Question 7
Figure 7 is a sagittal CT scan of a 28-year-old man who is being evaluated for spinal and peripheral joint issues. Which medication is most appropriate to initiate at this time?

RECOMMENDED READINGS
Kubiak EN, Moskovich R, Errico TJ, Di Cesare PE. Orthopaedic management of ankylosing spondylitis. J Am Acad Orthop Surg. 2005 Jul-Aug;13(4):267-78. PubMed PMID: 16112983.
Khalessi AA, Oh BC, Wang MY. Medical management of ankylosing spondylitis. Neurosurg Focus. 2008;24(1):E4. doi: 10.3171/FOC/2008/24/1/E4. Review. PubMed PMID: 18290742.
Question 19
Figures 19a and 19b are the MR images of a 74-year-old man who has progressive gait and balance difficulties. Examination reveals intrinsic weakness (4/5), hyperreflexia in the triceps and quadriceps, and a positive Hoffman sign. What is the most appropriate treatment?

RECOMMENDED READINGS
Fehlings MG, Barry S, Kopjar B, Yoon ST, Arnold P, Massicotte EM, Vaccaro A, Brodke DS, Shaffrey C, Smith JS, Woodard E, Banco RJ, Chapman J, Janssen M, Bono C, Sasso R, Dekutoski M, Gokaslan ZL. Anterior versus posterior surgical approaches to treat cervical spondylotic myelopathy: outcomes of the prospective multicenter AOSpine North America CSM study in 264 patients. Spine (Phila Pa 1976). 2013 Dec 15;38(26):2247-52. doi: 0.1097/BRS.0000000000000047. PubMed PMID: 24108289.
Zindrick M, Harris MB, Humphreys SC, O’Leary PT, Schneiderman G, Watters WC 3rd, Turkelson CM, Wies JL, Raymond L. Cervical disc arthroplasty. J Am Acad Orthop Surg. 2010 Oct;18(10):631-7. Review. PubMed PMID: 20889952.
Question 27
Figure 27 is the MR image of a 68-year-old woman who has had neck pain for several years. She has noticed progression of gait imbalance and changes in her handwriting. What is the best next step?

RECOMMENDED READINGS
Hsu WK. Advanced techniques in cervical spine surgery. J Bone Joint Surg Am. 2011 Apr 20;93(8):780-8. Review. PubMed PMID: 21508286.
Emery SE. Cervical spondylotic myelopathy: diagnosis and treatment. J Am Acad Orthop Surg. 2001 Nov-Dec;9(6):376-88. Review. PubMed PMID: 11767723.
Question 35
Figures 35a through 35e are the radiographs and MR images of a 75-year-old woman who has pain radiating into both legs. Her pain improves with bending forward or lying flat and worsens with ambulation. Her neurologic examination reveals 4/5 strength in ankle dorsiflexion, but otherwise is unremarkable. She has attempted nonsurgical care including physical therapy and medications for 6 months. What is the most appropriate treatment?
RECOMMENDED READINGS
Weinstein JN, Lurie JD, Tosteson TD, Zhao W, Blood EA, Tosteson AN, Birkmeyer N, Herkowitz H, Longley M, Lenke L, Emery S, Hu SS. Surgical compared with nonoperative treatment for lumbar degenerative spondylolisthesis. four-year results in the Spine Patient Outcomes Research Trial (SPORT) randomized and observational cohorts. J Bone Joint Surg Am. 2009 Jun;91(6):1295-304. doi: 10.2106/ JBJS.H.00913. PubMed PMID: 19487505; PubMed Central PMCID: PMC2686131.
Question 45
A 22-year-old man has a cervical fracture-dislocation after being involved in a motor vehicle collision. Examination reveals normal sensation in his upper extremities and strength that is graded as 5/5 in his biceps, 3/5 in wrist extensors, 2/5 in triceps, and 0/5 in his hands and leg muscles. What is the most accurate American Spinal Injury Association (ASIA) classification of this injury?
RECOMMENDED READINGS
Schouten R, Albert T, Kwon BK. The spine-injured patient: initial assessment and emergency treatment. J Am Acad Orthop Surg. 2012 Jun;20(6):336-46. doi: 10.5435/JAAOS-20-06-336. Review. PubMed PMID: 22661563.
Hadley MN, Walters BC, Aarabi B, Dhall SS, Gelb DE, Hurlbert RJ, Rozzelle CJ, Ryken TC, Theodore N. Clinical assessment following acute cervical spinal cord injury. Neurosurgery. 2013 Mar;72 Suppl 2:40- 53. doi: 10.1227/NEU.0b013e318276edda. Review. PubMed PMID: 23417178.
Question 55
An 18-year-old footbal player has a bilateral C5 facet dislocation after an on-field collision. He has a heart rate of 50 and a blood pressure of 60/40 mm Hg. Spontaneous movement is seen in his upper extremities but not in his lower extremities. He has no rectal tone. No other thoracic or abdominal injuries are found. The patient is resuscitated according to Advanced Trauma Life Support guidelines, but there is no significant change in his vital signs. What is the best descriptor of his hemodynamic shock?
RECOMMENDED READINGS
Mallek JT, Inaba K, Branco BC, Ives C, Lam L, Talving P, David JS, Demetriades D. The incidence of neurogenic shock after spinal cord injury in patients admitted to a high-volume level I trauma center. Am Surg. 2012 May;78(5):623-6. PubMed PMID: 22546142.
Furlan JC, Fehlings MG. Cardiovascular complications after acute spinal cord injury: pathophysiology, diagnosis, and management. Neurosurg Focus.2008;25(5):E13. doi: 10.3171/FOC.2008.25.11.E13. Review. PubMed PMID: 18980473.
Question 68
Figure 68 is the MR image of a 53-year-old woman who has a 6-month history of left lower extremity radiculopathy. Before deciding upon surgical intervention, it is important to obtain

