and 2b?

RECOMMENDED READINGS
Hak DJ, Egol KA, Gardner MJ, Haskell A. The “not so simple” ankle fracture: avoiding problems and pitfalls to improve patient outcomes. Instr Course Lect. 2011;60:73-88. PubMed PMID: 21553763.
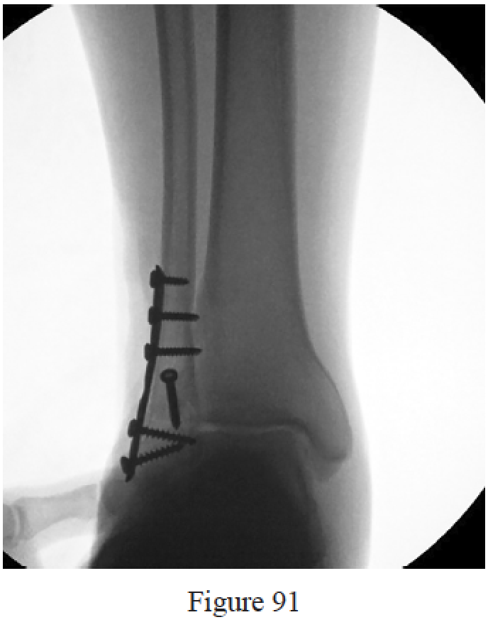
Ricci WM, Tornetta P, Borrelli J Jr. Lag screw fixation of medial malleolar fractures: a biomechanical, radiographic, and clinical comparison of unicortical partially threaded lag screws and bicortical fully threaded lag screws. J Orthop Trauma. 2012 Oct;26(10):602-6. PubMed PMID: 22437423.
and fixation of the posterior malleolus
tibia and fibular diameter, with no reduction and fixation of the posterior malleolus
RECOMMENDED READINGS
Gardner MJ, Graves ML, Higgins TF, Nork SE. Technical Considerations in the Treatment of Syndesmotic Injuries Associated With Ankle Fractures. J Am Acad Orthop Surg. 2015 Aug;23(8):510-8. doi: 10.5435/ JAAOS-D-14-00233. PMID: 26209146.
Phisitkul P, Ebinger T, Goetz J, Vaseenon T, Marsh JL. Forceps reduction of the syndesmosis in rotational ankle fractures: a cadaveric study J Bone Joint Surg Am. 2012 Dec 19;94(24):2256-61. doi: 10.2106/ JBJS.K.01726. PMID: 23318616.
Miller AN, Carroll EA, Parker RJ, Boraiah S, Helfet DL, Lorich DG. Direct visualization for syndesmotic stabilization of ankle fractures. Foot Ankle Int. 2009 May;30(5):419-26. doi: 10.3113/FAI.2009.0419. PMID: 19439142.
10.
Figures 10a and 10b are the emergency department radiographs of a 32-year-old healthy man who is involved in a motor vehicle collision. He has an isolated injury. What is the best next step?

RECOMMENDED READINGS
Callaghan JJ, Liu SS, Haidukewych GJ. Subcapital fractures: a changing paradigm. J Bone Joint Surg Br. 2012 Nov;94(11 Suppl A):19-21. doi: 10.1302/0301-620X.94B11.30617. Review. PubMed PMID: 23118374.
Bhandari M, Devereaux PJ, Swiontkowski MF, Tornetta P 3rd, Obremskey W, Koval KJ, Nork S, Sprague S, Schemitsch EH, Guyatt GH. Internal fixation compared with arthroplasty for displaced fractures of the femoral neck. A meta-analysis. J Bone Joint Surg Am. 2003 Sep;85-A(9):1673-81. PubMed PMID: 12954824.
RECOMMENDED READINGS
Hesse D, Kandmir U, Solberg B, Stroh A, Osgood G, Sems SA, Collinge CA. Femoral nerve palsy after pelvic fracture treated with INFIX: a case series. J Orthop Trauma. 2015 Mar;29(3):138-43. doi: 10.1097/ BOT.0000000000000193. PubMed PMID: 24983430.
Lewallen DG. Neurovascular injury associated with hip arthroplasty. Instr Course Lect. 1998;47:275-83. Review. PubMed PMID: 9571429.

