urinary system ppt test 3 Flashcards

(84 cards)

1
Q

Urinary System Anatomy- 4 parts

A

Kidneys
Ureters
Bladder
Urethra

How well did you know this?
1
Not at all
2
3
4
5
Perfectly
2
Q

types of PATHOLOGY

A

Renal masses
Obstructive uropathy
Inflammatory diseases
Vascular pathology
Renal failure

How well did you know this?
1
Not at all
2
3
4
5
Perfectly
3
Q

3 types of renal masses

A

Cystic - anechoic, smooth walls, posterior enhancement

Solid - nongeometric shape with irregular borders, poorly
defined interface, low-level internal echoes

Complex - Shadowing; characteristics of both cystic and
solid components

How well did you know this?
1
Not at all
2
3
4
5
Perfectly
4
Q

type of renal mass

anechoic, smooth walls, posterior enhancement

A

cystic

How well did you know this?
1
Not at all
2
3
4
5
Perfectly
5
Q

type of renal mass

nongeometric shape with irregular borders, poorly
defined interface, low-level internal echoes

A

solid

How well did you know this?
1
Not at all
2
3
4
5
Perfectly
6
Q

type of renal mass

Shadowing; characteristics of both cystic and
solid components

A

complex

How well did you know this?
1
Not at all
2
3
4
5
Perfectly
7
Q

This is a term used when the calyces and renal pelvis have a
compressed appearance due to the accumulation of excessive
(nontumorous) fatty tissue within the renal sinus

A

RENAL SINUS LIPOMATOSIS

How well did you know this?
1
Not at all
2
3
4
5
Perfectly
8
Q

what is this

A

fat around the kidney

How well did you know this?
1
Not at all
2
3
4
5
Perfectly
9
Q

2 types of cystic disease placement

A

perirenal
subcapsular

How well did you know this?
1
Not at all
2
3
4
5
Perfectly
10
Q

t/f

cystic disease can be hereditary and non hereditary

A

true

Non-hereditary
◦ Developmental
◦ Acquired
Hereditary

How well did you know this?
1
Not at all
2
3
4
5
Perfectly
11
Q

name that pathology

Unknown origin
Serous fluid collection originating in the renal cortex
Uncommon before 40 years
Found in 50% of people over 50 years old
May be multiple (rarely more than 4 per kidney

A

simple cyst

they are unilocular

How well did you know this?
1
Not at all
2
3
4
5
Perfectly
12
Q

name that pathology

-Anechoic, well-defined mass located at the renal hilum
-No communication with collecting system
-Spherical in shape
-Patient may present with hypertension, hematuria, or
hydronephrosis from pressure the cyst applies to
surrounding structures

A

PARAPELVIC CYST

How well did you know this?
1
Not at all
2
3
4
5
Perfectly
13
Q

name that pathology

Hereditary
Characterized by bilaterally enlarged and cyst-filled
kidneys
Two types:
◦ Adult (APKD)
◦ Infantile (IPKD

A

POLYCYSTIC KIDNEY DISEASE

How well did you know this?
1
Not at all
2
3
4
5
Perfectly
14
Q

name that pathology

-Fairly common
-Autosomal dominant trait—genetic
-Characterized by enlarged, palpable, cyst-filled
kidneys – May create mass effect
-Usually manifests during the 3rd or 4th decade
-Clinically presents as dull, aching pain of the abdomen
or back; possibly hematuria and hypertension
-Associated with cysts in the liver, pancreas, and berry
aneurysms of brain

A

ADULT POLYCYSTIC KIDNEY DISEASE

How well did you know this?
1
Not at all
2
3
4
5
Perfectly
15
Q

sonographic appearance of which pathology

Bilateral
Kidneys appear enlarged, with numerous discrete
cysts in the cortical regions
Should also scan liver, pancreas, and spleen for
cysts

A

POLYCYSTIC KIDNEY DISEASE

How well did you know this?
1
Not at all
2
3
4
5
Perfectly
16
Q

name that pathology

Autozomal recessive (bilateral)
Multiple cystic dilations of the collecting ducts
Usually presents in young adults- incidental
finding
Normal renal function
Cysts are usually very small (<2 cm) usually
cannot be diagnosed sonographically

A

MEDULLARY CYSTIC DISEASE

How well did you know this?
1
Not at all
2
3
4
5
Perfectly
17
Q

name that pathology

Occurs with the destruction of renal tissue
May or may not communicate with the collecting
system
Sonographic appearance varies - must differentiate
with clinical history

A

ACQUIRED CYSTS

How well did you know this?
1
Not at all
2
3
4
5
Perfectly
18
Q

types of AQUIRED CYSTS
Includes:

A

Hematomas
Inflammatory cysts (abscess)
Uremic renal cystic disease in patients
undergoing dialysis

How well did you know this?
1
Not at all
2
3
4
5
Perfectly
19
Q

An abscess to the renal cortex is called a ____________________________ (usually results from the union of several
small abscesses)

A

renal carbuncle

How well did you know this?
1
Not at all
2
3
4
5
Perfectly
20
Q

SONOGRAPHIC APPEARANCE of a pathology

-Anechoic to hypoechoic complex mass
-Irregular borders
-May contain debris, septa, gas
-May cause acoustic shadowing
-Perirenal - may displace the kidney and can be
separated from the parenchyma
-Decreased movement of the kidney on inspiration and
expiration

A

RENAL & PERIRENAL ABSCESS

How well did you know this?
1
Not at all
2
3
4
5
Perfectly
21
Q

Many patients on hemodialysis develop bilateral cystic
disease and carcinoma
Incidence increases with time (especially after 3 years)

A
How well did you know this?
1
Not at all
2
3
4
5
Perfectly
22
Q

3 types of BENIGN NEOPLASMS

A

Angiomyolipoma
Adenoma
Oncocytoma

How well did you know this?
1
Not at all
2
3
4
5
Perfectly
23
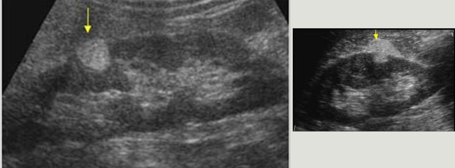
Q

name that pathology

-Most common benign renal tumor
-More common in right kidney
-80% of cases occur in women
-Occurs in 80% of patients with tuberus sclerosis
-Composed of fat cells intermixed with smooth muscle cells and
blood vessels
-Asymptomatic
-Sonographically appears as a focal, solid, hyperechoic mass
-May have posterior enhancement
-Vary from 1 - 20 cms

A

ANGIOMYOLIPOMA

How well did you know this?
1
Not at all
2
3
4
5
Perfectly
24
Q

name that pathology

-Usually less than 1 cm; rarely larger than 3 cm
-Asymptomatic unless large
-Can cause painless hematuria
-Sonographically presents as a highly vascular tumor
with many internal echoes and increased sound
attenuation
-May have calcifications