RECOMMENDED READINGS
Singh K, Samartzis D, Biyani A, An HS. Lumbar spinal stenosis. J Am Acad Orthop Surg. 2008 Mar;16(3):171-6. PubMed PMID: 18316715.
Question 77
Figures 77a and 77b are the CT scan and MR image of a 62-year-old woman who fell at home. She has severe back pain and describes an extension injury. Examination reveals severe thoracic kyphosis, but motor and sensory functions are normal. What is the most appropriate treatment?

RECOMMENDED READINGS
Caron T, Bransford R, Nguyen Q, Agel J, Chapman J, Bellabarba C. Spine fractures in patients with ankylosing spinal disorders. Spine (Phila Pa 1976). 2010 May 15;35(11):E458-64. doi: 10.1097/ BRS.0b013e3181cc764f. PubMed PMID: 20421858.
Wang YF, Teng MM, Chang CY, Wu HT, Wang ST. Imaging manifestations of spinal fractures in ankylosing spondylitis. AJNR Am J Neuroradiol. 2005 Sep;26(8):2067-76. PubMed PMID: 16155161.
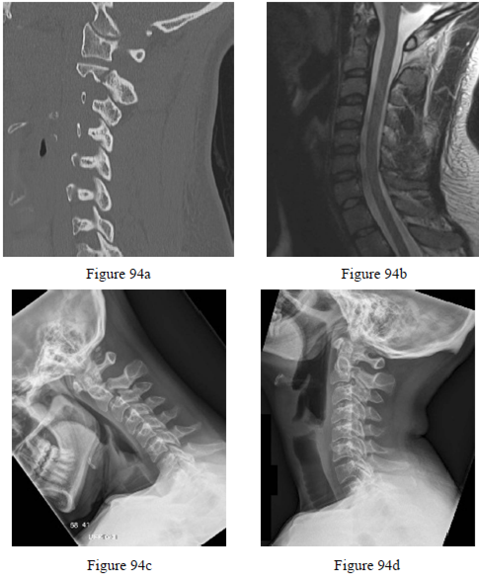
Question 94
Figures 94a and 94b are the sagittal CT and T2-weighted MRI cervical spine scans of a 25-year-old man who has neck pain after a motor vehicle collision. Examination reveals limited range of motion of the cervical spine and tenderness to palpation below the occiput, but his neurologic function is normal. Figures 94c and 94d are his flexion and extension lateral radiographs. What is the most appropriate treatment option?

