Define pericarditis.
Inflammation of the pericardium
Acute pericarditis = new-onset inflammation lasting <4-6 weeks
Pericarditis is diagnosed when 2 of 4 clinical criteria are present. Name these.
How common is pericarditis?
More common in 20-50yrs and in men
May account for ~5% of chest pain presentations in A&E
What are the causes of pericarditis?
What is a characteristic ECG finding in pericarditis?
BUT normal in 10% of patients.

What are the risk factors for pericarditis?
Rare:
What are the main two macroscopic types of acute pericarditis?
Fibrinous (dry)
Effusive (with purulent, serous or haemorrhagic exudate)
What is the triad of pericarditis?
What is a medium to late complication of acute pericarditis?
What are the signs and symptoms of pericarditis?
Other:
Symptoms and signs of right-sided heart failure → suspect constrictive pericarditis.
What investigations would you do for pericarditis?
Bloods:
Imaging:
Why is viral serology not a first line investigation for pericarditis?
Viral serology is usually requested, but would not take priority in this instance as it takes 2 weeks for the result and rarely changes management.
When do patients with pericarditis have to be admitted?
Admit if 1 of major risk factors:
Admit if minor risk factors:
How is acute pericarditis managed?
All types of pericarditis:
If bacterial:
Purulent only:
If severe/adhesions/recurrent then pericardectomy.
How is TB pericarditis managed?
4-6 weeks of antituberculous treatment
What are the complications of pericarditis?
What is the prognosis with pericarditis?
What does bloody pericardial effusion indicate?
Bloody pericardial effusion is most commonly caused by malignant disease




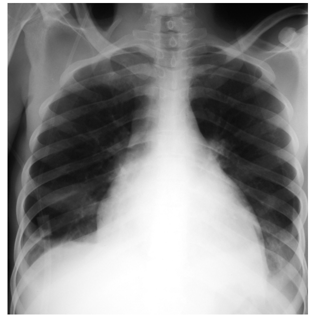
What is shown? What does it suggest in the context of pericarditis?

How do you treat uncomplicated pericarditis in a healthy individual? What might you add later?
Acute, uncomplicated pericarditis in a young and otherwise fit individual, may be treated with initial bedrest and pain relief with NSAIDs. Many also add low-dose colchicine as there is evidence it reduces recurrent disease.
What is a common SE of colchicine?
Diarrhoea - often limits its use
What does a combination of rash, arthropathy and pericarditis suggest?
SLE