
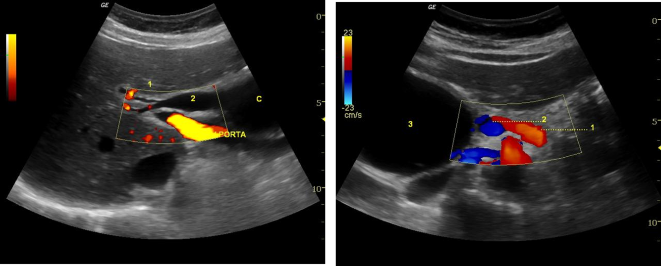
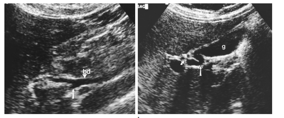
Ultrasound study shows a cystic mass between the pancreatic head and the gallbladder. Smooth wall and homogeneous anechoic content were detected.
The study is compatible with dilatation of entire extrahepatic bile duct, that’s also known as a true choledochal cyst. Is the type 1 of Todani classification of bile duct cysts.
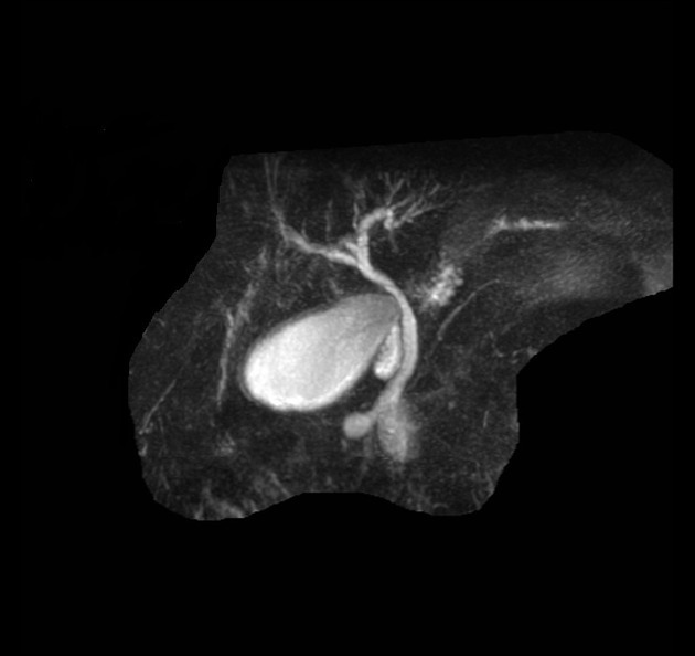
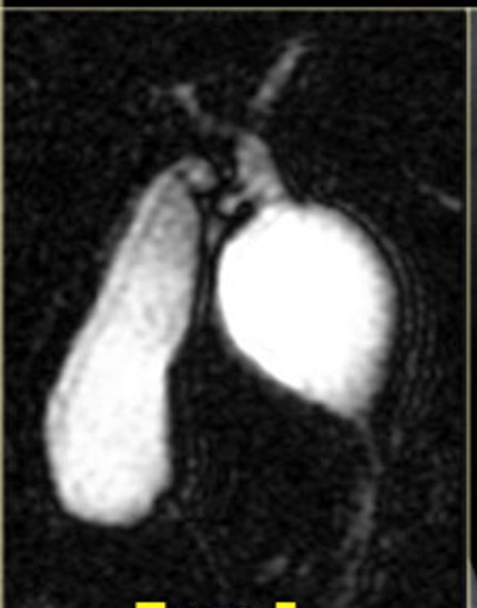
todani type I
fusiform common bile duct dilation
most common choledochal cyst
tondani type I = fusiform dilation of the CBD

