Tuberculosis Flashcards

(52 cards)

1
Q

Q: ¿Qué microorganismo causa la tuberculosis (TB)?

A

A: Mycobacterium tuberculosis, un bacilo aeróbico, inmóvil y no formador de esporas, resistente al secado, ácidos y alcohol.

How well did you know this?
1
Not at all
2
3
4
5
Perfectly
2
Q

Q: ¿Cómo se transmite la

A

tuberculosis?
A: Por núcleos de gotitas en el aire que contienen el organismo, propagados principalmente por la tos.

How well did you know this?
1
Not at all
2
3
4
5
Perfectly
3
Q

Q: Menciona tres factores que aumentan la contagiosidad de un paciente con TB.

A

A: Extensión de la enfermedad, presencia de cavitaciones y frecuencia de tos.

How well did you know this?
1
Not at all
2
3
4
5
Perfectly
4
Q

Q: ¿Cuáles son los principales factores de riesgo para desarrollar TB activa?

A

A: Inmunidad celular alterada por edad extrema, malnutrición, cáncer, terapia inmunosupresora, VIH, enfermedad renal en etapa terminal y diabetes.

How well did you know this?
1
Not at all
2
3
4
5
Perfectly
5
Q

Q: ¿Cuál es el mayor factor de riesgo conocido para la progresión de TB latente a activa?

A

A: La infección por VIH.

How well did you know this?
1
Not at all
2
3
4
5
Perfectly
6
Q

Q: ¿Qué porcentaje de los nuevos casos de TB en 2014 eran VIH positivos?

A

A: El 12%.

How well did you know this?
1
Not at all
2
3
4
5
Perfectly
7
Q

Q: ¿Qué síndrome puede presentarse en pacientes con VIH que reciben terapia antirretroviral altamente activa (HAART)?

A

A: El síndrome inflamatorio de reconstitución inmune (IRIS).

How well did you know this?
1
Not at all
2
3
4
5
Perfectly
8
Q

: ¿Cuáles son los síntomas típicos de la TB pulmonar activa?

A

A: Tos seca progresiva o productiva, fiebre, fatiga, pérdida de peso y sudores nocturnos.

How well did you know this?
1
Not at all
2
3
4
5
Perfectly
9
Q

Q: ¿Cómo puede diferir la presentación clínica de la TB en pacientes ancianos?

A

A: Pueden presentar disnea con mayor frecuencia y enfermedades comórbidas, como enfermedad cardiovascular, diabetes o EPOC.

How well did you know this?
1
Not at all
2
3
4
5
Perfectly
10
Q

Q: ¿Cuál es la manifestación radiográfica típica de la tuberculosis (TB) parenquimatosa en hospedadores inmunocompetentes?

A

A: Consolidación heterogénea focal o parcheada que afecta los segmentos apicales y posteriores de los lóbulos superiores y los segmentos superiores de los lóbulos inferiores.

How well did you know this?
1
Not at all
2
3
4
5
Perfectly
11
Q

Q: ¿Qué patrón es comúnmente observado en la TB postprimaria además de la consolidación?

A

A: Nódulos mal definidos y opacidades lineales que conforman un patrón fibronodular.

How well did you know this?
1
Not at all
2
3
4
5
Perfectly
12
Q

Q: ¿Qué porcentaje de pacientes con TB postprimaria presenta consolidación según estudios radiográficos?

A

A: Aproximadamente el 55%.

How well did you know this?
1
Not at all
2
3
4
5
Perfectly
13
Q

Q: ¿Qué otros patrones radiográficos se observan en la TB postprimaria y en qué proporciones?

A

A: Un patrón fibronodular en el 25% de los casos y un patrón mixto en el 5%.

How well did you know this?
1
Not at all
2
3
4
5
Perfectly
14
Q

Q: ¿Qué hallazgo radiográfico común puede estar presente en pacientes con TB pulmonar postprimaria?

A

A: Cavidades únicas o múltiples.

How well did you know this?
1
Not at all
2
3
4
5
Perfectly
15
Q

Q: Menciona al menos tres condiciones asociadas con un mayor riesgo de TB.

A

A: Edad avanzada (>70 años), malnutrición, cáncer, terapia inmunosupresora, infección por VIH, enfermedad renal terminal y diabetes.

How well did you know this?
1
Not at all
2
3
4
5
Perfectly
16
Q

Q: ¿Qué caracteriza la inflamación granulomatosa en la TB?

A

A: Un foco necrótico rodeado de histiocitos epitelioides y células gigantes multinucleadas.