A

ADENOMA

How well did you know this?
1
Not at all
2
3
4
5
Perfectly
25
name that pathology -A class of very large vascular adenomas -Usually cannot be distinguished sonographically from a typical renal cell carcinoma -Well-defined, smooth, homogeneous -May demonstrate a central stellate scar (can differentiate from renal cell carcinoma)
ONCOCYTOMA
26
name that pathology Urine flow obstructed Urine formation continues, causing calyces to distend and renal pelvis to dilate Irreversible damage can occur after 3 weeks
OBSTRUCTIVE UROPATHY Obstruction can result from ◦ Developmental defects ◦ Calculi ◦ normal pregnancy ◦ Benign prostatic hypertrophy ◦ Infection or inflammation with scar tissue ◦ Possibly even spinal cord injury
27
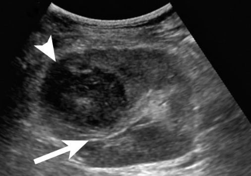
name that pathology -Dilation of the renal pelvis, calyceal structures, and infundibula by urine -Obstruction can be either intrinsic or extrinsic -Sonographic “hallmark” - splaying, spreading, or ballooning of the central echo complex -Dilated ureter helpful in differentiation
HYDRONEPHROSIS
28
hydronephrosis ratings Mild (aka pelvicaliectasis) ◦ dilatation of the renal pelvis with or without dilatation of the calyces (pelvicalyceal pattern is retained) ◦ Dilatation may also be noted in the extrarenal pelvis ◦ no parenchymal atrophy Moderate ◦ moderate dilatation of the renal pelvis and calyces ◦ blunting of fornices and flattening of papillae ◦ mild cortical thinning may be seen Grade 4 (severe) ◦ gross dilatation of the renal pelvis and calyces, which appear ballooned ◦ loss of borders between the renal pelvis and calyces ◦ renal atrophy seen as cortical thinning
29
name that pathology Usually develops in the kidney (nephrolithiasis) Increased prevalence in hot climates Appears to have a hereditary predisposition Appears as an echogenic foci < 5 mm with posterior shadowing
UROLITHIASIS
30
Demonstrate _________________ to DISPROVE a stone in the UVJ alone with sonographic interrogation of the distal ureter
bilateral ureteral jets
30
The most common place for a urinary stone to become lodged is within the ____________ junction, near the urinary bladder.
ureterovesicle
31
types of INFLAMMATORY DISEASES
Urinary tract infection (UTI) Acute glomerulonephritis Chronic atrophic nephritis Pyonephrosis
32
which pathology PREDISPOSING FACTORS: ◦ Diabetes ◦ Immune compromise ◦ Pregnancy ◦ Benign prostatic hypertrophy
URINARY TRACT INFECTION
33
which pathology Necrosis of cellular elements in glomeruli Results in enlarged, poorly functioning kidneys Suspected when cortical echogenicity exceeds that of liver
ACUTE GLOMERULONEPHRITIS
34
* Nephritic syndrome is immunologically mediated and is characterized by inflammation in the glomeruli * Berger disease is the most common glomerular disease worldwide, and it’s one of the most common causes of recurrent hematuria. * Nephrotic syndrome is a kidney disorder that causes your body to excrete too much protein in your urine.
35
which pathology -Acute Bacterial infection (usually ascends from lower urinary tract) -Unilateral or bilateral; Abrupt onset -Characterized by diffuse edema and renal enlargement with intense inflammatory foci -May lead to microabscess formation
ACUTE PYELONEPHRITIS
36
sonographic appearance -Normal -Homogenous and enlarged (edema) -Hypoechoic -Strong back-wall -As infection progresses - lose distinct central echo complex; blends into edematous parenchyma
ACUTE PYELONEPHRITIS
37
which pathology Results from recurrent infections Renal scarring involving calyces and pelvis Lose tubular function and ability to concentrate urine Leads to parenchymal atrophy
CHRONIC ATROPHIC NEPHRITIS
38
which pathology Pus in an obstructed renal collecting system Sonographically appears as low-level echoes within the dilated collecting system
PYONEPHROSIS
39
which pathology -is defined as a chronic inflammatory disorder of the kidney characterized by a mass originating in the renal parenchyma. -Most cases are unilateral -The kidney is usually nonfunctional.
Xanthogranulomatous Pyelonephritis
40
-The exact etiology of XGP is unknown, but it is generally accepted that the disease process requires long-term renal obstruction and infection. -Stones (frequently of staghorn proportions) may occur in 75% of patients with XGP but are not required to make the diagnosis. -XGP is often observed in patients with diabetes or in patients who are immunocompromised. -XGP occurs in approximately 1% of all renal infections. -XGP is 4 times more common in women than men and is usually noted in the fifth and sixth decades of life. -XGP displays neoplasmlike properties capable of local tissue invasion and destruction and has been referred to as a pseudotumor. -Adjacent organs including the spleen, pancreas, or duodenum, may be involved.
more on Xanthogranulomatous Pyelonephritis Patients with XGP often appear chronically ill. Symptoms include anorexia, fevers, weight loss, and dull and persistent flank pain. Urine typically has both leukocytes and bacteria present. XGP is notorious for fistulation. Renal cell carcinoma may be indistinguishable from XGP sonographically
41
types of VASCULAR PATHOLOGY
Infarction Renal artery stenosis
42
which pathology -Obstruction of the blood supply or drainage by the occlusion or stenosis of a vessel -Initially appears as a hypoechoic mass becoming more echogenic with time -Usually hyperechoic, triangular, focal renal mass
INFARCTION
43
The inability of the kidneys to remove accumulated metabolites from the blood MAJOR CAUSES - ◦ Renal pathology ◦ Systemic disease ◦ urologic defects of non-renal origin attributed to surgery or trauma, various medical conditions, pregnancy, and nephrotoxix
RENAL FAILURE
44
