test 4- powerpoint Flashcards

(106 cards)

1
Q

TWO CATEGORIES OF SONOGRAPHIC
EXAMINATION

A
  • TRANSABDOMINAL
  • ENDOLUMINAL
How well did you know this?
1
Not at all
2
3
4
5
Perfectly
2
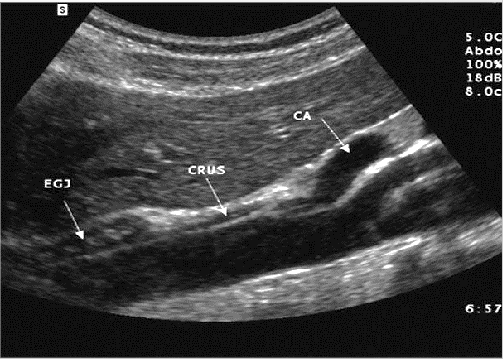
Q

GASTROINTESTINAL TRACT from start to finish

A

NASOPHARNYX
PHARNYX
ESOPHAGUS
STOMACH
SMALL INTESTINE (DUODENUM, JEJUNUM, ILEUM)
APPENDIX
COLON
RECTUM
ANUS

How well did you know this?
1
Not at all
2
3
4
5
Perfectly
3
Q

how does food enter the stomach after leaving the esophagus

A

gastroesophageal junction at the level of the diaphragm

How well did you know this?
1
Not at all
2
3
4
5
Perfectly
4
Q

what are the three parts of the stomach

A

fundus
body
antrum

How well did you know this?
1
Not at all
2
3
4
5
Perfectly
5
Q

what are the 3 muscles of the stomach

A

longitudinal muscle
circular muscle layer
oblique muscle layer

How well did you know this?
1
Not at all
2
3
4
5
Perfectly
6
Q

how does food leave the stomach

A

pylorus and pyloric sphincter

How well did you know this?
1
Not at all
2
3
4
5
Perfectly
7
Q

what does food enter after the stomache

A

duodenum

How well did you know this?
1
Not at all
2
3
4
5
Perfectly
8
Q

different sphincters from top to bottom

A

esophageal - upper and lower
pyloric
oddi
ileocecal
anal- internal and external

How well did you know this?
1
Not at all
2
3
4
5
Perfectly
9
Q
A
How well did you know this?
1
Not at all
2
3
4
5
Perfectly
10
Q
A
How well did you know this?
1
Not at all
2
3
4
5
Perfectly
11
Q

Barium is an oral liquid which is ______________________

A

highly radio-opaque

How well did you know this?
1
Not at all
2
3
4
5
Perfectly
12
Q

Barium exams may be either single (barium alone) or
double contrast which is _______________________

A

barium and air.

In the latter air is
introduced after the barium. This provides a double
contrast between the radio-lucent air and the radio-
opaque barium which is left coating the mucosa.

How well did you know this?
1
Not at all
2
3
4
5
Perfectly
13
Q

Ultrasounds is required to be performed before or after any
endoscopic procedure (which
fills bowel with air) and/or
Barium procedure (air and
contrast are used) or our study
will be about worthless

A

before

How well did you know this?
1
Not at all
2
3
4
5
Perfectly
14
Q

the diff between normal and abnormal endoscopic study

A

before/after polyp endoscopic removal

How well did you know this?
1
Not at all
2
3
4
5
Perfectly
15
Q

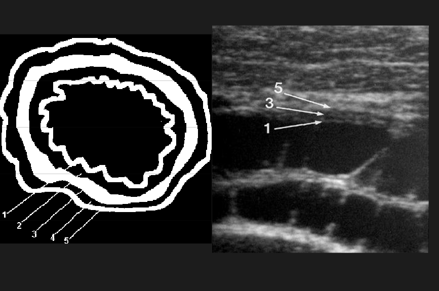
Five layers can be distinguished with transabdominal sonography

from inside to outside

A
  1. Superficial mucosa (echogenic)
  2. Deep mucosa with muscularis mucosa (hypoechoic)
  3. Submucosal (echogenic)
  4. Muscularis propria (hypoechoic)
  5. Subserosal fat (echogenic)
  6. Beyond this is the mesothelium
    which covers loops but is not
    seen as a layer with
    ultrasound.
How well did you know this?
1
Not at all
2
3
4
5
Perfectly
16
Q
A
How well did you know this?
1
Not at all
2
3
4
5
Perfectly
17
Q

