Atelectasias Flashcards

(45 cards)

1
Q

Q: ¿Cómo se define la atelectasia?

A

A: Es una insuflación menor de lo normal en todo o parte del pulmón, con una disminución correspondiente en el volumen pulmonar.

How well did you know this?
1
Not at all
2
3
4
5
Perfectly
2
Q

Q: ¿Cuál es la diferencia entre atelectasia y colapso pulmonar?

A

A: Aunque los términos a menudo se usan como sinónimos, colapso debería reservarse para la atelectasia completa.

How well did you know this?
1
Not at all
2
3
4
5
Perfectly
3
Q

Q: ¿Cuáles son los cinco mecanismos principales de atelectasia?

A

A:
mnemotecnica COPAC
Obstructiva (resortiva)
Pasiva
Compresiva
Adhesiva
Cicatricial (por fibrosis)

How well did you know this?
1
Not at all
2
3
4
5
Perfectly
4
Q

Q: ¿Cómo ocurre la atelectasia obstructiva?

A

A: Se produce cuando el flujo de aire a una región pulmonar se interrumpe debido a una obstrucción de la vía aérea, lo que lleva a la reabsorción del oxígeno en los alveolos y la reducción progresiva de su volumen.q

How well did you know this?
1
Not at all
2
3
4
5
Perfectly
5
Q

Q: ¿Qué sucede con los gases en los alveolos durante la atelectasia obstructiva?

A

A: - La presión parcial de CO₂ y N₂ en los alveolos aumenta en relación con la sangre capilar.

Ambos gases se difunden a la sangre, reduciendo aún más el volumen alveolar.
Se genera un gradiente de presión de O₂, favoreciendo su difusión hacia la sangre y acelerando la atelectasia.

How well did you know this?
1
Not at all
2
3
4
5
Perfectly
6
Q

Q: ¿Cuánto tiempo tarda en producirse la atelectasia completa en un pulmón sano respirando aire ambiental?

A

A: Aproximadamente 24 horas.

How well did you know this?
1
Not at all
2
3
4
5
Perfectly
7
Q

Q: ¿Cómo cambia este tiempo en pacientes intubados con oxígeno inspirado en alta concentración?

A

A: La reabsorción completa del aire puede ocurrir en menos de una hora.

How well did you know this?
1
Not at all
2
3
4
5
Perfectly
8
Q

Q: ¿Qué puede limitar la pérdida de volumen en la atelectasia obstructiva?

A

A: La neumonitis obstructiva, que puede desarrollarse distalmente a la obstrucción (ejemplo: por carcinoma pulmonar), causando una consolidación severa conocida como “pulmón ahogado”.

How well did you know this?
1
Not at all
2
3
4
5
Perfectly
9
Q

Q: ¿Cómo se ve la neumonitis obstructiva en una radiografía?

A

A: Como una opacificación homogénea de un segmento, lóbulo o pulmón, sin broncograma aéreo, lo que sugiere una lesión endobronquial obstructiva.

How well did you know this?
1
Not at all
2
3
4
5
Perfectly
10
Q

Q: ¿Qué es la atelectasia pasiva?

A

A: Es la pérdida de volumen pulmonar por retracción del pulmón en presencia de un neumotórax.

How well did you know this?
1
Not at all
2
3
4
5
Perfectly
11
Q

Q: ¿Por qué el pulmón tiene tendencia a colapsar?

A

A: Debido a su propiedad elástica natural, que es contrarrestada por la pared torácica mientras se encuentra dentro del tórax.

How well did you know this?
1
Not at all
2
3
4
5
Perfectly
12
Q

Q: ¿Cómo afecta el neumotórax a la atelectasia?

A

A: La retracción pulmonar es proporcional a la cantidad de aire en el espacio pleural (si no hay adherencias).

How well did you know this?
1
Not at all
2
3
4
5
Perfectly
13
Q

Q: ¿Por qué es difícil identificar el borde pulmonar en un neumotórax pequeño o moderado?

A

A: Porque la reducción del volumen pulmonar se equilibra con la reducción del contenido sanguíneo, evitando un aumento significativo en la densidad del pulmón retraído.

How well did you know this?
1
Not at all
2
3
4
5
Perfectly
14
Q

Q: ¿Qué es la atelectasia compresiva (o de relajación)?

A

A: Es un tipo de atelectasia causada por la compresión del pulmón por un proceso ocupante de espacio intratorácico, como un quiste broncogénico, bulla, neoplasia, derrame pleural o un osteofito grande.

How well did you know this?
1
Not at all
2
3
4
5
Perfectly
15
Q

Q: ¿Cómo se observa la atelectasia compresiva en la tomografía computarizada (TC)?