RECOMMENDED READINGS
Jackson RS, Banit DM, Rhyne AL 3rd, Darden BV 2nd. Upper cervical spine injuries. J Am Acad Orthop Surg. 2002 Jul-Aug;10(4):271-80. Review. PubMed PMID: 15089076.
Pryputniewicz DM, Hadley MN. Axis fractures. Neurosurgery. 2010 Mar;66(3 Suppl):68-82. doi: 10.1227/01.NEU.0000366118.21964.A8. Review. PubMed PMID: 20173530.
Li XF, Dai LY, Lu H, Chen XD. A systematic review of the management of hangman’s fractures. Eur Spine J. 2006 Mar;15(3):257-69. Epub 2005 Oct 19.Review. PubMed PMID: 16235100; PubMed Central
PMCID: PMC3489291.
Question 110
Figures 110a through 110c is the upright lateral cervical radiograph and CT scans of an 86-year-old man who has severe neck pain after a fall at home. He is awake, alert, and oriented and has normal neurological examination findings. His medical history is noted for osteoporosis and he is a 60-pack-year smoker. What is the most appropriate treatment?

RECOMMENDED READINGS
Patel AA, Lindsey R, Bessey JT, Chapman J, Rampersaud R; Spine Trauma Study Group. Surgical treatment of unstable type II odontoid fractures in skeletally mature individuals. Spine (Phila Pa 1976). 2010 Oct 1;35(21 Suppl):S209-18. doi: 10.1097/BRS.0b013e3181f32ca5. Review. PubMed PMID: 20881464.
Question 124
Figures 124a and 124b are the anteroposterior and lateral radiographs of a 27-year-old man who was treated with an anterior/posterior fusion for chronic low-back pain secondary to L5 spondylolysis with spondylolisthesis. The patietn experienced difficulty with fertility after his surgery. This condition most likely was caused by an injury to which structure?

RECOMMENDED READINGS
Sasso RC, Kenneth Burkus J, LeHuec JC. Retrograde ejaculation after anterior lumbar interbody fusion: transperitoneal versus retroperitoneal exposure. Spine (Phila Pa 1976). 2003 May 15;28(10):1023-6. PubMed PMID: 12768143.
Lindley EM, McBeth ZL, Henry SE, Cooley R, Burger EL, Cain CM, Patel VV. Retrograde ejaculation after anterior lumbar spine surgery. Spine (Phila Pa 1976). 2012 Sep 15;37(20):1785-9. PubMed PMID: 22472808.
Tepper G, Rabbani R, Yousefzadeh M, Prince D. Quantitative assessment of retrograde ejaculation using semen analysis, comparison with a standardized qualitative questionnaire, and investigating the impact of rhBMP-2. Spine (Phila Pa 1976). 2013 May 1;38(10):841-5. doi: 10.1097/BRS.0b013e31828bf36a. PubMed PMID: 23403551.
Question 141
Figure 141 is the MR image of a 43-year-old woman with a 3-week history of neck pain radiating into her left arm. She denies numbness, weakness, or problems with balance. Examination reveals her pain is reproduced with ipsilateral neck rotation. What is the most appropriate treatment?

RECOMMENDED READINGS
Rhee JM, Yoon T, Riew KD. Cervical radiculopathy. J Am Acad Orthop Surg. 2007 Aug;15(8):486-94. Review. PubMed PMID: 17664368.
Rao RD, Currier BL, Albert TJ, Bono CM, Marawar SV, Poelstra KA, Eck JC. Degenerative cervical spondylosis: clinical syndromes, pathogenesis, and management. J Bone Joint Surg Am. 2007 Jun;89(6):1360-78. Review. PubMed PMID: 17575617.
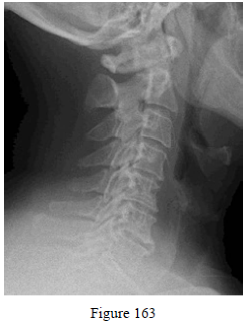
Question 163
Figure 163 is the lateral radiograph of a 67-year-old man with a long-standing history of neck pain. He slipped and fell in his bathtub, which resulted in a hyperextension injury to his cervical spine. What is the most likely spinal cord injury in this scenario?

RECOMMENDED READINGS
Nowak DD, Lee JK, Gelb DE, Poelstra KA, Ludwig SC. Central cord syndrome. J Am Acad Orthop Surg. 2009 Dec;17(12):756-65. Review. PubMed PMID: 19948700.
Gupta R, Bathen ME, Smith JS, Levi AD, Bhatia NN, Steward O. Advances in the management of spinal cord injury. J Am Acad Orthop Surg. 2010 Apr;18(4):210-22. Review. PubMed PMID: 20357230.
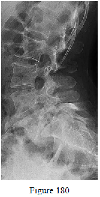
Question 180
Figure 180 is the lateral radiograph of a 17-year-old girl who has chronic low-back pain. She has normal motor examination findings but diminished light touch vs sensation in a L5 distribution. Her pain is reproduced with lumbar extension. Which morphologic parameter has been correlated with her spinal condition?