RECOMMENDED READINGS
Dimitriou D, Tsai TY, Yue B, Rubash HE, Kwon YM, Li G. Side-to-side variation in normal femoral morphology: 3D CT analysis of 122 femurs. Orthop Traumatol Surg Res. 2016 Feb;102(1):91-7. doi: 10.1016/j.otsr.2015.11.004. Epub 2016 Jan 19. PubMed PMID: 26867707.
Karaman O, Ayhan E, Kesmezacar H, Seker A, Unlu MC, Aydingoz O. Rotational malalignment after closed intramedullary nailing of femoral shaft fractures and its influence on daily life. Eur J Orthop Surg Traumatol. 2014 Oct;24(7):1243-7. doi: 10.1007/s00590-013-1289-8. Epub 2013 Aug 11. PubMed PMID: 23934503.
Espinoza C, Sathy AK, Moore DS, Starr AJ, Reinert CM. Use of inherent anteversion of an intramedullary nail to avoid malrotation in femur fractures. J Orthop Trauma. 2014 Feb;28(2):e34-8. doi: 10.1097/ BOT.0b013e318298e48c. PubMed PMID: 23689227.
RECOMMENDED READINGS
Florschutz AV, Langford JR, Haidukewych GJ, Koval KJ. Femoral neck fractures: current management. J Orthop Trauma. 2015 Mar;29(3):121-9. doi: 10.1097/BOT.0000000000000291. Review. PubMed PMID: 25635363.
Avery PP, Baker RP, Walton MJ, Rooker JC, Squires B, Gargan MF, Bannister GC. Total hip replacement and hemiarthroplasty in mobile, independent patients with a displaced intracapsular fracture of the femoral neck: a seven- to ten-year follow-up report of a prospective randomised controlled trial. J Bone Joint Surg Br. 2011 Aug;93(8):1045-8. PubMed PMID: 21768626.
Hedbeck CJ, Enocson A, Lapidus G, Blomfeldt R, Törnkvist H, Ponzer S, Tidermark J. Comparison of bipolar hemiarthroplasty with total hip arthroplasty for displaced femoral neck fractures: a concise four year follow-up of a randomized trial. J Bone Joint Surg Am. 2011 Mar 2;93(5):445-50. PubMed PMID: 21368076.
RECOMMENDED READINGS
Matre K, Havelin LI, Gjertsen JE, Vinje T, Espehaug B, Fevang JM. Sliding hip screw versus IM nail in reverse oblique trochanteric and subtrochanteric fractures. A study of 2716 patients in the Norwegian Hip Fracture Register. Injury. 2013 Jun;44(6):735-42. doi: 10.1016/j.injury.2012.12.010. Epub 2013 Jan 8. PubMed PMID: 23305689.
Miedel R, Ponzer S, Törnkvist H, Söderqvist A, Tidermark J. The standard Gamma nail or the Medoff sliding plate for unstable trochanteric and subtrochanteric fractures. A randomised, controlled trial. J Bone Joint Surg Br. 2005 Jan;87(1):68-75. PubMed PMID: 15686240.
RECOMMENDED READINGS
Tannast M, Najibi S, Matta JM. Two to twenty-year survivorship of the hip in 810 patients with operatively treated acetabular fractures. J Bone Joint Surg Am. 2012 Sep 5;94(17):1559-67. PubMed PMID: 22992846.
Liebergall M, Mosheiff R, Low J, Goldvirt M, Matan Y, Segal D. Acetabular fractures. Clinical outcome of surgical treatment. Clin Orthop Relat Res. 1999 Sep;(366):205-16. PubMed PMID: 10627737.
RECOMMENDED READINGS
Ovaska MT, Madanat R, Mäkinen TJ. Predictors of Postoperative Wound Necrosis Following Primary Wound Closure of Open Ankle Fractures. Foot Ankle Int. 2016 Apr;37(4):401-6. doi: 10.1177/1071100715609182. PubMed PMID: 26830839.
Jenkinson RJ, Kiss A, Johnson S, Stephen DJ, Kreder HJ. Delayed wound closure increases deep-infection rate associated with lower-grade open fractures: a propensity-matched cohort study. J Bone Joint Surg Am. 2014 Mar 5;96(5):380-6. doi: 10.2106/JBJS.L.00545. PubMed PMID: 24599199.
RECOMMENDED READINGS
Roberts JW, Libet LA, Wolinsky PR. Who is in danger? Impingement and penetration of the anterior cortex of the distal femur during intramedullary nailing of proximal femur fractures: preoperatively measurable risk factors. J Trauma Acute Care Surg. 2012 Jul;73(1):249-54. doi: 10.1097/ TA.0b013e318256a0b6. PubMed PMID: 22743391.
Ostrum RF, Levy MS. Penetration of the distal femoral anterior cortex during intramedullary nailing for subtrochanteric fractures: a report of three cases. J Orthop Trauma. 2005 Oct;19(9):656-60. PubMed PMID: 16247312.
PREFERRED RESPONSE: 3

