9. When skeletal muscle myofibrils are activated through neural pathways, which muscle fibres is recruited first?
22. Which biochemical, that is associated with maintenance of at the articular cartilage phenotype, is most important during growth and development?
24. Which anterior cruciate ligament (ACL) graft type has the most tensile stiffness?
36. During the course of intervertebral disk degeneration and enzymatic degradation, the molecular please that plays a predominant role in disk degeneration is:
52. Which immune cell type is involved in innate immunity?
61. What is the maximum length that can be bridged by a nerve conduit when repairing a nerve gap?
67. A 58-year-old woman has had gradually worsening weakness in her dominant hand for several weeks, now has a wrist drop. What is the site of nerve entrapment?
72. Figure 72 is the MR image of a torn structure consisting primarily of which collagen type?

84. Three months after surger, an orthopaedic surgeon is studying the postsurgical range of motion of 2 patient cohorts taht underwent total knee surgery. this is a single-surgeon study, and the patients are prospectively randomized to a cruciate-retaining knee implant anda posterior-stabilized total knee implant. The null hypothesis is that patients who recieved cruciate-retaining total knee implants would have better range of motion at 3 months. At the end of the study, it is discovered that the patients in the posterior-stabilized cohort recieved outpatient physical therapy for longer period of time. This variable is an example of
87. A 12-year old boy who is reletively short in stature has sustained several-low-energy fractures dispite having dense-appearing bones. Radiographs reveal that his distal phalanges are short. The front and back of his head are prominent. The boys’ baby teeth arrived late, adn his permanent teeth were slow to develop. There are no cervical cords or other neurologic defects. Although his bones are denser, there is now widending of the metaphysis. The likely cause of this disorder is a genetic defect of:
Pycnodysostosis: Lysosomal storage disesease of bone.
Signs and symptoms:
100. Following peripheral nerve injur, distal recovery typically occurs first in:
106. A 56-year-old woman sustained a low-energy fracture and has a bone mineral density T-score of -2.7. Othere than mild hypertension, she has no systemic disorder. She is taking amlodipine for hyper tension and clonazepam as an antiepilectic. She should be advised that:
115. A 6-year-old child was born with a fixed flexion deformity of both little finger proximal IP joints, and several other fingers have similar flexion deformities. The child has a slight waddle, so gait radiographys of the hip were obtained and coxa vara was noted. Laboratory study findings include complete blood counts, erythrocyte sedimentation rate, and rheumatoid factor are negative. A referral to a pediatrician reveals tha thte child has a cardiac rub. What is the most likely diagnosis?
118. Both achondroplasia and Jansen-type metaphyseal dysplasia are examples of inherited disorders characterized by a signaling disorder of:
Achondroplasia- mutation in Fibroblast Growth Factor Receptor 3 (FGFR3)
Jansen-type Metaphyseal Dysplasia- mutation in Parathyroid Hormone Receptor (PTHR1)
126. A 76-year-old man with long-standing degenerative joitn disease of his right hip has developed a contracture of that hip. He walks witha characteristic crouched posture. To maintain his center of mass while walking in a straight line, he compensates by:
134. A 22-year-old woman has a reletively low-energy distal radius fracture. She takes no medications and is in good health, but her vitamin D levels are very low. Vitamin D metabolite and sclerosin levels are asses before and after 3 months of vitamin D replacement therapy to determine if therapy will improve her long-term bone health. There is an expected elevation in:
Sclerostin anatognizes bone formation by BMP pathway, therefore causes decreased bone formation. When gene for sclerostin is mutated, you get bone overgrowth.
142. What is the predominant fuction of aggrecan in articular cartilage?
Aggrecan - aka chondroitin sulfate proteoglycan 1 or cartilage-specific proteoglycan core protein.
148. The characteristics of the region labelled A on the stress-strain curve of a ligment as shown in figure 148 predominantly are attributed to which molecule?

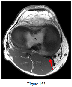
153. Which structure is identified byt he arrow in Figure 153?

155. To reconstruct a semental tibia defect for a patient who has sustained a gunshot wound, an orthopaedic surgeon chooses to use a freeze-dried allograft. Which popential disadvantage is associated with this type of graft?

166. Ceramics and inorganic compounds often are used in orthopaedic clinical practice to fil bone defects. Their biomechanical properties are best described as?
Osteoinductive: Materials that contains factors taht stimulate bone growth and induction of stem cells down bone-forming lineage. Examples are: Deminarlized bone matrices.
Osteoconductive: Materials that acts as a structural framework for bone growth. Examples: BMP protein.
Osteogenic: Material directly provides celsl that will produce bone-inducing primitive mesenchymal stem cells, osteoblasts and osteocytes. Examples are: autologous bone graft (fresh autograft and bone marrow aspirate)
170. Asprin affects bleeding time by which mechanism?
176. Which abnormality causes excessive knee extension during the swing phase of gait?
186. What is the dominant contributing factor in intervertebral disk degeneration?