Bone Flashcards

(30 cards)

1
Q

What are the functions of the bone?

A
  1. Protect other organs
  2. produce hematopoietic cells, store minerals,
  3. Provide structure and support the body
How well did you know this?
1
Not at all
2
3
4
5
Perfectly
2
Q

Describe the weight of bone and flexibilty

A

they are lightweight, but strong yet have internal flexibility because of spongy bones (spicules with spaces between)

How well did you know this?
1
Not at all
2
3
4
5
Perfectly
3
Q

Trabecular Bone

A

** cancellous/spongy bone

large surface area; bone marrow

How well did you know this?
1
Not at all
2
3
4
5
Perfectly
4
Q

Cortical bone

A

** Compact bone
more dense than the tubercular bone

How well did you know this?
1
Not at all
2
3
4
5
Perfectly
5
Q

Label all the letters

A

T- Trabecular
C - Cortical bone
E – epiphysis
D -diaphysis
M – metaphysis
P – physis = growth plate
AC – articular cartilage

How well did you know this?
1
Not at all
2
3
4
5
Perfectly
6
Q

Label each line

A
How well did you know this?
1
Not at all
2
3
4
5
Perfectly
7
Q

What is the structural organization of bone tissue

A

Lamellar bone
Woven bone

How well did you know this?
1
Not at all
2
3
4
5
Perfectly
8
Q

Lamellar Bone

A

strong mature, forms slowly

collagen fibers in matrix arranged in layers (lamellae) resulting in strong mature bone (osteoid)

organized into osteons (Haversian systems) in mature cortical and trabecular bone

How well did you know this?
1
Not at all
2
3
4
5
Perfectly
9
Q

Woven bone

A

weak immature, produced quickly

disorganized arrangement of collagen fibers

present at sites of rapid bone formation (e.g. fracture repair, inflammation, neoplasia)
◦ E. g. periosteal new bone or reactive bone

How well did you know this?
1
Not at all
2
3
4
5
Perfectly
10
Q

Osteon

A

functional unit of lamellar bone located in circles around the central canal (Haversian) and in the interstitial bone between the circles of bone

How well did you know this?
1
Not at all
2
3
4
5
Perfectly
11
Q

India ink has been used to

A

Demonstrate the canaliculi and lacunae

How well did you know this?
1
Not at all
2
3
4
5
Perfectly
12
Q

Where are haversian canal seen

A

at the center of each osteon `

How well did you know this?
1
Not at all
2
3
4
5
Perfectly
13
Q

Where is Osteon found?

A

Osteons are in mature bone = lamellar; not woven bone Located in cortex, trabeculae of bones

How well did you know this?
1
Not at all
2
3
4
5
Perfectly
14
Q

What are the cellular elements of bone tissue

A

Osteoblasts
Osteocytes
Bone lining
Osteoclasts

How well did you know this?
1
Not at all
2
3
4
5
Perfectly
15
Q

Where are osteoblast, osteocytes and bone linning cells derived from?

A

Derived from osteoprogenitor cells

How well did you know this?
1
Not at all
2
3
4
5
Perfectly
16
Q

Osteoclasts origin

A

Monocytic origin

17
Q

Osteoblast

A

Produce osteoids and initiate its mineralization.

Secrete type 1 collagen

Positioned external to osteoid matrix

Differentiate to become osteocytes

Some osteoblasts (ob) become surrounded by osteoid and embedded in the bone (osteocytes)

18
Q

Osteocytes

A

Most abundant cells

Reside in lacunae surrounded by mineralized

matrix (long filipods to increase their cell area)

Regulate exchange of Ca2+ and other ions between the bones

Fluid and ECF under influence of parathyroid hormone`

19
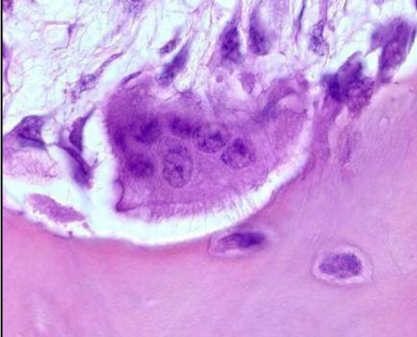
Q

Osteoclasts

A

Bone resorption

Reside in shallow pits (Howship’s lacunae)

Acid demineralizes bone and enhances activity of acid hydrolases released from osteoclasts (extracellular digestion)

20
Q

What stimulates osteoclast activity

21
Q

Label this image

A

Osteoblasts are rounded, form a single row of cells along trabeculae.

Osteocytes are thinner and located within lacunae embedded in bone.

Osteoclasts are multinucleated cells located along trabeculae and will resorb bone under stimulation of cytokines secreted by osteoblasts or inflammatory cells

22
Q

System hormones affecting bone

A

Parathyroid hormone (PTH)– promotes bone resorption

1,25-dihydroxyvitamin D3 – required for normal bone growth and mineralization; also stimulates bone resorption

Calcitonin – inhibits bone resorption

Glucocorticoids – inhibit formation and stimulate resorption

Estrogen – inhibits bone resorption Insulin, growth hormone, androgens and thyroid hormones are also involved in bone metabolism

23
Q

Osteoid Organic components contain (bone matrix)

A

Type I collagen – main component of osteoid (~90%)

Osteonectin – involved in mineralization

Osteocalcin – vitamin K-dependent; also involved in mineralization

Proteoglycans – less abundant than in cartilage matrix

Growth factors – e. g. BMPs, IGFs, TGFs, FGFs

24
Q

How does bone formation occur?

A

Endochondral bone formation is preceded by hyaline cartilage. It occurs when cartilage differentiates, matures, mineralizes, die and is scaffold that osteoblast resides on

25
What produces osteoids
Osteoblasts
26
What zone are osteoid produced and bone produced?
Zone of primary spongisosa and is gradually mineralized into mature lamella bone
27
Matrix mineralization
In bone, osteonectin and osteocalcin absorb to type 1 collagen and bind Ca2+ Osteoid is not mineralized immediately after depostion - failure to mineralize bone produce rickets = osteomalacia (can result in soft bone fracture)
28
Intramembranous ossification
↑WIDTH; adult Bone formed from mesenchymal tissue in periosteum Occurs in flat bones of skull and pelvis and on all periosteal surfaces throughout life Responsible for the growth of bones in width NO cartilage needed first
29
Endochondral ossification
↑LENGTH; young Bone formed from hyaline cartilage precursors in PHYSES Most bones develop by this method (appendicular, axial and base of skull) At physes responsible for growth of bones in length Hyaline cartilage precedes and is scaffold
30
Bone blood supply
Blood enters the marrow cavity of bones through nutrient, metaphyseal and epiphyseal arteries. In young animals, the cortex is supplied mainly from the endosteal surface and exits via periosteal veins (i. e. blood flows centrifugally). With age, the cortex becomes increasingly dependent on periosteal arteries.