How well did you know this?
1
Not at all
2
3
4
5
Perfectly
17
Q

Q: ¿Qué es el complejo de Ranke?

A

A: La combinación de una lesión parenquimatosa inicial (foco de Ghon) y la inflamación ganglionar, que generalmente cicatrizan pero permanecen como infección latente.

How well did you know this?
1
Not at all
2
3
4
5
Perfectly
18
Q

Q: ¿Qué porcentaje de pacientes con TB primaria eventualmente desarrollará reactivación o reinfección?

A

A: Alrededor del 10%.

How well did you know this?
1
Not at all
2
3
4
5
Perfectly
19
Q

Q: ¿Qué determina la apariencia radiográfica de la infección pulmonar tuberculosa?

A

A: La integridad de la respuesta inmune del huésped, no el tiempo desde la adquisición de la infección hasta el desarrollo de la enfermedad clínica.

How well did you know this?
1
Not at all
2
3
4
5
Perfectly
20
Q

Q: ¿Qué porcentaje de pacientes con tuberculosis postprimaria presenta cavidades únicas o múltiples en estudios radiográficos?

A

A: Entre el 20% y el 45%.

How well did you know this?
1
Not at all
2
3
4
5
Perfectly
21
Q

Q: ¿Qué porcentaje de cavidades tuberculosas muestra niveles aire-líquido en estudios radiográficos?

A

A: Entre el 10% y el 20%.

22
Q

Q: ¿En qué segmentos pulmonares suelen encontrarse las cavidades en pacientes con tuberculosis?

A

A: En el 85% de los casos, en los segmentos apicales o posteriores de los lóbulos superiores; y en el 10%, en los segmentos superiores de los lóbulos inferiores.

23
Q

Q: ¿Cómo se manifiesta radiográficamente la diseminación endobronquial en la tuberculosis?

A

A: Como nódulos de 4 a 10 mm de diámetro, distantes al sitio de la cavidad.

24
Q

Q: ¿En qué porcentaje de casos se observa diseminación endobronquial?

A

A: Entre el 10% y el 20%.