A

A: Se presenta en regiones pulmonares dependientes como un área mal definida de aumento de atenuación o como opacidades curvilíneas subpleurales.

How well did you know this?
1
Not at all
2
3
4
5
Perfectly
16
Q

Q: ¿Qué otros nombres recibe la atelectasia compresiva?

A

A: También se le conoce como atelectasia de relajación.

How well did you know this?
1
Not at all
2
3
4
5
Perfectly
17
Q

Q: ¿Qué es la opacidad o densidad dependiente en la atelectasia compresiva?

A

A: Es un área de aumento de atenuación de unos milímetros a más de 1 cm de grosor que desaparece al cambiar la posición del paciente.

How well did you know this?
1
Not at all
2
3
4
5
Perfectly
18
Q

Q: ¿Qué son las líneas subpleurales en la atelectasia compresiva?

A

A: Son áreas lineales de aumento de atenuación de varios centímetros de longitud, situadas a menos de 1 cm de la pleura y paralelas a ella, que desaparecen con el cambio de posición.

How well did you know this?
1
Not at all
2
3
4
5
Perfectly
19
Q

Q: ¿Cómo se diferencia la atelectasia dependiente de una enfermedad intersticial o alveolar?

A

A: Escaneando al paciente en decúbito supino y prono, ya que la atelectasia dependiente desaparece con el cambio de posición

20
Q

Q: ¿Qué es la atelectasia redonda?

A

A: Es una forma particular de atelectasia asociada con engrosamiento pleural focal, observada principalmente en pacientes expuestos a asbesto.

21
Q

Q: ¿Cuáles son algunas causas de atelectasia redonda?

A

A: Exposición a asbesto, derrame pleural, tuberculosis, infecciones, infarto pulmonar, insuficiencia cardíaca izquierda, hemotórax, cirugía (especialmente cardíaca) y neoplasias.

22
Q

Q: ¿Cómo se observa la atelectasia redonda en radiografías convencionales?

A

A: Como una masa homogénea redonda, ovalada, en forma de cuña o irregular en el pulmón periférico, adyacente a pleura engrosada, con pérdida de volumen del lóbulo afectado.

23
Q

Q: ¿Qué signo característico se observa en la TC de una atelectasia redonda?

A

A: El signo de la “cola de cometa”, donde los bronquios y vasos convergen hacia la masa redonda u ovalada en contacto con el engrosamiento pleural.

24
Q

Q: ¿Qué otras características tienen la atelectasia redonda en TC?

A

A: Margen indistinto en su aspecto central, broncogramas aéreos en el 60% de los casos y posible hipertrofia de la grasa extrapleural en casos crónicos.