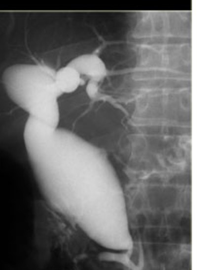
todani type III = choledococele at the intraduodenal bile duct
“cobra head”


todani type I


type ii

todani type iii


todani type IV
both extra and intra hepatic bile ducts


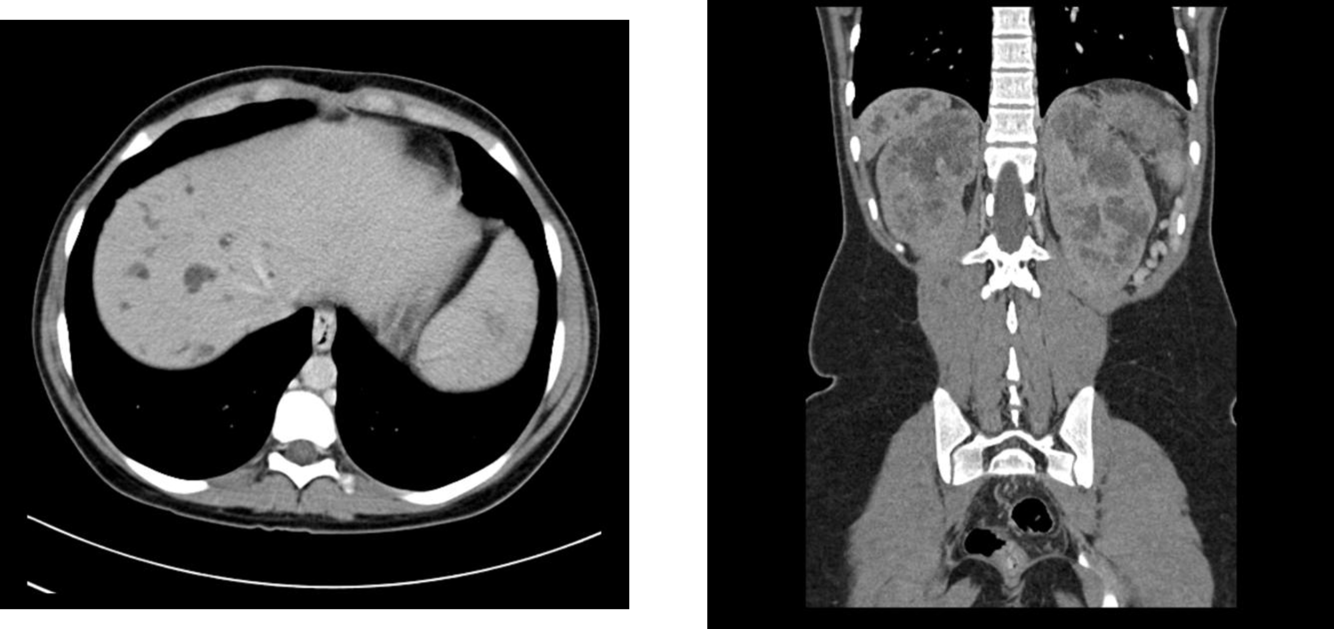
Caroli disease (todani type V) plus ADPKD
Caroli’s is associated with medullary sponge kidney and ADPKD and ARPKD

caroli disease (todani type V)




mesh of small bile ducts in the liver parenchyma draining into gallbladder
subvesicle bile duct –> can lead to persistent bile leak after cholecystectomy
what can lead to inadvertent common duct ligation in a cholecystectomy?
low insertion of the CBD

Charcot’s triad
fever, abdominal pain, jaundice
parasite associated with recurrent pyogenic cholangitis
Clonorchis sinesis
HIV, CD4 counts < 130

AIDS cholangiopathy
Characterized by multiple irregular strictures essentially indistinguishable from primary sclerosing cholangitis (PSC).
No definite organism is identified in up to half of the patients. It typically affects patients with low CD4 counts (<135/mm3).

Recurrent pyogenic cholangitis (oriental cholangiohepatitis)
“ducts full of stones”
Imaging triad of:
1) Pneumobilia.
2) Lamellated bile duct filling defects.
3) Intrahepatic and extrahepatic bile duct dilation and strictures

biliary cystadenoma

most common met to the GB
melanoma
middle age woman with pruitis and fatigue

PBC
T2: if parenchymal lace-like fibrosis and periportal halo sign are seen together the sensitivity for PBC can approach 70%
Presentation: The typical patient is a middle-aged woman presenting with symptoms of fatigue and pruritus and laboratory test evidence of cholestasis.