biliary tree Flashcards

(30 cards)

1
Q

Which labs are mildly to moderately elevated with biliary obstruction

A

Aspartate aminotransferase (AST) and Alanine aminotransferase (ALT)

How well did you know this?
1
Not at all
2
3
4
5
Perfectly
2
Q

which labs are elevated with obstructive jaundice

A

Lactic dehydrogenase (LDH)(mildly elevated

Alkaline phosphate (markedly increased)

Direct (conjugated) bilirubin (elevated)

How well did you know this?
1
Not at all
2
3
4
5
Perfectly
3
Q

Which labs are elevated in hepatocellular disease and hemolytic anemias

A

Indirect (unconjugated) bilirubin

How well did you know this?
1
Not at all
2
3
4
5
Perfectly
4
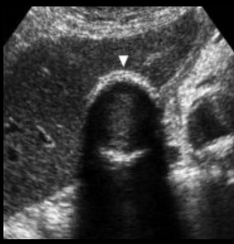
Q

3 congenital anomalies

A

Biliary atresia
Choledochal cysts
Interposition of the gallbladder

How well did you know this?
1
Not at all
2
3
4
5
Perfectly
5
Q

Ranges from a total absence of biliary tree to formation of a rudimentary gallbladder and cystic duct

Suspected with persistent neonatal jaundice (infectious causes must be excluded)

A

BILIARY ATRESIA

How well did you know this?
1
Not at all
2
3
4
5
Perfectly
6
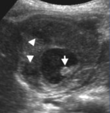
Q

Cystic dilation of the entire length of the CHD and CBD with the cystic duct entering the cyst

Caused by:
congenital weakness of the duct wall resulting in the formation of a cystic structure
angulation of the CBD, causing partial obstruction which leads to dilation and cyst formation

A

CHOLEDOCHAL CYSTS

How well did you know this?
1
Not at all
2
3
4
5
Perfectly
7
Q

found in babies and children so what could it be?

intermittent jaundice
colicky pain
possibly a subhepatic mass displacing the stomach
usually diagnosed before 10 years of age

A

CHOLEDOCHAL CYSTS

How well did you know this?
1
Not at all
2
3
4
5
Perfectly
8
Q

what is postprandial

A

after eating

How well did you know this?
1
Not at all
2
3
4
5
Perfectly
9
Q

types of acquired diseases

A

Biliary sludge
Cholelithiasis
Acute Cholecystitis
Gallbladder neoplasms
Miscellaneous gallbladder pathology

How well did you know this?
1
Not at all
2
3
4
5
Perfectly
10
Q

what is CHOLELITHIASIS

A

just medical term for gallstones

How well did you know this?
1
Not at all
2
3
4
5
Perfectly
11
Q

acute Calculous more common in _________ and produces ___________

A

women
layered appearance of a thickened gallbladder wall, with a hypoechoic region between echogenic lines

How well did you know this?
1
Not at all
2
3
4
5
Perfectly
12
Q

acute Acalculous more common in ________

A

men

How well did you know this?
1
Not at all
2
3
4
5
Perfectly
13
Q

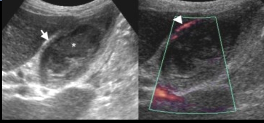
74-year-old man with acute acalculous cholecystitis.
LEFT: US at the spot of maximum tenderness shows mural thickening of the gallbladder (arrow) that is completely filled with sludge (asterix) without any stones.
RIGHT: Power-Doppler sonography shows hypervascularity of the gallbladder wall (arrowhead), as a supporting sign of inflammation.

A
How well did you know this?
1
Not at all
2
3
4
5
Perfectly
14
Q

Malignant melanoma is most common __________ to gallbladder

A

metastases

How well did you know this?
1
Not at all
2
3
4
5
Perfectly
15
Q

SONOGRAPHIC FINDINGS

-Calculous and Acalculous are same
-Gallbladder distension greater than 5 cm in transverse diameter
-Wall thickness >2 mm (3mm considered abnormal)
-Irregular wall thickening
-Cholelithiasis
-Sonographic Murphy’s sign
-Halo sign (edema)
-Pericholecystic fluid (?perforation)
-Bizarre gallbladder wall echoes (necrosis)
-Non-shadowing, mobile, intraluminal echoes
-A tense, distended shape

A
How well did you know this?
1
Not at all
2
3
4
5
Perfectly
16
Q

DIFFERENT GALLBLADDER NEOPLASMS

A

polyps
adenoma
adenomyomatosis

17
Q

small elevations in the gallbladder lumen. no shadow, non mobile

18
Q

flat elevation in wall (usually near gallbladder fundus)

19
Q

hyperplastic change in gallbladder wall. may cause “ring down” artifact from wall

A

adenomyomatosis

20
Q

what pathology

sonographically will see a hyperechoic semilunar structure with shadowing or an irregular clump of echoes with shadowing

also associated with a high incidence of gallbladder carcinoma

A

porcelain gallbladder

21
Q

what pathology

hyperplastic change in GB wall usually seen in females beyond their 50s

characteristically demonstrate “comet tail”

A

adenomyomatosis

22
Q

which pathology

occurs with distal obstruction to the cystic duct due to malignancy

GB will dilate to >10cm then CBD, then intrahepatic ducts

A

Courvoisier gallbladder

23
Q

which pathology

shows marked wall thickening with intramural hypoechoic nodules and an intraluminal stone

A

xanthogranulomatous cholecystitis

24
Q

air in the biliary tree is called

25
collections of bile is called
bilomas
26
rare complication of untreated acute cholecystitis where a stone in the cystic duct compresses the common bile duct, causing obstruction and jaundice
Mirizzi syndrome Typically blockage of the cystic duct only impacts the gallbladder and therefore would not cause jaundice…but with this scenario you would have jaundice.
27
measurement of distal duct >6mm
associated with gallstones or pancreatitis possibly obstruction of duct
28
measurement of distal duct >11mm
suggests obstruction by stone or tumor of duct or pancreas
29
how to diagnose dilated intrahepatic ducts
need to see bold branching of the right hepatic ducts. The ducts will be seen on top of the portal vein in the right lobe
30
what is ERCP
endoscopic retrograde cholangiopancreatography