RECOMMENDED READINGS
Labelle H, Roussouly P, Berthonnaud E, Dimnet J, O’Brien M. The importance of spino-pelvic balance in L5-s1 developmental spondylolisthesis: a review of pertinent radiologic measurements. Spine (Phila Pa 1976). 2005 Mar 15;30(6 Suppl):S27-34. Review. PubMed PMID: 15767882.
Hanson DS, Bridwell KH, Rhee JM, Lenke LG. Correlation of pelvic incidence with low- and high-grade isthmic spondylolisthesis. Spine (Phila Pa 1976). 2002 Sep 15;27(18):2026-9. PubMed PMID: 12634563.
Question 194
Figure 194 is the MR image of a 73-year-old man with hypertension who has a 10-week history of bilateral leg pain when he walks more than 2 blocks. A complete evaluation should include a(n)

RECOMMENDED READINGS
Issack PS, Cunningham ME, Pumberger M, Hughes AP, Cammisa FP Jr. Degenerative lumbar spinal stenosis: evaluation and management. J Am Acad Orthop Surg. 2012 Aug;20(8):527-35. doi: 10.5435/ JAAOS-20-08-527. Review. PubMed PMID: 22855855.
Young IA, Hyman GS, Packia-Raj LN, Cole AJ. The use of lumbarepidural/transforaminal steroids for managing spinal disease. J Am Acad Orthop Surg. 2007 Apr;15(4):228-38. Review. PubMed PMID: 17426294.
Question 199
Figures 199a and 199b are the sagittal and axial T2-weighted MR images of a 76-year-old woman who has been experiencing worsening coordination and gait imbalance during the past year. When compared to an anterior surgical approach, a posterior approach is associated with a significantly higher indicence of which perioperative complication?

RECOMMENDED READINGS
Liu X, Min S, Zhang H, Zhou Z, Wang H, Jin A. Anterior corpectomy versus posterior laminoplasty for multilevel cervical myelopathy: a systematic reviewand meta-analysis. Eur Spine J. 2013 Oct 5. PubMed PMID: 24097230.
Fehlings MG, Smith JS, Kopjar B, Arnold PM, Yoon ST, Vaccaro AR, Brodke DS, Janssen ME, Chapman JR, Sasso RC, Woodard EJ, Banco RJ, Massicotte EM, Dekutoski MB, Gokaslan ZL, Bono CM, Shaffrey CI. Perioperative and delayed complications associated with the surgical treatment of cervical spondylotic myelopathy based on 302 patients from the AOSpine North America Cervical Spondylotic Myelopathy Study. J Neurosurg Spine. 2012 May;16(5):425-32. doi: 10.3171/2012.1.SPINE11467. Epub 2012 Feb 10. PubMed PMID: 22324802.
Question 205
Figure 205a is the lateral weight-bearing radiograph of a 38-year-old man with low-back pain that failed to respond to nonsurgical treatment. Compared to the surgical option shown in Figure 205b, the option in Figure 205c results in

RECOMMENDED READINGS
Madigan L, Vaccaro AR, Spector LR, Milam RA. Management of symptomatic lumbar degenerative disk disease. J Am Acad Orthop Surg. 2009 Feb;17(2):102-11. Review. PubMed PMID: 19202123.
Question 214
Figures 214a and 214b are the sagittal and postcontrast MR images of a 44-year-old man who is admitted to the intensive care unit with severe back pain, fevers, and chills. He has normal strength and sensation. He has elevated erythrocyte sedimentation rate and C-reactive protein levels and negative blood cultures . What is the most appropriate next step?

RECOMMENDED READINGS
Carragee EJ. The clinical use of magnetic resonance imaging in pyogenic vertebral osteomyelitis. Spine (Phila Pa 1976). 1997 Apr 1;22(7):780-5. PubMedPMID: 9106320.
Darouiche RO. Spinal epidural abscess. N Engl J Med. 2006 Nov 9;355(19):2012-20. Review. PubMed PMID: 17093252.
Dunbar JA, Sandoe JA, Rao AS, Crimmins DW, Baig W, Rankine JJ. The MRI appearances of early vertebral osteomyelitis and discitis. Clin Radiol. 2010Dec;65(12):974-81. doi: 10.1016/j.crad.2010.03.015. Epub 2010 Jul 7. PubMed PMID: 21070900.
Question 220
Figures 220a through 220c are the CT scans of a 35-year-old man who is seen after a motor vehicle collision. Examination reveals weakness in ankle dorsflexion (3/5) and bilateral ankle plantar flexion (1/5). He has decreased sensation in the perineal region and absent rectal tone. What is the most appropriate treatment?

