Derrame pleural Flashcards

(57 cards)

1
Q

Q: ¿Qué es un derrame pleural?

A

A: Es la acumulación de líquido en el espacio pleural debido a la alteración de las fuerzas homeostáticas que regulan el movimiento del líquido pleural.

How well did you know this?
1
Not at all
2
3
4
5
Perfectly
2
Q

Q: ¿Cuáles son las causas principales del derrame pleural?

A

A: Puede ser secundario a enfermedades pleurales, parenquimatosas o extrapulmonares.

How well did you know this?
1
Not at all
2
3
4
5
Perfectly
3
Q

Q: ¿De dónde proviene la mayor parte del líquido que se acumula en el espacio pleural?

A

A: Del pulmón a través de la pleura visceral, y es absorbido principalmente por la pleura parietal.

How well did you know this?
1
Not at all
2
3
4
5
Perfectly
4
Q

Q: ¿Cuál es la causa principal de los derrames pleurales transudativos?

A

A: Un desequilibrio en las fuerzas hidrostáticas y oncóticas.

How well did you know this?
1
Not at all
2
3
4
5
Perfectly
5
Q

Q: ¿Qué otras condiciones pueden causar derrame pleural transudativo?

A

A: Atelectasia (aumento de la presión pleural negativa) y paso de líquido intraabdominal a la cavidad pleural a través de poros diafragmáticos, principalmente en el lado derecho.

How well did you know this?
1
Not at all
2
3
4
5
Perfectly
6
Q

Q: ¿Cómo se caracterizan los derrames transudativos en términos de contenido proteico y gravedad específica?

A

A: Tienen bajo contenido de proteínas y baja gravedad específica.

How well did you know this?
1
Not at all
2
3
4
5
Perfectly
7
Q

Q: ¿Cuáles son las principales causas de los derrames pleurales exudativos?

A

A: Enfermedades pleurales o daño pulmonar adyacente, como aumento de la permeabilidad capilar (ej. neumonía) o disminución del drenaje linfático (ej. carcinomatosis mediastinal).

How well did you know this?
1
Not at all
2
3
4
5
Perfectly
8
Q

Q: ¿Cómo se caracterizan los derrames exudativos en términos de laboratorio?

A

A: Presentan niveles elevados de proteínas, lactato deshidrogenasa (LDH) y gravedad específica alta.

How well did you know this?
1
Not at all
2
3
4
5
Perfectly
9
Q

Q: ¿Cuál es el criterio tradicional para diferenciar un exudado de un trasudado en base a proteínas?

A

A: Un exudado tiene una concentración de proteínas mayor a 30 g/L, mientras que un transudado tiene menos de 30 g/L.

How well did you know this?
1
Not at all
2
3
4
5
Perfectly
10
Q

Q: ¿Cuáles son los criterios de Light para definir un derrame pleural como exudado?

A

A:

Relación de proteínas pleurales/séricas > 0.5

Relación de LDH pleural/sérica > 0.6

LDH pleural > dos tercios del límite superior normal de LDH sérica.

How well did you know this?
1
Not at all
2
3
4
5
Perfectly
11
Q

Q: ¿Cuáles son las posibles causas de un derrame pleural?

A

A: Puede resultar de enfermedades pleurales, parenquimatosas o extrapulmonares.

How well did you know this?
1
Not at all
2
3
4
5
Perfectly
12
Q

Q: ¿Cómo se mantiene el equilibrio de presiones en la pleura?

A

A: La presión oncótica es igual en ambas hojas pleurales, pero hay una diferencia en la presión hidrostática entre la circulación sistémica (que irriga la pleura parietal) y la circulación pulmonar de baja presión (que irriga la pleura visceral).

How well did you know this?
1
Not at all
2
3
4
5
Perfectly
13
Q

Q: ¿Cuál es el papel de los estomas en la pleura parietal?

A

A: Permiten la eliminación de partículas y células directamente en los canales linfáticos para su drenaje.

How well did you know this?
1
Not at all
2
3
4
5
Perfectly
14
Q

Q: ¿De dónde proviene la mayor parte del líquido que se acumula en el espacio pleural?

