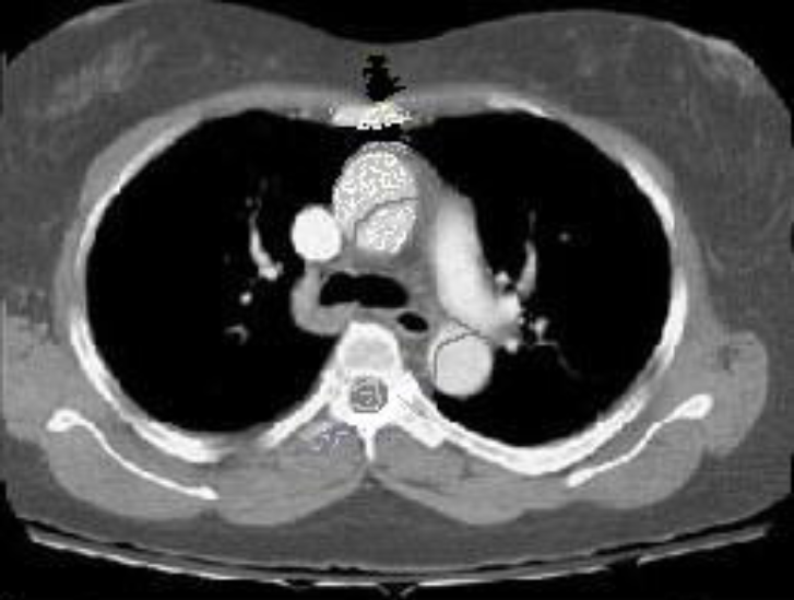
What type of dissection is shown here?

Type A aortic dissection as this is affecting the ascending aorta. The false lumen is clearly visible.
(Most common classification used is the Stanford classification –> split into A(ascending) and B(descending aorta involved)
What is the immediate management of AD?
Conservative:
Definitive treatment:
Type A - immediate surgery
Type B
What is diagnostic for aortic dissection?
Helical CT angiogram
(can be easily mistaken for MI otherwise which would be dangerous if thrombolysis were to be used)
Should you be worried if the pt develops hypotension in aortic dissection?
Ominous sign
Signifies possible tamponade, hypovolaemia.
What is the prognosis with aortic dissections?
The 10-year survival after surgery of ascending aortic dissection is 52%.
5yr survival for TEVAR in type B is 81%
What are the complications of aortic dissection?