Question 225
Figure 225 is an axial MR image at L4-5 of a 57-year-old woman who has had 3 months of back pain that radiates into her left anterolateral thigh, anterior shin, and medial ankle. Her pain has persisted after participating in physical therapy and receiving medications and an epidural injection. She has a positive straight-leg raise result and weakness in the anterior tibialis (4/5). What is the most appropriate treatment?

RECOMMENDED READINGS
Epstein NE. Foraminal and far lateral lumbar disc herniations: surgical alternatives and outcome measures. Spinal Cord. 2002 Oct;40(10):491-500. Review. PubMed PMID: 12235530.
McCulloch JA, Weiner BK. Microsurgery in the lumbar intertransverse interval. Instr Course Lect. 2002;51:233-41. Review. PubMed PMID: 12064108.
Question 233
Figure 233 is a sagittal CT scan of a 77-year-old woman who has been experiencing back pain for about 1 month. How does an acute fracture appear on an MR image?

RECOMMENDED READINGS
Kim DH, Vaccaro AR. Osteoporotic compression fractures of the spine; current options and considerations for treatment. Spine J. 2006 Sep-Oct;6(5):479-87. Review. PubMed PMID: 16934715.
Spivak JM, Johnson MG. Percutaneous treatment of vertebral body pathology. J Am Acad Orthop Surg. 2005 Jan-Feb;13(1):6-17. Review. PubMed PMID: 15712978.
Question 236
According to the AAOS Clinical Practice Guideline, Treatment of Symptomatic Osteoporotic Spinal Compression Fractures, a strong recommendation is made
RECOMMENDED READINGS
Esses SI, McGuire R, Jenkins J, Finkelstein J, Woodard E, Watters WC 3rd, Goldberg MJ, Keith M, Turkelson CM, Wies JL, Sluka P, Boyer KM, Hitchcock K. The treatment of symptomatic osteoporotic spinal compression fractures. J Am Acad Orthop Surg. 2011 Mar;19(3):176-82. PubMed PMID: 21368099. http://www.aaos.org/Research/guidelines/SCFguideline.asp Last accessed: 9/15/2014.
Question 243
Figure 243 is an axial MR image of a 34-year-old woman who has had severe right leg pain for 3 months. The pain starts in her back and radiates into her posterior thigh, lateral shin, and dorsum of the foot. Examination reveals a positive right straight-leg raise result, weakness (4/5) in the right extensor hallucis longus, and numbness in her great toe. Which intervertebral disk most likely is involved?

RECOMMENDED READINGS
Radcliff K, Hilibrand A, Lurie JD, Tosteson TD, Delasotta L, Rihn J, Zhao W, Vaccaro A, Albert TJ, Weinstein JN. The impact of epidural steroid injections on the outcomes of patients treated for lumbar disc herniation: a subgroup analysis of the SPORT trial. J Bone Joint Surg Am. 2012 Aug 1;94(15):1353-8. doi:10.2106/JBJS.K.00341. PubMed PMID: 22739998; PubMed Central PMCID: PMC3401142.
Weinstein JN, Lurie JD, Tosteson TD, Tosteson AN, Blood EA, Abdu WA, Herkowitz H, Hilibrand A, Albert T, Fischgrund J. Surgical versus nonoperative treatment for lumbar disc herniation: fouryear results for the Spine Patient Outcomes Research Trial (SPORT). Spine (Phila Pa 1976). 2008 Dec 1;33(25):2789-800. doi: 10.1097/BRS.0b013e31818ed8f4. PubMed PMID: 19018250; PubMed Central PMCID: PMC2756172.
Question 249
Figure 249 is the standing lateral radiograph of a 69-year-old woman who underwent a 3-column osteotomy and posterior thoracolumbar fusion to correct a sagittal plane deformity. Which risk factor is associated with the highest incidence of a major perioperative complication?

RECOMMENDED READINGS
Daubs MD, Lenke LG, Cheh G, Stobbs G, Bridwell KH. Adult spinal deformity surgery: complications and outcomes in patients over age 60. Spine (Phila Pa 1976). 2007 Sep 15;32(20):2238-44. PubMed PMID: 17873817.