ACUTE RENAL FAILURE Potentially reversible - important to recognize signs and symptoms Two phases: 1 2
◦ Oliguric - Urine output is greatly reduced, bun and creatnine elevated; Complications include hypertension, muscle weakness, GI bleeding, and infection ◦ Diuretic - Few days to 6 weeks later, nephrons recover enough to excrete urine; can cause excessive loss of water and electrolytes
45
◦ ______________- Urine output is greatly reduced, bun and creatnine elevated; Complications include hypertension, muscle weakness, GI bleeding, and infection
Oliguric
46
◦ _____________- Few days to 6 weeks later, nephrons recover enough to excrete urine; can cause excessive loss of water and electrolytes
Diuretic
47
_____________________ is the best measure of kidney function and thus the stage of kidney disease.
Glomerular filtration rate (GFR) GFR a is math formula using the person's age, race, gender and their serum creatinine is used to calculate a GFR.
48
t/f GFR levels of normal/abnormal are highly dependent on RACE—values are different for Caucasian vs. African American
true
49
Blood urea nitrogen (BUN) level is another indicator of kidney function. Urea is also a metabolic byproduct which can build up if kidney function is impaired. The BUN-to-creatinine ratio generally provides more precise information about kidney function and its possible underlying cause compared with creatinine level alone. WARNINNG: BUN also increases with DEHYDRATION. Know your patient’s history!
50
As the kidneys become impaired for any reason, the _________________level in the blood will rise due to poor clearance of creatinine by the kidneys. Abnormally high levels of creatinine thus warn of possible malfunction or failure of the kidneys. Values are dependent on gender (female vs males)
creatine
51
t/f creatine values are dependent on gender
true
52
Irreversible - diminished function of the nephrons SONOGRAPHIC FINDINGS: ◦ small, shrunken, echogenic kidney is definitive for end-stage renal disease ◦ Dialysis or renal transplantation necessary ◦ May be caused by Renal Artery Stenosis
chronic renal failure
53
Renal artery stenosis can lead to renal _____________ and irreparable renal compromise.
infarction
54
where are transplant kidneys located
Graft placed in iliac fossa, anterior to the psoas muscle and iliac veins
55
The “original” kidneys remain in the patient and are called the “_____________” kidneys
native
56
TRANSPLANT REJECTION Often result of ________________. Seen about day 2 post transplant—cause of acute rejection
Acute Tubular Necrosis (ATN)
57
4 types of MALIGNANT NEOPLASM
Renal cell carcinoma Transitional cell carcinoma Wilm’s tumor Metastasis Smoking is a risk factor for both renal cell carcinoma and transitional carcinoma as well as pancreatic cancer
58
RENAL CELL CARCINOMA aka
Also called a hypernephroma or adenocarcinoma
59
A form of kidney cancer that involves cancerous changes in the cells of the renal tubule
RENAL CELL CARCINOMA Also called a hypernephroma or adenocarcinoma
60
Most common malignant tumor of the kidney (85%) Most common in 6-7th decade Twice as common in males
RENAL CELL CARCINOMA Also called a hypernephroma or adenocarcinoma
61
renal cell carcinoma
Must examine renal vein, IVC, renal hilum, paraaortic lymph nodes, and contralateral kidney for extensions and metastasis
62
Most common tumor of the renal collecting system (often multiple)
TRANSITIONAL CELL CARCINOMA
63
METASTATIC RENAL TUMORS Relatively common Most common from malignant melanoma, lymphoma, lungs, breast, stomach, and colon No specific pattern to distinguish from other solid lesions
64
Urinary Bladder Anomalies Diverticula Posterior urethral valve syndrome Exstrophy Contraction of the bladder neck Ectopic ureter and ectopic ureterocele
65
Bladder diverticulum
66
Prostatic urethra is markedly dilated because of an obstruction at or just below the point where the seminal ducts enter
POSTERIOR URETHRAL VALVES
67
Eversion of the bladder through a defect in the anterior abdominal wall with separation of the pubic symphasis
EXSTROPHY
68
cyst-like enlargement of the lower end of the ureter formed when the ectopic ureter is obstructed in the area where it enters the bladder, causing its anterior wall to balloon into the bladder
Ureterocele
69
ECTOPIC URETER AND URETEROCELE ▪Ureter does not insert near the posterolateral angle of a normal trigone ▪Most arise from the superior pelvis of a duplicated kidney
70
When the bladder wall measures _____________ it is considered abnormal.
5 mm+
71
BLADDER CALCULI
72
__________________ is a rare disorder characterized by the formation of cystic malformations in the collecting ducts and the tubular structures within the kidneys (tubules) that collect urine. One or both kidneys may be affected.
Medullary Sponge Kidney
73
Accounts for majority of palpable abdominal masses in neonate
HYDRONEPHROSIS May be caused by Ureteropelvic Junction Obstruction, Posterior Urethral Valves, or by compression of the ureter
74
MEGAURETER
75
The ____________ rule describes the situation when an ectopic ureter from the upper pole moiety ends in a ureterocele in the bladder causing obstruction
Weigert–Meyer
76
ureteropelvic junction obstruction
77
Most common renal cystic disease in neonate
MULTICYSTIC DYSPLASTIC KIDNEYS
78
can you live with bilateral MULTICYSTIC DYSPLASTIC KIDNEYS
no it is fatal
79
MESOBLASTIC NEPHROMA aka
fetal renal hemartoma, benign Wilm’s tumor
80
Second most common solid abdominal tumor of children
WILM’S TUMOR
81
WILM’S TUMOR aka
nephroblastoma
82
The most common tumor of infancy
NEUROBLASTOMA
83
Sonographic appearance - highly echogenic, with poorly defined borders; often with calcification; will often displace the kidney down and outward
NEUROBLASTOMA