25
Q: ¿Es necesario realizar biopsia en la atelectasia redonda?
A: Generalmente no, ya que la TC suele ser suficiente para el diagnóstico. Sin embargo, en casos dudosos puede ser necesario para descartar carcinoma.
26
Q: ¿Cómo se comporta la atelectasia redonda en el tiempo?
A: La mayoría de las lesiones permanecen estables por años, aunque algunas pueden disminuir de tamaño, resolverse en semanas o años, o incluso aumentar de tamaño.
27
Fig. 3.1 Atelectasia obstructiva (reabsorbente) del lóbulo superior izquierdo por carcinoide endobronquial. Una tomografía computarizada con contraste muestra un tumor (flecha curvada) que obstruye el bronquio del lóbulo superior izquierdo con atelectasia completa del lóbulo superior izquierdo asociada (flechas rectas). Obsérvese el desplazamiento anterior y medial de la fisura principal izquierda (flechas rectas).
28
Atelectasia compresiva o de relajación en derrame pleural maligno secundario a adenocarcinoma metastásico. Una tomografía computarizada con contraste muestra un gran derrame pleural izquierdo con desplazamiento hacia la derecha del mediastino y atelectasia compresiva completa del lóbulo inferior izquierdo (flechas).
29
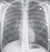
Atelectasia pasiva en el neumotórax. Una radiografía posteroanterior de tórax muestra un neumotórax moderado del lado izquierdo y una pequeña cantidad de líquido pleural izquierdo, lo que resulta en un nivel de líquido en el surco costofrénico izquierdo. El neumotórax se puede reconocer al observar el margen de la pleura visceral (flechas). Aunque el volumen del pulmón izquierdo ha disminuido, no hay un aumento aparente en la opacidad del pulmón izquierdo.
30
Q: ¿Qué función tiene el surfactante en la prevención de la atelectasia?
A: Disminuye la tensión superficial alveolar, reduciendo la presión crítica de cierre y evitando el colapso alveolar.
31
Q: ¿Cuáles son las principales causas de atelectasia adhesiva en adultos?
A: Neumonitis por radiación, inhalación de humo, síndrome de dificultad respiratoria aguda (SDRA) y tromboembolismo pulmonar.
32
Q: ¿Cómo se manifiesta la atelectasia adhesiva en la neumonitis por radiación?
A: Se limita generalmente a las áreas irradiadas del pulmón, pero ocasionalmente puede observarse fuera de los campos de radiación en la TC.
33
Q: ¿Cuáles son los hallazgos radiológicos de la atelectasia adhesiva en la neumonitis por radiación?
A: Áreas de opacificación en vidrio deslustrado o consolidación con pérdida de volumen pulmonar.
34
Q: ¿Cuándo aparecen los hallazgos radiológicos de la neumonitis por radiación?
A: Aproximadamente entre 1 y 6 meses después de completar la radioterapia.
35
Q: ¿Cómo puede el tromboembolismo pulmonar causar atelectasia adhesiva?
A: La isquemia focal distal al émbolo puede reducir la producción de surfactante y provocar atelectasias subsegmentarias, segmentarias o lobares.
36
Q: ¿Qué relación tiene la atelectasia adhesiva con la cirugía cardíaca?
A: Se observa atelectasia, especialmente del lóbulo inferior izquierdo, en la mayoría de los pacientes postoperatorios, contribuyendo a la pérdida de volumen pulmonar y al shunt arteriovenoso.
37
Q: ¿Qué es la atelectasia cicatricial?
A: Es la pérdida de volumen pulmonar secundaria a la retracción del tejido fibroso maduro en el pulmón afectado por fibrosis.
38
Q: ¿Cuáles son las principales causas de atelectasia cicatricial?
A: Tuberculosis de larga evolución, fibrosis por radiación e incluso fibrosis pulmonar idiopática.
39
Q: ¿Cómo se manifiesta la atelectasia cicatricial en la radiografía?
A: Se observa un lóbulo o segmento con volumen reducido, densidad heterogénea por bronquios dilatados y presencia de bandas fibróticas que se extienden hacia el hilio.
40
Q: ¿Qué fenómeno acompaña a la atelectasia cicatricial y por qué ocurre?
A: Bronquiectasias y bronquiolectasias por tracción, causadas por el aumento de la retracción elástica del tejido pulmonar fibrótico circundante.
41
Q: ¿Cuáles son los signos compensatorios de pérdida crónica de volumen pulmonar en la atelectasia cicatricial?
A: Desviación mediastinal (tráquea desviada en atelectasias del lóbulo superior), desplazamiento del hilio y sobreinflación compensatoria del pulmón restante.
42
Fig. 3.4 Atelectasia dependiente. Una tomografía computarizada de alta resolución (A) con el paciente en decúbito supino muestra opacidades focales, lineales y en vidrio esmerilado (flechas) en las regiones dorsales del lóbulo inferior derecho. Una tomografía computarizada de alta resolución (B) al mismo nivel que el paciente prono muestra la resolución de la opacidad en las regiones dorsales del lóbulo inferior y el desarrollo de opacidades focales (flechas) en las regiones dependientes del lóbulo medio derecho. La distribución de los hallazgos y la resolución con cambio de posición son características de la atelectasia dependiente.
43
Fig. 3.5 Atelectasia redonda en un hombre con enfermedad pleural relacionada con el amianto. Una vista ampliada del pulmón izquierdo de una radiografía de tórax posteroanterior muestra una opacidad ovalada. Los márgenes laterales (flechas rectas) están bien definidos (donde la opacidad linda con el pulmón) y los márgenes mediales están mal definidos (donde la opacidad linda con la pleura). Se puede ver que los vasos pulmonares (flechas curvas) se curvan hacia la opacidad (signo de la cola del cometa)
44
Fig. 3.7 Atelectasia adhesiva y cicatrizante después de la radioterapia. Una tomografía computarizada (A) muestra una masa en el lóbulo superior derecho, que se ha demostrado en una biopsia pulmonar que es carcinoma pulmonar. El tamaño de los lóbulos superiores es bastante simétrico. Una tomografía computarizada (B) 6 meses después de la radioterapia muestra extensas opacidades en vidrio esmerilado en el lóbulo superior derecho en el portal de radiación, características de la neumonitis por radiación. Una tomografía computarizada (C) 2 años después muestra una apariencia típica de fibrosis por radiación (citatasia por cicatrización) con bordes exteriores rectos (flechas). Nótese la presencia de bronquios dilatados y distorsionados dentro de las áreas de fibrosis (bronquiectasias de tracción) y sobreinsuflación compensatoria del pulmón adyacente. (D) Otro paciente 2 años después de la radioterapia por cáncer de pulmón del lóbulo superior derecho muestra atelectasia cicatricial grave del lóbulo superior derecho; Hay desplazamiento posteromedial y superior de la fisura mayor derecha (flechas)
45