the stomach is ___________ to the tail of the pancreas

A

anterior

How well did you know this?
1
Not at all
2
3
4
5
Perfectly
18
Q

________________ Can be evaluated with endosonography or
through left lobe of liver on transabdominal
sonography

A

ESOPHAGOGASTRIC JUNCTION

How well did you know this?
1
Not at all
2
3
4
5
Perfectly
19
Q

ESOPHAGOGASTRIC JUNCTION is seen _______________ to aorta

A

anterior

How well did you know this?
1
Not at all
2
3
4
5
Perfectly
20
Q

sonography can visualize what ESOPHAGOGASTRIC JUNCTION issues

A
  • hiatal hernia
  • esophageal varices
  • tumors
How well did you know this?
1
Not at all
2
3
4
5
Perfectly
21
Q

which quadrant is the stomach located in

A

LUQ

How well did you know this?
1
Not at all
2
3
4
5
Perfectly
22
Q

stomach fundus is _____________ to the spleen

A

medial

How well did you know this?
1
Not at all
2
3
4
5
Perfectly
23
Q

Stomach fundus is ________________ to the
left kidney

A

anterior

How well did you know this?
1
Not at all
2
3
4
5
Perfectly
24
Q

Undistended, stomach wall should measure no more than
_________

A

5 mm

How well did you know this?
1
Not at all
2
3
4
5
Perfectly
25
distended, stomach wall should measure no more than _________
3mm
26
Body and antrum of the stomach lie _______ or ____________ to the left lobe of the liver,
posterior or inferior
27
Body and antrum of the stomach lie _____________ to the pancreas
anterior
28
Body and antrum of the stomach lie ___________ to the gallbladder
medial
29
stomach Patient may be given 40 - 50 oz (5 cups) water that has been set out overnight (aerated) Right lateral decubitus - antrum Left lateral decubitus - fundus
30
May demonstrate major wall thickening > 4 mm Usually suggested by a focal or generalized edema of the wall May result in ascites, or localized abscess, or pancreatitis May cause gastric outlet obstruction as lumen will narrow with inflammation and delay stomach emptying
Gastric/Peptic ulcers
31
STOMACH Fluid and Debris in stomach in patient who is truly NPO may indicate a _________________________
gastric outlet obstruction
32
gastric outlet obstruction is usually caused by ________________-
ulcers
33
STOMACH Solid mass adherent to gastric wall Variable echogenicity Inhomogeneous, may be sharply delineated or not
POLYPS
34
STOMACH Third most common GI malignancy (follows colon and pancreatic) May be fungating, ulcerated, diffuse, polypoid, or superficial Classified according to extension
CARCINOMA
35
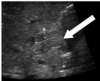
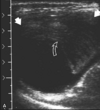
WHAT IS THE ARROW POINTING AT
FOCAL WALL THICKENING WHICH TURNED OUT TO BE ADENOCARCINOMA
36
Third most common GI malignancy (follows colon and pancreatic)
STOMACH CARCINOMA
37
Most common tumor of stomach Smooth muscle tumor Usually asymptomatic Hypoechoic mass continuous with muscular layer of stomach May hemorrhage and undergo cystic degeneration
STOMACH LEIOMYOMA
38
Most common tumor of stomach
STOMACH LEIOMYOMA
39
Target lesion with variable pattern By transabdominal imaging, thickened hypoechoic gastric wall and marked rugal thickening
stomach LEIOMYOSARCOMA
40
Occurs in infants with 95% of cases occurring between 3-12 weeks with the peak occurrence at 4 weeks of age
HYPERTROPHIC PYLORIC STENOSIS More common in males (4 to 1)
41
Hypertrophic enlargement of the pyloric muscle (channel between the stomach and the duodenum)
HYPERTROPHIC PYLORIC STENOSIS More common in males (4 to 1)
42
Infants present with PROJECTILE vomiting without bile, dehydration, lethargy and failure to thrive are clinical symptoms
HYPERTROPHIC PYLORIC STENOSIS More common in males (4 to 1)
43
PYLORIC STENOSIS
44
SCANNING TECHNIQUE FOR PYLORIC STENOSIS Scanned in both supine baby may be rolled into right decubitus if needed. Transverse plane demonstrates long axis To localize pylorus, scan transversely, descending along lesser curvature of stomach, through left lobe of the liver Locate antrum of stomach
45
