quadrate lobe
segment IV
caudate lobe
segment 1
hot quadrate sign
SVC obstruction
hot spot in segment 1
Budd-Chiari
dorsal pancreatic duct
Santorini
ventral pancreatic duct
Wirsung
entrance air kerma for abdominal radiograph
3 mGy
MC duodenal malignancy
adenocarcinoma

HIV cholangiopathy papillary stenosis
4 phases of renal contrast

pancreas divisum
caudate lobe hypertrophy

MC locations of GIST
stomach > duodenum > anorectum
median survival after successful surgical resection of pancreatic cancer
1.5 years

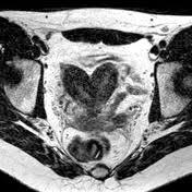
septate uterus

bicornuate uterus
MC associated abnormality with Mullerian Duct Anomalies

goblet sign
MC MDA
septate uterus
Zuckerkandl fascia
posterior perirenal fascia
Gerota fascia
anterior perirenal fascia
epiphrenic diverticula usually occur on which side?
right

cone shaped cecum