A

A: Proviene del pulmón a través de la pleura visceral y se absorbe principalmente por la pleura parietal.

How well did you know this?
1
Not at all
2
3
4
5
Perfectly
15
Q

Q: ¿Cuánto líquido se necesita para que haya un borramiento del ángulo costofrénico en una radiografía de tórax en bipedestación?

A

A: Aproximadamente 175 mL.

How well did you know this?
1
Not at all
2
3
4
5
Perfectly
16
Q

Q: ¿Cuánto líquido puede ser necesario para hacer visible el borramiento del ángulo costofrénico en algunas ocasiones?

A

A: Hasta 525 mL.

How well did you know this?
1
Not at all
2
3
4
5
Perfectly
17
Q

Q: ¿Cuánto líquido pleural es necesario para hacerse visible en una radiografía lateral en bipedestación?

A

A: Aproximadamente 50 mL.

How well did you know this?
1
Not at all
2
3
4
5
Perfectly
18
Q

Q: ¿Cuánto líquido pleural es necesario para que el menisco pleural sea visible en una radiografía posteroanterior?

A

A: Aproximadamente 200 mL.

How well did you know this?
1
Not at all
2
3
4
5
Perfectly
19
Q

Q: ¿Cuánto líquido pleural puede ser necesario para obliterar el hemidiafragma?

A

A: Al menos 500 mL.

How well did you know this?
1
Not at all
2
3
4
5
Perfectly
20
Q

Q: ¿Cómo se puede subestimar el volumen del derrame pleural en una radiografía en decúbito supino?

A

A: Puede presentarse como una opacidad difusa con preservación de las sombras vasculares o puede confundirse con consolidación pulmonar o atelectasia.

How well did you know this?
1
Not at all
2
3
4
5
Perfectly
21
Q

Q: ¿Cuánto líquido pleural es necesario para que un derrame sea visible en una radiografía en decúbito lateral?

A

A: Tan solo 5 mL si la cadera del paciente se eleva y el haz central se dirige paralelo al nivel del líquido.

How well did you know this?
1
Not at all
2
3
4
5
Perfectly
22
Q

Q: ¿Cómo se describe el menisco pleural en una radiografía de tórax?

A

A: Como una opacidad homogénea con un borde superior cóncavo, más alto lateralmente que medialmente.

How well did you know this?
1
Not at all
2
3
4
5
Perfectly
23
Q
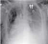
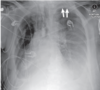
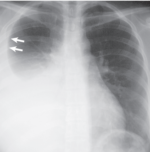
A

Fig. 72.1 Derrame pleural libre. La radiografía posteroanterior de tórax muestra el signo del menisco (flechas) en un gran derrame pleural derecho.