MEASURING FOR PYLORIC STENOSIS MEASUREMENTS SHOULD BE MADE FROM THE ANTRUM OF THE STOMACH TO THE MOST DISTAL PORTION OF THE IDENTIFIABLE CHANNEL
46
Scanning the baby in a sagittal plane demonstrates the pylorus in transverse. The enlarged muscle will present as a “donut sign” (an anechoic to hypoechoic muscle mass with a central lumen of increased echogenicity)
47
PYLORIC MUSCLE BEING PUSHED DOWN UNDER STOMACH.
48
just more images On the second ultrasound exam the pyloric muscle thickness was 4mm. This was a definite abnormal finding consistent with pyloric stenosis.
On an early study, the pyloric muscle is somewhat prominent, but the thickness measurement of 2.8mm is not diagnostic of pyloric stenosis. Recommend follow-up in a few days
49
50
types of hernias
TYPES OF HERNIAS ARE: * INGUINAL HERNIA. * FEMORAL HERNIA. * UMBILICAL HERNIA. * INCISIONAL HERNIA. * EPIGASTRIC HERNIA. * HIATAL HERNIA.
51
Spigelian hernias occur through defects in this muscle _____________ to the rectus sheath.
lateral
52
SMALL BOWEL Jejunum and ileum lie in the central portion of the abdomen, inferior to the __________ and ________, and superior to the _____________
liver and stomach urinary bladder
53
SMALL BOWEL May see valvulae ______________ – “keyboard sign” seen in duodenum & jejunum
conniventes
54
SMALL BOWEL where is conniventes taking place at
duodenum and jejunum
55
SMALL BOWEL Normal sections of bowel should be smaller than ____________ in diameter and should demonstrate peristalsis
3 cm
56
SMALL BOWEL Many causes of obstructions, i.e. adhesions, inflammatory masses, neoplastic lesions, volvulus, intussusception (more often in children), and luminal obstruction (impaction)
57
small bowel another name for impaction for small bowel
luminal obstruction
58
SMALL BOWEL ILEUS aka _______________
acute intestinal pseudo-obstruction
59
SMALL BOWEL what pathology Characterized by failure of the intestine to propel its contents, owing to diminished motility Caused by peritonitis, bowel ischemia, myocardial infarction, surgery, medications, hypokalemia, and infection Sonographically characterized by small bowel distended with either air or fluid (if air it will be hard to scan this patient) Peristalsis is normal to increased
ileus
60
SMALL BOWEL Most common nonspecific inflammation of the small bowel
CROHN’S DISEASE
61
SMALL BOWEL Most common nonspecific inflammation of the small bowel Cause is unknown Most often involves the ileum May affect the colon, jejunum, and stomach Commonly associated with ulcers, fistulae, and mucosal nodularity Sonographic appearance is hypoechoic thickening of the bowel wall and mesentery—hard like melted plastic No blind end like the appendix
CROHN’S DISEASE
62
SMALL BOWEL what is it?????
what is TI While blood flow is increased, peristalsis is virtually absent
63
SMALL BOWEL Intestinal obstruction due to knotting & twisting of bowel
VOLVULUS
64
SMALL BOWEL two types of volvulus
Closed loop - lumen is occluded at 2 points along the length Dilated bowel (C or U shaped loop)
65
SMALL BOWEL what shape is dilated bowel
c or u shaped loop
66
SMALL BOWEL Malrotated bowel can potentially occur at any age but in approximately 75% of cases is within a month of birth, most within the first week, and 90% within 1 year. Suspected when a healthy baby suddenly presents with BILIOUS VOMITING
MIDGUT VOLVULUS
67
SMALL BOWEL Sonographic findings may include * clockwise whirlpool sign * inverted SMA/SMV relationship * abnormal bowel * dilated duodenum proximal to obstruction * thickened wall of small bowel distal to obstruction * dilated fluid-filled loops of small bowel * free intra-abdominal fluid
MIDGUT VOLVULUS
68
SMALL BOWEL The telescoping of bowel--Proximal loop of bowel telescopes into the lumen of the adjacent distal portion Can lead to bowel obstruction, perforation, peritonitis, and vascular compromise Usually occurs in children (between ages 3 mos and 3 years) Symptoms include intermittent, colicky pain, distension, and vomiting, possibly an abdominal mass and rectal bleeding Usually evaluated with ultrasound and corrected with a barium enema