25
Q: ¿Qué es un tuberculoma y cómo se define?
A: Un tuberculoma es una lesión redonda u oval bien delimitada que mide entre 0.5 y 4.0 cm de diámetro.
26
Q: ¿Qué porcentaje de pacientes con tuberculosis postprimaria tiene un tuberculoma como manifestación principal?
A: Aproximadamente el 5%.
27
Q: ¿Cuál es la composición histológica de un tuberculoma?
A: Parte central de material caseoso, rodeado por histiocitos epitelioides, células gigantes multinucleadas y una cantidad variable de colágeno.
28
Q: ¿Dónde suelen localizarse los tuberculomas y cómo se distribuyen?
A: Usualmente en los lóbulos superiores; el 80% son lesiones únicas y el 20% son múltiples.
29
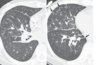
fg. 10.2 Tuberculosis pulmonar manifestándose como agrupamiento nodular pequeñoA) Radiografía de tórax muestra una opacidad parenquimatosa focal en el lóbulo superior derecho. (B) Tomografía computarizada obtenida al nivel del arco ácigos demuestra agrupamientos nodulares de tamaño variable en el segmento posterior del lóbulo superior derecho. Uno de los nódulos presenta cavitación. También se observan opacidades en "árbol en brote" (flechas). (C) Imagen de tomografía computarizada reformateada en plano coronal muestra opacidades típicas en "árbol en brote" (flechas) en el lóbulo superior derecho.
30
Q: ¿Qué características tienen los nódulos satélite en tuberculosis?
A: Son histológicamente idénticos al foco principal de la enfermedad y miden entre 1 y 5 mm de diámetro.
31
Q: ¿En qué porcentaje de casos de tuberculosis postprimaria están presentes los nódulos satélite?
A: En la mayoría de los casos.
32
Q: ¿Cuáles son las manifestaciones típicas de la tuberculosis pulmonar en pacientes inmunocomprometidos?
A: Tuberculosis miliar, linfadenopatía hiliar o mediastínica, y derrame pleural.
33
Q: ¿Es común la linfadenopatía hiliar o mediastínica en tuberculosis postprimaria?
A: No, es poco común y se observa en aproximadamente el 5% al 10% de los casos.
34
Q: ¿Qué porcentaje de pacientes con tuberculosis presenta derrame pleural?
A: Entre el 15% y el 20%.
35
Q: ¿Cómo se manifiesta típicamente el derrame pleural en tuberculosis?
A: Es típicamente unilateral y usualmente está asociado con anormalidades parenquimatosas.
36
Q: ¿Puede el derrame pleural ser la única manifestación radiológica de tuberculosis?
A: Sí, en algunos casos el derrame pleural es la única manifestación.
37
Q: ¿Qué causa puede llevar a la formación de un empiema tuberculoso o una fístula broncopleural?
A: La ruptura de una cavidad tuberculosa en el espacio pleural.
38
(A) Radiografía de tórax muestra lesiones nodulares y cavitarias (flecha) en ambos pulmones. (B) Tomografía computarizada obtenida al nivel del arco aórtico demuestra lesiones cavitarias de paredes delgadas (flechas) y pequeños nódulos centrilobulillares (flechas curvas). En imágenes de los lóbulos inferiores (no mostradas) se observaron opacidades en "árbol en brote," indicativas de diseminación endobronquial de la infección. (C) Corte sagital de una pieza de lobectomía superior derecha en un espécimen patológico muestra una cavidad (flechas), nódulos pequeños calcificados (punta de flecha) y no calcificados (flecha curva) en el lóbulo superior derecho.
39
(A) Radiografía de tórax muestra un pequeño derrame pleural izquierdo (punta de flecha) y densidades nodulares en la zona pulmonar media izquierda (flecha). (B) Tomografía computarizada obtenida al nivel del bronquio lobar superior izquierdo demuestra opacidades en "árbol en brote" (flechas) en el lóbulo superior izquierdo. También se observa el derrame pleural izquierdo (puntas de flecha).
40
Q: ¿En qué situaciones puede ocurrir la diseminación miliar de la tuberculosis?
A: Puede ocurrir tanto en la enfermedad primaria como en la recurrente.
41
Q: ¿Qué cambios histológicos ocurren en cada foco de infección miliar?
A: Se desarrollan granulomas con necrosis central rodeados por un borde bien delimitado de histiocitos epitelioides y tejido fibroso.
42
Q: ¿Puede la diseminación miliar ser la única anormalidad pulmonar en tuberculosis?
A: Sí, especialmente en la enfermedad recurrente.
43
Q: ¿Cuáles son las complicaciones pulmonares asociadas con tuberculosis?
A: Síndrome de dificultad respiratoria aguda (SDRA). Destrucción extensa del pulmón y cicatrización. Lesiones pulmonares quísticas múltiples. Aspergiloma. Bronquiectasias. Estenosis traqueobronquial. Broncolitiasis.
44
Q: ¿Cómo se manifiesta el SDRA secundario a tuberculosis en imágenes radiológicas?
A: Extensas opacidades en vidrio deslustrado bilaterales o consolidación, superpuestas a hallazgos de diseminación miliar o endobronquial.
45
Q: ¿Qué pueden simular las lesiones quísticas múltiples en tuberculosis?
A: Pueden parecerse a neumatoceles o bullas.
46
Q: ¿Cuáles son las complicaciones vasculares de la tuberculosis pulmonar?
A: Arteritis y trombosis pulmonar y bronquial. Pseudoaneurismas de la arteria bronquial. Aneurisma de Rasmussen.
47
Q: ¿Qué es un aneurisma de Rasmussen?
A: Es un pseudoaneurisma causado por el debilitamiento de la pared de la arteria pulmonar debido a una tuberculosis cavitaria adyacente.
48
Q: ¿Cuáles son las complicaciones mediastinales en tuberculosis?
A: Fístulas esofagomediastinales o esofagobronquiales. Pericarditis constrictiva. Mediastinitis fibrosante.
49
Q: ¿Qué es un empiema necessitatis?
A: Es la fuga de empiema tuberculoso a través de la pleura parietal hacia los tejidos subcutáneos de la pared torácica o, menos comúnmente, hacia el pericardio, columna vertebral o esófago.
50
Q: ¿Cuáles son las principales complicaciones de la pared torácica en tuberculosis?
A: Osteomielitis tuberculosa. Condritis tuberculosa. Espondilitis tuberculosa.
51
Fig. 10.9 Tuberculosis miliar en un hombre de 40 años con leucemia mieloide crónica A) Imagen compuesta con tomografías computarizadas obtenidas a los niveles de la vena pulmonar inferior derecha (imagen izquierda) y los bronquios segmentarios (imagen derecha) muestra pequeños nódulos con distribución aleatoria en ambos pulmones. También se observa un engrosamiento suave de los septos interlobulares (flechas). (B) Fotomicrografía de una biopsia obtenida mediante cirugía toracoscópica asistida por video demuestra pequeños granulomas a lo largo de las paredes alveolares (flechas) y los septos interlobulares (cabeza de flecha).
52