25
26
Q: ¿Cómo afecta el derrame subpulmonar a la silueta diafragmática en la radiografía de tórax?
A: Puede causar aplanamiento e inversión del ángulo costofrénico.
27
SIGNOS RADIOGRÁFICOS Signo de menisco en radiografía frontal (>200 mL) Embotamiento del surco costofrénico en vista lateral (>50 mL) Derrame subpulmonar: desplazamiento lateral del ápice del pseudodiafragma SIGNOS DE TOMOGRAFÍA COMPUTARIZADA Opacidad en forma de hoz en la parte más dependiente del tórax, el surco costofrénico posterior en el paciente en decúbito supino Atenuación de líquidos (0–20 unidades de Hounsfield)
28
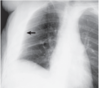
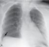
Fig. 72.2 Derrame subpulmonar. (A) La radiografía de tórax muestra que la cresta de la superficie pseudodiafragmática (flecha) se encuentra más lateral que la ubicación esperada del ápice de un hemidiafragma elevado. Nótese la no visualización de los vasos sanguíneos intrapulmonares por debajo del hemidiafragma derecho.
29
(B) La vista de decúbito lateral derecho muestra acumulación de líquido (flecha) en el hemitórax dependiente.
30
Q: ¿De qué factores depende la apariencia radiográfica del líquido interlobar?
A: De la forma y orientación de la cisura, la localización del líquido dentro de la cisura y la dirección del haz de rayos X.
31
Q: ¿Qué es el "signo de la cisura incompleta" y qué indica?
A: Es la apariencia radiográfica del líquido intercisural limitado por el borde de una cisura incompleta, aunque también puede verse en cisuras completas cuando el derrame está contenido por el borde lateral del lóbulo inferior.
32
Q: ¿Cómo se diferencia radiográficamente un derrame pleural de una enfermedad parenquimatosa en el lóbulo inferior?
A: Un derrame pleural muestra una interfaz más radiolúcida medialmente y densa lateralmente, mientras que las enfermedades parenquimatosas suelen generar la imagen opuesta.
33
Q: ¿Cómo se manifiesta el líquido en la parte superior de las cisuras mayores en una radiografía lateral?
A: Como una opacidad arqueada con un margen anterior cóncavo y de bordes difuminados, mientras que el margen posterior es nítido.
34
Q: ¿A qué se debe la diferencia en la apariencia del líquido en las cisuras mayores en la radiografía lateral?
A: A la orientación cóncava y la disposición lateral de la porción superior de las cisuras, que hace que el líquido lateral sea visible en perfil y el líquido medial se vea de manera oblicua.
35
Q: ¿Qué es un pseudotumor pleural y en qué contexto se presenta?
A: Es la acumulación de líquido dentro de una cisura interlobar, simulando una masa pleural o parenquimatosa. Es más común en la encapsulación de la cisura menor en pacientes con insuficiencia cardiaca en resolución.
36
Q: ¿Cómo se diferencia un pseudotumor pleural de una verdadera masa en radiografías de tórax?
A: En proyecciones frontales, la opacidad se localiza en la cisura con márgenes que se estrechan medial y lateralmente. En la proyección lateral, se confirma su ubicación en la cisura distendida y se visualizan mejor sus extremos afilados.
37
Q: ¿Cómo se comportan los pseudotumores pleurales con el tratamiento?
A: Desaparecen con el manejo de la causa subyacente, razón por la cual también se les denomina "tumores fantasma" o "vanishing tumors".
38
Fig. 72.3 Pseudotumor pleural. (A) La radiografía posteroanterior de tórax en un paciente con insuficiencia cardíaca izquierda muestra líquido en las fisuras menores (flecha negra) y mayores (flecha blanca) simulando una masa. También hay líquido libre en la cavidad pleural derecha. (B) La radiografía lateral de tórax muestra que la opacidad se localiza dentro de las fisuras menores (flecha finas) y mayores (flecha gruesa) distendidas.
39
Fig. 72.4 Líquido pleural apical. La radiografía de tórax en decúbito supino revela grandes derrames pleurales izquierdo y pequeños derrames pleurales derechos. El derrame izquierdo más grande produce un aumento brumoso de la densidad en el hemitórax y un capuchón apical (flechas). El capuchón apical derecho se relacionó con una infección granulomatosa previa y se mantuvo estable durante años.
40
Fig. 72.4 Líquido pleural apical. La radiografía de tórax en decúbito supino revela grandes derrames pleurales izquierdo y pequeños derrames pleurales derechos. El derrame izquierdo más grande produce un aumento brumoso de la densidad en el hemitórax y un capuchón apical (flechas). El capuchón apical derecho se relacionó con una infección granulomatosa previa y se mantuvo estable durante años.