INTUSSUSCEPTION
69
SMALL BOWEL Sonographic appearance - target pattern (donut sign); can have a pseudokidney appearance in the long axis
INTUSSUSCEPTION
70
SMALL BOWEL more pseudo kidney sign which is ____________________
INTUSSUSCEPTION
71
SMALL BOWEL The most common presenting symptom is painless rectal bleeding, followed by intestinal obstruction, volvulus and intussusception.
MECKELS DIVERTICULUM
72
SMALL BOWEL may present with all the features as acute appendicitis
MECKELS DIVERTICULUM
73
SMALL BOWEL a true congenital diverticulum, is a small bulge in the small intestine present at birth. It is a remnant of the omphalomesenteric duct (also called the vitelline duct) It is the most frequent malformation of the gastrointestinal tract. It is present in approximately 2% of the population, with males more frequently experiencing symptoms
MECKELS DIVERTICULUM
74
SMALL BOWEL It is the most frequent malformation of the gastrointestinal tract.
MECKELS DIVERTICULUM
75
SMALL BOWEL A memory aid is the rule of 2's: 2% (of the population) 2% are symptomatic 2 feet (from the ileocecal valve) 2 inches (in length) 2 types of common ectopic tissue (gastric and pancreatic) Most common age at clinical presentation is 2 Males are 2 times as likely to be affected
MECKELS DIVERTICULUM
76
SMALL BOWEL For the case on the right: A diagnosis of “most likely appendicitis” was made, however the lesion was very close to the midline and this was conveyed to the surgeon who rather than making the usual incision in RLQ went from midline and found an infected, dilated Meckels diverticulum
77
colon and rectum ▪ Colon usually lies in the periphery of the abdomen ▪ Lateral on right and left and runs transverse superiorly along the liver margin in the upper abdomen ▪ No special techniques are available for evaluating the colon ▪ Usually more air in the colon than in small bowel-- Fluid filled colon is unusual ▪ Wall should measure 4 - 9 mm thick when not distended and 2 - 4 mm thick when distended
78
colon wall should measure ________ when distended and ___________ when not distended
2 - 4 mm thick when distended 4 - 9 mm thick when not distended and
79
COLON AND RECTUM * ________________-- obstructed loop is likely to be gas filled (usually better diagnosed radiographically) * Crohn’s colitis - produces signs identical to Crohn’s of small bowel * Colonic Impaction- chronic constipation leads to stool that hardens and cannot move. Can occur in the elderly and for those on long term narcotic pain medications.
Obstruction
80
COLON AND RECTUM * __________________ - produces signs identical to Crohn’s of small bowel
Crohn’s colitis
81
COLON AND RECTUM * ________________- chronic constipation leads to stool that hardens and cannot move. Can occur in the elderly and for those on long term narcotic pain medications.
Colonic Impaction
82
Third leading cause of death from cancer (after lung and breast)
colorectal cancer
83
Carcinoma - Third leading cause of death from cancer (after lung and breast) 50% arise in rectum and rectosigmoid colon 25% in sigmoid 25% in rest of colon Large colon cancer appears as a non-specific hypoechoic target lesion Smaller lesions are much more difficult to identify Must use a high-frequency transrectal probe; US good for staging
colorectal cancer
84
COLON Mucosal herniations through muscular layer of bowel wall Become more prevalent with increasing age May lead to infection and inflammation Complications - abscess, fistula, bowel perforation Most occur in sigmoid colon Not typically seen by ultrasound
DIVERTICULITIS/DIVERTICULOSIS
85