RECOMMENDED READINGS
Campbell WS, Canale ST, Beaty JS, eds. Campbell’s Operative Orthopaedics. Philadelphia, PA: Elsevier/ Mosby; 2013:120.
Catalano LW 3rd, Zlotolow DA, Hitchcock PB, Shah SN, Barron OA. Surgical exposures of the radius and ulna. J Am Acad Orthop Surg. 2011 Jul;19(7):430-8. Review. PubMed PMID: 21724922.
commonly injured?

RECOMMENDED READINGS
Gardner MJ, Yacoubian S, Geller D, Pode M, Mintz D, Helfet DL, Lorich DG. Prediction of soft-tissue injuries in Schatzker II tibial plateau fractures based on measurements of plain radiographs. J Trauma. 2006 Feb;60(2):319-23; discussion 324. PubMed PMID: 16508489.
Gardner MJ, Yacoubian S, Geller D, Suk M, Mintz D, Potter H, Helfet DL, Lorich DG. The incidence of soft tissue injury in operative tibial plateau fractures: a magnetic resonance imaging analysis of 103 patients. J Orthop Trauma. 2005 Feb;19(2):79-84. PubMed PMID: 15677922.

RECOMMENDED READINGS
Lower extremity fractures. In: Canale ST, Beaty JH, eds. Campbell’s Operative Orthopaedics. Vol 2. 12th ed. Philadelphia, PA: Elsevier-Mosby; 2013:3044.
van den Bekerom MP. Diagnosing syndesmotic instability in ankle fractures. World J Orthop. 2011 Jul 18;2(7):51-6. doi: 10.5312/wjo.v2.i7.51. PubMed PMID: 22474636.
RECOMMENDED READINGS
Guo JJ, Tang N, Yang HL, Tang TS. A prospective, randomised trial comparing closed intramedullary nailing with percutaneous plating in the treatment of distal metaphyseal fractures of the tibia. J Bone Joint Surg Br. 2010 Jul;92(7):984-8. doi: 10.1302/0301-620X.92B7.22959. PubMed PMID: 20595119.
Im GI, Tae SK. Distal metaphyseal fractures of tibia: a prospective randomized trial of closed reduction and intramedullary nail versus open reduction and plate and screws fixation. J Trauma. 2005 Nov;59(5):1219-23; discussion 1223. PubMed PMID: 16385303.

RECOMMENDED READINGS
Irwin TA, Lien J, Kadakia AR. Posterior malleolus fracture. J Am Acad Orthop Surg. 2013 Jan;21(1):32- 40. doi: 10.5435/JAAOS-21-01-32. Review. PubMed PMID: 23281469.
Tornetta P 3rd, Ostrum RF, Trafton PG. Trimalleolar ankle fracture. J Orthop Trauma. 2001 Nov;15(8):588-90. PubMed PMID: 11733680.

RECOMMENDED READINGS
Kwok CS, Crossman PT, Loizou CL. Plate versus nail for distal tibial fractures: a systematic review and meta-analysis. J Orthop Trauma. 2014 Sep;28(9):542-8. doi: 10.1097/BOT.0000000000000068. Review. PubMed PMID: 24464094.
Vallier HA, Cureton BA, Patterson BM. Randomized, prospective comparison of plate versus intramedullary nail fixation for distal tibia shaft fractures. J Orthop Trauma. 2011 Dec;25(12):736-41. doi: 10.1097/BOT.0b013e318213f709. PubMed PMID: 21904230.

RECOMMENDED READINGS
McConnell T, Tornetta P III, Tilzey J, Casey D. Tibial portal placement: the radiographic correlate of the anatomic safe zone. J Orthop Trauma. 2001Mar-Apr;15(3):207-9. PubMed PMID: 11265012.
Song SJ, Jeong BO. Three-dimensional analysis of the intramedullary canal axis of tibia: clinical relevance to tibia intramedullary nailing. Arch Orthop Trauma Surg. 2010 Jul;130(7):903-7. Epub 2009 Nov 3. PubMed PMID: 19885665.

