Where are splenules most commonly found?
Splenic hilum
What is a splenule?
focus of normal splenic tissue separate from the the main body of the spleen. Due to embryologic failure of fusion
Heterotaxy syndrome with multiple foci of splenic tissue
Polysplenia
Polysplenia is associated with:
cardiac abnormalities heterotaxy venous anomalies including interruption of the IVC with azygos or hemiazygos continuation Pre-duodenal portal vein
Pre-duodenal vein is associated with what condition
polysplenia
How does a wandering spleen typically present?
abdominal mass pain (secondary to torsion)
Abnormal laxity or absence of the fixed splenic ligamentous attachments is often referred to as a:
wandering spleen the laxity of the ligaments results in torsion or abnormal movement of the spleen
Most common benign splenic neoplasm:
hemangioma
Splenic hemangiomas are associated with
Kasabach-Merrit syndrome (anemia, thrombocytopenia, consumptive coagulopathy) and Kippel Trenaunay Weber syndrome (cutaneous hemangiomas varicose veins, and extremity hypertrophy)
What splenic finding is associated with Kasabach-Merrit syndome?
splenic hemangiomas
What splenic finding is associated with Kippel-Trenaunay-Weber syndome?
splenic hemangiomas
With visceral hemangiomatosis syndromes, what imaging characteristic is associated with splenic hemangiomas?
phleboliths
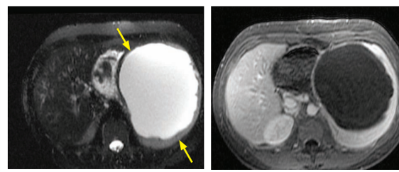
MRI characteristics of splenic hemangiomas
T2 bight enhancement peripherally or homogenously
Splenic hamartomas are associated with:
TSC
What markers are increased in patients with true splenic cysts?

CA19-9, CA125, CEA
Most splenic cysts are acquired or congenital?
acquired
possible intrasplenic finding in a patient with pancreatitis?
intrasplenic pseudocyst
Classic imaging appearance of splenic lymphangioma:
single or multiple multilocular cystic structure with thin septations with septal enhancement
single or multiple multilocular cystic structure with thin septations with septal enhancement
Splenic lymphangioma cysts and pseudocyts are typically unilocular
spleen in sarcoidosis
If spleen is involved in sarcoid, will see splenomegaly and hepatomegaly less commonly numerous hypoattenuating 1-3cm lesions without enhancement (noncaseating granulomas)
rare focal collection of immune cells and associated inflammatory exudate, of unclear etiology. Patients often have constitutional symptoms including fever and malaise.
Inflammatory pseudotumor
What is an inflammatory pseudotumor?
rare focal collection of immune cells and associated inflammatory exudate, of unclear etiology. Patients often have constitutional symptoms including fever and malaise.
Single splenic abscess more likely to be:
bacterial
Multiple splenic abscesses are more likely to be:
fungal