COLON * THE YOUNG ARE USUALLY AFFECTED AND SYMPTOMS USUALLY DEVELOP OVER TIME, RATHER THAN SUDDENLY. * IS AN INFLAMMATORY BOWEL DISEASE (IBD) THAT CAUSES LONG-LASTING INFLAMMATION. * ULCERATIVE COLITIS CAUSES ULCERS AND BLEEDING WITH INFLAMMATION—THIS CAN BE DEBILITATING AND SOMETIMES CAN LEAD TO LIFE-THREATENING INFECTIONS OR COMPLICATIONS INCLUDING COLON CANCER * MODERATE AND SEVERE COLITIS IS DEFINED WHENEVER THE MAXIMUM COLONIC WALL THICKNESS (MEASURED IN ANY OF THE COLONIC SEGMENTS EXAMINED) WAS MORE THAN 6 OR 8 MM
COLITIS AND ULCERATIVE COLITIS
86
full name for appendix
VERMIFORM APPENDIX
87
Locate the cecum and terminal ileum Must use a graded pressure on the transducer to displace the gas-filled bowel (primarily the cecum) Usually can identify inflamed, distended appendices Should measure no more than 6 mm in diameter Hypoechoic part of the wall should measure no more than 2 mm thick
about appendix
88
what should normal appendix measure
no more than 6mm in diameter hypoechoic part of wall no more than 2mm thick
89
origin at cecum that meets appendix is called
(McBurney’s Point)
90
appendix is where in relation to the iliacus m.
anterior
91
appendix is where is relation to iliacs
▪ Iliac artery and vein medially ▪ May be draped over iliac vessels
92
▪ May be posterior to terminal ilium or cecum ▪ Check pelvis near right adnexa ▪ Partially compressible
APPENDIX
93
APPENDIX
94
APPENDICITIS Almost always associated with obstruction of the appendiceal lumen May occur in any age group, most often affecting young adults Clinical signs: general periumbilical pain, leukocytosis, fever, and sometimes nausea, pain will eventually localize to the RLQ with point tenderness and rebound tenderness When vomiting occurs, it nearly always follows the onset of pain. Vomiting that precedes pain is suggestive of intestinal obstruction.
95
if vomiting occurs before pain then is is indicative of __________________
intestinal obstruction
96
if vomiting occurs after pain then it is indicative of _________________
appendicitis
97
APPENDICITIS Chief complication is abscess formation and generalized peritonitis A ruptured appendix may be much more difficult to visualize Diameter > 6 mm with mucous in lumen and associated focal pain over the appendix is sufficient to establish diagnosis of unruptured appendicitis May contain a stone - called “appendicolith”
98
appendix may contain a stone which is called _____________
appendicolith
99
Acute appendicitis. Non-compressible, inflamed appendix (arrowheads) lies next to the normal compressable ileum. The lumen is dilated and the diameter is 11 by 13 mm. Note the fluid-debris level within the lumen.
Acute appendicitis. The inflamed appendix shows local disturbance of the layer structure of the wall indicating local transmural progression of the infection. The surrounding inflamed fat will probably effectively wall-off the imminent perforation.
100
White arrows: Ulcerations—possible rupture Open arrow: Appendicolith Black arrows: Bright (inflamed) fat
101
COMPLICATIONS OF APPENDICITIS Patients, who delay in seeking medical treatment may later present with: * An abscess (pus-containing appendiceal mass) or * inflammatory phlegmon where the appendix has ruptured and the patient’s own defense mechanisms attempt to use fat and omentum to circumscribe the infection and contain it * Chronic Appendicitis an ongoing battle with appendicitis recurrence.
102
Patients are diagnosed as 'appendiceal phlegmon' and are usually managed conservatively because the surgeon knows that appendectomy in such cases is technically difficult or even impossible since normal tissues are involved in containing the infection.
103
Distension of the appendix by mucous Uncommon lesion More common in women; mean age is 55 years Clinically presents with RLQ pain. May be asymptomatic Can rupture causing massive accumulation of gelatinous ascites Sonographically - appears as a purely cystic or complex mass up to 7 cm in diameter; demonstrates posterior enhancement
MUCOCELE
104
Distension of the appendix by mucous
MUCOCELE
105
Sonographically - appears as a purely cystic or complex mass up to 7 cm in diameter; demonstrates posterior enhancement
MUCOCELE
106
MUCOCELE