RECOMMENDED READINGS
Canale ST, Beaty JH, Campbell WC. Fractures and dislocations. In: Campbell WS, Canale ST, Beaty JS, eds. Campbell’s Operative Orthopaedics. Philadelphia, PA: Mosby/Elsevier; 2013:3249.
Dislocations of the Hip. In: Rockwood CA, Green DP, Heckman JD, Bucholz RW, eds. Rockwood and Green’s Fractures in Adults. Philadelphia, PA: Lippincott Williams & Wilkins; 2001:1789.
RECOMMENDED READINGS
Niver GE, Ilyas AM. Carpal tunnel syndrome after distal radius fracture. Orthop Clin North Am. 2012 Oct;43(4):521-7. doi: 10.1016/j.ocl.2012.07.021. Epub 2012 Sep 4. Review. PubMed PMID: 23026468.
Davis DI, Baratz M. Soft tissue complications of distal radius fractures. Hand Clin. 2010 May;26(2):229- 35. doi: 10.1016/j.hcl.2009.11.002. Review. PubMed PMID: 20494749.

RECOMMENDED READINGS
Rihn JA, Groff YJ, Harner CD, Cha PS. The acutely dislocated knee: evaluation and management. J Am Acad Orthop Surg. 2004 Sep-Oct;12(5):334-46. Review. PubMed PMID: 15469228.
Wand JS. A physical sign denoting irreducibility of a dislocated knee. J Bone Joint Surg Br. 1989 Nov;71(5):862. PubMed PMID: 2584265.
RECOMMENDED READINGS
Ringus VM, Lemley FR, Hubbard DF, Wearden S, Jones DL. Lateral tibial plateau fracture depression as a predictor of lateral meniscus pathology. Orthopedics. 2010 Feb;33(2):80-4. doi: 10.3928/01477447- 20100104-05. PubMed PMID: 20192139.
Stahl D, Serrano-Riera R, Collin K, Griffing R, Defenbaugh B, Sagi HC. Operatively Treated Meniscal Tears Associated With Tibial Plateau Fractures: A Report on 661 Patients. J Orthop Trauma. 2015 Jul;29(7):322-4. doi: 10.1097/BOT.0000000000000290. PubMed PMID: 25635356.

RECOMMENDED READINGS
Basener CJ, Mehlman CT, DiPasquale TG. Growth disturbance after distal femoral growth plate fractures in children: a meta-analysis. J Orthop Trauma. 2009 Oct;23(9):663-7. doi: 10.1097/ BOT.0b013e3181a4f25b. PubMed PMID: 19897989.
Arkader A, Warner WC Jr, Horn BD, Shaw RN, Wells L. Predicting the outcome of physeal fractures of the distal femur. J Pediatr Orthop. 2007 Sep;27(6):703-8. PubMed PMID: 17717475.

RECOMMENDED READINGS
Rudloff MI. Fractures of the lower extremity. In: Canale ST, Beaty JH, eds. Campbell’s Operative Orthopaedics. Vol 2. 12th ed. Philadelphia, PA: Elsevier-Mosby; 2013:2617-2724.
Diaphyseal femoral fractures. In: Rockwood CA, Green DP, Heckman JD, Bucholz RW, eds. Rockwood and Green’s Fractures in Adults. Philadelphia, PA: Lippincott Williams & Wilkins; 2001:1909.
Wheeless Textbook of Orthopaedic Surgery, http://www.wheelessonline.com/ortho/femoral_im_nail_ entry_point. (Accessed June 13, 2016)
RECOMMENDED READINGS
Ricci WM, Tornetta P, Borrelli J Jr. Lag screw fixation of medial malleolar fractures: a biomechanical, radiographic, and clinical comparison of unicortical partially threaded lag screws and bicortical fully threaded lag screws. J Orthop Trauma. 2012 Oct;26(10):602-6. PubMed PMID: 22437423.
Perren SM, Frigg R, Hehli M, et al. Lag screw. In: Colton CL, Fernandez Dell’Oca A, Holz U, et al, eds. AO Principles of Fracture Management. Stuttgart, Germany: Thieme; 2000:157-167.