41
Signos de interfaz y área desnuda en la ascitis. La tomografía computarizada ilustra una interfaz distinta entre el líquido ascítico y el hígado (flechas blancas). La ascitis no se extiende detrás del hígado al nivel de la zona desnuda (flechas negras).
42
Q: ¿Cómo se manifiesta un derrame pleural libre en una radiografía de tórax en decúbito supino?
A: Como una densidad difusa sobre el hemitórax debido a la acumulación posterior del líquido, sin borrar las marcas broncovasculares ni mostrar broncogramas aéreos.
43
Q: ¿Qué es el “apical capping” y cuándo se observa?
A: Es la acumulación de líquido pleural en el ápex pulmonar, observada en aproximadamente el 50% de los derrames grandes, pero rara en los de tamaño pequeño o moderado.
44
Q: ¿Por qué puede observarse el "apical capping" en una radiografía supina?
A: Porque la capacidad del ápex pulmonar es relativamente pequeña en comparación con la base y sus aspectos superior y lateral son las partes más declives en relación con el haz de rayos X frontal.
45
Q: ¿Cuándo se observa el borramiento del ángulo costofrénico lateral en una radiografía supina?
A: Cuando el derrame es lo suficientemente grande como para llenar el hemitórax posterior hasta alcanzar o acercarse al nivel del ángulo costofrénico lateral, lo que ocurre en el 25% de los derrames moderados y el 41% de los grandes.
46
Q: ¿Cómo se diferencia una lesión parenquimatosa periférica de un proceso pleural en TC?
A: La TC es superior a la radiografía para esta diferenciación, ya que un derrame pleural libre aparece como una opacidad en forma de hoz en las zonas más declives del tórax.
47
Q: ¿Dónde se acumula inicialmente el líquido pleural libre en pacientes en decúbito supino según la TC?
A: En los surcos costofrénicos posteriores, que son las zonas más declives del tórax en esta posición.
48
Q: ¿Cómo se diferencian los derrames pleurales loculados en TC?
A: Tienen forma lenticular con bordes lisos o festoneados y atenuación relativamente homogénea.
49
Q: ¿Cuál es el rango típico de atenuación en unidades Hounsfield (HU) para un derrame pleural en TC?
A: Entre 10 y 20 HU, con valores situados entre los del agua (0 HU) y los de los tejidos blandos (~100 HU).
50
Q: ¿Es fiable la medición de la densidad en HU para diferenciar un trasudado de un exudado en TC?
A: No, la medición de HU por sí sola es poco confiable para diferenciar trasudados de exudados o diagnosticar un derrame quiloso.
51
Q: ¿Qué hallazgos en TC sugieren un derrame pleural exudativo?
A: Engrosamiento pleural, nódulos pleurales, loculación del líquido pleural y aumento de la atenuación de la grasa extrapleural.
52
Q: ¿Por qué la TC con contraste es preferible para evaluar el derrame pleural?
A: Porque permite visualizar mejor las anormalidades pleurales y diferenciarlas de alteraciones parenquimatosas adyacentes.
53
Q: ¿En qué fase de contraste se recomienda realizar la TC para evaluar derrames pleurales?
A: En la fase venosa sistémica, ya que permite una mejor evaluación del realce pleural, el engrosamiento y la nodularidad.
54
Q: ¿Cuáles son los cuatro signos en TC que ayudan a diferenciar un derrame pleural de la ascitis?
A: Signo del diafragma: Si el diafragma es visible adyacente a la colección, se trata de ascitis; si el líquido está "afuera" del diafragma, es un derrame pleural. Signo del pilar diafragmático desplazado: Un derrame pleural desplaza el pilar diafragmático anteriormente y lateralmente. Signo de la interfaz: En el derrame pleural, la presencia del diafragma crea una interfaz indistinta entre el líquido y el hígado, mientras que en la ascitis la interfaz es nítida. Signo del área desnuda: El lóbulo derecho del hígado está unido directamente a la pared abdominal posterior y al diafragma sin interposición de peritoneo.
55
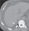
Fig. 72.5 Signo de crus desplazado en derrame pleural. La tomografía computarizada revela desplazamiento anterior y lateral del hemidiafragma derecho por flauta pleural (flecha negra) en un paciente con derrames bilaterales y ascitis. La ascitis no se extiende detrás de la zona desnuda del hígado como en la imagen(flecha blanca).
56
Q: ¿Qué se concluyó en el análisis retrospectivo de 52 pacientes sobre la utilidad de los signos para diferenciar derrame pleural de ascitis en TC?
A: Ninguno de los cuatro signos por sí solo fue completamente fiable para diferenciar ambos tipos de líquido, pero el uso combinado permitió una identificación correcta de todas las colecciones líquidas anormales.
57